胃肠道播散性巴西双孢子菌病:病例报告与诊断线索回顾。

IF 0.7 Q3 MEDICINE, GENERAL & INTERNAL
Case Reports in Medicine Pub Date : 2024-08-28 eCollection Date: 2024-01-01 DOI:10.1155/2024/5741625
Neda Soleimani, Mohammad Hossein Anbardar, Hamed Nikoupour, Faranak Derakhshan, Mojtaba Shafiekhani, Sahand Mohammadzadeh, Seyed Mohamad Sakhaei, Mahsa Farhadi
{"title":"胃肠道播散性巴西双孢子菌病:病例报告与诊断线索回顾。","authors":"Neda Soleimani, Mohammad Hossein Anbardar, Hamed Nikoupour, Faranak Derakhshan, Mojtaba Shafiekhani, Sahand Mohammadzadeh, Seyed Mohamad Sakhaei, Mahsa Farhadi","doi":"10.1155/2024/5741625","DOIUrl":null,"url":null,"abstract":"<p><strong>Introduction: </strong>Basidiobolomycosis is a rare fungal infection caused by an environmental saprophyte, <i>Basidiobolus ranarum</i>. It usually presents as a chronic subcutaneous infection; however, few cases of gastrointestinal involvement have been reported. The exact transmission route of gastrointestinal cases is not clear, and diagnosis always requires a high index of suspicion because it tends to mimic other inflammatory and neoplastic conditions. <i>Case Report</i>. A 31-year-old immunocompetent woman presented with abdominal pain and an advanced colon mass. She was completely well until about 1.5 years ago, when she underwent bariatric surgery. One year after surgery, chronic abdominal pain developed. A colonoscopy showed an ulcerative lesion in the descending colon, and the biopsy was in favor of ulcerative colitis. Despite immunosuppressive treatment, there was no improvement, and with worsening symptoms, more investigations revealed advanced colon mass with entrapment of the stomach and pancreas. Colonic mucosa biopsy and trucut biopsy of the mass showed just necrosis and acute inflammation; thus, she underwent exploratory laparotomy with colectomy, partial gastrectomy, distal pancreatectomy, and left nephrectomy. On pathologic examination, there was granulomatous inflammation plus the Splendore-Hoeppli phenomenon around fungal hyphae, which was diagnostic for gastrointestinal basidiobolomycosis. Previous pathology slides were reviewed and revealed a tiny focus of basidiobolomycosis. After 6 months of treatment with itraconazole, she is relatively well without any clinical or radiologic abnormalities.</p><p><strong>Conclusion: </strong>Our case highlights the significance of suspicion for basidiobolomycosis in ulcerative and necrotic lesions with increased eosinophils, especially in the presence of abdominal mass and systemic eosinophilia.</p>","PeriodicalId":9627,"journal":{"name":"Case Reports in Medicine","volume":"2024 ","pages":"5741625"},"PeriodicalIF":0.7000,"publicationDate":"2024-08-28","publicationTypes":"Journal Article","fieldsOfStudy":null,"isOpenAccess":false,"openAccessPdf":"https://www.ncbi.nlm.nih.gov/pmc/articles/PMC11374415/pdf/","citationCount":"0","resultStr":"{\"title\":\"Disseminated Gastrointestinal Basidiobolomycosis: A Case Report with Review of Diagnostic Clues.\",\"authors\":\"Neda Soleimani, Mohammad Hossein Anbardar, Hamed Nikoupour, Faranak Derakhshan, Mojtaba Shafiekhani, Sahand Mohammadzadeh, Seyed Mohamad Sakhaei, Mahsa Farhadi\",\"doi\":\"10.1155/2024/5741625\",\"DOIUrl\":null,\"url\":null,\"abstract\":\"<p><strong>Introduction: </strong>Basidiobolomycosis is a rare fungal infection caused by an environmental saprophyte, <i>Basidiobolus ranarum</i>. It usually presents as a chronic subcutaneous infection; however, few cases of gastrointestinal involvement have been reported. The exact transmission route of gastrointestinal cases is not clear, and diagnosis always requires a high index of suspicion because it tends to mimic other inflammatory and neoplastic conditions. <i>Case Report</i>. A 31-year-old immunocompetent woman presented with abdominal pain and an advanced colon mass. She was completely well until about 1.5 years ago, when she underwent bariatric surgery. One year after surgery, chronic abdominal pain developed. A colonoscopy showed an ulcerative lesion in the descending colon, and the biopsy was in favor of ulcerative colitis. Despite immunosuppressive treatment, there was no improvement, and with worsening symptoms, more investigations revealed advanced colon mass with entrapment of the stomach and pancreas. Colonic mucosa biopsy and trucut biopsy of the mass showed just necrosis and acute inflammation; thus, she underwent exploratory laparotomy with colectomy, partial gastrectomy, distal pancreatectomy, and left nephrectomy. On pathologic examination, there was granulomatous inflammation plus the Splendore-Hoeppli phenomenon around fungal hyphae, which was diagnostic for gastrointestinal basidiobolomycosis. Previous pathology slides were reviewed and revealed a tiny focus of basidiobolomycosis. After 6 months of treatment with itraconazole, she is relatively well without any clinical or radiologic abnormalities.</p><p><strong>Conclusion: </strong>Our case highlights the significance of suspicion for basidiobolomycosis in ulcerative and necrotic lesions with increased eosinophils, especially in the presence of abdominal mass and systemic eosinophilia.</p>\",\"PeriodicalId\":9627,\"journal\":{\"name\":\"Case Reports in Medicine\",\"volume\":\"2024 \",\"pages\":\"5741625\"},\"PeriodicalIF\":0.7000,\"publicationDate\":\"2024-08-28\",\"publicationTypes\":\"Journal Article\",\"fieldsOfStudy\":null,\"isOpenAccess\":false,\"openAccessPdf\":\"https://www.ncbi.nlm.nih.gov/pmc/articles/PMC11374415/pdf/\",\"citationCount\":\"0\",\"resultStr\":null,\"platform\":\"Semanticscholar\",\"paperid\":null,\"PeriodicalName\":\"Case Reports in Medicine\",\"FirstCategoryId\":\"1085\",\"ListUrlMain\":\"https://doi.org/10.1155/2024/5741625\",\"RegionNum\":0,\"RegionCategory\":null,\"ArticlePicture\":[],\"TitleCN\":null,\"AbstractTextCN\":null,\"PMCID\":null,\"EPubDate\":\"2024/1/1 0:00:00\",\"PubModel\":\"eCollection\",\"JCR\":\"Q3\",\"JCRName\":\"MEDICINE, GENERAL & INTERNAL\",\"Score\":null,\"Total\":0}","platform":"Semanticscholar","paperid":null,"PeriodicalName":"Case Reports in Medicine","FirstCategoryId":"1085","ListUrlMain":"https://doi.org/10.1155/2024/5741625","RegionNum":0,"RegionCategory":null,"ArticlePicture":[],"TitleCN":null,"AbstractTextCN":null,"PMCID":null,"EPubDate":"2024/1/1 0:00:00","PubModel":"eCollection","JCR":"Q3","JCRName":"MEDICINE, GENERAL & INTERNAL","Score":null,"Total":0}
引用次数: 0

