侵袭性三叉神经节瘤:病例报告和文献综述。

IF 1 Q4 RADIOLOGY, NUCLEAR MEDICINE & MEDICAL IMAGING
Acta radiologica open Pub Date : 2024-09-09 eCollection Date: 2024-09-01 DOI:10.1177/20584601241283780
Rama Krishna Narra, Kavya Are, Parveen Nuzhat
{"title":"侵袭性三叉神经节瘤:病例报告和文献综述。","authors":"Rama Krishna Narra, Kavya Are, Parveen Nuzhat","doi":"10.1177/20584601241283780","DOIUrl":null,"url":null,"abstract":"<p><p>Ganglioneuromas are rare tumors arising from retroperitoneal and posterior mediastinal sympathetic nerves. Intracranial trigeminal nerve ganglioneuromas are even more rare, with only seven cases reported to date. We present a case of a 65-year-old male with a right-sided throbbing headache type and blindness in his right eye. Magnetic resonance imaging revealed an ill-defined mass lesion in the middle-cranial fossa, with a few areas having a reduced apparent diffusion coefficient and multiple microhemorrhages. Piecemeal debulking of the tumor was achieved by performing a right-middle craniotomy via the pterionic and sub-temporal approach. The detected histological features matched those of a ganglioneuroma (maturing type) of the trigeminal nerve.</p>","PeriodicalId":72063,"journal":{"name":"Acta radiologica open","volume":"13 9","pages":"20584601241283780"},"PeriodicalIF":1.0000,"publicationDate":"2024-09-09","publicationTypes":"Journal Article","fieldsOfStudy":null,"isOpenAccess":false,"openAccessPdf":"https://www.ncbi.nlm.nih.gov/pmc/articles/PMC11384535/pdf/","citationCount":"0","resultStr":"{\"title\":\"Invasive trigeminal ganglioneuroma: A case report and review of the literature.\",\"authors\":\"Rama Krishna Narra, Kavya Are, Parveen Nuzhat\",\"doi\":\"10.1177/20584601241283780\",\"DOIUrl\":null,\"url\":null,\"abstract\":\"<p><p>Ganglioneuromas are rare tumors arising from retroperitoneal and posterior mediastinal sympathetic nerves. Intracranial trigeminal nerve ganglioneuromas are even more rare, with only seven cases reported to date. We present a case of a 65-year-old male with a right-sided throbbing headache type and blindness in his right eye. Magnetic resonance imaging revealed an ill-defined mass lesion in the middle-cranial fossa, with a few areas having a reduced apparent diffusion coefficient and multiple microhemorrhages. Piecemeal debulking of the tumor was achieved by performing a right-middle craniotomy via the pterionic and sub-temporal approach. The detected histological features matched those of a ganglioneuroma (maturing type) of the trigeminal nerve.</p>\",\"PeriodicalId\":72063,\"journal\":{\"name\":\"Acta radiologica open\",\"volume\":\"13 9\",\"pages\":\"20584601241283780\"},\"PeriodicalIF\":1.0000,\"publicationDate\":\"2024-09-09\",\"publicationTypes\":\"Journal Article\",\"fieldsOfStudy\":null,\"isOpenAccess\":false,\"openAccessPdf\":\"https://www.ncbi.nlm.nih.gov/pmc/articles/PMC11384535/pdf/\",\"citationCount\":\"0\",\"resultStr\":null,\"platform\":\"Semanticscholar\",\"paperid\":null,\"PeriodicalName\":\"Acta radiologica open\",\"FirstCategoryId\":\"1085\",\"ListUrlMain\":\"https://doi.org/10.1177/20584601241283780\",\"RegionNum\":0,\"RegionCategory\":null,\"ArticlePicture\":[],\"TitleCN\":null,\"AbstractTextCN\":null,\"PMCID\":null,\"EPubDate\":\"2024/9/1 0:00:00\",\"PubModel\":\"eCollection\",\"JCR\":\"Q4\",\"JCRName\":\"RADIOLOGY, NUCLEAR MEDICINE & MEDICAL IMAGING\",\"Score\":null,\"Total\":0}","platform":"Semanticscholar","paperid":null,"PeriodicalName":"Acta radiologica open","FirstCategoryId":"1085","ListUrlMain":"https://doi.org/10.1177/20584601241283780","RegionNum":0,"RegionCategory":null,"ArticlePicture":[],"TitleCN":null,"AbstractTextCN":null,"PMCID":null,"EPubDate":"2024/9/1 0:00:00","PubModel":"eCollection","JCR":"Q4","JCRName":"RADIOLOGY, NUCLEAR MEDICINE & MEDICAL IMAGING","Score":null,"Total":0}
引用次数: 0

