奇莱迪蒂征:肝硬化和慢性淋巴细胞白血病并发症患者的罕见发现

IF 0.6 Q3 MEDICINE, GENERAL & INTERNAL
Clinical Medicine Insights. Case Reports Pub Date : 2024-09-10 eCollection Date: 2024-01-01 DOI:10.1177/11795476241278973
Prosper Adjei, Prince Henry Asamoah, Dominic Asante Ohene, Augustina Amoakohene-Yeboah, Stanley Anenyemele Asasu
{"title":"奇莱迪蒂征:肝硬化和慢性淋巴细胞白血病并发症患者的罕见发现","authors":"Prosper Adjei, Prince Henry Asamoah, Dominic Asante Ohene, Augustina Amoakohene-Yeboah, Stanley Anenyemele Asasu","doi":"10.1177/11795476241278973","DOIUrl":null,"url":null,"abstract":"<p><p>Chilaiditi's sign is a rare radiological finding characterized by colonic interposition between the liver and the right hemidiaphragm. It is a cause of pseudopneumoperitoneum which is often mistaken for true pneumoperitoneum. In this article, we present the case of a 73-year-old female with a previous history of pulmonary tuberculosis, who reported to our hospital with progressive abdominal distension associated with early satiety, bipedal swelling, generalized weakness, worsening fatigue, and weight loss. Following evaluation, she was diagnosed with liver cirrhosis and chronic lymphocytic leukemia. Her chest radiograph also incidentally showed air under the right hemidiaphragm with haustral folds consistent with Chilaiditi's sign. Since she did not have signs of peritonitis, she was eventually treated for liver cirrhosis and chronic lymphocytic leukemia without undergoing any surgical intervention. This case report seeks to create awareness among clinicians about this rare radiological sign in order to prevent misdiagnosis leading to unnecessary surgical procedures.</p>","PeriodicalId":10357,"journal":{"name":"Clinical Medicine Insights. Case Reports","volume":"17 ","pages":"11795476241278973"},"PeriodicalIF":0.6000,"publicationDate":"2024-09-10","publicationTypes":"Journal Article","fieldsOfStudy":null,"isOpenAccess":false,"openAccessPdf":"https://www.ncbi.nlm.nih.gov/pmc/articles/PMC11406644/pdf/","citationCount":"0","resultStr":"{\"title\":\"Chilaiditi's Sign: A Rare Finding in a Patient with Concurrent Liver Cirrhosis and Chronic Lymphocytic Leukemia.\",\"authors\":\"Prosper Adjei, Prince Henry Asamoah, Dominic Asante Ohene, Augustina Amoakohene-Yeboah, Stanley Anenyemele Asasu\",\"doi\":\"10.1177/11795476241278973\",\"DOIUrl\":null,\"url\":null,\"abstract\":\"<p><p>Chilaiditi's sign is a rare radiological finding characterized by colonic interposition between the liver and the right hemidiaphragm. It is a cause of pseudopneumoperitoneum which is often mistaken for true pneumoperitoneum. In this article, we present the case of a 73-year-old female with a previous history of pulmonary tuberculosis, who reported to our hospital with progressive abdominal distension associated with early satiety, bipedal swelling, generalized weakness, worsening fatigue, and weight loss. Following evaluation, she was diagnosed with liver cirrhosis and chronic lymphocytic leukemia. Her chest radiograph also incidentally showed air under the right hemidiaphragm with haustral folds consistent with Chilaiditi's sign. Since she did not have signs of peritonitis, she was eventually treated for liver cirrhosis and chronic lymphocytic leukemia without undergoing any surgical intervention. This case report seeks to create awareness among clinicians about this rare radiological sign in order to prevent misdiagnosis leading to unnecessary surgical procedures.</p>\",\"PeriodicalId\":10357,\"journal\":{\"name\":\"Clinical Medicine Insights. Case Reports\",\"volume\":\"17 \",\"pages\":\"11795476241278973\"},\"PeriodicalIF\":0.6000,\"publicationDate\":\"2024-09-10\",\"publicationTypes\":\"Journal Article\",\"fieldsOfStudy\":null,\"isOpenAccess\":false,\"openAccessPdf\":\"https://www.ncbi.nlm.nih.gov/pmc/articles/PMC11406644/pdf/\",\"citationCount\":\"0\",\"resultStr\":null,\"platform\":\"Semanticscholar\",\"paperid\":null,\"PeriodicalName\":\"Clinical Medicine Insights. Case Reports\",\"FirstCategoryId\":\"1085\",\"ListUrlMain\":\"https://doi.org/10.1177/11795476241278973\",\"RegionNum\":0,\"RegionCategory\":null,\"ArticlePicture\":[],\"TitleCN\":null,\"AbstractTextCN\":null,\"PMCID\":null,\"EPubDate\":\"2024/1/1 0:00:00\",\"PubModel\":\"eCollection\",\"JCR\":\"Q3\",\"JCRName\":\"MEDICINE, GENERAL & INTERNAL\",\"Score\":null,\"Total\":0}","platform":"Semanticscholar","paperid":null,"PeriodicalName":"Clinical Medicine Insights. Case Reports","FirstCategoryId":"1085","ListUrlMain":"https://doi.org/10.1177/11795476241278973","RegionNum":0,"RegionCategory":null,"ArticlePicture":[],"TitleCN":null,"AbstractTextCN":null,"PMCID":null,"EPubDate":"2024/1/1 0:00:00","PubModel":"eCollection","JCR":"Q3","JCRName":"MEDICINE, GENERAL & INTERNAL","Score":null,"Total":0}
引用次数: 0

