在一只猫身上切除鼻腔皮样窦囊肿,并使用自体筋膜移植进行初级重建。

IF 0.7 Q3 VETERINARY SCIENCES
Journal of Feline Medicine and Surgery Open Reports Pub Date : 2024-09-15 eCollection Date: 2024-07-01 DOI:10.1177/20551169241269284
Sara Manzoni, Roberta Aloisi, Alexandre Bongartz
{"title":"在一只猫身上切除鼻腔皮样窦囊肿,并使用自体筋膜移植进行初级重建。","authors":"Sara Manzoni, Roberta Aloisi, Alexandre Bongartz","doi":"10.1177/20551169241269284","DOIUrl":null,"url":null,"abstract":"<p><strong>Case summary: </strong>A 6-year-old female spayed domestic shorthair cat was presented with a 7-month history of a subcutaneous mass on the dorsal nasal surface. A CT examination revealed the presence of a nasal dermoid sinus cyst with a nasal bone defect. The cyst was excised and an autologous fascia lata graft was used for reconstruction. The dorsal nasal bone was reconstituted and no compromise of respiratory function was reported in the long-term outcome. No short-term complications were observed at the 2-week follow-up. No long-term complications or recurrence were observed at the 2- and 12-month follow-ups. Fascia lata grafting appears to be an effective method for repairing a nasal bone defect after surgical excision of a nasal dermoid sinus cyst in cats. It is inexpensive and the tissue is easily harvested and provides good functional and cosmetic results.</p><p><strong>Relevance and novel information: </strong>To the authors' knowledge, this is the first report that evaluates the effectiveness of repairing a nasal bone defect after dermoid sinus cyst excision in a cat using an autologous fascia lata graft.</p>","PeriodicalId":36588,"journal":{"name":"Journal of Feline Medicine and Surgery Open Reports","volume":"10 2","pages":"20551169241269284"},"PeriodicalIF":0.7000,"publicationDate":"2024-09-15","publicationTypes":"Journal Article","fieldsOfStudy":null,"isOpenAccess":false,"openAccessPdf":"https://www.ncbi.nlm.nih.gov/pmc/articles/PMC11406620/pdf/","citationCount":"0","resultStr":"{\"title\":\"Excision of a nasal dermoid sinus cyst and primary reconstruction using an autologous fascia lata graft in a cat.\",\"authors\":\"Sara Manzoni, Roberta Aloisi, Alexandre Bongartz\",\"doi\":\"10.1177/20551169241269284\",\"DOIUrl\":null,\"url\":null,\"abstract\":\"<p><strong>Case summary: </strong>A 6-year-old female spayed domestic shorthair cat was presented with a 7-month history of a subcutaneous mass on the dorsal nasal surface. A CT examination revealed the presence of a nasal dermoid sinus cyst with a nasal bone defect. The cyst was excised and an autologous fascia lata graft was used for reconstruction. The dorsal nasal bone was reconstituted and no compromise of respiratory function was reported in the long-term outcome. No short-term complications were observed at the 2-week follow-up. No long-term complications or recurrence were observed at the 2- and 12-month follow-ups. Fascia lata grafting appears to be an effective method for repairing a nasal bone defect after surgical excision of a nasal dermoid sinus cyst in cats. It is inexpensive and the tissue is easily harvested and provides good functional and cosmetic results.</p><p><strong>Relevance and novel information: </strong>To the authors' knowledge, this is the first report that evaluates the effectiveness of repairing a nasal bone defect after dermoid sinus cyst excision in a cat using an autologous fascia lata graft.</p>\",\"PeriodicalId\":36588,\"journal\":{\"name\":\"Journal of Feline Medicine and Surgery Open Reports\",\"volume\":\"10 2\",\"pages\":\"20551169241269284\"},\"PeriodicalIF\":0.7000,\"publicationDate\":\"2024-09-15\",\"publicationTypes\":\"Journal Article\",\"fieldsOfStudy\":null,\"isOpenAccess\":false,\"openAccessPdf\":\"https://www.ncbi.nlm.nih.gov/pmc/articles/PMC11406620/pdf/\",\"citationCount\":\"0\",\"resultStr\":null,\"platform\":\"Semanticscholar\",\"paperid\":null,\"PeriodicalName\":\"Journal of Feline Medicine and Surgery Open Reports\",\"FirstCategoryId\":\"1085\",\"ListUrlMain\":\"https://doi.org/10.1177/20551169241269284\",\"RegionNum\":0,\"RegionCategory\":null,\"ArticlePicture\":[],\"TitleCN\":null,\"AbstractTextCN\":null,\"PMCID\":null,\"EPubDate\":\"2024/7/1 0:00:00\",\"PubModel\":\"eCollection\",\"JCR\":\"Q3\",\"JCRName\":\"VETERINARY SCIENCES\",\"Score\":null,\"Total\":0}","platform":"Semanticscholar","paperid":null,"PeriodicalName":"Journal of Feline Medicine and Surgery Open Reports","FirstCategoryId":"1085","ListUrlMain":"https://doi.org/10.1177/20551169241269284","RegionNum":0,"RegionCategory":null,"ArticlePicture":[],"TitleCN":null,"AbstractTextCN":null,"PMCID":null,"EPubDate":"2024/7/1 0:00:00","PubModel":"eCollection","JCR":"Q3","JCRName":"VETERINARY SCIENCES","Score":null,"Total":0}
引用次数: 0

