血管性认知障碍与痴呆症:叙述性综述。

Q3 Medicine
Dementia e Neuropsychologia Pub Date : 2024-09-23 eCollection Date: 2024-01-01 DOI:10.1590/1980-5764-DN-2023-0116
Amado Jiménez-Ruiz, Victor Aguilar-Fuentes, Naomi Nazareth Becerra-Aguiar, Ivan Roque-Sanchez, Jose Luis Ruiz-Sandoval
{"title":"血管性认知障碍与痴呆症:叙述性综述。","authors":"Amado Jiménez-Ruiz, Victor Aguilar-Fuentes, Naomi Nazareth Becerra-Aguiar, Ivan Roque-Sanchez, Jose Luis Ruiz-Sandoval","doi":"10.1590/1980-5764-DN-2023-0116","DOIUrl":null,"url":null,"abstract":"<p><p>Vascular cognitive impairment (VCI) is the second most common cause of cognitive impairment after Alzheimer's disease. The VCI spectrum involves a decline in cognition attributable to vascular pathologies (e.g., large infarcts or hemorrhages, microinfarcts, microbleeds, lacunar infarcts, white matter hyperintensities, and perivascular space dilation). Pathophysiological mechanisms include direct tissue injury, small vessel disease, inflammaging (inflammation + aging), atrophy, and altered neurotransmission. VCI is diagnosed using distinct clinical and radiological criteria. It may lead to long-term disability and reduced quality of life. An essential factor for reducing cognitive impairment incidence is preventing stroke by managing traditional and non-traditional cerebrovascular risk factors. This article reviews the spectrum of VCI, epidemiology, risk factors, pathophysiology, diagnosis, available treatment, and preventive strategies.</p>","PeriodicalId":39167,"journal":{"name":"Dementia e Neuropsychologia","volume":"18 ","pages":"e20230116"},"PeriodicalIF":0.0000,"publicationDate":"2024-09-23","publicationTypes":"Journal Article","fieldsOfStudy":null,"isOpenAccess":false,"openAccessPdf":"https://www.ncbi.nlm.nih.gov/pmc/articles/PMC11421556/pdf/","citationCount":"0","resultStr":"{\"title\":\"Vascular cognitive impairment and dementia: a narrative review.\",\"authors\":\"Amado Jiménez-Ruiz, Victor Aguilar-Fuentes, Naomi Nazareth Becerra-Aguiar, Ivan Roque-Sanchez, Jose Luis Ruiz-Sandoval\",\"doi\":\"10.1590/1980-5764-DN-2023-0116\",\"DOIUrl\":null,\"url\":null,\"abstract\":\"<p><p>Vascular cognitive impairment (VCI) is the second most common cause of cognitive impairment after Alzheimer's disease. The VCI spectrum involves a decline in cognition attributable to vascular pathologies (e.g., large infarcts or hemorrhages, microinfarcts, microbleeds, lacunar infarcts, white matter hyperintensities, and perivascular space dilation). Pathophysiological mechanisms include direct tissue injury, small vessel disease, inflammaging (inflammation + aging), atrophy, and altered neurotransmission. VCI is diagnosed using distinct clinical and radiological criteria. It may lead to long-term disability and reduced quality of life. An essential factor for reducing cognitive impairment incidence is preventing stroke by managing traditional and non-traditional cerebrovascular risk factors. This article reviews the spectrum of VCI, epidemiology, risk factors, pathophysiology, diagnosis, available treatment, and preventive strategies.</p>\",\"PeriodicalId\":39167,\"journal\":{\"name\":\"Dementia e Neuropsychologia\",\"volume\":\"18 \",\"pages\":\"e20230116\"},\"PeriodicalIF\":0.0000,\"publicationDate\":\"2024-09-23\",\"publicationTypes\":\"Journal Article\",\"fieldsOfStudy\":null,\"isOpenAccess\":false,\"openAccessPdf\":\"https://www.ncbi.nlm.nih.gov/pmc/articles/PMC11421556/pdf/\",\"citationCount\":\"0\",\"resultStr\":null,\"platform\":\"Semanticscholar\",\"paperid\":null,\"PeriodicalName\":\"Dementia e Neuropsychologia\",\"FirstCategoryId\":\"1085\",\"ListUrlMain\":\"https://doi.org/10.1590/1980-5764-DN-2023-0116\",\"RegionNum\":0,\"RegionCategory\":null,\"ArticlePicture\":[],\"TitleCN\":null,\"AbstractTextCN\":null,\"PMCID\":null,\"EPubDate\":\"2024/1/1 0:00:00\",\"PubModel\":\"eCollection\",\"JCR\":\"Q3\",\"JCRName\":\"Medicine\",\"Score\":null,\"Total\":0}","platform":"Semanticscholar","paperid":null,"PeriodicalName":"Dementia e Neuropsychologia","FirstCategoryId":"1085","ListUrlMain":"https://doi.org/10.1590/1980-5764-DN-2023-0116","RegionNum":0,"RegionCategory":null,"ArticlePicture":[],"TitleCN":null,"AbstractTextCN":null,"PMCID":null,"EPubDate":"2024/1/1 0:00:00","PubModel":"eCollection","JCR":"Q3","JCRName":"Medicine","Score":null,"Total":0}
引用次数: 0

