针对 H7 亚型禽流感病毒的重组抗体的表达和特征及其诊断潜力。

IF 4 2区 生物学 Q2 MICROBIOLOGY
Frontiers in Microbiology Pub Date : 2024-08-23 eCollection Date: 2024-01-01 DOI:10.3389/fmicb.2024.1459402
Siwen Wang, Ying Zhang, Xu Zhou, Yue Ma, Jianzhong Shi, Yongping Jiang, Yanbing Li, Guobin Tian, Xiurong Wang
{"title":"针对 H7 亚型禽流感病毒的重组抗体的表达和特征及其诊断潜力。","authors":"Siwen Wang, Ying Zhang, Xu Zhou, Yue Ma, Jianzhong Shi, Yongping Jiang, Yanbing Li, Guobin Tian, Xiurong Wang","doi":"10.3389/fmicb.2024.1459402","DOIUrl":null,"url":null,"abstract":"<p><strong>Introduction: </strong>Monoclonal antibodies (mAbs) play a pivotal role in disease diagnosis as well as immunotherapy interventions. Traditional monoclonal antibody generation relies on animal immunization procedures predominantly involving mice; however, recent advances in <i>in-vitro</i> expression methodologies have enabled large-scale production suitable for both industrial applications as well as scientific investigations.</p><p><strong>Methods: </strong>In this study, two mAbs against H7 subtype avian influenza viruses (AIV) were sequenced and analyzed, and the DNA sequences encoding heavy chain (HC) and light chain (LC) were obtained and cloned into pCHO-1.0 expression vector. Then, the HC and LC expression plasmids were transfected into CHO-S cells to establish stable cell lines expressing these mAbs using a two-phase selection scheme with different concentrations of methotrexate and puromycin. Recombinant antibodies were purified from the cell culture medium, and their potential applications were evaluated using hemagglutination inhibition (HI), western blotting (WB), confocal microscopy, and enzyme-linked immunosorbent assay (ELISA).</p><p><strong>Results: </strong>The results indicated that the obtained recombinant antibodies exhibited biological activity similar to that of the parent antibodies derived from ascites and could be used as a replacement for animal-derived mAbs. A kinetic analysis of the two antibodies to the AIV HA protein, conducted using surface plasmon resonance (SPR), showed concordance between the recombinant and parental antibodies.</p><p><strong>Discussion: </strong>The data presented in this study suggest that the described antibody production protocol could avoid the use of experimental animals and better conform to animal welfare regulations, and provides a basis for further research and development of mAbs-based diagnostic products.</p>","PeriodicalId":12466,"journal":{"name":"Frontiers in Microbiology","volume":"15 ","pages":"1459402"},"PeriodicalIF":4.0000,"publicationDate":"2024-08-23","publicationTypes":"Journal Article","fieldsOfStudy":null,"isOpenAccess":false,"openAccessPdf":"https://www.ncbi.nlm.nih.gov/pmc/articles/PMC11377330/pdf/","citationCount":"0","resultStr":"{\"title\":\"Expression and characterization of recombinant antibodies against H7 subtype avian influenza virus and their diagnostic potential.\",\"authors\":\"Siwen Wang, Ying Zhang, Xu Zhou, Yue Ma, Jianzhong Shi, Yongping Jiang, Yanbing Li, Guobin Tian, Xiurong Wang\",\"doi\":\"10.3389/fmicb.2024.1459402\",\"DOIUrl\":null,\"url\":null,\"abstract\":\"<p><strong>Introduction: </strong>Monoclonal antibodies (mAbs) play a pivotal role in disease diagnosis as well as immunotherapy interventions. Traditional monoclonal antibody generation relies on animal immunization procedures predominantly involving mice; however, recent advances in <i>in-vitro</i> expression methodologies have enabled large-scale production suitable for both industrial applications as well as scientific investigations.</p><p><strong>Methods: </strong>In this study, two mAbs against H7 subtype avian influenza viruses (AIV) were sequenced and analyzed, and the DNA sequences encoding heavy chain (HC) and light chain (LC) were obtained and cloned into pCHO-1.0 expression vector. Then, the HC and LC expression plasmids were transfected into CHO-S cells to establish stable cell lines expressing these mAbs using a two-phase selection scheme with different concentrations of methotrexate and puromycin. Recombinant antibodies were purified from the cell culture medium, and their potential applications were evaluated using hemagglutination inhibition (HI), western blotting (WB), confocal microscopy, and enzyme-linked immunosorbent assay (ELISA).</p><p><strong>Results: </strong>The results indicated that the obtained recombinant antibodies exhibited biological activity similar to that of the parent antibodies derived from ascites and could be used as a replacement for animal-derived mAbs. A kinetic analysis of the two antibodies to the AIV HA protein, conducted using surface plasmon resonance (SPR), showed concordance between the recombinant and parental antibodies.</p><p><strong>Discussion: </strong>The data presented in this study suggest that the described antibody production protocol could avoid the use of experimental animals and better conform to animal welfare regulations, and provides a basis for further research and development of mAbs-based diagnostic products.</p>\",\"PeriodicalId\":12466,\"journal\":{\"name\":\"Frontiers in Microbiology\",\"volume\":\"15 \",\"pages\":\"1459402\"},\"PeriodicalIF\":4.0000,\"publicationDate\":\"2024-08-23\",\"publicationTypes\":\"Journal Article\",\"fieldsOfStudy\":null,\"isOpenAccess\":false,\"openAccessPdf\":\"https://www.ncbi.nlm.nih.gov/pmc/articles/PMC11377330/pdf/\",\"citationCount\":\"0\",\"resultStr\":null,\"platform\":\"Semanticscholar\",\"paperid\":null,\"PeriodicalName\":\"Frontiers in Microbiology\",\"FirstCategoryId\":\"99\",\"ListUrlMain\":\"https://doi.org/10.3389/fmicb.2024.1459402\",\"RegionNum\":2,\"RegionCategory\":\"生物学\",\"ArticlePicture\":[],\"TitleCN\":null,\"AbstractTextCN\":null,\"PMCID\":null,\"EPubDate\":\"2024/1/1 0:00:00\",\"PubModel\":\"eCollection\",\"JCR\":\"Q2\",\"JCRName\":\"MICROBIOLOGY\",\"Score\":null,\"Total\":0}","platform":"Semanticscholar","paperid":null,"PeriodicalName":"Frontiers in Microbiology","FirstCategoryId":"99","ListUrlMain":"https://doi.org/10.3389/fmicb.2024.1459402","RegionNum":2,"RegionCategory":"生物学","ArticlePicture":[],"TitleCN":null,"AbstractTextCN":null,"PMCID":null,"EPubDate":"2024/1/1 0:00:00","PubModel":"eCollection","JCR":"Q2","JCRName":"MICROBIOLOGY","Score":null,"Total":0}
引用次数: 0

