通过锥形束断层扫描在有再治疗指征的病例中发现的程序错误:活体横断面研究。

IF 1.5
Restorative Dentistry & Endodontics Pub Date : 2024-06-24 eCollection Date: 2024-08-01 DOI:10.5395/rde.2024.49.e26
Henry Paul Valverde Haro, Carmen Rosa Garcia Rupaya, Flávio R F Alves
{"title":"通过锥形束断层扫描在有再治疗指征的病例中发现的程序错误:活体横断面研究。","authors":"Henry Paul Valverde Haro, Carmen Rosa Garcia Rupaya, Flávio R F Alves","doi":"10.5395/rde.2024.49.e26","DOIUrl":null,"url":null,"abstract":"<p><strong>Objectives: </strong>This study aimed to investigate the frequency and type of endodontic procedural errors in cases indicated for retreatment through cone-beam computed tomography (CBCT) analysis.</p><p><strong>Materials and methods: </strong>The sample consisted of 96 CBCT scans, encompassing 122 permanent teeth with fully formed roots. Errors included perforation, instrument fracture, canal transportation, missed canals, and inadequate apical limit of filling. Additionally, potential risk factors were analyzed and subjected to statistical modeling.</p><p><strong>Results: </strong>The most frequent procedural error observed was the inadequate apical limit of filling, followed by canal transportation, perforation, missed canal, and instrument fracture. Statistically significant associations were identified between various procedural errors and specific factors. These include canal transportation and root canal wall, with the buccal wall being the most commonly affected; missed canal and tooth type, particularly the palatine and second mesiobuccal canal canals; inadequate apical limit of filling and root curvature, showing a higher deviation to the mesial direction in severely curved canals; inadequate apical limit of filling and the presence of calcifications, with underfilling being the most frequent; canal transportation and periapical lesion, notably with deviation to the buccal direction; and the direction of perforation and periapical lesion, most frequently occurring to buccal direction.</p><p><strong>Conclusions: </strong>CBCT emerges as a valuable tool in identifying procedural errors and associated factors, crucial for their prevention and management.</p>","PeriodicalId":21102,"journal":{"name":"Restorative Dentistry & Endodontics","volume":"49 3","pages":"e26"},"PeriodicalIF":1.5000,"publicationDate":"2024-06-24","publicationTypes":"Journal Article","fieldsOfStudy":null,"isOpenAccess":false,"openAccessPdf":"https://www.ncbi.nlm.nih.gov/pmc/articles/PMC11377879/pdf/","citationCount":"0","resultStr":"{\"title\":\"Procedural errors detected by cone beam tomography in cases with indication for retreatment: <i>in vivo</i> cross-sectional study.\",\"authors\":\"Henry Paul Valverde Haro, Carmen Rosa Garcia Rupaya, Flávio R F Alves\",\"doi\":\"10.5395/rde.2024.49.e26\",\"DOIUrl\":null,\"url\":null,\"abstract\":\"<p><strong>Objectives: </strong>This study aimed to investigate the frequency and type of endodontic procedural errors in cases indicated for retreatment through cone-beam computed tomography (CBCT) analysis.</p><p><strong>Materials and methods: </strong>The sample consisted of 96 CBCT scans, encompassing 122 permanent teeth with fully formed roots. Errors included perforation, instrument fracture, canal transportation, missed canals, and inadequate apical limit of filling. Additionally, potential risk factors were analyzed and subjected to statistical modeling.</p><p><strong>Results: </strong>The most frequent procedural error observed was the inadequate apical limit of filling, followed by canal transportation, perforation, missed canal, and instrument fracture. Statistically significant associations were identified between various procedural errors and specific factors. These include canal transportation and root canal wall, with the buccal wall being the most commonly affected; missed canal and tooth type, particularly the palatine and second mesiobuccal canal canals; inadequate apical limit of filling and root curvature, showing a higher deviation to the mesial direction in severely curved canals; inadequate apical limit of filling and the presence of calcifications, with underfilling being the most frequent; canal transportation and periapical lesion, notably with deviation to the buccal direction; and the direction of perforation and periapical lesion, most frequently occurring to buccal direction.</p><p><strong>Conclusions: </strong>CBCT emerges as a valuable tool in identifying procedural errors and associated factors, crucial for their prevention and management.</p>\",\"PeriodicalId\":21102,\"journal\":{\"name\":\"Restorative Dentistry & Endodontics\",\"volume\":\"49 3\",\"pages\":\"e26\"},\"PeriodicalIF\":1.5000,\"publicationDate\":\"2024-06-24\",\"publicationTypes\":\"Journal Article\",\"fieldsOfStudy\":null,\"isOpenAccess\":false,\"openAccessPdf\":\"https://www.ncbi.nlm.nih.gov/pmc/articles/PMC11377879/pdf/\",\"citationCount\":\"0\",\"resultStr\":null,\"platform\":\"Semanticscholar\",\"paperid\":null,\"PeriodicalName\":\"Restorative Dentistry & Endodontics\",\"FirstCategoryId\":\"1085\",\"ListUrlMain\":\"https://doi.org/10.5395/rde.2024.49.e26\",\"RegionNum\":0,\"RegionCategory\":null,\"ArticlePicture\":[],\"TitleCN\":null,\"AbstractTextCN\":null,\"PMCID\":null,\"EPubDate\":\"2024/8/1 0:00:00\",\"PubModel\":\"eCollection\",\"JCR\":\"\",\"JCRName\":\"\",\"Score\":null,\"Total\":0}","platform":"Semanticscholar","paperid":null,"PeriodicalName":"Restorative Dentistry & Endodontics","FirstCategoryId":"1085","ListUrlMain":"https://doi.org/10.5395/rde.2024.49.e26","RegionNum":0,"RegionCategory":null,"ArticlePicture":[],"TitleCN":null,"AbstractTextCN":null,"PMCID":null,"EPubDate":"2024/8/1 0:00:00","PubModel":"eCollection","JCR":"","JCRName":"","Score":null,"Total":0}
引用次数: 0

