经导管动脉栓塞治疗小肠出血:技术和临床结果以及早期复发性出血的风险因素。

IF 2.2 Q3 GASTROENTEROLOGY & HEPATOLOGY
Annals of Gastroenterology Pub Date : 2024-09-01 Epub Date: 2024-07-12 DOI:10.20524/aog.2024.0903
Quinten Verhalleman, Marc Miserez, Annouschka Laenen, Lawrence Bonne, Eveline Claus, Jo Peluso, Alexander Wilmer, Geert Maleux
{"title":"经导管动脉栓塞治疗小肠出血:技术和临床结果以及早期复发性出血的风险因素。","authors":"Quinten Verhalleman, Marc Miserez, Annouschka Laenen, Lawrence Bonne, Eveline Claus, Jo Peluso, Alexander Wilmer, Geert Maleux","doi":"10.20524/aog.2024.0903","DOIUrl":null,"url":null,"abstract":"<p><strong>Background: </strong>This study evaluated the technical and clinical outcomes of transcatheter arterial embolization (TAE) in patients with acute small-bowel bleeding (SBB) and aimed to identify potential risk factors for early recurrent bleeding after TAE.</p><p><strong>Methods: </strong>Thirty-one patients with SBB managed with TAE between January 2006 and December 2021 were included. Technical and clinical success was defined as angiographic occlusion of the bleeding artery and disappearance of clinical or laboratory signs of persistent bleeding without major complications. Complications were classified according to the Society of Interventional Radiology's guidelines. Kaplan-Meier estimates assessed overall survival, and logistic regression models determined risk factors for clinical success and early rebleeding.</p><p><strong>Results: </strong>Technical and clinical success were achieved in 30/31 (97%) and 19 (61%), respectively. Early recurrent bleeding was present in 9 (29%) patients, and was treated by repeat embolization in 4 patients, conversion to surgery in 4, and comfort therapy in 1 patient. TAE-related small bowel ischemia requiring surgery was found in 2 (6.5%) patients. Thirty-day and in-hospital mortality were 19% (6/31) and 23% (7/31), respectively; overall 5-year estimated survival was 60%. Thrombocytopenia and elevated prothrombin time (PT)/activated partial thromboplastin time (aPTT) levels prior to TAE were identified as risk factors for clinical failure (P=0.0026 and P=0.027, respectively), and for residual or early recurrent bleeding (P<0.001 and P=0.01, respectively).</p><p><strong>Conclusions: </strong>TAE is safe and effective for managing severe SBB; however, early recurrent bleeding was found in nearly one third of patients. Thrombocytopenia and elevated PT/aPTT levels were risk factors for early recurrent bleeding.</p>","PeriodicalId":7978,"journal":{"name":"Annals of Gastroenterology","volume":"37 5","pages":"559-566"},"PeriodicalIF":2.2000,"publicationDate":"2024-09-01","publicationTypes":"Journal Article","fieldsOfStudy":null,"isOpenAccess":false,"openAccessPdf":"https://www.ncbi.nlm.nih.gov/pmc/articles/PMC11372541/pdf/","citationCount":"0","resultStr":"{\"title\":\"Transcatheter arterial embolization for small-bowel bleeding: technical and clinical outcomes and risk factors for early recurrent bleeding.\",\"authors\":\"Quinten Verhalleman, Marc Miserez, Annouschka Laenen, Lawrence Bonne, Eveline Claus, Jo Peluso, Alexander Wilmer, Geert Maleux\",\"doi\":\"10.20524/aog.2024.0903\",\"DOIUrl\":null,\"url\":null,\"abstract\":\"<p><strong>Background: </strong>This study evaluated the technical and clinical outcomes of transcatheter arterial embolization (TAE) in patients with acute small-bowel bleeding (SBB) and aimed to identify potential risk factors for early recurrent bleeding after TAE.</p><p><strong>Methods: </strong>Thirty-one patients with SBB managed with TAE between January 2006 and December 2021 were included. Technical and clinical success was defined as angiographic occlusion of the bleeding artery and disappearance of clinical or laboratory signs of persistent bleeding without major complications. Complications were classified according to the Society of Interventional Radiology's guidelines. Kaplan-Meier estimates assessed overall survival, and logistic regression models determined risk factors for clinical success and early rebleeding.</p><p><strong>Results: </strong>Technical and clinical success were achieved in 30/31 (97%) and 19 (61%), respectively. Early recurrent bleeding was present in 9 (29%) patients, and was treated by repeat embolization in 4 patients, conversion to surgery in 4, and comfort therapy in 1 patient. TAE-related small bowel ischemia requiring surgery was found in 2 (6.5%) patients. Thirty-day and in-hospital mortality were 19% (6/31) and 23% (7/31), respectively; overall 5-year estimated survival was 60%. Thrombocytopenia and elevated prothrombin time (PT)/activated partial thromboplastin time (aPTT) levels prior to TAE were identified as risk factors for clinical failure (P=0.0026 and P=0.027, respectively), and for residual or early recurrent bleeding (P<0.001 and P=0.01, respectively).</p><p><strong>Conclusions: </strong>TAE is safe and effective for managing severe SBB; however, early recurrent bleeding was found in nearly one third of patients. Thrombocytopenia and elevated PT/aPTT levels were risk factors for early recurrent bleeding.</p>\",\"PeriodicalId\":7978,\"journal\":{\"name\":\"Annals of Gastroenterology\",\"volume\":\"37 5\",\"pages\":\"559-566\"},\"PeriodicalIF\":2.2000,\"publicationDate\":\"2024-09-01\",\"publicationTypes\":\"Journal Article\",\"fieldsOfStudy\":null,\"isOpenAccess\":false,\"openAccessPdf\":\"https://www.ncbi.nlm.nih.gov/pmc/articles/PMC11372541/pdf/\",\"citationCount\":\"0\",\"resultStr\":null,\"platform\":\"Semanticscholar\",\"paperid\":null,\"PeriodicalName\":\"Annals of Gastroenterology\",\"FirstCategoryId\":\"1085\",\"ListUrlMain\":\"https://doi.org/10.20524/aog.2024.0903\",\"RegionNum\":0,\"RegionCategory\":null,\"ArticlePicture\":[],\"TitleCN\":null,\"AbstractTextCN\":null,\"PMCID\":null,\"EPubDate\":\"2024/7/12 0:00:00\",\"PubModel\":\"Epub\",\"JCR\":\"Q3\",\"JCRName\":\"GASTROENTEROLOGY & HEPATOLOGY\",\"Score\":null,\"Total\":0}","platform":"Semanticscholar","paperid":null,"PeriodicalName":"Annals of Gastroenterology","FirstCategoryId":"1085","ListUrlMain":"https://doi.org/10.20524/aog.2024.0903","RegionNum":0,"RegionCategory":null,"ArticlePicture":[],"TitleCN":null,"AbstractTextCN":null,"PMCID":null,"EPubDate":"2024/7/12 0:00:00","PubModel":"Epub","JCR":"Q3","JCRName":"GASTROENTEROLOGY & HEPATOLOGY","Score":null,"Total":0}
引用次数: 0

