在资源有限的环境中诊断 TFE3 重排肾细胞癌的方法:病例报告。

IF 1.9 Q3 ONCOLOGY
Journal of Kidney Cancer and VHL Pub Date : 2024-08-24 eCollection Date: 2024-01-01 DOI:10.15586/jkcvhl.v11i3.338
Allison Kaye Lombridas Pagarigan, Pamela Delos Reyes-Murillo, Dennis Jose Sienes Carbonell
{"title":"在资源有限的环境中诊断 TFE3 重排肾细胞癌的方法:病例报告。","authors":"Allison Kaye Lombridas Pagarigan, Pamela Delos Reyes-Murillo, Dennis Jose Sienes Carbonell","doi":"10.15586/jkcvhl.v11i3.338","DOIUrl":null,"url":null,"abstract":"<p><p>This report recounts the diagnostic workup of a pediatric female who presented with hematuria secondary to a large renal mass visualized on abdominal imaging. Histologic assessment and subsequent immunohistochemistry studies were performed. Intense, unequivocal immunohistochemical expression of TFE3 and alpha-methylacyl-CoA-racemase with corresponding negativity for carbonic anhydrase IX, along with highly distinctive clinical, radiologic, gross, and microscopic findings confirmed the diagnosis of a renal cell carcinoma with TFE3 gene rearrangement - the first ever reported case in the Philippines. This case highlights the vital role and significant diagnostic impact of reliable, affordable and accessible immunohistochemistry studies in low-resource settings where molecular modalities for evaluating rare diseases are largely unavailable. Recognition of distinctive morphologic, immunohistochemical, and cytogenetic features in childhood and adolescent renal malignancies allows for the timely institution of therapeutic interventions for this aggressive entity.</p>","PeriodicalId":44291,"journal":{"name":"Journal of Kidney Cancer and VHL","volume":"11 3","pages":"40-44"},"PeriodicalIF":1.9000,"publicationDate":"2024-08-24","publicationTypes":"Journal Article","fieldsOfStudy":null,"isOpenAccess":false,"openAccessPdf":"https://www.ncbi.nlm.nih.gov/pmc/articles/PMC11350386/pdf/","citationCount":"0","resultStr":"{\"title\":\"Approach to Diagnosis of TFE3-rearranged Renal Cell Carcinoma in a Limited Resource Setting: A Case Report.\",\"authors\":\"Allison Kaye Lombridas Pagarigan, Pamela Delos Reyes-Murillo, Dennis Jose Sienes Carbonell\",\"doi\":\"10.15586/jkcvhl.v11i3.338\",\"DOIUrl\":null,\"url\":null,\"abstract\":\"<p><p>This report recounts the diagnostic workup of a pediatric female who presented with hematuria secondary to a large renal mass visualized on abdominal imaging. Histologic assessment and subsequent immunohistochemistry studies were performed. Intense, unequivocal immunohistochemical expression of TFE3 and alpha-methylacyl-CoA-racemase with corresponding negativity for carbonic anhydrase IX, along with highly distinctive clinical, radiologic, gross, and microscopic findings confirmed the diagnosis of a renal cell carcinoma with TFE3 gene rearrangement - the first ever reported case in the Philippines. This case highlights the vital role and significant diagnostic impact of reliable, affordable and accessible immunohistochemistry studies in low-resource settings where molecular modalities for evaluating rare diseases are largely unavailable. Recognition of distinctive morphologic, immunohistochemical, and cytogenetic features in childhood and adolescent renal malignancies allows for the timely institution of therapeutic interventions for this aggressive entity.</p>\",\"PeriodicalId\":44291,\"journal\":{\"name\":\"Journal of Kidney Cancer and VHL\",\"volume\":\"11 3\",\"pages\":\"40-44\"},\"PeriodicalIF\":1.9000,\"publicationDate\":\"2024-08-24\",\"publicationTypes\":\"Journal Article\",\"fieldsOfStudy\":null,\"isOpenAccess\":false,\"openAccessPdf\":\"https://www.ncbi.nlm.nih.gov/pmc/articles/PMC11350386/pdf/\",\"citationCount\":\"0\",\"resultStr\":null,\"platform\":\"Semanticscholar\",\"paperid\":null,\"PeriodicalName\":\"Journal of Kidney Cancer and VHL\",\"FirstCategoryId\":\"1085\",\"ListUrlMain\":\"https://doi.org/10.15586/jkcvhl.v11i3.338\",\"RegionNum\":0,\"RegionCategory\":null,\"ArticlePicture\":[],\"TitleCN\":null,\"AbstractTextCN\":null,\"PMCID\":null,\"EPubDate\":\"2024/1/1 0:00:00\",\"PubModel\":\"eCollection\",\"JCR\":\"Q3\",\"JCRName\":\"ONCOLOGY\",\"Score\":null,\"Total\":0}","platform":"Semanticscholar","paperid":null,"PeriodicalName":"Journal of Kidney Cancer and VHL","FirstCategoryId":"1085","ListUrlMain":"https://doi.org/10.15586/jkcvhl.v11i3.338","RegionNum":0,"RegionCategory":null,"ArticlePicture":[],"TitleCN":null,"AbstractTextCN":null,"PMCID":null,"EPubDate":"2024/1/1 0:00:00","PubModel":"eCollection","JCR":"Q3","JCRName":"ONCOLOGY","Score":null,"Total":0}
引用次数: 0

