心肺旁路对巨大中纵隔副神经节瘤根治性切除术的效果。

IF 0.7 Q3 CARDIAC & CARDIOVASCULAR SYSTEMS
Nicola Rotolo, Andrea Imperatori, Luca Filipponi, Federica Torchio, Matteo Matteucci, Andrea Musazzi
{"title":"心肺旁路对巨大中纵隔副神经节瘤根治性切除术的效果。","authors":"Nicola Rotolo, Andrea Imperatori, Luca Filipponi, Federica Torchio, Matteo Matteucci, Andrea Musazzi","doi":"10.34172/jcvtr.32907","DOIUrl":null,"url":null,"abstract":"<p><p>A non-functional middle mediastinal paraganglioma is a rare entity. We describe a case of a 67-year-old woman with a diagnosis of a big mediastinal paraganglioma by endobronchial ultrasound transbronchial needle aspiration after chest CT and 18F-fluorodeoxyglucose positron-emission tomography. The nine centimeter in length tumor was located between the superior vena cava and the posterior portion of the ascending aorta, compressing the left atrium and the trachea and main left bronchus, posteriorly, surrounding the right pulmonary artery. Uniportal right video-thoracoscopic biopsy was unconclusive and complicated by severe hemorrhage, however controlled. Surgical resection was performed via a trans-sternal trans-pericardial approach followed by cardiopulmonary bypass and ascending aorta resection which allows an excellent exposure and greater control of great vessels and heart. Complete resection of the tumor was achieved without perioperative complication except for the left vocal cord palsy. Twelve months late the patient is disease free and in good general conditions.</p>","PeriodicalId":15207,"journal":{"name":"Journal of Cardiovascular and Thoracic Research","volume":"16 2","pages":"142-145"},"PeriodicalIF":0.7000,"publicationDate":"2024-01-01","publicationTypes":"Journal Article","fieldsOfStudy":null,"isOpenAccess":false,"openAccessPdf":"https://www.ncbi.nlm.nih.gov/pmc/articles/PMC11380748/pdf/","citationCount":"0","resultStr":"{\"title\":\"Effectiveness of cardiopulmonary bypass for radical resection of giant middle mediastinal paraganglioma.\",\"authors\":\"Nicola Rotolo, Andrea Imperatori, Luca Filipponi, Federica Torchio, Matteo Matteucci, Andrea Musazzi\",\"doi\":\"10.34172/jcvtr.32907\",\"DOIUrl\":null,\"url\":null,\"abstract\":\"<p><p>A non-functional middle mediastinal paraganglioma is a rare entity. We describe a case of a 67-year-old woman with a diagnosis of a big mediastinal paraganglioma by endobronchial ultrasound transbronchial needle aspiration after chest CT and 18F-fluorodeoxyglucose positron-emission tomography. The nine centimeter in length tumor was located between the superior vena cava and the posterior portion of the ascending aorta, compressing the left atrium and the trachea and main left bronchus, posteriorly, surrounding the right pulmonary artery. Uniportal right video-thoracoscopic biopsy was unconclusive and complicated by severe hemorrhage, however controlled. Surgical resection was performed via a trans-sternal trans-pericardial approach followed by cardiopulmonary bypass and ascending aorta resection which allows an excellent exposure and greater control of great vessels and heart. Complete resection of the tumor was achieved without perioperative complication except for the left vocal cord palsy. Twelve months late the patient is disease free and in good general conditions.</p>\",\"PeriodicalId\":15207,\"journal\":{\"name\":\"Journal of Cardiovascular and Thoracic Research\",\"volume\":\"16 2\",\"pages\":\"142-145\"},\"PeriodicalIF\":0.7000,\"publicationDate\":\"2024-01-01\",\"publicationTypes\":\"Journal Article\",\"fieldsOfStudy\":null,\"isOpenAccess\":false,\"openAccessPdf\":\"https://www.ncbi.nlm.nih.gov/pmc/articles/PMC11380748/pdf/\",\"citationCount\":\"0\",\"resultStr\":null,\"platform\":\"Semanticscholar\",\"paperid\":null,\"PeriodicalName\":\"Journal of Cardiovascular and Thoracic Research\",\"FirstCategoryId\":\"1085\",\"ListUrlMain\":\"https://doi.org/10.34172/jcvtr.32907\",\"RegionNum\":0,\"RegionCategory\":null,\"ArticlePicture\":[],\"TitleCN\":null,\"AbstractTextCN\":null,\"PMCID\":null,\"EPubDate\":\"2024/6/25 0:00:00\",\"PubModel\":\"Epub\",\"JCR\":\"Q3\",\"JCRName\":\"CARDIAC & CARDIOVASCULAR SYSTEMS\",\"Score\":null,\"Total\":0}","platform":"Semanticscholar","paperid":null,"PeriodicalName":"Journal of Cardiovascular and Thoracic Research","FirstCategoryId":"1085","ListUrlMain":"https://doi.org/10.34172/jcvtr.32907","RegionNum":0,"RegionCategory":null,"ArticlePicture":[],"TitleCN":null,"AbstractTextCN":null,"PMCID":null,"EPubDate":"2024/6/25 0:00:00","PubModel":"Epub","JCR":"Q3","JCRName":"CARDIAC & CARDIOVASCULAR SYSTEMS","Score":null,"Total":0}
引用次数: 0

