西班牙一家兽医教学医院从环境和兽医人员中分离出的葡萄球菌的流行率和抗微生物耐药性。

IF 1.1 4区 农林科学 Q3 ZOOLOGY
Veterinary Research Forum Pub Date : 2024-01-01 Epub Date: 2024-07-15 DOI:10.30466/vrf.2024.2016107.4086
Ana-María Ríos, Silvia Penelo, María-Rosario Barquero, Tania Ayllón, Gustavo Ortiz-Díez
{"title":"西班牙一家兽医教学医院从环境和兽医人员中分离出的葡萄球菌的流行率和抗微生物耐药性。","authors":"Ana-María Ríos, Silvia Penelo, María-Rosario Barquero, Tania Ayllón, Gustavo Ortiz-Díez","doi":"10.30466/vrf.2024.2016107.4086","DOIUrl":null,"url":null,"abstract":"<p><p>Methicillin-resistant <i>Staphylococcus</i> (MRS) bacteria, including methicillin-resistant <i>S. aureus</i> and methicillin-resistant <i>S. pseudintermedius</i> (MRSP), pose a significant threat in veterinary medicine, given their potential for zoonotic transmission and their implications for companion animals and humans' health. This study aimed to assess the prevalence of MRS and anti-microbial resistance patterns at a university clinical hospital in Madrid, Spain. Samples were collected from both the environment and hospital staff at Veterinary Clinical Hospital of Alfonso X el Sabio University. Anti-microbial susceptibility assays, molecular detection of <i>mec</i>A gene and genetic relationships among the identified bacterial strains were performed. The study revealed an MRS prevalence of 1.50% in environmental samples, with MRSP accounting for 0.75% of the cases. Genetically related MRSP strains were found in different hospital areas. Among hospital staff, there was a MRS prevalence of 14.03%, including <i>S. pseudintermedius</i> and <i>S. epidermidis</i> strains. Antibiogram tests revealed multi-drug resistance among MRSP strains. Additionally, methicillin-resistant coagulase-negative staphylococci were isolated, suggesting potential cross-species transmission. This study underscores the presence of MRS in a veterinary clinical hospital, highlighting the significance of infection control through the implementation of protective measures, stringent hygiene practices among personnel and in the environment and responsible use of antibiotics. Further research is necessary to assess MRS incidence in animal patients and explore geographical variations, enhancing our understanding of MRS in veterinary medicine and addressing its challenges.</p>","PeriodicalId":23989,"journal":{"name":"Veterinary Research Forum","volume":"15 7","pages":"325-334"},"PeriodicalIF":1.1000,"publicationDate":"2024-01-01","publicationTypes":"Journal Article","fieldsOfStudy":null,"isOpenAccess":false,"openAccessPdf":"https://www.ncbi.nlm.nih.gov/pmc/articles/PMC11383197/pdf/","citationCount":"0","resultStr":"{\"title\":\"Prevalence and anti-microbial resistance of <i>Staphylococcus</i> spp. isolated from the environment and veterinary personnel in a Spanish veterinary teaching hospital.\",\"authors\":\"Ana-María Ríos, Silvia Penelo, María-Rosario Barquero, Tania Ayllón, Gustavo Ortiz-Díez\",\"doi\":\"10.30466/vrf.2024.2016107.4086\",\"DOIUrl\":null,\"url\":null,\"abstract\":\"<p><p>Methicillin-resistant <i>Staphylococcus</i> (MRS) bacteria, including methicillin-resistant <i>S. aureus</i> and methicillin-resistant <i>S. pseudintermedius</i> (MRSP), pose a significant threat in veterinary medicine, given their potential for zoonotic transmission and their implications for companion animals and humans' health. This study aimed to assess the prevalence of MRS and anti-microbial resistance patterns at a university clinical hospital in Madrid, Spain. Samples were collected from both the environment and hospital staff at Veterinary Clinical Hospital of Alfonso X el Sabio University. Anti-microbial susceptibility assays, molecular detection of <i>mec</i>A gene and genetic relationships among the identified bacterial strains were performed. The study revealed an MRS prevalence of 1.50% in environmental samples, with MRSP accounting for 0.75% of the cases. Genetically related MRSP strains were found in different hospital areas. Among hospital staff, there was a MRS prevalence of 14.03%, including <i>S. pseudintermedius</i> and <i>S. epidermidis</i> strains. Antibiogram tests revealed multi-drug resistance among MRSP strains. Additionally, methicillin-resistant coagulase-negative staphylococci were isolated, suggesting potential cross-species transmission. This study underscores the presence of MRS in a veterinary clinical hospital, highlighting the significance of infection control through the implementation of protective measures, stringent hygiene practices among personnel and in the environment and responsible use of antibiotics. Further research is necessary to assess MRS incidence in animal patients and explore geographical variations, enhancing our understanding of MRS in veterinary medicine and addressing its challenges.</p>\",\"PeriodicalId\":23989,\"journal\":{\"name\":\"Veterinary Research Forum\",\"volume\":\"15 7\",\"pages\":\"325-334\"},\"PeriodicalIF\":1.1000,\"publicationDate\":\"2024-01-01\",\"publicationTypes\":\"Journal Article\",\"fieldsOfStudy\":null,\"isOpenAccess\":false,\"openAccessPdf\":\"https://www.ncbi.nlm.nih.gov/pmc/articles/PMC11383197/pdf/\",\"citationCount\":\"0\",\"resultStr\":null,\"platform\":\"Semanticscholar\",\"paperid\":null,\"PeriodicalName\":\"Veterinary Research Forum\",\"FirstCategoryId\":\"97\",\"ListUrlMain\":\"https://doi.org/10.30466/vrf.2024.2016107.4086\",\"RegionNum\":4,\"RegionCategory\":\"农林科学\",\"ArticlePicture\":[],\"TitleCN\":null,\"AbstractTextCN\":null,\"PMCID\":null,\"EPubDate\":\"2024/7/15 0:00:00\",\"PubModel\":\"Epub\",\"JCR\":\"Q3\",\"JCRName\":\"ZOOLOGY\",\"Score\":null,\"Total\":0}","platform":"Semanticscholar","paperid":null,"PeriodicalName":"Veterinary Research Forum","FirstCategoryId":"97","ListUrlMain":"https://doi.org/10.30466/vrf.2024.2016107.4086","RegionNum":4,"RegionCategory":"农林科学","ArticlePicture":[],"TitleCN":null,"AbstractTextCN":null,"PMCID":null,"EPubDate":"2024/7/15 0:00:00","PubModel":"Epub","JCR":"Q3","JCRName":"ZOOLOGY","Score":null,"Total":0}
引用次数: 0