摘要

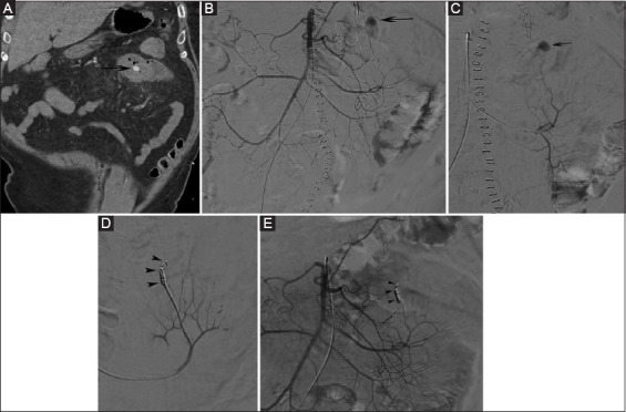
背景:这项研究评估了急性小肠出血(SBB)患者经导管动脉栓塞术(TAE)的技术和临床效果,并旨在确定TAE术后早期复发出血的潜在风险因素:纳入2006年1月至2021年12月期间接受TAE治疗的31例SBB患者。技术和临床成功的定义是出血动脉的血管造影闭塞,持续出血的临床或实验室迹象消失,且无重大并发症。并发症根据介入放射学会的指南进行分类。Kaplan-Meier估计值评估了总存活率,逻辑回归模型确定了临床成功和早期再出血的风险因素:结果:30/31(97%)和 19(61%)例手术取得了技术和临床成功。9名患者(29%)出现了早期复发出血,4名患者接受了重复栓塞治疗,4名患者转为手术治疗,1名患者接受了舒适疗法。2例(6.5%)患者出现与TAE相关的小肠缺血,需要手术治疗。30天死亡率和住院死亡率分别为19%(6/31)和23%(7/31);预计5年总存活率为60%。TAE前血小板减少和凝血酶原时间(PT)/活化部分凝血活酶时间(aPTT)水平升高被认为是临床失败(P=0.0026 和 P=0.027)、残留或早期复发性出血(PConclusions:TAE 是治疗严重 SBB 的安全有效方法;然而,近三分之一的患者出现了早期复发性出血。血小板减少和 PT/aPTT 水平升高是早期复发性出血的风险因素。
本文章由计算机程序翻译,如有差异,请以英文原文为准。

