在 COVID-19 大流行期间,一名 9 个月大的女孩患上了结核性脑膜炎。

IF 0.7 Q3 MEDICINE, GENERAL & INTERNAL
Case Reports in Medicine Pub Date : 2024-09-20 eCollection Date: 2024-01-01 DOI:10.1155/2024/9586953
Amir-Hassan Bordbari, Kobra Sheidaee, Azin Hajialibeig, Mohammad Reza Navaeifar, Maedeh Gooran, Mohammad Sadegh Rezai
{"title":"在 COVID-19 大流行期间,一名 9 个月大的女孩患上了结核性脑膜炎。","authors":"Amir-Hassan Bordbari, Kobra Sheidaee, Azin Hajialibeig, Mohammad Reza Navaeifar, Maedeh Gooran, Mohammad Sadegh Rezai","doi":"10.1155/2024/9586953","DOIUrl":null,"url":null,"abstract":"<p><p>Tuberculous meningitis (TBM) is a serious form of TB disease that can result in high morbidity and mortality, particularly if there are delays in diagnosis and treatment. In this case report, a 9-month-old girl was admitted with persistent vomiting and focal seizures. On examination, she was found to have a right-side hemiparesis. Brain imaging showed intense nodular leptomeningeal enhancement, hydrocephalus, a hypolucent lesion in the left basal ganglia, arterial stenosis and vasculitis, and an old ischemic insult. The patient was initially diagnosed with an acute ischemic stroke and was treated with aspirin and antiepileptic drugs. The patient's condition failed to improve despite initial treatment, leading to further diagnostic procedures. The results uncovered a diagnosis of TBM. The case highlights the importance of considering TBM as a possible cause of neurological symptoms, especially during the coronavirus disease 2019 (COVID-19) pandemic where similar symptoms can be present in cases of neurological complications of severe acute respiratory syndrome coronavirus 2 (SARS-CoV-2) infection and multisystem inflammatory syndrome in children (MIS-C).</p>","PeriodicalId":9627,"journal":{"name":"Case Reports in Medicine","volume":"2024 ","pages":"9586953"},"PeriodicalIF":0.7000,"publicationDate":"2024-09-20","publicationTypes":"Journal Article","fieldsOfStudy":null,"isOpenAccess":false,"openAccessPdf":"https://www.ncbi.nlm.nih.gov/pmc/articles/PMC11436272/pdf/","citationCount":"0","resultStr":"{\"title\":\"Tuberculosis Meningitis in a 9-Month-Old Girl during the COVID-19 Pandemic.\",\"authors\":\"Amir-Hassan Bordbari, Kobra Sheidaee, Azin Hajialibeig, Mohammad Reza Navaeifar, Maedeh Gooran, Mohammad Sadegh Rezai\",\"doi\":\"10.1155/2024/9586953\",\"DOIUrl\":null,\"url\":null,\"abstract\":\"<p><p>Tuberculous meningitis (TBM) is a serious form of TB disease that can result in high morbidity and mortality, particularly if there are delays in diagnosis and treatment. In this case report, a 9-month-old girl was admitted with persistent vomiting and focal seizures. On examination, she was found to have a right-side hemiparesis. Brain imaging showed intense nodular leptomeningeal enhancement, hydrocephalus, a hypolucent lesion in the left basal ganglia, arterial stenosis and vasculitis, and an old ischemic insult. The patient was initially diagnosed with an acute ischemic stroke and was treated with aspirin and antiepileptic drugs. The patient's condition failed to improve despite initial treatment, leading to further diagnostic procedures. The results uncovered a diagnosis of TBM. The case highlights the importance of considering TBM as a possible cause of neurological symptoms, especially during the coronavirus disease 2019 (COVID-19) pandemic where similar symptoms can be present in cases of neurological complications of severe acute respiratory syndrome coronavirus 2 (SARS-CoV-2) infection and multisystem inflammatory syndrome in children (MIS-C).</p>\",\"PeriodicalId\":9627,\"journal\":{\"name\":\"Case Reports in Medicine\",\"volume\":\"2024 \",\"pages\":\"9586953\"},\"PeriodicalIF\":0.7000,\"publicationDate\":\"2024-09-20\",\"publicationTypes\":\"Journal Article\",\"fieldsOfStudy\":null,\"isOpenAccess\":false,\"openAccessPdf\":\"https://www.ncbi.nlm.nih.gov/pmc/articles/PMC11436272/pdf/\",\"citationCount\":\"0\",\"resultStr\":null,\"platform\":\"Semanticscholar\",\"paperid\":null,\"PeriodicalName\":\"Case Reports in Medicine\",\"FirstCategoryId\":\"1085\",\"ListUrlMain\":\"https://doi.org/10.1155/2024/9586953\",\"RegionNum\":0,\"RegionCategory\":null,\"ArticlePicture\":[],\"TitleCN\":null,\"AbstractTextCN\":null,\"PMCID\":null,\"EPubDate\":\"2024/1/1 0:00:00\",\"PubModel\":\"eCollection\",\"JCR\":\"Q3\",\"JCRName\":\"MEDICINE, GENERAL & INTERNAL\",\"Score\":null,\"Total\":0}","platform":"Semanticscholar","paperid":null,"PeriodicalName":"Case Reports in Medicine","FirstCategoryId":"1085","ListUrlMain":"https://doi.org/10.1155/2024/9586953","RegionNum":0,"RegionCategory":null,"ArticlePicture":[],"TitleCN":null,"AbstractTextCN":null,"PMCID":null,"EPubDate":"2024/1/1 0:00:00","PubModel":"eCollection","JCR":"Q3","JCRName":"MEDICINE, GENERAL & INTERNAL","Score":null,"Total":0}
引用次数: 0