摘要

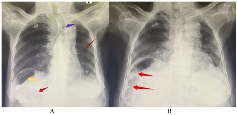
奇莱迪蒂征是一种罕见的放射学发现,其特点是结肠位于肝脏和右半膈之间。它是假性腹腔积气的原因之一,常常被误认为是真性腹腔积气。在本文中,我们介绍了一例 73 岁女性病例,她既往有肺结核病史,因进行性腹胀伴有早饱、双足浮肿、全身乏力、乏力加重和体重减轻到我院就诊。经过评估,她被诊断为肝硬化和慢性淋巴细胞白血病。她的胸片还意外显示右半膈下有空气,并伴有符合奇莱迪蒂征的胸膜皱褶。由于她没有腹膜炎的征象,最终她接受了肝硬化和慢性淋巴细胞白血病的治疗,没有进行任何手术干预。本病例报告旨在提高临床医生对这种罕见放射学征象的认识,以防止误诊导致不必要的外科手术。
本文章由计算机程序翻译,如有差异,请以英文原文为准。

Chilaiditi's Sign: A Rare Finding in a Patient with Concurrent Liver Cirrhosis and Chronic Lymphocytic Leukemia.

Chilaiditi's Sign: A Rare Finding in a Patient with Concurrent Liver Cirrhosis and Chronic Lymphocytic Leukemia.

Chilaiditi's Sign: A Rare Finding in a Patient with Concurrent Liver Cirrhosis and Chronic Lymphocytic Leukemia.

Chilaiditi's Sign: A Rare Finding in a Patient with Concurrent Liver Cirrhosis and Chronic Lymphocytic Leukemia.

Chilaiditi's sign is a rare radiological finding characterized by colonic interposition between the liver and the right hemidiaphragm. It is a cause of pseudopneumoperitoneum which is often mistaken for true pneumoperitoneum. In this article, we present the case of a 73-year-old female with a previous history of pulmonary tuberculosis, who reported to our hospital with progressive abdominal distension associated with early satiety, bipedal swelling, generalized weakness, worsening fatigue, and weight loss. Following evaluation, she was diagnosed with liver cirrhosis and chronic lymphocytic leukemia. Her chest radiograph also incidentally showed air under the right hemidiaphragm with haustral folds consistent with Chilaiditi's sign. Since she did not have signs of peritonitis, she was eventually treated for liver cirrhosis and chronic lymphocytic leukemia without undergoing any surgical intervention. This case report seeks to create awareness among clinicians about this rare radiological sign in order to prevent misdiagnosis leading to unnecessary surgical procedures.

求助全文
通过发布文献求助,成功后即可免费获取论文全文。 去求助
来源期刊
Clinical Medicine Insights. Case Reports
Clinical Medicine Insights. Case Reports MEDICINE, GENERAL & INTERNAL-
CiteScore
1.10
自引率
0.00%
发文量
57
审稿时长
8 weeks
×
引用
GB/T 7714-2015
复制
MLA
复制
APA
复制
导出至
BibTeX EndNote RefMan NoteFirst NoteExpress
×
提示
您的信息不完整,为了账户安全,请先补充。
现在去补充
×
提示
您因"违规操作"
具体请查看互助需知
我知道了
×
提示
确定
请完成安全验证×
copy
已复制链接
快去分享给好友吧!
我知道了
右上角分享
点击右上角分享
0
联系我们:info@booksci.cn Book学术提供免费学术资源搜索服务,方便国内外学者检索中英文文献。致力于提供最便捷和优质的服务体验。 Copyright © 2023 布克学术 All rights reserved.
京ICP备2023020795号-1
ghs 京公网安备 11010802042870号
Book学术文献互助
Book学术文献互助群
群 号:604180095
Book学术官方微信