左心室梗阻性血栓的风险和结果:病例报告和文献综述。

IF 1 Q4 PERIPHERAL VASCULAR DISEASE
Jornal Vascular Brasileiro Pub Date : 2024-08-09 eCollection Date: 2024-01-01 DOI:10.1590/1677-5449.202301242
Ahmed Ali Ali, Eman Elsayed Sakr
{"title":"左心室梗阻性血栓的风险和结果:病例报告和文献综述。","authors":"Ahmed Ali Ali, Eman Elsayed Sakr","doi":"10.1590/1677-5449.202301242","DOIUrl":null,"url":null,"abstract":"<p><p>A 42-year-old male with ischemic cardiomyopathy presented with acute bilateral femoral artery embolization. After management with embolectomy and fasciotomy in both femoral arteries, transthoracic echocardiography revealed two pedunculated highly mobile left ventricle (LV) thrombi. Given the procedural risk, anticoagulation therapy was recommended over surgery. However, the bleeding risk impeded the continuation of anticoagulation, which increased the thrombus size. Multiorgan failure and disseminated intravascular coagulopathy followed and the patient died. We also systematically reviewed the PubMed and Scopus databases for pedunculated LV thrombi cases and retrieved 74 and 63 reports respectively. Of these, 37 relevant reports (45 cases) plus 11 reports from the manual search were included for data extraction, a total of 56 cases besides our case. Based on the etiologies and risks, LV thrombi are predictable and preventable, especially after ischemic events. A clear diagnostic algorithm and vigilant follow-up are needed as well as multidisciplinary management once a diagnosis is confirmed.</p>","PeriodicalId":14814,"journal":{"name":"Jornal Vascular Brasileiro","volume":"23 ","pages":"e20230124"},"PeriodicalIF":1.0000,"publicationDate":"2024-08-09","publicationTypes":"Journal Article","fieldsOfStudy":null,"isOpenAccess":false,"openAccessPdf":"https://www.ncbi.nlm.nih.gov/pmc/articles/PMC11404780/pdf/","citationCount":"0","resultStr":"{\"title\":\"Left ventricle pedunculated thrombi risks and outcomes: a case report and literature review.\",\"authors\":\"Ahmed Ali Ali, Eman Elsayed Sakr\",\"doi\":\"10.1590/1677-5449.202301242\",\"DOIUrl\":null,\"url\":null,\"abstract\":\"<p><p>A 42-year-old male with ischemic cardiomyopathy presented with acute bilateral femoral artery embolization. After management with embolectomy and fasciotomy in both femoral arteries, transthoracic echocardiography revealed two pedunculated highly mobile left ventricle (LV) thrombi. Given the procedural risk, anticoagulation therapy was recommended over surgery. However, the bleeding risk impeded the continuation of anticoagulation, which increased the thrombus size. Multiorgan failure and disseminated intravascular coagulopathy followed and the patient died. We also systematically reviewed the PubMed and Scopus databases for pedunculated LV thrombi cases and retrieved 74 and 63 reports respectively. Of these, 37 relevant reports (45 cases) plus 11 reports from the manual search were included for data extraction, a total of 56 cases besides our case. Based on the etiologies and risks, LV thrombi are predictable and preventable, especially after ischemic events. A clear diagnostic algorithm and vigilant follow-up are needed as well as multidisciplinary management once a diagnosis is confirmed.</p>\",\"PeriodicalId\":14814,\"journal\":{\"name\":\"Jornal Vascular Brasileiro\",\"volume\":\"23 \",\"pages\":\"e20230124\"},\"PeriodicalIF\":1.0000,\"publicationDate\":\"2024-08-09\",\"publicationTypes\":\"Journal Article\",\"fieldsOfStudy\":null,\"isOpenAccess\":false,\"openAccessPdf\":\"https://www.ncbi.nlm.nih.gov/pmc/articles/PMC11404780/pdf/\",\"citationCount\":\"0\",\"resultStr\":null,\"platform\":\"Semanticscholar\",\"paperid\":null,\"PeriodicalName\":\"Jornal Vascular Brasileiro\",\"FirstCategoryId\":\"1085\",\"ListUrlMain\":\"https://doi.org/10.1590/1677-5449.202301242\",\"RegionNum\":0,\"RegionCategory\":null,\"ArticlePicture\":[],\"TitleCN\":null,\"AbstractTextCN\":null,\"PMCID\":null,\"EPubDate\":\"2024/1/1 0:00:00\",\"PubModel\":\"eCollection\",\"JCR\":\"Q4\",\"JCRName\":\"PERIPHERAL VASCULAR DISEASE\",\"Score\":null,\"Total\":0}","platform":"Semanticscholar","paperid":null,"PeriodicalName":"Jornal Vascular Brasileiro","FirstCategoryId":"1085","ListUrlMain":"https://doi.org/10.1590/1677-5449.202301242","RegionNum":0,"RegionCategory":null,"ArticlePicture":[],"TitleCN":null,"AbstractTextCN":null,"PMCID":null,"EPubDate":"2024/1/1 0:00:00","PubModel":"eCollection","JCR":"Q4","JCRName":"PERIPHERAL VASCULAR DISEASE","Score":null,"Total":0}
引用次数: 0