摘要

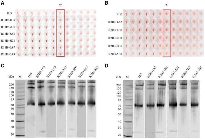
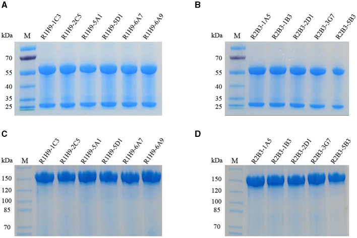
简介单克隆抗体(mAbs)在疾病诊断和免疫治疗干预中发挥着关键作用。传统的单克隆抗体生产主要依赖于小鼠的动物免疫程序;然而,体外表达方法的最新进展使得大规模生产既适用于工业应用,也适用于科学研究:本研究对两种针对 H7 亚型禽流感病毒(AIV)的 mAbs 进行了测序和分析,获得了编码重链(HC)和轻链(LC)的 DNA 序列,并将其克隆到 pCHO-1.0 表达载体中。然后,将 HC 和 LC 表达质粒转染到 CHO-S 细胞中,使用不同浓度的甲氨蝶呤和嘌呤霉素进行两阶段选择,建立表达这些 mAbs 的稳定细胞系。从细胞培养基中纯化重组抗体,并使用血凝抑制(HI)、西部印迹(WB)、共聚焦显微镜和酶联免疫吸附试验(ELISA)评估其潜在应用:结果表明,所获得的重组抗体具有与来自腹水的母体抗体相似的生物活性,可用于替代动物来源的 mAbs。利用表面等离子体共振(SPR)技术对两种抗体与 AIV HA 蛋白的动力学分析表明,重组抗体与亲代抗体具有一致性:本研究提供的数据表明,所述抗体生产方案可避免使用实验动物,更符合动物福利法规,并为进一步研究和开发基于 mAbs 的诊断产品奠定了基础。
本文章由计算机程序翻译,如有差异,请以英文原文为准。