摘要

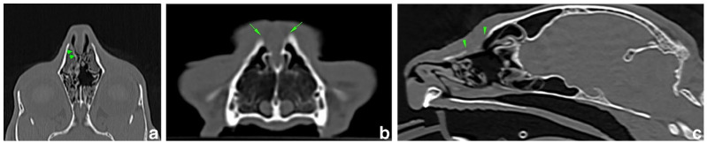
病例摘要:一只 6 岁的雌性绝育短毛猫在 7 个月前出现鼻背皮下肿块。CT 检查显示该猫存在鼻腔皮样窦囊肿和鼻骨缺损。手术切除了囊肿,并采用自体筋膜移植进行重建。鼻背骨得到了重建,长期结果显示呼吸功能没有受到影响。两周随访时未发现短期并发症。在 2 个月和 12 个月的随访中未发现长期并发症或复发。在猫鼻腔皮样窦囊肿手术切除后,筋膜移植似乎是修复鼻骨缺损的有效方法。这种方法成本低廉,组织易于采集,并能提供良好的功能和外观效果:据作者所知,这是第一份评估使用自体筋膜移植修复猫鼻皮样窦囊肿切除术后鼻骨缺损效果的报告。
本文章由计算机程序翻译,如有差异,请以英文原文为准。

Excision of a nasal dermoid sinus cyst and primary reconstruction using an autologous fascia lata graft in a cat.

Excision of a nasal dermoid sinus cyst and primary reconstruction using an autologous fascia lata graft in a cat.

Excision of a nasal dermoid sinus cyst and primary reconstruction using an autologous fascia lata graft in a cat.

Excision of a nasal dermoid sinus cyst and primary reconstruction using an autologous fascia lata graft in a cat.

Case summary: A 6-year-old female spayed domestic shorthair cat was presented with a 7-month history of a subcutaneous mass on the dorsal nasal surface. A CT examination revealed the presence of a nasal dermoid sinus cyst with a nasal bone defect. The cyst was excised and an autologous fascia lata graft was used for reconstruction. The dorsal nasal bone was reconstituted and no compromise of respiratory function was reported in the long-term outcome. No short-term complications were observed at the 2-week follow-up. No long-term complications or recurrence were observed at the 2- and 12-month follow-ups. Fascia lata grafting appears to be an effective method for repairing a nasal bone defect after surgical excision of a nasal dermoid sinus cyst in cats. It is inexpensive and the tissue is easily harvested and provides good functional and cosmetic results.

Relevance and novel information: To the authors' knowledge, this is the first report that evaluates the effectiveness of repairing a nasal bone defect after dermoid sinus cyst excision in a cat using an autologous fascia lata graft.

求助全文
通过发布文献求助,成功后即可免费获取论文全文。 去求助
来源期刊
CiteScore
1.30
自引率
14.30%
发文量
57
审稿时长
15 weeks
×
引用
GB/T 7714-2015
复制
MLA
复制
APA
复制
导出至
BibTeX EndNote RefMan NoteFirst NoteExpress
×
提示
您的信息不完整,为了账户安全,请先补充。
现在去补充
×
提示
您因"违规操作"
具体请查看互助需知
我知道了
×
提示
确定
请完成安全验证×
copy
已复制链接
快去分享给好友吧!
我知道了
右上角分享
点击右上角分享
0
联系我们:info@booksci.cn Book学术提供免费学术资源搜索服务,方便国内外学者检索中英文文献。致力于提供最便捷和优质的服务体验。 Copyright © 2023 布克学术 All rights reserved.
京ICP备2023020795号-1
ghs 京公网安备 11010802042870号
Book学术文献互助
Book学术文献互助群
群 号:604180095
Book学术官方微信