肩部外科医生的骨质疏松症管理。

IF 3.9 2区 医学 Q1 ORTHOPEDICS
Kelsey M Healy, Jacob Ritter, Emily Barr, Jessica L Churchill, Nicholas A Trasolini, Brian R Waterman, Alan W Reynolds
{"title":"肩部外科医生的骨质疏松症管理。","authors":"Kelsey M Healy, Jacob Ritter, Emily Barr, Jessica L Churchill, Nicholas A Trasolini, Brian R Waterman, Alan W Reynolds","doi":"10.1007/s12178-024-09927-6","DOIUrl":null,"url":null,"abstract":"<p><strong>Purpose of review: </strong>The aim of this review is to aggregate currently available literature as it pertains to treating surgical shoulder pathology in patients with osteoporosis.</p><p><strong>Recent findings: </strong>Emerging data surrounding perioperative use of anti-osteoporosis medications for patients undergoing shoulder surgery have not shown definitively favorable or unfavorable outcomes. Similar evaluations in animal studies have shown promising results as a biologic augment to tendon and bone healing, especially with newer, anabolic agents. The mainstay of bone health management remains pre-operative evaluation, using opportunistic radiographic and CT based validated measurements, along with optimization of risk factors. Surgical techniques continue to incorporate implants that perform well in osteopenic bone. Promising pre-clinical studies have identified anabolic anti-osteoporosis medications as viable biologic augments to shoulder surgery, which has not been borne out in any clinical studies at this time.</p>","PeriodicalId":10950,"journal":{"name":"Current Reviews in Musculoskeletal Medicine","volume":" ","pages":"559-569"},"PeriodicalIF":3.9000,"publicationDate":"2024-12-01","publicationTypes":"Journal Article","fieldsOfStudy":null,"isOpenAccess":false,"openAccessPdf":"https://www.ncbi.nlm.nih.gov/pmc/articles/PMC11652552/pdf/","citationCount":"0","resultStr":"{\"title\":\"Osteoporosis Management for Shoulder Surgeons.\",\"authors\":\"Kelsey M Healy, Jacob Ritter, Emily Barr, Jessica L Churchill, Nicholas A Trasolini, Brian R Waterman, Alan W Reynolds\",\"doi\":\"10.1007/s12178-024-09927-6\",\"DOIUrl\":null,\"url\":null,\"abstract\":\"<p><strong>Purpose of review: </strong>The aim of this review is to aggregate currently available literature as it pertains to treating surgical shoulder pathology in patients with osteoporosis.</p><p><strong>Recent findings: </strong>Emerging data surrounding perioperative use of anti-osteoporosis medications for patients undergoing shoulder surgery have not shown definitively favorable or unfavorable outcomes. Similar evaluations in animal studies have shown promising results as a biologic augment to tendon and bone healing, especially with newer, anabolic agents. The mainstay of bone health management remains pre-operative evaluation, using opportunistic radiographic and CT based validated measurements, along with optimization of risk factors. Surgical techniques continue to incorporate implants that perform well in osteopenic bone. Promising pre-clinical studies have identified anabolic anti-osteoporosis medications as viable biologic augments to shoulder surgery, which has not been borne out in any clinical studies at this time.</p>\",\"PeriodicalId\":10950,\"journal\":{\"name\":\"Current Reviews in Musculoskeletal Medicine\",\"volume\":\" \",\"pages\":\"559-569\"},\"PeriodicalIF\":3.9000,\"publicationDate\":\"2024-12-01\",\"publicationTypes\":\"Journal Article\",\"fieldsOfStudy\":null,\"isOpenAccess\":false,\"openAccessPdf\":\"https://www.ncbi.nlm.nih.gov/pmc/articles/PMC11652552/pdf/\",\"citationCount\":\"0\",\"resultStr\":null,\"platform\":\"Semanticscholar\",\"paperid\":null,\"PeriodicalName\":\"Current Reviews in Musculoskeletal Medicine\",\"FirstCategoryId\":\"3\",\"ListUrlMain\":\"https://doi.org/10.1007/s12178-024-09927-6\",\"RegionNum\":2,\"RegionCategory\":\"医学\",\"ArticlePicture\":[],\"TitleCN\":null,\"AbstractTextCN\":null,\"PMCID\":null,\"EPubDate\":\"2024/9/14 0:00:00\",\"PubModel\":\"Epub\",\"JCR\":\"Q1\",\"JCRName\":\"ORTHOPEDICS\",\"Score\":null,\"Total\":0}","platform":"Semanticscholar","paperid":null,"PeriodicalName":"Current Reviews in Musculoskeletal Medicine","FirstCategoryId":"3","ListUrlMain":"https://doi.org/10.1007/s12178-024-09927-6","RegionNum":2,"RegionCategory":"医学","ArticlePicture":[],"TitleCN":null,"AbstractTextCN":null,"PMCID":null,"EPubDate":"2024/9/14 0:00:00","PubModel":"Epub","JCR":"Q1","JCRName":"ORTHOPEDICS","Score":null,"Total":0}
引用次数: 0