Expression and characterization of recombinant antibodies against H7 subtype avian influenza virus and their diagnostic potential.

Expression and characterization of recombinant antibodies against H7 subtype avian influenza virus and their diagnostic potential.

Expression and characterization of recombinant antibodies against H7 subtype avian influenza virus and their diagnostic potential.

Expression and characterization of recombinant antibodies against H7 subtype avian influenza virus and their diagnostic potential.

Introduction: Monoclonal antibodies (mAbs) play a pivotal role in disease diagnosis as well as immunotherapy interventions. Traditional monoclonal antibody generation relies on animal immunization procedures predominantly involving mice; however, recent advances in in-vitro expression methodologies have enabled large-scale production suitable for both industrial applications as well as scientific investigations.

Methods: In this study, two mAbs against H7 subtype avian influenza viruses (AIV) were sequenced and analyzed, and the DNA sequences encoding heavy chain (HC) and light chain (LC) were obtained and cloned into pCHO-1.0 expression vector. Then, the HC and LC expression plasmids were transfected into CHO-S cells to establish stable cell lines expressing these mAbs using a two-phase selection scheme with different concentrations of methotrexate and puromycin. Recombinant antibodies were purified from the cell culture medium, and their potential applications were evaluated using hemagglutination inhibition (HI), western blotting (WB), confocal microscopy, and enzyme-linked immunosorbent assay (ELISA).

Results: The results indicated that the obtained recombinant antibodies exhibited biological activity similar to that of the parent antibodies derived from ascites and could be used as a replacement for animal-derived mAbs. A kinetic analysis of the two antibodies to the AIV HA protein, conducted using surface plasmon resonance (SPR), showed concordance between the recombinant and parental antibodies.

Discussion: The data presented in this study suggest that the described antibody production protocol could avoid the use of experimental animals and better conform to animal welfare regulations, and provides a basis for further research and development of mAbs-based diagnostic products.

求助全文
通过发布文献求助,成功后即可免费获取论文全文。 去求助
来源期刊
CiteScore
7.70
自引率
9.60%
发文量
4837
审稿时长
14 weeks
期刊介绍: Frontiers in Microbiology is a leading journal in its field, publishing rigorously peer-reviewed research across the entire spectrum of microbiology. Field Chief Editor Martin G. Klotz at Washington State University is supported by an outstanding Editorial Board of international researchers. This multidisciplinary open-access journal is at the forefront of disseminating and communicating scientific knowledge and impactful discoveries to researchers, academics, clinicians and the public worldwide.
×
引用
GB/T 7714-2015
复制
MLA
复制
APA
复制
导出至
BibTeX EndNote RefMan NoteFirst NoteExpress
×
提示
您的信息不完整,为了账户安全,请先补充。
现在去补充
×
提示
您因"违规操作"
具体请查看互助需知
我知道了
×
提示
确定
请完成安全验证×
copy
已复制链接
快去分享给好友吧!
我知道了
右上角分享
点击右上角分享
0
联系我们:info@booksci.cn Book学术提供免费学术资源搜索服务,方便国内外学者检索中英文文献。致力于提供最便捷和优质的服务体验。 Copyright © 2023 布克学术 All rights reserved.
京ICP备2023020795号-1
ghs 京公网安备 11010802042870号
Book学术文献互助
Book学术文献互助群
群 号:604180095
Book学术官方微信