摘要

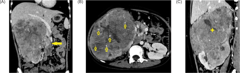
本报告叙述了一名女性儿童的诊断过程,她因腹部造影发现巨大肾肿块而出现血尿。对其进行了组织学评估和随后的免疫组化研究。TFE3和α-甲基酰-CoA-racemase的免疫组化表达强烈而明确,碳酸酐酶IX相应呈阴性,加上非常独特的临床、放射学、大体和显微镜检查结果,确诊为TFE3基因重排的肾细胞癌,这在菲律宾尚属首例。在资源匮乏的环境中,评估罕见疾病的分子模式基本不存在,本病例凸显了可靠、可负担和可获得的免疫组化研究的重要作用和重大诊断影响。认识到儿童和青少年肾脏恶性肿瘤的独特形态学、免疫组化和细胞遗传学特征,就能及时对这种侵袭性实体进行治疗干预。
本文章由计算机程序翻译,如有差异,请以英文原文为准。

Approach to Diagnosis of TFE3-rearranged Renal Cell Carcinoma in a Limited Resource Setting: A Case Report.

Approach to Diagnosis of TFE3-rearranged Renal Cell Carcinoma in a Limited Resource Setting: A Case Report.

Approach to Diagnosis of TFE3-rearranged Renal Cell Carcinoma in a Limited Resource Setting: A Case Report.

Approach to Diagnosis of TFE3-rearranged Renal Cell Carcinoma in a Limited Resource Setting: A Case Report.

This report recounts the diagnostic workup of a pediatric female who presented with hematuria secondary to a large renal mass visualized on abdominal imaging. Histologic assessment and subsequent immunohistochemistry studies were performed. Intense, unequivocal immunohistochemical expression of TFE3 and alpha-methylacyl-CoA-racemase with corresponding negativity for carbonic anhydrase IX, along with highly distinctive clinical, radiologic, gross, and microscopic findings confirmed the diagnosis of a renal cell carcinoma with TFE3 gene rearrangement - the first ever reported case in the Philippines. This case highlights the vital role and significant diagnostic impact of reliable, affordable and accessible immunohistochemistry studies in low-resource settings where molecular modalities for evaluating rare diseases are largely unavailable. Recognition of distinctive morphologic, immunohistochemical, and cytogenetic features in childhood and adolescent renal malignancies allows for the timely institution of therapeutic interventions for this aggressive entity.

求助全文
通过发布文献求助,成功后即可免费获取论文全文。 去求助
来源期刊
自引率
6.20%
发文量
22
审稿时长
4 weeks
×
引用
GB/T 7714-2015
复制
MLA
复制
APA
复制
导出至
BibTeX EndNote RefMan NoteFirst NoteExpress
×
提示
您的信息不完整,为了账户安全,请先补充。
现在去补充
×
提示
您因"违规操作"
具体请查看互助需知
我知道了
×
提示
确定
请完成安全验证×
copy
已复制链接
快去分享给好友吧!
我知道了
右上角分享
点击右上角分享
0
联系我们:info@booksci.cn Book学术提供免费学术资源搜索服务,方便国内外学者检索中英文文献。致力于提供最便捷和优质的服务体验。 Copyright © 2023 布克学术 All rights reserved.
京ICP备2023020795号-1
ghs 京公网安备 11010802042870号
Book学术文献互助
Book学术文献互助群
群 号:604180095
Book学术官方微信