摘要

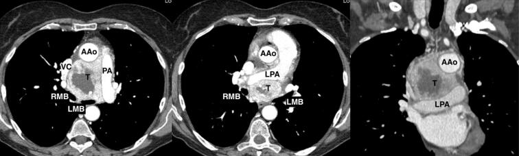
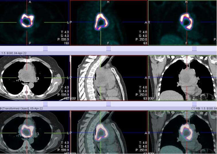
无功能性中纵隔副神经节瘤是一种罕见病。我们描述了一例 67 岁女性的病例,她在胸部 CT 和 18F 氟脱氧葡萄糖正电子发射断层扫描后,通过支气管内超声经支气管针吸术确诊为大纵隔副神经节瘤。肿瘤长约 9 厘米,位于上腔静脉和升主动脉后部之间,压迫左心房、气管和左主支气管,后方环绕右肺动脉。单孔右侧视频胸腔镜活检未得出结论,并发严重出血,但已得到控制。手术通过经胸腔经心包入路进行,然后进行心肺旁路和升主动脉切除,这样可以很好地暴露并更好地控制大血管和心脏。除左侧声带麻痹外,肿瘤完全切除,无围手术期并发症。12 个月后,患者已无疾病,全身状况良好。
本文章由计算机程序翻译,如有差异,请以英文原文为准。

Effectiveness of cardiopulmonary bypass for radical resection of giant middle mediastinal paraganglioma.

Effectiveness of cardiopulmonary bypass for radical resection of giant middle mediastinal paraganglioma.

Effectiveness of cardiopulmonary bypass for radical resection of giant middle mediastinal paraganglioma.

Effectiveness of cardiopulmonary bypass for radical resection of giant middle mediastinal paraganglioma.

A non-functional middle mediastinal paraganglioma is a rare entity. We describe a case of a 67-year-old woman with a diagnosis of a big mediastinal paraganglioma by endobronchial ultrasound transbronchial needle aspiration after chest CT and 18F-fluorodeoxyglucose positron-emission tomography. The nine centimeter in length tumor was located between the superior vena cava and the posterior portion of the ascending aorta, compressing the left atrium and the trachea and main left bronchus, posteriorly, surrounding the right pulmonary artery. Uniportal right video-thoracoscopic biopsy was unconclusive and complicated by severe hemorrhage, however controlled. Surgical resection was performed via a trans-sternal trans-pericardial approach followed by cardiopulmonary bypass and ascending aorta resection which allows an excellent exposure and greater control of great vessels and heart. Complete resection of the tumor was achieved without perioperative complication except for the left vocal cord palsy. Twelve months late the patient is disease free and in good general conditions.

求助全文
通过发布文献求助,成功后即可免费获取论文全文。 去求助
来源期刊
Journal of Cardiovascular and Thoracic Research
Journal of Cardiovascular and Thoracic Research CARDIAC & CARDIOVASCULAR SYSTEMS-
CiteScore
2.00
自引率
0.00%
发文量
22
审稿时长
7 weeks
×
引用
GB/T 7714-2015
复制
MLA
复制
APA
复制
导出至
BibTeX EndNote RefMan NoteFirst NoteExpress
×
提示
您的信息不完整,为了账户安全,请先补充。
现在去补充
×
提示
您因"违规操作"
具体请查看互助需知
我知道了
×
提示
确定
请完成安全验证×
copy
已复制链接
快去分享给好友吧!
我知道了
右上角分享
点击右上角分享
0
联系我们:info@booksci.cn Book学术提供免费学术资源搜索服务,方便国内外学者检索中英文文献。致力于提供最便捷和优质的服务体验。 Copyright © 2023 布克学术 All rights reserved.
京ICP备2023020795号-1
ghs 京公网安备 11010802042870号
Book学术文献互助
Book学术文献互助群
群 号:604180095
Book学术官方微信