病例报告:持续性双侧完全坐骨动脉伴有动脉瘤变性。

IF 1 Q4 PERIPHERAL VASCULAR DISEASE
Jornal Vascular Brasileiro Pub Date : 2024-08-09 eCollection Date: 2024-01-01 DOI:10.1590/1677-5449.202301512
Paulo Henrique Alves Togni, André Luís Santos Vaz Leite, Marcela Prando Sampaio, Beatriz Camargo Castro, Henrique Tomaz Rodrigues, Guilherme Augusto Paro
{"title":"病例报告:持续性双侧完全坐骨动脉伴有动脉瘤变性。","authors":"Paulo Henrique Alves Togni, André Luís Santos Vaz Leite, Marcela Prando Sampaio, Beatriz Camargo Castro, Henrique Tomaz Rodrigues, Guilherme Augusto Paro","doi":"10.1590/1677-5449.202301512","DOIUrl":null,"url":null,"abstract":"<p><p>Persistent sciatic artery is a rare congenital anomaly, with few cases described in the literature. This study presents a case of this embryological variation observed in a patient's lower limb circulatory system. The anatomical description is based on a review of medical records and imaging exams. This case report describes a 63-year-old female patient admitted to the emergency department complaining of severe pain in the right lower limb, with a cold, pale extremity and ecchymosis on the dorsum of the foot. Duplex ultrasound showed no detectable flow in the anterior tibial and fibular arteries and a tardus parvus pattern in the posterior tibial artery. The patient developed loss of movement and fixed cyanosis in the right foot and was referred for urgent thromboembolectomy. However, adequate reperfusion was not seen after the procedure. Angiotomography was performed on the first postoperative day, showing bilateral persistence of the sciatic artery, with aneurysmal degeneration, partially thrombosed, and no opacification of the arterial system downstream of the aneurysm. By the third postoperative day, the patient had developed areas of dry necrosis in the limb, with no perfusion to the ankle, and underwent transfemoral amputation. Despite being a rare condition, it is of great clinical importance because of the high complication rates.</p>","PeriodicalId":14814,"journal":{"name":"Jornal Vascular Brasileiro","volume":"23 ","pages":"e20230151"},"PeriodicalIF":1.0000,"publicationDate":"2024-08-09","publicationTypes":"Journal Article","fieldsOfStudy":null,"isOpenAccess":false,"openAccessPdf":"https://www.ncbi.nlm.nih.gov/pmc/articles/PMC11404772/pdf/","citationCount":"0","resultStr":"{\"title\":\"Case report: persistent bilateral complete sciatic artery associated with aneurysmal degeneration.\",\"authors\":\"Paulo Henrique Alves Togni, André Luís Santos Vaz Leite, Marcela Prando Sampaio, Beatriz Camargo Castro, Henrique Tomaz Rodrigues, Guilherme Augusto Paro\",\"doi\":\"10.1590/1677-5449.202301512\",\"DOIUrl\":null,\"url\":null,\"abstract\":\"<p><p>Persistent sciatic artery is a rare congenital anomaly, with few cases described in the literature. This study presents a case of this embryological variation observed in a patient's lower limb circulatory system. The anatomical description is based on a review of medical records and imaging exams. This case report describes a 63-year-old female patient admitted to the emergency department complaining of severe pain in the right lower limb, with a cold, pale extremity and ecchymosis on the dorsum of the foot. Duplex ultrasound showed no detectable flow in the anterior tibial and fibular arteries and a tardus parvus pattern in the posterior tibial artery. The patient developed loss of movement and fixed cyanosis in the right foot and was referred for urgent thromboembolectomy. However, adequate reperfusion was not seen after the procedure. Angiotomography was performed on the first postoperative day, showing bilateral persistence of the sciatic artery, with aneurysmal degeneration, partially thrombosed, and no opacification of the arterial system downstream of the aneurysm. By the third postoperative day, the patient had developed areas of dry necrosis in the limb, with no perfusion to the ankle, and underwent transfemoral amputation. Despite being a rare condition, it is of great clinical importance because of the high complication rates.</p>\",\"PeriodicalId\":14814,\"journal\":{\"name\":\"Jornal Vascular Brasileiro\",\"volume\":\"23 \",\"pages\":\"e20230151\"},\"PeriodicalIF\":1.0000,\"publicationDate\":\"2024-08-09\",\"publicationTypes\":\"Journal Article\",\"fieldsOfStudy\":null,\"isOpenAccess\":false,\"openAccessPdf\":\"https://www.ncbi.nlm.nih.gov/pmc/articles/PMC11404772/pdf/\",\"citationCount\":\"0\",\"resultStr\":null,\"platform\":\"Semanticscholar\",\"paperid\":null,\"PeriodicalName\":\"Jornal Vascular Brasileiro\",\"FirstCategoryId\":\"1085\",\"ListUrlMain\":\"https://doi.org/10.1590/1677-5449.202301512\",\"RegionNum\":0,\"RegionCategory\":null,\"ArticlePicture\":[],\"TitleCN\":null,\"AbstractTextCN\":null,\"PMCID\":null,\"EPubDate\":\"2024/1/1 0:00:00\",\"PubModel\":\"eCollection\",\"JCR\":\"Q4\",\"JCRName\":\"PERIPHERAL VASCULAR DISEASE\",\"Score\":null,\"Total\":0}","platform":"Semanticscholar","paperid":null,"PeriodicalName":"Jornal Vascular Brasileiro","FirstCategoryId":"1085","ListUrlMain":"https://doi.org/10.1590/1677-5449.202301512","RegionNum":0,"RegionCategory":null,"ArticlePicture":[],"TitleCN":null,"AbstractTextCN":null,"PMCID":null,"EPubDate":"2024/1/1 0:00:00","PubModel":"eCollection","JCR":"Q4","JCRName":"PERIPHERAL VASCULAR DISEASE","Score":null,"Total":0}
引用次数: 0

