唾液腺原发性导管 Her-2 阳性腺癌:长期随访病例报告和文献综述。

IF 0.4 Q4 OPHTHALMOLOGY
Case Reports in Ophthalmological Medicine Pub Date : 2024-09-12 eCollection Date: 2024-01-01 DOI:10.1155/2024/4410206
C L Deantoni, M Midulla, A Mirabile, A Chiara, R Lucchini, L Giannini, M Torrisi, A Fodor, N G Di Muzio, I Dell'Oca
{"title":"唾液腺原发性导管 Her-2 阳性腺癌:长期随访病例报告和文献综述。","authors":"C L Deantoni, M Midulla, A Mirabile, A Chiara, R Lucchini, L Giannini, M Torrisi, A Fodor, N G Di Muzio, I Dell'Oca","doi":"10.1155/2024/4410206","DOIUrl":null,"url":null,"abstract":"<p><p><b>Background:</b> Epithelial tumors of lacrimal glands are rare and primary ductal adenocarcinoma of the lacrimal gland accounts for only 2% of all epithelial lacrimal gland tumors. Considering its rarity and lack of uniform diagnostic criteria, treatment protocols are not well defined. In this study, we describe a Her-2 positive case and review previously reported cases. <b>Methods:</b> In 2012, a 42-year-old woman affected by primary ductal adenocarcinoma of the lacrimal gland was treated with transpalpebral anterior orbitotomy and adjuvant radiotherapy. In July 2013, she presented local relapse and she underwent orbital exenteration. In November 2013, for neck nodal progression, seven cycles of chemotherapy (cisplatin and epirubicin) associated with a humanized monoclonal antibody-targeting HER 2 therapy (trastuzumab and pertuzumab) were performed, with a marked response rate. Then, she underwent total parotidectomy with right neck lymphadenectomy and adjuvant hadrontherapy. <b>Results:</b> Nine years later (113 months) after treatment completion, the patient was alive without disease and with acceptable toxicity. <b>Conclusions:</b> In primary ductal adenocarcinoma of the lacrimal gland, early diagnosis and multimodal treatments could be crucial, considering its often aggressive tendency. Considering the lack of treatment guidelines, case report recording can be useful in patient management.</p>","PeriodicalId":9603,"journal":{"name":"Case Reports in Ophthalmological Medicine","volume":"2024 ","pages":"4410206"},"PeriodicalIF":0.4000,"publicationDate":"2024-09-12","publicationTypes":"Journal Article","fieldsOfStudy":null,"isOpenAccess":false,"openAccessPdf":"https://www.ncbi.nlm.nih.gov/pmc/articles/PMC11412745/pdf/","citationCount":"0","resultStr":"{\"title\":\"Primary Ductal Her-2 Positive Adenocarcinoma of Salivary Gland: A Long Follow-Up Case Report and Review of the Literature.\",\"authors\":\"C L Deantoni, M Midulla, A Mirabile, A Chiara, R Lucchini, L Giannini, M Torrisi, A Fodor, N G Di Muzio, I Dell'Oca\",\"doi\":\"10.1155/2024/4410206\",\"DOIUrl\":null,\"url\":null,\"abstract\":\"<p><p><b>Background:</b> Epithelial tumors of lacrimal glands are rare and primary ductal adenocarcinoma of the lacrimal gland accounts for only 2% of all epithelial lacrimal gland tumors. Considering its rarity and lack of uniform diagnostic criteria, treatment protocols are not well defined. In this study, we describe a Her-2 positive case and review previously reported cases. <b>Methods:</b> In 2012, a 42-year-old woman affected by primary ductal adenocarcinoma of the lacrimal gland was treated with transpalpebral anterior orbitotomy and adjuvant radiotherapy. In July 2013, she presented local relapse and she underwent orbital exenteration. In November 2013, for neck nodal progression, seven cycles of chemotherapy (cisplatin and epirubicin) associated with a humanized monoclonal antibody-targeting HER 2 therapy (trastuzumab and pertuzumab) were performed, with a marked response rate. Then, she underwent total parotidectomy with right neck lymphadenectomy and adjuvant hadrontherapy. <b>Results:</b> Nine years later (113 months) after treatment completion, the patient was alive without disease and with acceptable toxicity. <b>Conclusions:</b> In primary ductal adenocarcinoma of the lacrimal gland, early diagnosis and multimodal treatments could be crucial, considering its often aggressive tendency. Considering the lack of treatment guidelines, case report recording can be useful in patient management.</p>\",\"PeriodicalId\":9603,\"journal\":{\"name\":\"Case Reports in Ophthalmological Medicine\",\"volume\":\"2024 \",\"pages\":\"4410206\"},\"PeriodicalIF\":0.4000,\"publicationDate\":\"2024-09-12\",\"publicationTypes\":\"Journal Article\",\"fieldsOfStudy\":null,\"isOpenAccess\":false,\"openAccessPdf\":\"https://www.ncbi.nlm.nih.gov/pmc/articles/PMC11412745/pdf/\",\"citationCount\":\"0\",\"resultStr\":null,\"platform\":\"Semanticscholar\",\"paperid\":null,\"PeriodicalName\":\"Case Reports in Ophthalmological Medicine\",\"FirstCategoryId\":\"1085\",\"ListUrlMain\":\"https://doi.org/10.1155/2024/4410206\",\"RegionNum\":0,\"RegionCategory\":null,\"ArticlePicture\":[],\"TitleCN\":null,\"AbstractTextCN\":null,\"PMCID\":null,\"EPubDate\":\"2024/1/1 0:00:00\",\"PubModel\":\"eCollection\",\"JCR\":\"Q4\",\"JCRName\":\"OPHTHALMOLOGY\",\"Score\":null,\"Total\":0}","platform":"Semanticscholar","paperid":null,"PeriodicalName":"Case Reports in Ophthalmological Medicine","FirstCategoryId":"1085","ListUrlMain":"https://doi.org/10.1155/2024/4410206","RegionNum":0,"RegionCategory":null,"ArticlePicture":[],"TitleCN":null,"AbstractTextCN":null,"PMCID":null,"EPubDate":"2024/1/1 0:00:00","PubModel":"eCollection","JCR":"Q4","JCRName":"OPHTHALMOLOGY","Score":null,"Total":0}
引用次数: 0