摘要

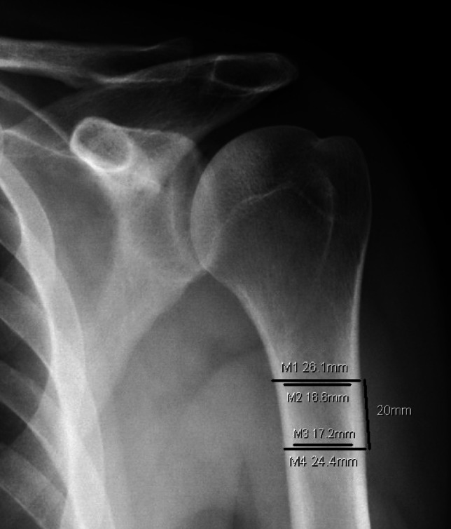
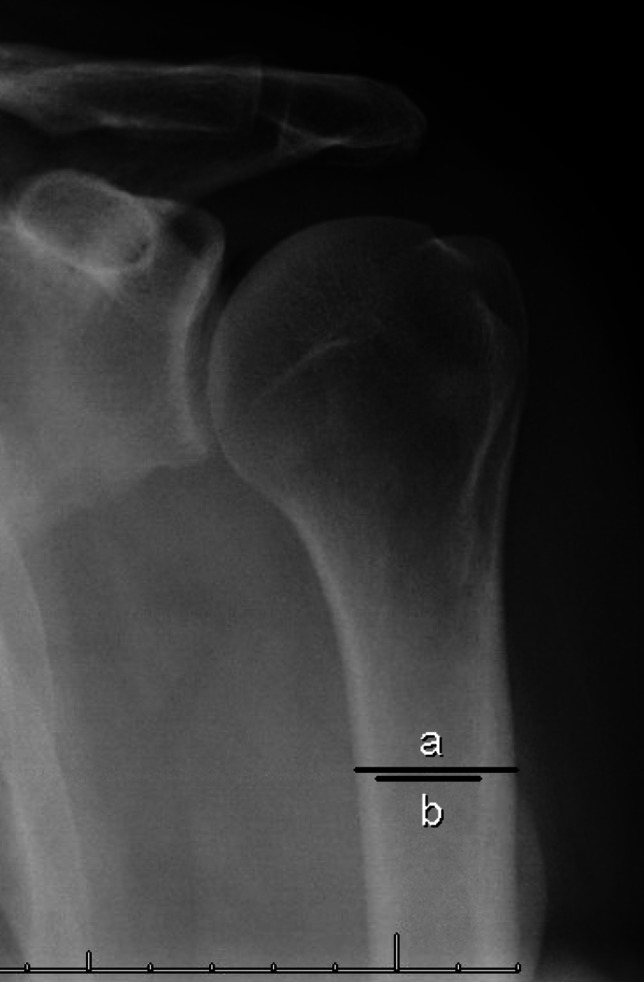
综述目的:本综述旨在汇总与治疗骨质疏松症患者肩部手术病理相关的现有文献:有关肩部手术患者围手术期使用抗骨质疏松症药物的最新数据并未显示出明确的有利或不利结果。在动物实验中进行的类似评估显示,作为肌腱和骨骼愈合的生物强化剂,抗骨质疏松症药物具有良好的疗效,尤其是较新的同化制剂。骨健康管理的支柱仍然是术前评估,使用基于射线和 CT 的机会性有效测量,同时优化风险因素。外科技术继续采用在骨质疏松骨质中表现良好的植入物。临床前研究发现,同化抗骨质疏松症药物可作为肩部手术的可行生物增强剂,但目前尚未在任何临床研究中得到证实。
本文章由计算机程序翻译,如有差异,请以英文原文为准。