摘要

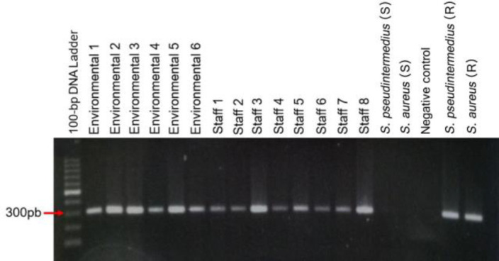
耐甲氧西林金黄色葡萄球菌(MRS),包括耐甲氧西林金黄色葡萄球菌和耐甲氧西林伪中间球菌(MRSP),对兽医学构成了重大威胁,因为它们有可能造成人畜共患病传播,并对伴侣动物和人类健康造成影响。本研究旨在评估西班牙马德里一所大学临床医院中 MRS 的流行情况和抗微生物耐药性模式。样本采集自阿方索十世萨比奥大学兽医临床医院的环境和医院员工。研究人员进行了抗微生物药敏试验、mecA 基因分子检测,并确定了细菌菌株之间的遗传关系。研究显示,环境样本中 MRS 的流行率为 1.50%,其中 MRSP 占 0.75%。在不同的医院区域发现了基因相关的 MRSP 菌株。在医院工作人员中,MRSP感染率为14.03%,其中包括假中间肠杆菌和表皮葡萄球菌菌株。抗生素造影试验显示,MRSP菌株具有多重耐药性。此外,还分离出了耐甲氧西林凝固酶阴性葡萄球菌,这表明可能存在跨种传播。这项研究强调了兽医临床医院中存在 MRS,突出了通过实施保护措施、严格的人员和环境卫生规范以及负责任地使用抗生素来控制感染的重要性。有必要开展进一步研究,以评估动物患者的MRS发病率并探索地域差异,从而加深我们对兽医学中MRS的了解并应对其挑战。
本文章由计算机程序翻译,如有差异,请以英文原文为准。

Prevalence and anti-microbial resistance of <i>Staphylococcus</i> spp. isolated from the environment and veterinary personnel in a Spanish veterinary teaching hospital.

