肾移植患者的眼表鳞状上皮肿瘤

Beyoglu Eye Journal Pub Date : 2024-09-01 eCollection Date: 2024-01-01 DOI:10.14744/bej.2024.79664
Anil Kaplan, Taner Akalin, Melis Palamar
{"title":"肾移植患者的眼表鳞状上皮肿瘤","authors":"Anil Kaplan, Taner Akalin, Melis Palamar","doi":"10.14744/bej.2024.79664","DOIUrl":null,"url":null,"abstract":"<p><p>Transplantation surgery becomes more widespread with time worldwide; organ transplantation increases the risk of developing malignancies. This phenomenon is primarily due to immunosuppressive treatment which is one of the mainstay approaches to prevent transplant rejection. It is aimed to describe clinical signs and symptoms of histologically proven ocular surface squamous neoplasia (OSSN) in renal transplant patients. Three patients, who previously underwent renal transplant surgery, diagnosed with OSSN are presented. The histopathological examination results were conclusive for squamous cell neoplasia in all cases. No recurrence in any patients was observed after total surgical excision, cryotherapy, and reconstruction with amniotic membrane. Solid organ transplant patients undergo intense immunosuppressive treatment to prevent transplant rejection. That immunosuppressive treatment increases the risk of developing secondary malignancies including OSSN. It is important to inform all transplant patients about these risks. Even though OSSN is known to be a relatively benign acting tumor that rarely metastasizes to distant organs, the clinical course might change if it develops in an immunocompromised patient. For this reason, these patients should be monitored for any formation of a mass on the ocular surface. Surgical management through complete excision can result in the complete resolution of a tumor.</p>","PeriodicalId":8740,"journal":{"name":"Beyoglu Eye Journal","volume":"9 3","pages":"161-164"},"PeriodicalIF":0.0000,"publicationDate":"2024-09-01","publicationTypes":"Journal Article","fieldsOfStudy":null,"isOpenAccess":false,"openAccessPdf":"https://www.ncbi.nlm.nih.gov/pmc/articles/PMC11372405/pdf/","citationCount":"0","resultStr":"{\"title\":\"Ocular Surface Squamous Neoplasia in Renal Transplant Patients.\",\"authors\":\"Anil Kaplan, Taner Akalin, Melis Palamar\",\"doi\":\"10.14744/bej.2024.79664\",\"DOIUrl\":null,\"url\":null,\"abstract\":\"<p><p>Transplantation surgery becomes more widespread with time worldwide; organ transplantation increases the risk of developing malignancies. This phenomenon is primarily due to immunosuppressive treatment which is one of the mainstay approaches to prevent transplant rejection. It is aimed to describe clinical signs and symptoms of histologically proven ocular surface squamous neoplasia (OSSN) in renal transplant patients. Three patients, who previously underwent renal transplant surgery, diagnosed with OSSN are presented. The histopathological examination results were conclusive for squamous cell neoplasia in all cases. No recurrence in any patients was observed after total surgical excision, cryotherapy, and reconstruction with amniotic membrane. Solid organ transplant patients undergo intense immunosuppressive treatment to prevent transplant rejection. That immunosuppressive treatment increases the risk of developing secondary malignancies including OSSN. It is important to inform all transplant patients about these risks. Even though OSSN is known to be a relatively benign acting tumor that rarely metastasizes to distant organs, the clinical course might change if it develops in an immunocompromised patient. For this reason, these patients should be monitored for any formation of a mass on the ocular surface. Surgical management through complete excision can result in the complete resolution of a tumor.</p>\",\"PeriodicalId\":8740,\"journal\":{\"name\":\"Beyoglu Eye Journal\",\"volume\":\"9 3\",\"pages\":\"161-164\"},\"PeriodicalIF\":0.0000,\"publicationDate\":\"2024-09-01\",\"publicationTypes\":\"Journal Article\",\"fieldsOfStudy\":null,\"isOpenAccess\":false,\"openAccessPdf\":\"https://www.ncbi.nlm.nih.gov/pmc/articles/PMC11372405/pdf/\",\"citationCount\":\"0\",\"resultStr\":null,\"platform\":\"Semanticscholar\",\"paperid\":null,\"PeriodicalName\":\"Beyoglu Eye Journal\",\"FirstCategoryId\":\"1085\",\"ListUrlMain\":\"https://doi.org/10.14744/bej.2024.79664\",\"RegionNum\":0,\"RegionCategory\":null,\"ArticlePicture\":[],\"TitleCN\":null,\"AbstractTextCN\":null,\"PMCID\":null,\"EPubDate\":\"2024/1/1 0:00:00\",\"PubModel\":\"eCollection\",\"JCR\":\"\",\"JCRName\":\"\",\"Score\":null,\"Total\":0}","platform":"Semanticscholar","paperid":null,"PeriodicalName":"Beyoglu Eye Journal","FirstCategoryId":"1085","ListUrlMain":"https://doi.org/10.14744/bej.2024.79664","RegionNum":0,"RegionCategory":null,"ArticlePicture":[],"TitleCN":null,"AbstractTextCN":null,"PMCID":null,"EPubDate":"2024/1/1 0:00:00","PubModel":"eCollection","JCR":"","JCRName":"","Score":null,"Total":0}
引用次数: 0