Osteoporosis Management for Shoulder Surgeons.

Osteoporosis Management for Shoulder Surgeons.

Osteoporosis Management for Shoulder Surgeons.

Osteoporosis Management for Shoulder Surgeons.

Purpose of review: The aim of this review is to aggregate currently available literature as it pertains to treating surgical shoulder pathology in patients with osteoporosis.

Recent findings: Emerging data surrounding perioperative use of anti-osteoporosis medications for patients undergoing shoulder surgery have not shown definitively favorable or unfavorable outcomes. Similar evaluations in animal studies have shown promising results as a biologic augment to tendon and bone healing, especially with newer, anabolic agents. The mainstay of bone health management remains pre-operative evaluation, using opportunistic radiographic and CT based validated measurements, along with optimization of risk factors. Surgical techniques continue to incorporate implants that perform well in osteopenic bone. Promising pre-clinical studies have identified anabolic anti-osteoporosis medications as viable biologic augments to shoulder surgery, which has not been borne out in any clinical studies at this time.

求助全文
通过发布文献求助,成功后即可免费获取论文全文。 去求助
来源期刊
CiteScore
7.50
自引率
2.40%
发文量
64
期刊介绍: This journal intends to review the most significant recent developments in the field of musculoskeletal medicine. By providing clear, insightful, balanced contributions by expert world-renowned authors, the journal aims to serve all those involved in the diagnosis, treatment, management, and prevention of musculoskeletal-related conditions. We accomplish this aim by appointing authorities to serve as Section Editors in key subject areas, such as rehabilitation of the knee and hip, sports medicine, trauma, pediatrics, health policy, customization in arthroplasty, and rheumatology. Section Editors, in turn, select topics for which leading experts contribute comprehensive review articles that emphasize new developments and recently published papers of major importance, highlighted by annotated reference lists. We also provide commentaries from well-known figures in the field, and an Editorial Board of more than 20 diverse members suggests topics of special interest to their country/region and ensures that topics are current and include emerging research.
×
引用
GB/T 7714-2015
复制
MLA
复制
APA
复制
导出至
BibTeX EndNote RefMan NoteFirst NoteExpress
×
提示
您的信息不完整,为了账户安全,请先补充。
现在去补充
×
提示
您因"违规操作"
具体请查看互助需知
我知道了
×
提示
确定
请完成安全验证×
copy
已复制链接
快去分享给好友吧!
我知道了
右上角分享
点击右上角分享
0
联系我们:info@booksci.cn Book学术提供免费学术资源搜索服务,方便国内外学者检索中英文文献。致力于提供最便捷和优质的服务体验。 Copyright © 2023 布克学术 All rights reserved.
京ICP备2023020795号-1
ghs 京公网安备 11010802042870号
Book学术文献互助
Book学术文献互助群
群 号:604180095
Book学术官方微信