成人会厌炎是一种经常被忽视的危及生命的疾病,需要特别考虑气道问题;病例报告。

IF 2 Q1 EMERGENCY MEDICINE
Archives of Academic Emergency Medicine Pub Date : 2024-09-11 eCollection Date: 2024-01-01 DOI:10.22037/aaem.v12i1.2351
Hamzah Adel Ramawad, Robert Seatherton, Jessica Chineme
{"title":"成人会厌炎是一种经常被忽视的危及生命的疾病,需要特别考虑气道问题;病例报告。","authors":"Hamzah Adel Ramawad, Robert Seatherton, Jessica Chineme","doi":"10.22037/aaem.v12i1.2351","DOIUrl":null,"url":null,"abstract":"<p><p>After the implementation of vaccination against Haemophilus Influenza Type B (Hib), adult patients comprise the majority of patients with acute epiglottitis. Its presentation with stridor mandates swift recognition and intervention to prevent airway compromise and mortality. Here, we present a case of a 44-year-old male with diabetes mellitus who presented with acute onset of shortness of breath and stridor following days of throat soreness and fever. Initial treatment for suspected anaphylaxis provided partial relief, and emergency department evaluation revealed characteristic signs of acute epiglottitis on lateral soft tissue neck x-ray and nasopharyngoscopy. Treatment was initiated with intravenous ampicillin/sulbactam and dexamethasone, and the patient was discharged home on day 4. This case underscores the critical importance of maintaining a high index of suspicion for acute epiglottitis in adults presenting with stridor and respiratory distress. Prompt recognition, airway management, and appropriate antibiotic therapy are paramount in mitigating the potentially devastating outcomes associated with this condition. As demographics shift and vaccination impacts epidemiology, heightened vigilance in emergency settings is essential to improve outcomes in adult patients with acute epiglottitis.</p>","PeriodicalId":8146,"journal":{"name":"Archives of Academic Emergency Medicine","volume":"12 1","pages":"e69"},"PeriodicalIF":2.0000,"publicationDate":"2024-09-11","publicationTypes":"Journal Article","fieldsOfStudy":null,"isOpenAccess":false,"openAccessPdf":"https://www.ncbi.nlm.nih.gov/pmc/articles/PMC11408896/pdf/","citationCount":"0","resultStr":"{\"title\":\"Adult Epiglottitis as an Often Overlooked, Life-threatening Condition Requiring Special Airway Consideration; a Case Report.\",\"authors\":\"Hamzah Adel Ramawad, Robert Seatherton, Jessica Chineme\",\"doi\":\"10.22037/aaem.v12i1.2351\",\"DOIUrl\":null,\"url\":null,\"abstract\":\"<p><p>After the implementation of vaccination against Haemophilus Influenza Type B (Hib), adult patients comprise the majority of patients with acute epiglottitis. Its presentation with stridor mandates swift recognition and intervention to prevent airway compromise and mortality. Here, we present a case of a 44-year-old male with diabetes mellitus who presented with acute onset of shortness of breath and stridor following days of throat soreness and fever. Initial treatment for suspected anaphylaxis provided partial relief, and emergency department evaluation revealed characteristic signs of acute epiglottitis on lateral soft tissue neck x-ray and nasopharyngoscopy. Treatment was initiated with intravenous ampicillin/sulbactam and dexamethasone, and the patient was discharged home on day 4. This case underscores the critical importance of maintaining a high index of suspicion for acute epiglottitis in adults presenting with stridor and respiratory distress. Prompt recognition, airway management, and appropriate antibiotic therapy are paramount in mitigating the potentially devastating outcomes associated with this condition. As demographics shift and vaccination impacts epidemiology, heightened vigilance in emergency settings is essential to improve outcomes in adult patients with acute epiglottitis.</p>\",\"PeriodicalId\":8146,\"journal\":{\"name\":\"Archives of Academic Emergency Medicine\",\"volume\":\"12 1\",\"pages\":\"e69\"},\"PeriodicalIF\":2.0000,\"publicationDate\":\"2024-09-11\",\"publicationTypes\":\"Journal Article\",\"fieldsOfStudy\":null,\"isOpenAccess\":false,\"openAccessPdf\":\"https://www.ncbi.nlm.nih.gov/pmc/articles/PMC11408896/pdf/\",\"citationCount\":\"0\",\"resultStr\":null,\"platform\":\"Semanticscholar\",\"paperid\":null,\"PeriodicalName\":\"Archives of Academic Emergency Medicine\",\"FirstCategoryId\":\"1085\",\"ListUrlMain\":\"https://doi.org/10.22037/aaem.v12i1.2351\",\"RegionNum\":0,\"RegionCategory\":null,\"ArticlePicture\":[],\"TitleCN\":null,\"AbstractTextCN\":null,\"PMCID\":null,\"EPubDate\":\"2024/1/1 0:00:00\",\"PubModel\":\"eCollection\",\"JCR\":\"Q1\",\"JCRName\":\"EMERGENCY MEDICINE\",\"Score\":null,\"Total\":0}","platform":"Semanticscholar","paperid":null,"PeriodicalName":"Archives of Academic Emergency Medicine","FirstCategoryId":"1085","ListUrlMain":"https://doi.org/10.22037/aaem.v12i1.2351","RegionNum":0,"RegionCategory":null,"ArticlePicture":[],"TitleCN":null,"AbstractTextCN":null,"PMCID":null,"EPubDate":"2024/1/1 0:00:00","PubModel":"eCollection","JCR":"Q1","JCRName":"EMERGENCY MEDICINE","Score":null,"Total":0}
引用次数: 0

