山桑子(Vaccinium myrtillus L.)果实提取物对顺铂诱导的成年雄性白化大鼠生殖损伤的潜在改善作用

IF 1.6 Q3 OBSTETRICS & GYNECOLOGY
Fatma B Mossa, Nadia Bakry, Mamdouh Rashad El-Sawi
{"title":"山桑子(Vaccinium myrtillus L.)果实提取物对顺铂诱导的成年雄性白化大鼠生殖损伤的潜在改善作用","authors":"Fatma B Mossa, Nadia Bakry, Mamdouh Rashad El-Sawi","doi":"10.5653/cerm.2023.06380","DOIUrl":null,"url":null,"abstract":"<p><strong>Objective: </strong>Cisplatin (CP) is a widely used chemotherapeutic agent, but its severe side effects impact testicular function. We investigated the potential protective effects of bilberry extract against CP-induced testicular toxicity.</p><p><strong>Methods: </strong>Forty adult male albino rats were divided into four groups. Control animals received a single oral dose of 0.9% saline. Bilberry-treated rats received oral bilberry extract (200 mg/kg body weight [BW] dissolved in 1 mL of saline) daily for 10 consecutive days. CP-treated animals were administered a single intraperitoneal dose (7.5 mg/kg BW). Finally, a bilberry+CP group received oral bilberry extract (200 mg/kg BW) daily for 10 consecutive days, with one intraperitoneal dose of CP (7.5 mg/kg BW) on day 2. We assessed sperm count, motility, viability, and abnormalities, along with testis weight, testis weight-to-BW ratio, antioxidant activity, levels of oxidative stress markers (malondialdehyde [MDA] and hydrogen peroxide [H2O2]), sex hormones (follicle-stimulating hormone [FSH], luteinizing hormone [LH], and testosterone), and apoptotic and anti-apoptotic markers, and DNA damage. Testicular tissue underwent histopathological examination.</p><p><strong>Results: </strong>Among CP-treated rats, significantly lower values were observed for testis weight; testis weight-to-BW ratio; levels of FSH, LH, testosterone, superoxide dismutase, catalase, glutathione S-transferase, glutathione, and B-cell lymphoma 2; and sperm count, motility, and proportion of normal sperm. CP administration was associated with higher MDA, H2O2, p53, Bax, cytochrome c, caspase 9, and caspase 3 levels, along with elevated tail moment. However, bilberry extract administration significantly improved all altered parameters.</p><p><strong>Conclusion: </strong>Bilberry treatment demonstrated protective effects and reduced CP-induced testicular toxicity via antioxidant activity and cytoprotection.</p>","PeriodicalId":46409,"journal":{"name":"Clinical and Experimental Reproductive Medicine-CERM","volume":"51 3","pages":"192-204"},"PeriodicalIF":1.6000,"publicationDate":"2024-09-01","publicationTypes":"Journal Article","fieldsOfStudy":null,"isOpenAccess":false,"openAccessPdf":"https://www.ncbi.nlm.nih.gov/pmc/articles/PMC11372312/pdf/","citationCount":"0","resultStr":"{\"title\":\"Potential ameliorative effects of bilberry (Vaccinium myrtillus L.) fruit extract on cisplatin-induced reproductive damage in adult male albino rats.\",\"authors\":\"Fatma B Mossa, Nadia Bakry, Mamdouh Rashad El-Sawi\",\"doi\":\"10.5653/cerm.2023.06380\",\"DOIUrl\":null,\"url\":null,\"abstract\":\"<p><strong>Objective: </strong>Cisplatin (CP) is a widely used chemotherapeutic agent, but its severe side effects impact testicular function. We investigated the potential protective effects of bilberry extract against CP-induced testicular toxicity.</p><p><strong>Methods: </strong>Forty adult male albino rats were divided into four groups. Control animals received a single oral dose of 0.9% saline. Bilberry-treated rats received oral bilberry extract (200 mg/kg body weight [BW] dissolved in 1 mL of saline) daily for 10 consecutive days. CP-treated animals were administered a single intraperitoneal dose (7.5 mg/kg BW). Finally, a bilberry+CP group received oral bilberry extract (200 mg/kg BW) daily for 10 consecutive days, with one intraperitoneal dose of CP (7.5 mg/kg BW) on day 2. We assessed sperm count, motility, viability, and abnormalities, along with testis weight, testis weight-to-BW ratio, antioxidant activity, levels of oxidative stress markers (malondialdehyde [MDA] and hydrogen peroxide [H2O2]), sex hormones (follicle-stimulating hormone [FSH], luteinizing hormone [LH], and testosterone), and apoptotic and anti-apoptotic markers, and DNA damage. Testicular tissue underwent histopathological examination.</p><p><strong>Results: </strong>Among CP-treated rats, significantly lower values were observed for testis weight; testis weight-to-BW ratio; levels of FSH, LH, testosterone, superoxide dismutase, catalase, glutathione S-transferase, glutathione, and B-cell lymphoma 2; and sperm count, motility, and proportion of normal sperm. CP administration was associated with higher MDA, H2O2, p53, Bax, cytochrome c, caspase 9, and caspase 3 levels, along with elevated tail moment. However, bilberry extract administration significantly improved all altered parameters.</p><p><strong>Conclusion: </strong>Bilberry treatment demonstrated protective effects and reduced CP-induced testicular toxicity via antioxidant activity and cytoprotection.</p>\",\"PeriodicalId\":46409,\"journal\":{\"name\":\"Clinical and Experimental Reproductive Medicine-CERM\",\"volume\":\"51 3\",\"pages\":\"192-204\"},\"PeriodicalIF\":1.6000,\"publicationDate\":\"2024-09-01\",\"publicationTypes\":\"Journal Article\",\"fieldsOfStudy\":null,\"isOpenAccess\":false,\"openAccessPdf\":\"https://www.ncbi.nlm.nih.gov/pmc/articles/PMC11372312/pdf/\",\"citationCount\":\"0\",\"resultStr\":null,\"platform\":\"Semanticscholar\",\"paperid\":null,\"PeriodicalName\":\"Clinical and Experimental Reproductive Medicine-CERM\",\"FirstCategoryId\":\"1085\",\"ListUrlMain\":\"https://doi.org/10.5653/cerm.2023.06380\",\"RegionNum\":0,\"RegionCategory\":null,\"ArticlePicture\":[],\"TitleCN\":null,\"AbstractTextCN\":null,\"PMCID\":null,\"EPubDate\":\"2024/4/12 0:00:00\",\"PubModel\":\"Epub\",\"JCR\":\"Q3\",\"JCRName\":\"OBSTETRICS & GYNECOLOGY\",\"Score\":null,\"Total\":0}","platform":"Semanticscholar","paperid":null,"PeriodicalName":"Clinical and Experimental Reproductive Medicine-CERM","FirstCategoryId":"1085","ListUrlMain":"https://doi.org/10.5653/cerm.2023.06380","RegionNum":0,"RegionCategory":null,"ArticlePicture":[],"TitleCN":null,"AbstractTextCN":null,"PMCID":null,"EPubDate":"2024/4/12 0:00:00","PubModel":"Epub","JCR":"Q3","JCRName":"OBSTETRICS & GYNECOLOGY","Score":null,"Total":0}
引用次数: 0

