老年狒狒(Papio hamadryas)的阿尔茨海默病样神经病理变化。

IF 1.5 3区 农林科学 Q2 VETERINARY SCIENCES
Journal of Veterinary Science Pub Date : 2024-09-01 Epub Date: 2024-08-07 DOI:10.4142/jvs.24080
William T Harrison, J Mark Cline, David L Caudell, Hillary F Huber, Carol A Shively, Thomas C Register, Suzanne Craft, Jason D Struthers
{"title":"老年狒狒(Papio hamadryas)的阿尔茨海默病样神经病理变化。","authors":"William T Harrison, J Mark Cline, David L Caudell, Hillary F Huber, Carol A Shively, Thomas C Register, Suzanne Craft, Jason D Struthers","doi":"10.4142/jvs.24080","DOIUrl":null,"url":null,"abstract":"<p><strong>Importance: </strong>Alzheimer's disease (AD) is the most common cause of dementia in the elderly with the incidence rising exponentially after the age of 65 years. Unfortunately, effective treatments are extremely limited and definite diagnosis can only be made at autopsy. This is in part due to our limited understanding of the complex pathophysiology, including the various genetic, environmental, and metabolic contributing factors. In an effort to better understand this complex disease, researchers have employed nonhuman primates as translational models.</p><p><strong>Case presentation: </strong>This report aims to describe the AD-like neuropathology in the brain of a 37-year-old female baboon (<i>Papio hamadryas</i>), which at the time of her death made her the oldest hamadryas baboon at any member institution of the Association of Zoos and Aquariums. A diagnostic necropsy was performed, and the brain was evaluated for neurodegenerative disease. Frequent amyloid-β deposits were identified, consistent with what has been described in other geriatric nonhuman primates. Phospho-tau pathology, including neurofibrillary tangles, a feature not well-described in other primate models, was also abundant.</p><p><strong>Conclusions and relevance: </strong>Our results suggest that more detailed, prospective, longitudinal studies are warranted utilizing this particular species to see if they represent a viable model for human brain aging.</p>","PeriodicalId":17557,"journal":{"name":"Journal of Veterinary Science","volume":" ","pages":"e60"},"PeriodicalIF":1.5000,"publicationDate":"2024-09-01","publicationTypes":"Journal Article","fieldsOfStudy":null,"isOpenAccess":false,"openAccessPdf":"https://www.ncbi.nlm.nih.gov/pmc/articles/PMC11450389/pdf/","citationCount":"0","resultStr":"{\"title\":\"Alzheimer disease-like neuropathologic changes in a geriatric baboon (<i>Papio hamadryas</i>).\",\"authors\":\"William T Harrison, J Mark Cline, David L Caudell, Hillary F Huber, Carol A Shively, Thomas C Register, Suzanne Craft, Jason D Struthers\",\"doi\":\"10.4142/jvs.24080\",\"DOIUrl\":null,\"url\":null,\"abstract\":\"<p><strong>Importance: </strong>Alzheimer's disease (AD) is the most common cause of dementia in the elderly with the incidence rising exponentially after the age of 65 years. Unfortunately, effective treatments are extremely limited and definite diagnosis can only be made at autopsy. This is in part due to our limited understanding of the complex pathophysiology, including the various genetic, environmental, and metabolic contributing factors. In an effort to better understand this complex disease, researchers have employed nonhuman primates as translational models.</p><p><strong>Case presentation: </strong>This report aims to describe the AD-like neuropathology in the brain of a 37-year-old female baboon (<i>Papio hamadryas</i>), which at the time of her death made her the oldest hamadryas baboon at any member institution of the Association of Zoos and Aquariums. A diagnostic necropsy was performed, and the brain was evaluated for neurodegenerative disease. Frequent amyloid-β deposits were identified, consistent with what has been described in other geriatric nonhuman primates. Phospho-tau pathology, including neurofibrillary tangles, a feature not well-described in other primate models, was also abundant.</p><p><strong>Conclusions and relevance: </strong>Our results suggest that more detailed, prospective, longitudinal studies are warranted utilizing this particular species to see if they represent a viable model for human brain aging.</p>\",\"PeriodicalId\":17557,\"journal\":{\"name\":\"Journal of Veterinary Science\",\"volume\":\" \",\"pages\":\"e60\"},\"PeriodicalIF\":1.5000,\"publicationDate\":\"2024-09-01\",\"publicationTypes\":\"Journal Article\",\"fieldsOfStudy\":null,\"isOpenAccess\":false,\"openAccessPdf\":\"https://www.ncbi.nlm.nih.gov/pmc/articles/PMC11450389/pdf/\",\"citationCount\":\"0\",\"resultStr\":null,\"platform\":\"Semanticscholar\",\"paperid\":null,\"PeriodicalName\":\"Journal of Veterinary Science\",\"FirstCategoryId\":\"97\",\"ListUrlMain\":\"https://doi.org/10.4142/jvs.24080\",\"RegionNum\":3,\"RegionCategory\":\"农林科学\",\"ArticlePicture\":[],\"TitleCN\":null,\"AbstractTextCN\":null,\"PMCID\":null,\"EPubDate\":\"2024/8/7 0:00:00\",\"PubModel\":\"Epub\",\"JCR\":\"Q2\",\"JCRName\":\"VETERINARY SCIENCES\",\"Score\":null,\"Total\":0}","platform":"Semanticscholar","paperid":null,"PeriodicalName":"Journal of Veterinary Science","FirstCategoryId":"97","ListUrlMain":"https://doi.org/10.4142/jvs.24080","RegionNum":3,"RegionCategory":"农林科学","ArticlePicture":[],"TitleCN":null,"AbstractTextCN":null,"PMCID":null,"EPubDate":"2024/8/7 0:00:00","PubModel":"Epub","JCR":"Q2","JCRName":"VETERINARY SCIENCES","Score":null,"Total":0}
引用次数: 0