摘要

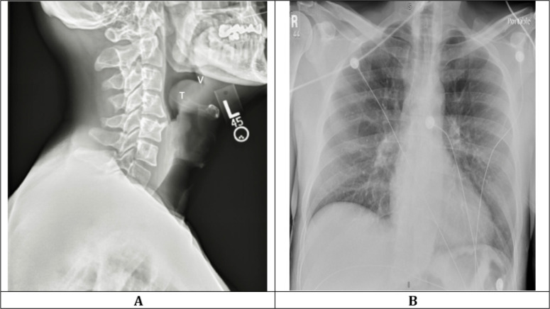
在实施乙型流感嗜血杆菌(Hib)疫苗接种后,急性会厌炎患者中大多数为成年患者。急性会厌炎表现为呼吸困难,必须迅速识别并采取干预措施,以防止气道受损和死亡。在此,我们介绍了一例 44 岁男性糖尿病患者的病例,他在咽喉疼痛和发热数日后出现急性呼吸急促和喘鸣。急诊科的评估结果显示,颈部软组织侧位 X 光片和鼻咽镜检查显示急性会厌炎的特征性体征。患者接受了静脉注射氨苄西林/舒巴坦和地塞米松的治疗,第 4 天出院回家。本病例强调,对于出现喘鸣和呼吸困难的成人,高度怀疑急性会厌炎至关重要。及时识别、气道管理和适当的抗生素治疗对于减轻与这种疾病相关的潜在破坏性后果至关重要。随着人口结构的变化和疫苗接种对流行病学的影响,在急诊环境中提高警惕对改善急性会厌炎成人患者的预后至关重要。
本文章由计算机程序翻译,如有差异,请以英文原文为准。

Adult Epiglottitis as an Often Overlooked, Life-threatening Condition Requiring Special Airway Consideration; a Case Report.

Adult Epiglottitis as an Often Overlooked, Life-threatening Condition Requiring Special Airway Consideration; a Case Report.

Adult Epiglottitis as an Often Overlooked, Life-threatening Condition Requiring Special Airway Consideration; a Case Report.

After the implementation of vaccination against Haemophilus Influenza Type B (Hib), adult patients comprise the majority of patients with acute epiglottitis. Its presentation with stridor mandates swift recognition and intervention to prevent airway compromise and mortality. Here, we present a case of a 44-year-old male with diabetes mellitus who presented with acute onset of shortness of breath and stridor following days of throat soreness and fever. Initial treatment for suspected anaphylaxis provided partial relief, and emergency department evaluation revealed characteristic signs of acute epiglottitis on lateral soft tissue neck x-ray and nasopharyngoscopy. Treatment was initiated with intravenous ampicillin/sulbactam and dexamethasone, and the patient was discharged home on day 4. This case underscores the critical importance of maintaining a high index of suspicion for acute epiglottitis in adults presenting with stridor and respiratory distress. Prompt recognition, airway management, and appropriate antibiotic therapy are paramount in mitigating the potentially devastating outcomes associated with this condition. As demographics shift and vaccination impacts epidemiology, heightened vigilance in emergency settings is essential to improve outcomes in adult patients with acute epiglottitis.

求助全文
通过发布文献求助,成功后即可免费获取论文全文。 去求助
来源期刊
Archives of Academic Emergency Medicine
Archives of Academic Emergency Medicine Medicine-Emergency Medicine
CiteScore
8.90
自引率
7.40%
发文量
0
审稿时长
6 weeks
×
引用
GB/T 7714-2015
复制
MLA
复制
APA
复制
导出至
BibTeX EndNote RefMan NoteFirst NoteExpress
×
提示
您的信息不完整,为了账户安全,请先补充。
现在去补充
×
提示
您因"违规操作"
具体请查看互助需知
我知道了
×
提示
确定
请完成安全验证×
copy
已复制链接
快去分享给好友吧!
我知道了
右上角分享
点击右上角分享
0
联系我们:info@booksci.cn Book学术提供免费学术资源搜索服务,方便国内外学者检索中英文文献。致力于提供最便捷和优质的服务体验。 Copyright © 2023 布克学术 All rights reserved.
京ICP备2023020795号-1
ghs 京公网安备 11010802042870号
Book学术文献互助
Book学术文献互助群
群 号:604180095
Book学术官方微信