Transcatheter arterial embolization for small-bowel bleeding: technical and clinical outcomes and risk factors for early recurrent bleeding.

Transcatheter arterial embolization for small-bowel bleeding: technical and clinical outcomes and risk factors for early recurrent bleeding.

Transcatheter arterial embolization for small-bowel bleeding: technical and clinical outcomes and risk factors for early recurrent bleeding.

Transcatheter arterial embolization for small-bowel bleeding: technical and clinical outcomes and risk factors for early recurrent bleeding.

Background: This study evaluated the technical and clinical outcomes of transcatheter arterial embolization (TAE) in patients with acute small-bowel bleeding (SBB) and aimed to identify potential risk factors for early recurrent bleeding after TAE.

Methods: Thirty-one patients with SBB managed with TAE between January 2006 and December 2021 were included. Technical and clinical success was defined as angiographic occlusion of the bleeding artery and disappearance of clinical or laboratory signs of persistent bleeding without major complications. Complications were classified according to the Society of Interventional Radiology's guidelines. Kaplan-Meier estimates assessed overall survival, and logistic regression models determined risk factors for clinical success and early rebleeding.

Results: Technical and clinical success were achieved in 30/31 (97%) and 19 (61%), respectively. Early recurrent bleeding was present in 9 (29%) patients, and was treated by repeat embolization in 4 patients, conversion to surgery in 4, and comfort therapy in 1 patient. TAE-related small bowel ischemia requiring surgery was found in 2 (6.5%) patients. Thirty-day and in-hospital mortality were 19% (6/31) and 23% (7/31), respectively; overall 5-year estimated survival was 60%. Thrombocytopenia and elevated prothrombin time (PT)/activated partial thromboplastin time (aPTT) levels prior to TAE were identified as risk factors for clinical failure (P=0.0026 and P=0.027, respectively), and for residual or early recurrent bleeding (P<0.001 and P=0.01, respectively).

Conclusions: TAE is safe and effective for managing severe SBB; however, early recurrent bleeding was found in nearly one third of patients. Thrombocytopenia and elevated PT/aPTT levels were risk factors for early recurrent bleeding.

求助全文
通过发布文献求助,成功后即可免费获取论文全文。 去求助
来源期刊
Annals of Gastroenterology
Annals of Gastroenterology GASTROENTEROLOGY & HEPATOLOGY-
CiteScore
4.30
自引率
0.00%
发文量
58
×
引用
GB/T 7714-2015
复制
MLA
复制
APA
复制
导出至
BibTeX EndNote RefMan NoteFirst NoteExpress
×
提示
您的信息不完整,为了账户安全,请先补充。
现在去补充
×
提示
您因"违规操作"
具体请查看互助需知
我知道了
×
提示
确定
请完成安全验证×
copy
已复制链接
快去分享给好友吧!
我知道了
右上角分享
点击右上角分享
0
联系我们:info@booksci.cn Book学术提供免费学术资源搜索服务,方便国内外学者检索中英文文献。致力于提供最便捷和优质的服务体验。 Copyright © 2023 布克学术 All rights reserved.
京ICP备2023020795号-1
ghs 京公网安备 11010802042870号
Book学术文献互助
Book学术文献互助群
群 号:604180095
Book学术官方微信