摘要

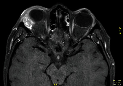
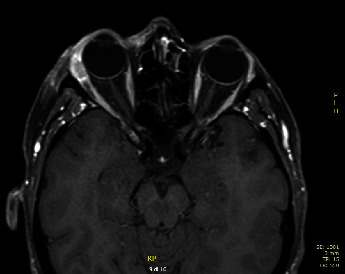
背景:泪腺上皮性肿瘤非常罕见,泪腺原发性导管腺癌仅占所有泪腺上皮性肿瘤的 2%。考虑到其罕见性和缺乏统一的诊断标准,治疗方案也没有得到很好的界定。在本研究中,我们描述了一例 Her-2 阳性病例,并回顾了之前报道的病例。研究方法2012年,一名42岁的女性患泪腺原发性导管腺癌,她接受了经眼球前眶切除术和辅助放疗。2013 年 7 月,她出现局部复发,于是接受了眼眶外扩张术。2013年11月,因颈部结节进展,她接受了7个周期的化疗(顺铂和表柔比星),同时使用人源化单克隆抗体靶向HER 2疗法(曲妥珠单抗和百妥珠单抗),取得了明显的反应率。随后,她接受了腮腺全切除术和右颈部淋巴结切除术,并接受了辅助性甲状腺治疗。结果:治疗结束九年后(113 个月),患者无病存活,毒性反应可接受。结论对于泪腺原发性导管腺癌,考虑到其往往具有侵袭性,早期诊断和多模式治疗至关重要。考虑到缺乏治疗指南,病例报告记录有助于患者的管理。
本文章由计算机程序翻译,如有差异,请以英文原文为准。

Primary Ductal Her-2 Positive Adenocarcinoma of Salivary Gland: A Long Follow-Up Case Report and Review of the Literature.

Primary Ductal Her-2 Positive Adenocarcinoma of Salivary Gland: A Long Follow-Up Case Report and Review of the Literature.

Primary Ductal Her-2 Positive Adenocarcinoma of Salivary Gland: A Long Follow-Up Case Report and Review of the Literature.

Background: Epithelial tumors of lacrimal glands are rare and primary ductal adenocarcinoma of the lacrimal gland accounts for only 2% of all epithelial lacrimal gland tumors. Considering its rarity and lack of uniform diagnostic criteria, treatment protocols are not well defined. In this study, we describe a Her-2 positive case and review previously reported cases. Methods: In 2012, a 42-year-old woman affected by primary ductal adenocarcinoma of the lacrimal gland was treated with transpalpebral anterior orbitotomy and adjuvant radiotherapy. In July 2013, she presented local relapse and she underwent orbital exenteration. In November 2013, for neck nodal progression, seven cycles of chemotherapy (cisplatin and epirubicin) associated with a humanized monoclonal antibody-targeting HER 2 therapy (trastuzumab and pertuzumab) were performed, with a marked response rate. Then, she underwent total parotidectomy with right neck lymphadenectomy and adjuvant hadrontherapy. Results: Nine years later (113 months) after treatment completion, the patient was alive without disease and with acceptable toxicity. Conclusions: In primary ductal adenocarcinoma of the lacrimal gland, early diagnosis and multimodal treatments could be crucial, considering its often aggressive tendency. Considering the lack of treatment guidelines, case report recording can be useful in patient management.

求助全文
通过发布文献求助,成功后即可免费获取论文全文。 去求助
来源期刊
自引率
0.00%
发文量
38
审稿时长
14 weeks
×
引用
GB/T 7714-2015
复制
MLA
复制
APA
复制
导出至
BibTeX EndNote RefMan NoteFirst NoteExpress
×
提示
您的信息不完整,为了账户安全,请先补充。
现在去补充
×
提示
您因"违规操作"
具体请查看互助需知
我知道了
×
提示
确定
请完成安全验证×
copy
已复制链接
快去分享给好友吧!
我知道了
右上角分享
点击右上角分享
0
联系我们:info@booksci.cn Book学术提供免费学术资源搜索服务,方便国内外学者检索中英文文献。致力于提供最便捷和优质的服务体验。 Copyright © 2023 布克学术 All rights reserved.
京ICP备2023020795号-1
ghs 京公网安备 11010802042870号
Book学术文献互助
Book学术文献互助群
群 号:604180095
Book学术官方微信