摘要

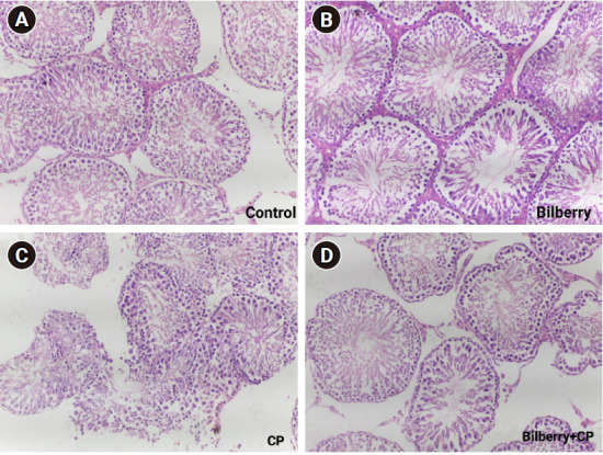
目的:顺铂(CP)是一种广泛使用的化疗药物,但其严重的副作用会影响睾丸功能。我们研究了山桑子提取物对顺铂引起的睾丸毒性的潜在保护作用:方法:40 只成年雄性白化大鼠分为四组。对照组动物口服单剂量 0.9% 生理盐水。山桑子处理的大鼠连续 10 天每天口服山桑子提取物(200 毫克/千克体重[BW] 溶于 1 毫升生理盐水)。氯化石蜡处理组大鼠腹腔注射一次氯化石蜡(7.5 毫克/千克体重)。最后,山桑子 + 氯化石蜡组连续 10 天每天口服山桑子提取物(200 毫克/千克体重),并在第 2 天腹腔注射一次氯化石蜡(7.5 毫克/千克体重)。我们评估了精子数量、活力、存活率和畸形率、睾丸重量、睾丸重量与体重之比、抗氧化活性、氧化应激标记物(丙二醛 [MDA] 和过氧化氢 [H2O2])水平、性激素(卵泡刺激素 [FSH]、黄体生成素 [LH] 和睾酮)、凋亡和抗凋亡标记物以及 DNA 损伤。睾丸组织接受了组织病理学检查:结果:在服用过氯化石蜡的大鼠中,睾丸重量、睾丸重量与体重之比、FSH、LH、睾酮、超氧化物歧化酶、过氧化氢酶、谷胱甘肽 S-转移酶、谷胱甘肽和 B 细胞淋巴瘤 2 的水平,以及精子数量、活力和正常精子的比例都明显降低。服用氯化石蜡与较高的 MDA、H2O2、p53、Bax、细胞色素 c、caspase 9 和 caspase 3 水平以及尾矩升高有关。然而,服用山桑子提取物可明显改善所有改变的参数:结论:山桑子治疗具有保护作用,可通过抗氧化活性和细胞保护降低氯化石蜡诱导的睾丸毒性。
本文章由计算机程序翻译,如有差异,请以英文原文为准。