摘要

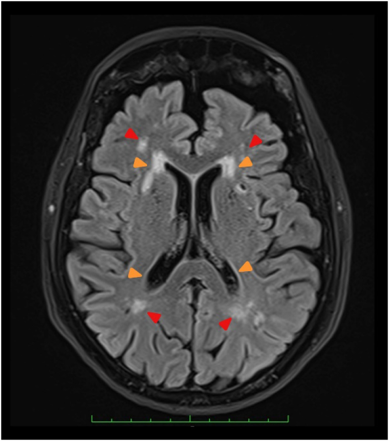
血管性认知障碍(VCI)是仅次于阿尔茨海默病的第二大认知障碍病因。血管性认知障碍包括因血管病变(如大面积梗塞或出血、微梗塞、微出血、腔隙性梗塞、白质高密度和血管周围空间扩张)导致的认知能力下降。病理生理机制包括直接组织损伤、小血管疾病、炎症(炎症+老化)、萎缩和神经传递改变。VCI 的诊断采用不同的临床和放射学标准。它可能导致长期残疾和生活质量下降。降低认知障碍发病率的一个重要因素是通过控制传统和非传统的脑血管风险因素来预防中风。本文回顾了脑卒中认知障碍的范围、流行病学、风险因素、病理生理学、诊断、现有治疗和预防策略。
本文章由计算机程序翻译,如有差异,请以英文原文为准。

Vascular cognitive impairment and dementia: a narrative review.

Vascular cognitive impairment and dementia: a narrative review.

Vascular cognitive impairment and dementia: a narrative review.

Vascular cognitive impairment and dementia: a narrative review.

Vascular cognitive impairment (VCI) is the second most common cause of cognitive impairment after Alzheimer's disease. The VCI spectrum involves a decline in cognition attributable to vascular pathologies (e.g., large infarcts or hemorrhages, microinfarcts, microbleeds, lacunar infarcts, white matter hyperintensities, and perivascular space dilation). Pathophysiological mechanisms include direct tissue injury, small vessel disease, inflammaging (inflammation + aging), atrophy, and altered neurotransmission. VCI is diagnosed using distinct clinical and radiological criteria. It may lead to long-term disability and reduced quality of life. An essential factor for reducing cognitive impairment incidence is preventing stroke by managing traditional and non-traditional cerebrovascular risk factors. This article reviews the spectrum of VCI, epidemiology, risk factors, pathophysiology, diagnosis, available treatment, and preventive strategies.

求助全文
通过发布文献求助,成功后即可免费获取论文全文。 去求助
来源期刊
Dementia e Neuropsychologia
Dementia e Neuropsychologia Medicine-Geriatrics and Gerontology
CiteScore
2.20
自引率
0.00%
发文量
58
审稿时长
8 weeks
期刊介绍: Dementia top Neuropsychologia the official scientific journal of the Cognitive Neurology and Ageing Department of the Brazilian Academy of Neurology and of the Brazilian Association of Geriatric Neuropsychiatry, is published by the "Associação Neurologia Cognitiva e do Comportamento", a nonprofit Brazilian association. Regularly published on March, June, September, and December since 2007.
×
引用
GB/T 7714-2015
复制
MLA
复制
APA
复制
导出至
BibTeX EndNote RefMan NoteFirst NoteExpress
×
提示
您的信息不完整,为了账户安全,请先补充。
现在去补充
×
提示
您因"违规操作"
具体请查看互助需知
我知道了
×
提示
确定
请完成安全验证×
copy
已复制链接
快去分享给好友吧!
我知道了
右上角分享
点击右上角分享
0
联系我们:info@booksci.cn Book学术提供免费学术资源搜索服务,方便国内外学者检索中英文文献。致力于提供最便捷和优质的服务体验。 Copyright © 2023 布克学术 All rights reserved.
京ICP备2023020795号-1
ghs 京公网安备 11010802042870号
Book学术文献互助
Book学术文献互助群
群 号:604180095
Book学术官方微信