摘要

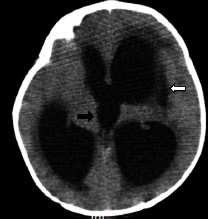
结核性脑膜炎(TBM)是一种严重的结核病,可导致很高的发病率和死亡率,尤其是在延误诊断和治疗的情况下。在本病例报告中,一名 9 个月大的女童因持续呕吐和局灶性抽搐入院。检查发现她右侧偏瘫。脑部影像学检查显示,她的脑膜呈强结节状强化、脑积水、左侧基底节低密度病变、动脉狭窄和血管炎以及陈旧性缺血性损伤。患者最初被诊断为急性缺血性中风,接受了阿司匹林和抗癫痫药物治疗。尽管进行了初步治疗,但患者的病情仍不见好转,于是进行了进一步诊断。结果发现了 TBM 诊断。该病例强调了将 TBM 视为神经系统症状的可能病因的重要性,尤其是在冠状病毒病 2019(COVID-19)大流行期间,严重急性呼吸系统综合征冠状病毒 2(SARS-CoV-2)感染和儿童多系统炎症综合征(MIS-C)的神经系统并发症病例中也可能出现类似症状。
本文章由计算机程序翻译,如有差异,请以英文原文为准。

Tuberculosis Meningitis in a 9-Month-Old Girl during the COVID-19 Pandemic.

Tuberculosis Meningitis in a 9-Month-Old Girl during the COVID-19 Pandemic.

Tuberculosis Meningitis in a 9-Month-Old Girl during the COVID-19 Pandemic.

Tuberculosis Meningitis in a 9-Month-Old Girl during the COVID-19 Pandemic.

Tuberculous meningitis (TBM) is a serious form of TB disease that can result in high morbidity and mortality, particularly if there are delays in diagnosis and treatment. In this case report, a 9-month-old girl was admitted with persistent vomiting and focal seizures. On examination, she was found to have a right-side hemiparesis. Brain imaging showed intense nodular leptomeningeal enhancement, hydrocephalus, a hypolucent lesion in the left basal ganglia, arterial stenosis and vasculitis, and an old ischemic insult. The patient was initially diagnosed with an acute ischemic stroke and was treated with aspirin and antiepileptic drugs. The patient's condition failed to improve despite initial treatment, leading to further diagnostic procedures. The results uncovered a diagnosis of TBM. The case highlights the importance of considering TBM as a possible cause of neurological symptoms, especially during the coronavirus disease 2019 (COVID-19) pandemic where similar symptoms can be present in cases of neurological complications of severe acute respiratory syndrome coronavirus 2 (SARS-CoV-2) infection and multisystem inflammatory syndrome in children (MIS-C).

求助全文
通过发布文献求助,成功后即可免费获取论文全文。 去求助
来源期刊
Case Reports in Medicine
Case Reports in Medicine MEDICINE, GENERAL & INTERNAL-
CiteScore
1.70
自引率
0.00%
发文量
53
审稿时长
13 weeks
×
引用
GB/T 7714-2015
复制
MLA
复制
APA
复制
导出至
BibTeX EndNote RefMan NoteFirst NoteExpress
×
提示
您的信息不完整,为了账户安全,请先补充。
现在去补充
×
提示
您因"违规操作"
具体请查看互助需知
我知道了
×
提示
确定
请完成安全验证×
copy
已复制链接
快去分享给好友吧!
我知道了
右上角分享
点击右上角分享
0
联系我们:info@booksci.cn Book学术提供免费学术资源搜索服务,方便国内外学者检索中英文文献。致力于提供最便捷和优质的服务体验。 Copyright © 2023 布克学术 All rights reserved.
京ICP备2023020795号-1
ghs 京公网安备 11010802042870号
Book学术文献互助
Book学术文献互助群
群 号:604180095
Book学术官方微信