破裂的三激素分泌型肾上腺皮质癌伴有高醛固酮血症、高皮质醇血症和正常肾上腺素升高:病例报告。

IF 1.4 Q3 MEDICINE, GENERAL & INTERNAL
Journal of Yeungnam medical science Pub Date : 2024-10-01 Epub Date: 2024-09-06 DOI:10.12701/jyms.2024.00626
Sin Yung Woo, Seongji Park, Kun Young Kwon, Dong-Mee Lim, Keun-Young Park, Jong-Dai Kim
{"title":"破裂的三激素分泌型肾上腺皮质癌伴有高醛固酮血症、高皮质醇血症和正常肾上腺素升高:病例报告。","authors":"Sin Yung Woo, Seongji Park, Kun Young Kwon, Dong-Mee Lim, Keun-Young Park, Jong-Dai Kim","doi":"10.12701/jyms.2024.00626","DOIUrl":null,"url":null,"abstract":"<p><p>We report a case of a ruptured triple hormone-secreting adrenal mass with hyperaldosteronism, hypercortisolism, and elevated normetanephrine levels, diagnosed as adrenal cortical carcinoma (ACC) by histology. A 53-year-old male patient who initially presented with abdominal pain was referred to our hospital for angiocoagulation of an adrenal mass rupture. Abdominal computed tomography revealed a heterogeneous 19×11×15 cm right adrenal mass with invasion into the right lobe of the liver, inferior vena cava, retrocaval lymph nodes, and aortocaval lymph nodes. Angiocoagulation was performed. Laboratory evaluation revealed excess cortisol via a positive 1-mg overnight dexamethasone suppression test, primary hyperaldosteronism via a positive saline infusion test, and plasma normetanephrine levels three times higher than normal. An adrenal mass biopsy was performed for pathological confirmation to commence palliative chemotherapy because surgical management was not deemed appropriate considering the extent of the tumor. Pathological examination revealed stage T4N1M1 ACC. The patient started the first cycle of adjuvant mitotane therapy along with adjuvant treatment with doxorubicin, cisplatin, and etoposide, and was discharged. Clinical cases of dual cortisol- and aldosterone-secreting ACCs or ACCs presenting as pheochromocytomas have occasionally been reported; however, both are rare. Moreover, to the best of our knowledge, a triple hormone-secreting ACC has not yet been reported. Here, we report a rare case and its management. This case report underscores the necessity of performing comprehensive clinical and biochemical hormone evaluations in patients with adrenal masses because ACC can present with multiple hormone elevations.</p>","PeriodicalId":74020,"journal":{"name":"Journal of Yeungnam medical science","volume":" ","pages":"306-311"},"PeriodicalIF":1.4000,"publicationDate":"2024-10-01","publicationTypes":"Journal Article","fieldsOfStudy":null,"isOpenAccess":false,"openAccessPdf":"https://www.ncbi.nlm.nih.gov/pmc/articles/PMC11534413/pdf/","citationCount":"0","resultStr":"{\"title\":\"Ruptured triple hormone-secreting adrenal cortical carcinoma with hyperaldosteronism, hypercortisolism, and elevated normetanephrine: a case report.\",\"authors\":\"Sin Yung Woo, Seongji Park, Kun Young Kwon, Dong-Mee Lim, Keun-Young Park, Jong-Dai Kim\",\"doi\":\"10.12701/jyms.2024.00626\",\"DOIUrl\":null,\"url\":null,\"abstract\":\"<p><p>We report a case of a ruptured triple hormone-secreting adrenal mass with hyperaldosteronism, hypercortisolism, and elevated normetanephrine levels, diagnosed as adrenal cortical carcinoma (ACC) by histology. A 53-year-old male patient who initially presented with abdominal pain was referred to our hospital for angiocoagulation of an adrenal mass rupture. Abdominal computed tomography revealed a heterogeneous 19×11×15 cm right adrenal mass with invasion into the right lobe of the liver, inferior vena cava, retrocaval lymph nodes, and aortocaval lymph nodes. Angiocoagulation was performed. Laboratory evaluation revealed excess cortisol via a positive 1-mg overnight dexamethasone suppression test, primary hyperaldosteronism via a positive saline infusion test, and plasma normetanephrine levels three times higher than normal. An adrenal mass biopsy was performed for pathological confirmation to commence palliative chemotherapy because surgical management was not deemed appropriate considering the extent of the tumor. Pathological examination revealed stage T4N1M1 ACC. The patient started the first cycle of adjuvant mitotane therapy along with adjuvant treatment with doxorubicin, cisplatin, and etoposide, and was discharged. Clinical cases of dual cortisol- and aldosterone-secreting ACCs or ACCs presenting as pheochromocytomas have occasionally been reported; however, both are rare. Moreover, to the best of our knowledge, a triple hormone-secreting ACC has not yet been reported. Here, we report a rare case and its management. This case report underscores the necessity of performing comprehensive clinical and biochemical hormone evaluations in patients with adrenal masses because ACC can present with multiple hormone elevations.</p>\",\"PeriodicalId\":74020,\"journal\":{\"name\":\"Journal of Yeungnam medical science\",\"volume\":\" \",\"pages\":\"306-311\"},\"PeriodicalIF\":1.4000,\"publicationDate\":\"2024-10-01\",\"publicationTypes\":\"Journal Article\",\"fieldsOfStudy\":null,\"isOpenAccess\":false,\"openAccessPdf\":\"https://www.ncbi.nlm.nih.gov/pmc/articles/PMC11534413/pdf/\",\"citationCount\":\"0\",\"resultStr\":null,\"platform\":\"Semanticscholar\",\"paperid\":null,\"PeriodicalName\":\"Journal of Yeungnam medical science\",\"FirstCategoryId\":\"1085\",\"ListUrlMain\":\"https://doi.org/10.12701/jyms.2024.00626\",\"RegionNum\":0,\"RegionCategory\":null,\"ArticlePicture\":[],\"TitleCN\":null,\"AbstractTextCN\":null,\"PMCID\":null,\"EPubDate\":\"2024/9/6 0:00:00\",\"PubModel\":\"Epub\",\"JCR\":\"Q3\",\"JCRName\":\"MEDICINE, GENERAL & INTERNAL\",\"Score\":null,\"Total\":0}","platform":"Semanticscholar","paperid":null,"PeriodicalName":"Journal of Yeungnam medical science","FirstCategoryId":"1085","ListUrlMain":"https://doi.org/10.12701/jyms.2024.00626","RegionNum":0,"RegionCategory":null,"ArticlePicture":[],"TitleCN":null,"AbstractTextCN":null,"PMCID":null,"EPubDate":"2024/9/6 0:00:00","PubModel":"Epub","JCR":"Q3","JCRName":"MEDICINE, GENERAL & INTERNAL","Score":null,"Total":0}
引用次数: 0