摘要

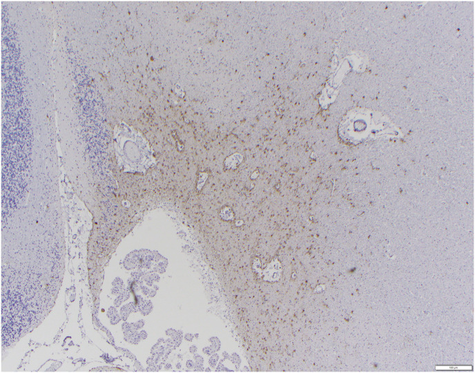
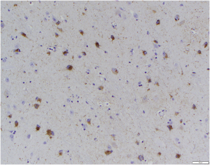
重要性:阿尔茨海默病(AD)是导致老年人痴呆症的最常见原因,65 岁以后发病率呈指数级上升。遗憾的是,有效的治疗方法极其有限,而且只有在尸检时才能做出明确诊断。这部分是由于我们对复杂病理生理学的了解有限,包括各种遗传、环境和代谢诱因。为了更好地了解这种复杂的疾病,研究人员采用了非人灵长类动物作为转化模型:本报告旨在描述一只 37 岁的雌性狒狒(Papio hamadryas)大脑中类似于注意力缺失症的神经病理变化,该狒狒死亡时是动物园和水族馆协会会员机构中年龄最大的狒狒。对狒狒进行了尸体解剖诊断,并对其大脑进行了神经退行性疾病评估。发现淀粉样蛋白-β沉积频繁,这与其他老年非人灵长类动物所描述的情况一致。包括神经纤维缠结在内的磷酸化-tau病理变化也很丰富,而这一特征在其他灵长类动物模型中没有得到很好的描述:我们的研究结果表明,有必要对这一特殊物种进行更详细的前瞻性纵向研究,以确定它们是否是人类大脑衰老的可行模型。
本文章由计算机程序翻译,如有差异,请以英文原文为准。

Alzheimer disease-like neuropathologic changes in a geriatric baboon (<i>Papio hamadryas</i>).

Alzheimer disease-like neuropathologic changes in a geriatric baboon (<i>Papio hamadryas</i>).

Alzheimer disease-like neuropathologic changes in a geriatric baboon (<i>Papio hamadryas</i>).

Alzheimer disease-like neuropathologic changes in a geriatric baboon (Papio hamadryas).

Importance: Alzheimer's disease (AD) is the most common cause of dementia in the elderly with the incidence rising exponentially after the age of 65 years. Unfortunately, effective treatments are extremely limited and definite diagnosis can only be made at autopsy. This is in part due to our limited understanding of the complex pathophysiology, including the various genetic, environmental, and metabolic contributing factors. In an effort to better understand this complex disease, researchers have employed nonhuman primates as translational models.

Case presentation: This report aims to describe the AD-like neuropathology in the brain of a 37-year-old female baboon (Papio hamadryas), which at the time of her death made her the oldest hamadryas baboon at any member institution of the Association of Zoos and Aquariums. A diagnostic necropsy was performed, and the brain was evaluated for neurodegenerative disease. Frequent amyloid-β deposits were identified, consistent with what has been described in other geriatric nonhuman primates. Phospho-tau pathology, including neurofibrillary tangles, a feature not well-described in other primate models, was also abundant.

Conclusions and relevance: Our results suggest that more detailed, prospective, longitudinal studies are warranted utilizing this particular species to see if they represent a viable model for human brain aging.

求助全文
通过发布文献求助,成功后即可免费获取论文全文。 去求助
来源期刊
Journal of Veterinary Science
Journal of Veterinary Science 农林科学-兽医学
CiteScore
3.10
自引率
5.60%
发文量
86
审稿时长
1.3 months
期刊介绍: The Journal of Veterinary Science (J Vet Sci) is devoted to the advancement and dissemination of scientific knowledge concerning veterinary sciences and related academic disciplines. It is an international journal indexed in the Thomson Scientific Web of Science, SCI-EXPANDED, Sci Search, BIOSIS Previews, Biological Abstracts, Focus on: Veterinary Science & Medicine, Zoological Record, PubMed /MEDLINE, Index Medicus, Pubmed Central, CAB Abstracts / Index Veterinarius, EBSCO, AGRIS and AGRICOLA. This journal published in English by the Korean Society of Veterinary Science (KSVS) being distributed worldwide.
×
引用
GB/T 7714-2015
复制
MLA
复制
APA
复制
导出至
BibTeX EndNote RefMan NoteFirst NoteExpress
×
提示
您的信息不完整,为了账户安全,请先补充。
现在去补充
×
提示
您因"违规操作"
具体请查看互助需知
我知道了
×
提示
确定
请完成安全验证×
copy
已复制链接
快去分享给好友吧!
我知道了
右上角分享
点击右上角分享
0
联系我们:info@booksci.cn Book学术提供免费学术资源搜索服务,方便国内外学者检索中英文文献。致力于提供最便捷和优质的服务体验。 Copyright © 2023 布克学术 All rights reserved.
京ICP备2023020795号-1
ghs 京公网安备 11010802042870号
Book学术文献互助
Book学术文献互助群
群 号:604180095
Book学术官方微信