摘要

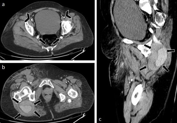
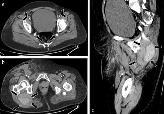
持续性坐骨动脉是一种罕见的先天性异常,文献中描述的病例很少。本研究介绍了一例在患者下肢循环系统中观察到的这种胚胎变异。解剖学描述基于对医疗记录和成像检查的回顾。本病例报告描述了一名 63 岁的女性患者因右下肢剧烈疼痛、四肢冰冷、苍白和足背瘀斑而被送入急诊科。双反射超声显示,胫前动脉和腓动脉未发现血流,胫后动脉呈迟缓旁流型。患者右脚出现活动障碍和固定性紫绀,被紧急转诊进行血栓栓塞切除术。然而,术后未见充分再灌注。术后第一天进行了血管造影,显示坐骨神经动脉双侧持续存在,动脉瘤变性,部分血栓形成,动脉瘤下游的动脉系统未见不通畅。术后第三天,患者肢体出现干性坏死区域,踝关节无灌注,接受了经股截肢手术。尽管这种情况非常罕见,但由于并发症发生率高,因此在临床上具有非常重要的意义。
本文章由计算机程序翻译,如有差异,请以英文原文为准。

Case report: persistent bilateral complete sciatic artery associated with aneurysmal degeneration.

Case report: persistent bilateral complete sciatic artery associated with aneurysmal degeneration.

Case report: persistent bilateral complete sciatic artery associated with aneurysmal degeneration.

Case report: persistent bilateral complete sciatic artery associated with aneurysmal degeneration.

Persistent sciatic artery is a rare congenital anomaly, with few cases described in the literature. This study presents a case of this embryological variation observed in a patient's lower limb circulatory system. The anatomical description is based on a review of medical records and imaging exams. This case report describes a 63-year-old female patient admitted to the emergency department complaining of severe pain in the right lower limb, with a cold, pale extremity and ecchymosis on the dorsum of the foot. Duplex ultrasound showed no detectable flow in the anterior tibial and fibular arteries and a tardus parvus pattern in the posterior tibial artery. The patient developed loss of movement and fixed cyanosis in the right foot and was referred for urgent thromboembolectomy. However, adequate reperfusion was not seen after the procedure. Angiotomography was performed on the first postoperative day, showing bilateral persistence of the sciatic artery, with aneurysmal degeneration, partially thrombosed, and no opacification of the arterial system downstream of the aneurysm. By the third postoperative day, the patient had developed areas of dry necrosis in the limb, with no perfusion to the ankle, and underwent transfemoral amputation. Despite being a rare condition, it is of great clinical importance because of the high complication rates.

求助全文
通过发布文献求助,成功后即可免费获取论文全文。 去求助
来源期刊
Jornal Vascular Brasileiro
Jornal Vascular Brasileiro Medicine-Cardiology and Cardiovascular Medicine
CiteScore
1.20
自引率
0.00%
发文量
57
审稿时长
20 weeks
期刊介绍: The Jornal Vascular Brasileiro is editated and published quaterly to select and disseminate high-quality scientific contents concerning original research, novel surgical and diagnostic techniques, and clinical observations in the field of vascular surgery, angiology, and endovascular surgery. Its abbreviated title is J. Vasc. Bras., which should be used in bibliographies, footnotes and bibliographical references and strips.
×
引用
GB/T 7714-2015
复制
MLA
复制
APA
复制
导出至
BibTeX EndNote RefMan NoteFirst NoteExpress
×
提示
您的信息不完整,为了账户安全,请先补充。
现在去补充
×
提示
您因"违规操作"
具体请查看互助需知
我知道了
×
提示
确定
请完成安全验证×
copy
已复制链接
快去分享给好友吧!
我知道了
右上角分享
点击右上角分享
0
联系我们:info@booksci.cn Book学术提供免费学术资源搜索服务,方便国内外学者检索中英文文献。致力于提供最便捷和优质的服务体验。 Copyright © 2023 布克学术 All rights reserved.
京ICP备2023020795号-1
ghs 京公网安备 11010802042870号
Book学术文献互助
Book学术文献互助群
群 号:604180095
Book学术官方微信