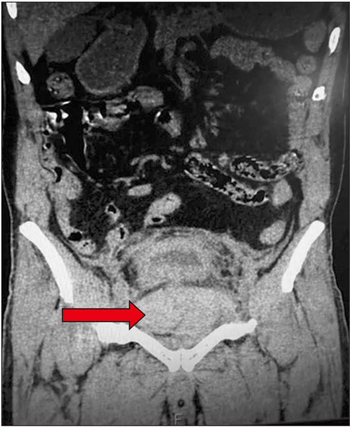
前列腺尿道上提术后盆腔血肿:高危患者需要提高警惕。

IF 2.1 3区 医学 Q2 UROLOGY & NEPHROLOGY
Gautam Shubhankar, Vikas Kumar Panwar, Avin Singhal, Ankur Mittal
{"title":"前列腺尿道上提术后盆腔血肿:高危患者需要提高警惕。","authors":"Gautam Shubhankar, Vikas Kumar Panwar, Avin Singhal, Ankur Mittal","doi":"10.4111/icu.20240228","DOIUrl":null,"url":null,"abstract":"","PeriodicalId":14522,"journal":{"name":"Investigative and Clinical Urology","volume":"65 5","pages":"518-521"},"PeriodicalIF":2.1000,"publicationDate":"2024-09-01","publicationTypes":"Journal Article","fieldsOfStudy":null,"isOpenAccess":false,"openAccessPdf":"https://www.ncbi.nlm.nih.gov/pmc/articles/PMC11390267/pdf/","citationCount":"0","resultStr":"{\"title\":\"Pelvic hematoma post prostatic urethral lift: A need to be vigilant in high-risk patients.\",\"authors\":\"Gautam Shubhankar, Vikas Kumar Panwar, Avin Singhal, Ankur Mittal\",\"doi\":\"10.4111/icu.20240228\",\"DOIUrl\":null,\"url\":null,\"abstract\":\"\",\"PeriodicalId\":14522,\"journal\":{\"name\":\"Investigative and Clinical Urology\",\"volume\":\"65 5\",\"pages\":\"518-521\"},\"PeriodicalIF\":2.1000,\"publicationDate\":\"2024-09-01\",\"publicationTypes\":\"Journal Article\",\"fieldsOfStudy\":null,\"isOpenAccess\":false,\"openAccessPdf\":\"https://www.ncbi.nlm.nih.gov/pmc/articles/PMC11390267/pdf/\",\"citationCount\":\"0\",\"resultStr\":null,\"platform\":\"Semanticscholar\",\"paperid\":null,\"PeriodicalName\":\"Investigative and Clinical Urology\",\"FirstCategoryId\":\"3\",\"ListUrlMain\":\"https://doi.org/10.4111/icu.20240228\",\"RegionNum\":3,\"RegionCategory\":\"医学\",\"ArticlePicture\":[],\"TitleCN\":null,\"AbstractTextCN\":null,\"PMCID\":null,\"EPubDate\":\"\",\"PubModel\":\"\",\"JCR\":\"Q2\",\"JCRName\":\"UROLOGY & NEPHROLOGY\",\"Score\":null,\"Total\":0}","platform":"Semanticscholar","paperid":null,"PeriodicalName":"Investigative and Clinical Urology","FirstCategoryId":"3","ListUrlMain":"https://doi.org/10.4111/icu.20240228","RegionNum":3,"RegionCategory":"医学","ArticlePicture":[],"TitleCN":null,"AbstractTextCN":null,"PMCID":null,"EPubDate":"","PubModel":"","JCR":"Q2","JCRName":"UROLOGY & NEPHROLOGY","Score":null,"Total":0}
引用次数: 0

摘要

本文章由计算机程序翻译,如有差异,请以英文原文为准。

Pelvic hematoma post prostatic urethral lift: A need to be vigilant in high-risk patients.

Pelvic hematoma post prostatic urethral lift: A need to be vigilant in high-risk patients.

Pelvic hematoma post prostatic urethral lift: A need to be vigilant in high-risk patients.

Pelvic hematoma post prostatic urethral lift: A need to be vigilant in high-risk patients.
求助全文
通过发布文献求助,成功后即可免费获取论文全文。 去求助
来源期刊
CiteScore
4.10
自引率
4.30%
发文量
82
审稿时长
4 weeks
期刊介绍: Investigative and Clinical Urology (Investig Clin Urol, ICUrology) is an international, peer-reviewed, platinum open access journal published bimonthly. ICUrology aims to provide outstanding scientific and clinical research articles, that will advance knowledge and understanding of urological diseases and current therapeutic treatments. ICUrology publishes Original Articles, Rapid Communications, Review Articles, Special Articles, Innovations in Urology, Editorials, and Letters to the Editor, with a focus on the following areas of expertise: • Precision Medicine in Urology • Urological Oncology • Robotics/Laparoscopy • Endourology/Urolithiasis • Lower Urinary Tract Dysfunction • Female Urology • Sexual Dysfunction/Infertility • Infection/Inflammation • Reconstruction/Transplantation • Geriatric Urology • Pediatric Urology • Basic/Translational Research One of the notable features of ICUrology is the application of multimedia platforms facilitating easy-to-access online video clips of newly developed surgical techniques from the journal''s website, by a QR (quick response) code located in the article, or via YouTube. ICUrology provides current and highly relevant knowledge to a broad audience at the cutting edge of urological research and clinical practice.
×
引用
GB/T 7714-2015
复制
MLA
复制
APA
复制
导出至
BibTeX EndNote RefMan NoteFirst NoteExpress
×
提示
您的信息不完整,为了账户安全,请先补充。
现在去补充
×
提示
您因"违规操作"
具体请查看互助需知
我知道了
×
提示
确定
请完成安全验证×
copy
已复制链接
快去分享给好友吧!
我知道了
右上角分享
点击右上角分享
0
联系我们:info@booksci.cn Book学术提供免费学术资源搜索服务,方便国内外学者检索中英文文献。致力于提供最便捷和优质的服务体验。 Copyright © 2023 布克学术 All rights reserved.
京ICP备2023020795号-1
ghs 京公网安备 11010802042870号
Book学术文献互助
Book学术文献互助群
群 号:604180095
Book学术官方微信