摘要

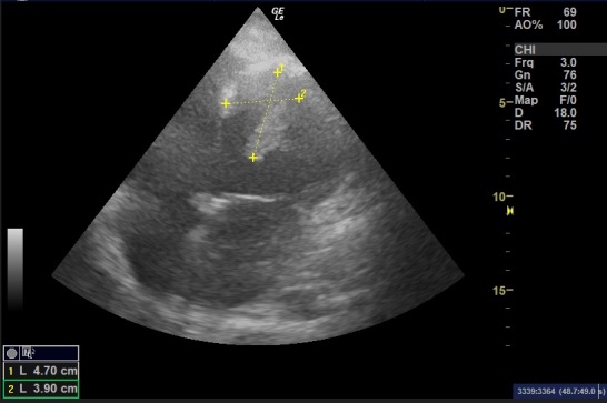
一名患有缺血性心肌病的42岁男性出现急性双侧股动脉栓塞。在对双侧股动脉进行栓子切除术和筋膜切开术后,经胸超声心动图检查发现左心室(LV)有两个梗阻性高流动性血栓。考虑到手术风险,建议采用抗凝治疗而不是手术。然而,出血风险阻碍了抗凝治疗的继续,导致血栓增大。患者随后出现多器官功能衰竭和弥散性血管内凝血病,最终不治身亡。我们还系统地查阅了 PubMed 和 Scopus 数据库中的左心室有蒂血栓病例,分别检索到 74 篇和 63 篇报道。其中,37篇相关报道(45例)加上人工检索的11篇报道被纳入数据提取,除我们的病例外,共有56例。根据病因和风险,左心室血栓是可以预测和预防的,尤其是在缺血性事件后。一旦确诊,需要明确的诊断算法和警惕的随访以及多学科管理。
本文章由计算机程序翻译,如有差异,请以英文原文为准。

Left ventricle pedunculated thrombi risks and outcomes: a case report and literature review.

Left ventricle pedunculated thrombi risks and outcomes: a case report and literature review.

Left ventricle pedunculated thrombi risks and outcomes: a case report and literature review.

Left ventricle pedunculated thrombi risks and outcomes: a case report and literature review.

A 42-year-old male with ischemic cardiomyopathy presented with acute bilateral femoral artery embolization. After management with embolectomy and fasciotomy in both femoral arteries, transthoracic echocardiography revealed two pedunculated highly mobile left ventricle (LV) thrombi. Given the procedural risk, anticoagulation therapy was recommended over surgery. However, the bleeding risk impeded the continuation of anticoagulation, which increased the thrombus size. Multiorgan failure and disseminated intravascular coagulopathy followed and the patient died. We also systematically reviewed the PubMed and Scopus databases for pedunculated LV thrombi cases and retrieved 74 and 63 reports respectively. Of these, 37 relevant reports (45 cases) plus 11 reports from the manual search were included for data extraction, a total of 56 cases besides our case. Based on the etiologies and risks, LV thrombi are predictable and preventable, especially after ischemic events. A clear diagnostic algorithm and vigilant follow-up are needed as well as multidisciplinary management once a diagnosis is confirmed.

求助全文
通过发布文献求助,成功后即可免费获取论文全文。 去求助
来源期刊
Jornal Vascular Brasileiro
Jornal Vascular Brasileiro Medicine-Cardiology and Cardiovascular Medicine
CiteScore
1.20
自引率
0.00%
发文量
57
审稿时长
20 weeks
期刊介绍: The Jornal Vascular Brasileiro is editated and published quaterly to select and disseminate high-quality scientific contents concerning original research, novel surgical and diagnostic techniques, and clinical observations in the field of vascular surgery, angiology, and endovascular surgery. Its abbreviated title is J. Vasc. Bras., which should be used in bibliographies, footnotes and bibliographical references and strips.
×
引用
GB/T 7714-2015
复制
MLA
复制
APA
复制
导出至
BibTeX EndNote RefMan NoteFirst NoteExpress
×
提示
您的信息不完整,为了账户安全,请先补充。
现在去补充
×
提示
您因"违规操作"
具体请查看互助需知
我知道了
×
提示
确定
请完成安全验证×
copy
已复制链接
快去分享给好友吧!
我知道了
右上角分享
点击右上角分享
0
联系我们:info@booksci.cn Book学术提供免费学术资源搜索服务,方便国内外学者检索中英文文献。致力于提供最便捷和优质的服务体验。 Copyright © 2023 布克学术 All rights reserved.
京ICP备2023020795号-1
ghs 京公网安备 11010802042870号
Book学术文献互助
Book学术文献互助群
群 号:604180095
Book学术官方微信