摘要

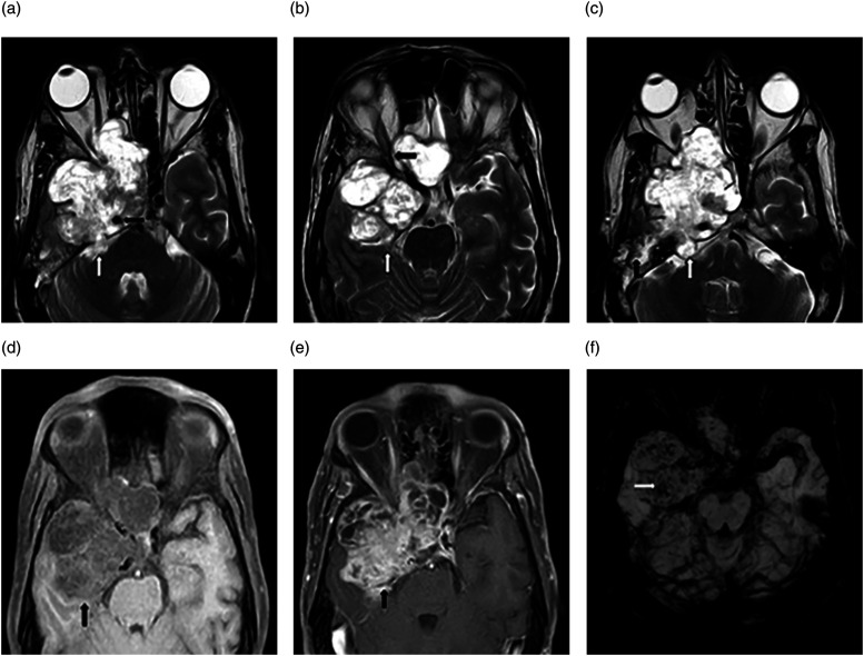
神经节血管瘤是一种罕见的肿瘤,由腹膜后和纵隔后交感神经引起。颅内三叉神经节瘤更为罕见,迄今仅有七例报道。我们报告了一例 65 岁男性的病例,他患有右侧搏动性头痛,右眼失明。磁共振成像显示,中颅窝有一个界限不清的肿块病变,少数区域的表观弥散系数降低,并有多处微出血。通过翼下和颞下入路进行右侧中开颅手术,对肿瘤进行了碎块剥离。检测到的组织学特征与三叉神经节瘤(成熟型)相符。
本文章由计算机程序翻译,如有差异,请以英文原文为准。

Invasive trigeminal ganglioneuroma: A case report and review of the literature.

Invasive trigeminal ganglioneuroma: A case report and review of the literature.

Invasive trigeminal ganglioneuroma: A case report and review of the literature.

Invasive trigeminal ganglioneuroma: A case report and review of the literature.

Ganglioneuromas are rare tumors arising from retroperitoneal and posterior mediastinal sympathetic nerves. Intracranial trigeminal nerve ganglioneuromas are even more rare, with only seven cases reported to date. We present a case of a 65-year-old male with a right-sided throbbing headache type and blindness in his right eye. Magnetic resonance imaging revealed an ill-defined mass lesion in the middle-cranial fossa, with a few areas having a reduced apparent diffusion coefficient and multiple microhemorrhages. Piecemeal debulking of the tumor was achieved by performing a right-middle craniotomy via the pterionic and sub-temporal approach. The detected histological features matched those of a ganglioneuroma (maturing type) of the trigeminal nerve.

求助全文
通过发布文献求助,成功后即可免费获取论文全文。 去求助
来源期刊
自引率
0.00%
发文量
0
审稿时长
12 weeks
×
引用
GB/T 7714-2015
复制
MLA
复制
APA
复制
导出至
BibTeX EndNote RefMan NoteFirst NoteExpress
×
提示
您的信息不完整,为了账户安全,请先补充。
现在去补充
×
提示
您因"违规操作"
具体请查看互助需知
我知道了
×
提示
确定
请完成安全验证×
copy
已复制链接
快去分享给好友吧!
我知道了
右上角分享
点击右上角分享
0
联系我们:info@booksci.cn Book学术提供免费学术资源搜索服务,方便国内外学者检索中英文文献。致力于提供最便捷和优质的服务体验。 Copyright © 2023 布克学术 All rights reserved.
京ICP备2023020795号-1
ghs 京公网安备 11010802042870号
Book学术文献互助
Book学术文献互助群
群 号:604180095
Book学术官方微信