摘要

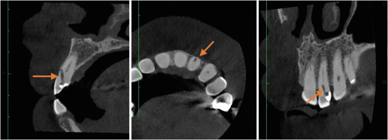
研究目的本研究旨在通过锥形束计算机断层扫描(CBCT)分析,调查牙髓治疗程序错误的频率和类型:样本包括 96 张 CBCT 扫描图,涵盖 122 颗牙根完全成形的恒牙。误差包括穿孔、器械折断、牙槽移位、遗漏牙槽和根尖充填极限不足。此外,还对潜在的风险因素进行了分析和统计建模:结果:最常见的程序错误是根尖充填极限不足,其次是根管运输、穿孔、遗漏根管和器械折断。各种程序错误与特定因素之间存在明显的统计学关联。这些因素包括:根管运输和根管壁,其中颊侧壁最常受到影响;遗漏的根管和牙齿类型,尤其是腭侧和第二中颊面管;根尖充填限值不足和根弯曲度,显示出严重弯曲的根管向中侧方向的偏差更大;根尖充填不足和存在钙化,其中以充填不足最为常见;根管运输和根尖周病变,特别是偏向颊侧方向;以及穿孔方向和根尖周病变,其中以偏向颊侧方向最为常见。结论:CBCT 是识别程序错误和相关因素的重要工具,对预防和管理这些错误至关重要。
本文章由计算机程序翻译,如有差异,请以英文原文为准。

Procedural errors detected by cone beam tomography in cases with indication for retreatment: <i>in vivo</i> cross-sectional study.

Procedural errors detected by cone beam tomography in cases with indication for retreatment: <i>in vivo</i> cross-sectional study.

Procedural errors detected by cone beam tomography in cases with indication for retreatment: <i>in vivo</i> cross-sectional study.

Procedural errors detected by cone beam tomography in cases with indication for retreatment: in vivo cross-sectional study.

Objectives: This study aimed to investigate the frequency and type of endodontic procedural errors in cases indicated for retreatment through cone-beam computed tomography (CBCT) analysis.

Materials and methods: The sample consisted of 96 CBCT scans, encompassing 122 permanent teeth with fully formed roots. Errors included perforation, instrument fracture, canal transportation, missed canals, and inadequate apical limit of filling. Additionally, potential risk factors were analyzed and subjected to statistical modeling.

Results: The most frequent procedural error observed was the inadequate apical limit of filling, followed by canal transportation, perforation, missed canal, and instrument fracture. Statistically significant associations were identified between various procedural errors and specific factors. These include canal transportation and root canal wall, with the buccal wall being the most commonly affected; missed canal and tooth type, particularly the palatine and second mesiobuccal canal canals; inadequate apical limit of filling and root curvature, showing a higher deviation to the mesial direction in severely curved canals; inadequate apical limit of filling and the presence of calcifications, with underfilling being the most frequent; canal transportation and periapical lesion, notably with deviation to the buccal direction; and the direction of perforation and periapical lesion, most frequently occurring to buccal direction.

Conclusions: CBCT emerges as a valuable tool in identifying procedural errors and associated factors, crucial for their prevention and management.

求助全文
通过发布文献求助,成功后即可免费获取论文全文。 去求助
来源期刊
CiteScore
0.20
自引率
0.00%
发文量
35
审稿时长
12 weeks
×
引用
GB/T 7714-2015
复制
MLA
复制
APA
复制
导出至
BibTeX EndNote RefMan NoteFirst NoteExpress
×
提示
您的信息不完整,为了账户安全,请先补充。
现在去补充
×
提示
您因"违规操作"
具体请查看互助需知
我知道了
×
提示
确定
请完成安全验证×
copy
已复制链接
快去分享给好友吧!
我知道了
右上角分享
点击右上角分享
0
联系我们:info@booksci.cn Book学术提供免费学术资源搜索服务,方便国内外学者检索中英文文献。致力于提供最便捷和优质的服务体验。 Copyright © 2023 布克学术 All rights reserved.
京ICP备2023020795号-1
ghs 京公网安备 11010802042870号
Book学术文献互助
Book学术文献互助群
群 号:604180095
Book学术官方微信