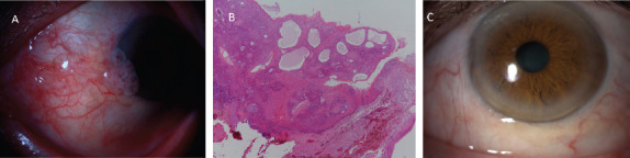
摘要

随着时间的推移,移植手术在世界范围内越来越普遍;器官移植增加了罹患恶性肿瘤的风险。这一现象主要是由于免疫抑制治疗所致,而免疫抑制治疗是预防移植排斥反应的主要方法之一。本研究旨在描述肾移植患者经组织学证实的眼表面鳞状细胞瘤(OSSN)的临床症状和体征。本文介绍了三位曾接受肾移植手术并被确诊为眼表鳞状上皮瘤的患者。所有病例的组织病理学检查结果均确诊为鳞状细胞瘤。经过手术切除、冷冻治疗和羊膜重建后,所有患者均未复发。实体器官移植患者需要接受严格的免疫抑制治疗,以防止移植排斥反应。免疫抑制治疗会增加罹患继发性恶性肿瘤(包括 OSSN)的风险。让所有移植患者了解这些风险非常重要。尽管众所周知 OSSN 是一种相对良性的作用肿瘤,很少转移到远处器官,但如果在免疫力低下的患者身上发生,临床病程可能会发生变化。因此,应监测这些患者眼表是否有肿块形成。完全切除的手术治疗可使肿瘤完全消退。
本文章由计算机程序翻译,如有差异,请以英文原文为准。

Ocular Surface Squamous Neoplasia in Renal Transplant Patients.

Ocular Surface Squamous Neoplasia in Renal Transplant Patients.

Ocular Surface Squamous Neoplasia in Renal Transplant Patients.

Ocular Surface Squamous Neoplasia in Renal Transplant Patients.

Transplantation surgery becomes more widespread with time worldwide; organ transplantation increases the risk of developing malignancies. This phenomenon is primarily due to immunosuppressive treatment which is one of the mainstay approaches to prevent transplant rejection. It is aimed to describe clinical signs and symptoms of histologically proven ocular surface squamous neoplasia (OSSN) in renal transplant patients. Three patients, who previously underwent renal transplant surgery, diagnosed with OSSN are presented. The histopathological examination results were conclusive for squamous cell neoplasia in all cases. No recurrence in any patients was observed after total surgical excision, cryotherapy, and reconstruction with amniotic membrane. Solid organ transplant patients undergo intense immunosuppressive treatment to prevent transplant rejection. That immunosuppressive treatment increases the risk of developing secondary malignancies including OSSN. It is important to inform all transplant patients about these risks. Even though OSSN is known to be a relatively benign acting tumor that rarely metastasizes to distant organs, the clinical course might change if it develops in an immunocompromised patient. For this reason, these patients should be monitored for any formation of a mass on the ocular surface. Surgical management through complete excision can result in the complete resolution of a tumor.

求助全文
通过发布文献求助,成功后即可免费获取论文全文。 去求助
来源期刊
自引率
0.00%
发文量
42
审稿时长
16 weeks
×
引用
GB/T 7714-2015
复制
MLA
复制
APA
复制
导出至
BibTeX EndNote RefMan NoteFirst NoteExpress
×
提示
您的信息不完整,为了账户安全,请先补充。
现在去补充
×
提示
您因"违规操作"
具体请查看互助需知
我知道了
×
提示
确定
请完成安全验证×
copy
已复制链接
快去分享给好友吧!
我知道了
右上角分享
点击右上角分享
0
联系我们:info@booksci.cn Book学术提供免费学术资源搜索服务,方便国内外学者检索中英文文献。致力于提供最便捷和优质的服务体验。 Copyright © 2023 布克学术 All rights reserved.
京ICP备2023020795号-1
ghs 京公网安备 11010802042870号
Book学术文献互助
Book学术文献互助群
群 号:604180095
Book学术官方微信