摘要

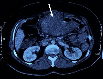
简介巴斯迪博尔真菌病是一种罕见的真菌感染,由环境中的一种寄生菌--巴斯迪博尔菌(Basidiobololus ranarum)引起。它通常表现为慢性皮下感染,但也有少数胃肠道受累病例的报道。胃肠道病例的确切传播途径尚不清楚,诊断时需要高度怀疑,因为它往往会模仿其他炎症和肿瘤性疾病。病例报告。一名 31 岁免疫功能正常的女性因腹痛和晚期结肠肿块就诊。大约 1.5 年前,她接受了减肥手术,在此之前她的身体状况一直很好。术后一年,她出现了慢性腹痛。结肠镜检查显示降结肠有溃疡性病变,活检结果为溃疡性结肠炎。尽管进行了免疫抑制治疗,但病情仍无好转,随着症状的加重,更多的检查发现了晚期结肠肿块,并伴有胃和胰腺的嵌顿。结肠粘膜活检和肿块切片活检显示只是坏死和急性炎症;因此,她接受了探查性开腹手术,包括结肠切除术、胃部分切除术、胰腺远端切除术和左肾切除术。病理检查发现,真菌菌丝周围有肉芽肿性炎症和 Splendore-Hoeppli 现象,诊断为胃肠道基底层真菌病。对之前的病理切片进行了复查,发现了一个微小的基枝孢霉病灶。经过伊曲康唑治疗 6 个月后,她的情况相对较好,没有出现任何临床或影像学异常:我们的病例强调了在溃疡性和坏死性病变伴有嗜酸性粒细胞增多时,尤其是在出现腹部肿块和全身嗜酸性粒细胞增多时,怀疑基底膜梭菌病的重要性。
本文章由计算机程序翻译,如有差异,请以英文原文为准。