摘要

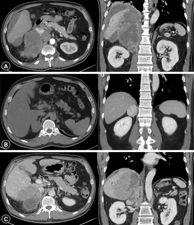
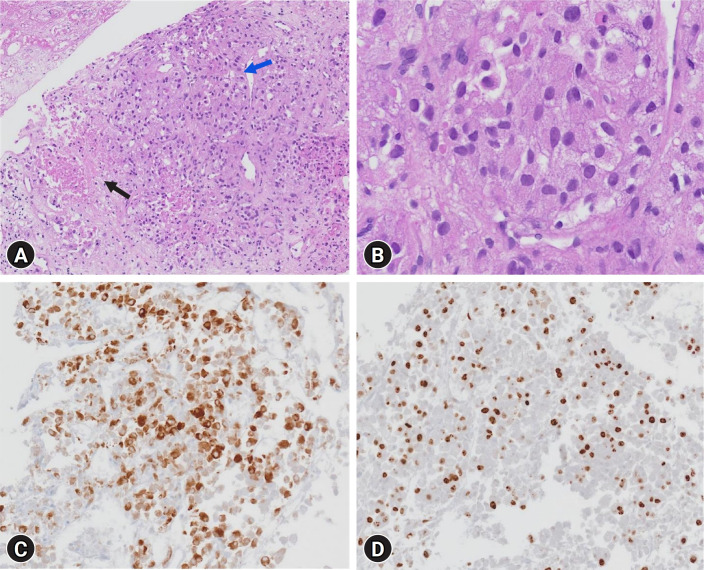
我们报告了一例三重激素分泌型肾上腺肿块破裂病例,患者伴有高醛固酮血症、高皮质醇血症和正常肾上腺素水平升高,经组织学诊断为肾上腺皮质癌(ACC)。一名 53 岁的男性患者最初因腹痛被转诊至我院,接受肾上腺肿块破裂血管凝固术。腹部计算机断层扫描显示,患者右侧肾上腺有一个 19×11×15 厘米的异型肿块,肿块侵犯肝右叶、下腔静脉、后腔淋巴结和主动脉淋巴结。患者接受了血管凝固治疗。实验室评估显示,1 毫克过夜地塞米松抑制试验阳性,皮质醇过多;生理盐水输注试验阳性,原发性醛固酮过多症;血浆去甲肾上腺素水平高于正常值三倍。由于考虑到肿瘤的范围,手术治疗并不合适,因此患者接受了肾上腺肿块活检进行病理确认,以便开始姑息化疗。病理检查显示患者为 T4N1M1 期 ACC。患者开始了第一周期的米托坦辅助治疗以及多柔比星、顺铂和依托泊苷的辅助治疗,随后出院。皮质醇和醛固酮双重分泌型 ACC 或 ACC 表现为嗜铬细胞瘤的临床病例偶有报道,但这两种情况都很少见。此外,据我们所知,还没有关于三重激素分泌型 ACC 的报道。在此,我们报告了一例罕见病例及其治疗方法。本病例报告强调了对肾上腺肿块患者进行全面的临床和生化激素评估的必要性,因为 ACC 可表现为多种激素升高。
本文章由计算机程序翻译,如有差异,请以英文原文为准。