Potential ameliorative effects of bilberry (Vaccinium myrtillus L.) fruit extract on cisplatin-induced reproductive damage in adult male albino rats.

Potential ameliorative effects of bilberry (Vaccinium myrtillus L.) fruit extract on cisplatin-induced reproductive damage in adult male albino rats.

Potential ameliorative effects of bilberry (Vaccinium myrtillus L.) fruit extract on cisplatin-induced reproductive damage in adult male albino rats.

Potential ameliorative effects of bilberry (Vaccinium myrtillus L.) fruit extract on cisplatin-induced reproductive damage in adult male albino rats.

Objective: Cisplatin (CP) is a widely used chemotherapeutic agent, but its severe side effects impact testicular function. We investigated the potential protective effects of bilberry extract against CP-induced testicular toxicity.

Methods: Forty adult male albino rats were divided into four groups. Control animals received a single oral dose of 0.9% saline. Bilberry-treated rats received oral bilberry extract (200 mg/kg body weight [BW] dissolved in 1 mL of saline) daily for 10 consecutive days. CP-treated animals were administered a single intraperitoneal dose (7.5 mg/kg BW). Finally, a bilberry+CP group received oral bilberry extract (200 mg/kg BW) daily for 10 consecutive days, with one intraperitoneal dose of CP (7.5 mg/kg BW) on day 2. We assessed sperm count, motility, viability, and abnormalities, along with testis weight, testis weight-to-BW ratio, antioxidant activity, levels of oxidative stress markers (malondialdehyde [MDA] and hydrogen peroxide [H2O2]), sex hormones (follicle-stimulating hormone [FSH], luteinizing hormone [LH], and testosterone), and apoptotic and anti-apoptotic markers, and DNA damage. Testicular tissue underwent histopathological examination.

Results: Among CP-treated rats, significantly lower values were observed for testis weight; testis weight-to-BW ratio; levels of FSH, LH, testosterone, superoxide dismutase, catalase, glutathione S-transferase, glutathione, and B-cell lymphoma 2; and sperm count, motility, and proportion of normal sperm. CP administration was associated with higher MDA, H2O2, p53, Bax, cytochrome c, caspase 9, and caspase 3 levels, along with elevated tail moment. However, bilberry extract administration significantly improved all altered parameters.

Conclusion: Bilberry treatment demonstrated protective effects and reduced CP-induced testicular toxicity via antioxidant activity and cytoprotection.

求助全文
通过发布文献求助,成功后即可免费获取论文全文。 去求助
来源期刊
CiteScore
3.30
自引率
0.00%
发文量
0
×
引用
GB/T 7714-2015
复制
MLA
复制
APA
复制
导出至
BibTeX EndNote RefMan NoteFirst NoteExpress
×
提示
您的信息不完整,为了账户安全,请先补充。
现在去补充
×
提示
您因"违规操作"
具体请查看互助需知
我知道了
×
提示
确定
请完成安全验证×
copy
已复制链接
快去分享给好友吧!
我知道了
右上角分享
点击右上角分享
0
联系我们:info@booksci.cn Book学术提供免费学术资源搜索服务,方便国内外学者检索中英文文献。致力于提供最便捷和优质的服务体验。 Copyright © 2023 布克学术 All rights reserved.
京ICP备2023020795号-1
ghs 京公网安备 11010802042870号
Book学术文献互助
Book学术文献互助群
群 号:604180095
Book学术官方微信