Prevalence and anti-microbial resistance of <i>Staphylococcus</i> spp. isolated from the environment and veterinary personnel in a Spanish veterinary teaching hospital.

Prevalence and anti-microbial resistance of <i>Staphylococcus</i> spp. isolated from the environment and veterinary personnel in a Spanish veterinary teaching hospital.

Prevalence and anti-microbial resistance of Staphylococcus spp. isolated from the environment and veterinary personnel in a Spanish veterinary teaching hospital.

Methicillin-resistant Staphylococcus (MRS) bacteria, including methicillin-resistant S. aureus and methicillin-resistant S. pseudintermedius (MRSP), pose a significant threat in veterinary medicine, given their potential for zoonotic transmission and their implications for companion animals and humans' health. This study aimed to assess the prevalence of MRS and anti-microbial resistance patterns at a university clinical hospital in Madrid, Spain. Samples were collected from both the environment and hospital staff at Veterinary Clinical Hospital of Alfonso X el Sabio University. Anti-microbial susceptibility assays, molecular detection of mecA gene and genetic relationships among the identified bacterial strains were performed. The study revealed an MRS prevalence of 1.50% in environmental samples, with MRSP accounting for 0.75% of the cases. Genetically related MRSP strains were found in different hospital areas. Among hospital staff, there was a MRS prevalence of 14.03%, including S. pseudintermedius and S. epidermidis strains. Antibiogram tests revealed multi-drug resistance among MRSP strains. Additionally, methicillin-resistant coagulase-negative staphylococci were isolated, suggesting potential cross-species transmission. This study underscores the presence of MRS in a veterinary clinical hospital, highlighting the significance of infection control through the implementation of protective measures, stringent hygiene practices among personnel and in the environment and responsible use of antibiotics. Further research is necessary to assess MRS incidence in animal patients and explore geographical variations, enhancing our understanding of MRS in veterinary medicine and addressing its challenges.

求助全文
通过发布文献求助,成功后即可免费获取论文全文。 去求助
来源期刊
Veterinary Research Forum
Veterinary Research Forum Veterinary-General Veterinary
CiteScore
1.50
自引率
0.00%
发文量
0
审稿时长
8 weeks
期刊介绍: Veterinary Research Forum (VRF) is a quarterly international journal committed to publish worldwide contributions on all aspects of veterinary science and medicine, including anatomy and histology, physiology and pharmacology, anatomic and clinical pathology, parasitology, microbiology, immunology and epidemiology, food hygiene, poultry science, fish and aquaculture, anesthesia and surgery, large and small animal internal medicine, large and small animal reproduction, biotechnology and diagnostic imaging of domestic, companion and farm animals.
×
引用
GB/T 7714-2015
复制
MLA
复制
APA
复制
导出至
BibTeX EndNote RefMan NoteFirst NoteExpress
×
提示
您的信息不完整,为了账户安全,请先补充。
现在去补充
×
提示
您因"违规操作"
具体请查看互助需知
我知道了
×
提示
确定
请完成安全验证×
copy
已复制链接
快去分享给好友吧!
我知道了
右上角分享
点击右上角分享
0
联系我们:info@booksci.cn Book学术提供免费学术资源搜索服务,方便国内外学者检索中英文文献。致力于提供最便捷和优质的服务体验。 Copyright © 2023 布克学术 All rights reserved.
京ICP备2023020795号-1
ghs 京公网安备 11010802042870号
Book学术文献互助
Book学术文献互助群
群 号:604180095
Book学术官方微信