Ruptured triple hormone-secreting adrenal cortical carcinoma with hyperaldosteronism, hypercortisolism, and elevated normetanephrine: a case report.

Ruptured triple hormone-secreting adrenal cortical carcinoma with hyperaldosteronism, hypercortisolism, and elevated normetanephrine: a case report.

Ruptured triple hormone-secreting adrenal cortical carcinoma with hyperaldosteronism, hypercortisolism, and elevated normetanephrine: a case report.

We report a case of a ruptured triple hormone-secreting adrenal mass with hyperaldosteronism, hypercortisolism, and elevated normetanephrine levels, diagnosed as adrenal cortical carcinoma (ACC) by histology. A 53-year-old male patient who initially presented with abdominal pain was referred to our hospital for angiocoagulation of an adrenal mass rupture. Abdominal computed tomography revealed a heterogeneous 19×11×15 cm right adrenal mass with invasion into the right lobe of the liver, inferior vena cava, retrocaval lymph nodes, and aortocaval lymph nodes. Angiocoagulation was performed. Laboratory evaluation revealed excess cortisol via a positive 1-mg overnight dexamethasone suppression test, primary hyperaldosteronism via a positive saline infusion test, and plasma normetanephrine levels three times higher than normal. An adrenal mass biopsy was performed for pathological confirmation to commence palliative chemotherapy because surgical management was not deemed appropriate considering the extent of the tumor. Pathological examination revealed stage T4N1M1 ACC. The patient started the first cycle of adjuvant mitotane therapy along with adjuvant treatment with doxorubicin, cisplatin, and etoposide, and was discharged. Clinical cases of dual cortisol- and aldosterone-secreting ACCs or ACCs presenting as pheochromocytomas have occasionally been reported; however, both are rare. Moreover, to the best of our knowledge, a triple hormone-secreting ACC has not yet been reported. Here, we report a rare case and its management. This case report underscores the necessity of performing comprehensive clinical and biochemical hormone evaluations in patients with adrenal masses because ACC can present with multiple hormone elevations.

求助全文
通过发布文献求助,成功后即可免费获取论文全文。 去求助
来源期刊
CiteScore
0.80
自引率
0.00%
发文量
0
×
引用
GB/T 7714-2015
复制
MLA
复制
APA
复制
导出至
BibTeX EndNote RefMan NoteFirst NoteExpress
×
提示
您的信息不完整,为了账户安全,请先补充。
现在去补充
×
提示
您因"违规操作"
具体请查看互助需知
我知道了
×
提示
确定
请完成安全验证×
copy
已复制链接
快去分享给好友吧!
我知道了
右上角分享
点击右上角分享
0
联系我们:info@booksci.cn Book学术提供免费学术资源搜索服务,方便国内外学者检索中英文文献。致力于提供最便捷和优质的服务体验。 Copyright © 2023 布克学术 All rights reserved.
京ICP备2023020795号-1
ghs 京公网安备 11010802042870号
Book学术文献互助
Book学术文献互助群
群 号:604180095
Book学术官方微信