Disseminated Gastrointestinal Basidiobolomycosis: A Case Report with Review of Diagnostic Clues.

Disseminated Gastrointestinal Basidiobolomycosis: A Case Report with Review of Diagnostic Clues.

Disseminated Gastrointestinal Basidiobolomycosis: A Case Report with Review of Diagnostic Clues.

Disseminated Gastrointestinal Basidiobolomycosis: A Case Report with Review of Diagnostic Clues.

Introduction: Basidiobolomycosis is a rare fungal infection caused by an environmental saprophyte, Basidiobolus ranarum. It usually presents as a chronic subcutaneous infection; however, few cases of gastrointestinal involvement have been reported. The exact transmission route of gastrointestinal cases is not clear, and diagnosis always requires a high index of suspicion because it tends to mimic other inflammatory and neoplastic conditions. Case Report. A 31-year-old immunocompetent woman presented with abdominal pain and an advanced colon mass. She was completely well until about 1.5 years ago, when she underwent bariatric surgery. One year after surgery, chronic abdominal pain developed. A colonoscopy showed an ulcerative lesion in the descending colon, and the biopsy was in favor of ulcerative colitis. Despite immunosuppressive treatment, there was no improvement, and with worsening symptoms, more investigations revealed advanced colon mass with entrapment of the stomach and pancreas. Colonic mucosa biopsy and trucut biopsy of the mass showed just necrosis and acute inflammation; thus, she underwent exploratory laparotomy with colectomy, partial gastrectomy, distal pancreatectomy, and left nephrectomy. On pathologic examination, there was granulomatous inflammation plus the Splendore-Hoeppli phenomenon around fungal hyphae, which was diagnostic for gastrointestinal basidiobolomycosis. Previous pathology slides were reviewed and revealed a tiny focus of basidiobolomycosis. After 6 months of treatment with itraconazole, she is relatively well without any clinical or radiologic abnormalities.

Conclusion: Our case highlights the significance of suspicion for basidiobolomycosis in ulcerative and necrotic lesions with increased eosinophils, especially in the presence of abdominal mass and systemic eosinophilia.

求助全文
通过发布文献求助,成功后即可免费获取论文全文。 去求助
来源期刊
Case Reports in Medicine
Case Reports in Medicine MEDICINE, GENERAL & INTERNAL-
CiteScore
1.70
自引率
0.00%
发文量
53
审稿时长
13 weeks
×
引用
GB/T 7714-2015
复制
MLA
复制
APA
复制
导出至
BibTeX EndNote RefMan NoteFirst NoteExpress
×
提示
您的信息不完整,为了账户安全,请先补充。
现在去补充
×
提示
您因"违规操作"
具体请查看互助需知
我知道了
×
提示
确定
请完成安全验证×
copy
已复制链接
快去分享给好友吧!
我知道了
右上角分享
点击右上角分享
0
联系我们:info@booksci.cn Book学术提供免费学术资源搜索服务,方便国内外学者检索中英文文献。致力于提供最便捷和优质的服务体验。 Copyright © 2023 布克学术 All rights reserved.
京ICP备2023020795号-1
ghs 京公网安备 11010802042870号
Book学术文献互助
Book学术文献互助群
群 号:604180095
Book学术官方微信