高压氧治疗可促进肩袖撕裂兔模型中肌腱与骨骼界面的愈合。

IF 2.9 Q2 MEDICINE, RESEARCH & EXPERIMENTAL
Medical Gas Research Pub Date : 2025-03-01 Epub Date: 2024-08-31 DOI:10.4103/mgr.MEDGASRES-D-24-00034
Hongqiu Li, Meiling Xiao, Feng Yang, Zhonghai Zhao, A Liang
{"title":"高压氧治疗可促进肩袖撕裂兔模型中肌腱与骨骼界面的愈合。","authors":"Hongqiu Li, Meiling Xiao, Feng Yang, Zhonghai Zhao, A Liang","doi":"10.4103/mgr.MEDGASRES-D-24-00034","DOIUrl":null,"url":null,"abstract":"<p><p>Due to the high-intensity pressure that the shoulder cuff endures, it is prone to traumas and tears. The main critical function of the shoulder cuff muscles is to effectively facilitate shoulder movement and securely maintain the humeral head in the precise center of the joint cavity to prevent superior migration during abduction processes. Shoulder cuff injuries typically involve the muscle-tendon-bone interface, but existing repair techniques do not always guarantee complete and secure healing, leading to retears. Hyperbaric oxygen therapy, as an auxiliary treatment, can significantly promote the muscle-tendon-bone healing process. To explore the impact of hyperbaric oxygen therapy on the bone-tendon interface healing process in a rabbit model specifically designed for shoulder cuff tears, an experiment was conducted on New Zealand white rabbits by performing a full-thickness tear of the supraspinatus tendon in the left shoulder, followed by 2 hours per day of 100% oxygen treatment at 2 absolute atmospheres for 5 days. The results indicate that hyperbaric oxygen therapy significantly enhances vascularization at the interface between the shoulder cuff and tendon-bone, promotes collagen fiber regeneration in the tendon, improves the tensile strength of the tendon-bone complex, and does not have a significant effect on biomechanical stability. This suggests that hyperbaric oxygen therapy has a significant positive impact on the histological and biomechanical healing of shoulder cuff tears in rabbits, expediting the healing process of the tendon-bone interface.</p>","PeriodicalId":18559,"journal":{"name":"Medical Gas Research","volume":" ","pages":"164-170"},"PeriodicalIF":2.9000,"publicationDate":"2025-03-01","publicationTypes":"Journal Article","fieldsOfStudy":null,"isOpenAccess":false,"openAccessPdf":"https://www.ncbi.nlm.nih.gov/pmc/articles/PMC11515062/pdf/","citationCount":"0","resultStr":"{\"title\":\"Hyperbaric oxygen treatment promotes tendon-bone interface healing in a rabbit model of rotator cuff tears.\",\"authors\":\"Hongqiu Li, Meiling Xiao, Feng Yang, Zhonghai Zhao, A Liang\",\"doi\":\"10.4103/mgr.MEDGASRES-D-24-00034\",\"DOIUrl\":null,\"url\":null,\"abstract\":\"<p><p>Due to the high-intensity pressure that the shoulder cuff endures, it is prone to traumas and tears. The main critical function of the shoulder cuff muscles is to effectively facilitate shoulder movement and securely maintain the humeral head in the precise center of the joint cavity to prevent superior migration during abduction processes. Shoulder cuff injuries typically involve the muscle-tendon-bone interface, but existing repair techniques do not always guarantee complete and secure healing, leading to retears. Hyperbaric oxygen therapy, as an auxiliary treatment, can significantly promote the muscle-tendon-bone healing process. To explore the impact of hyperbaric oxygen therapy on the bone-tendon interface healing process in a rabbit model specifically designed for shoulder cuff tears, an experiment was conducted on New Zealand white rabbits by performing a full-thickness tear of the supraspinatus tendon in the left shoulder, followed by 2 hours per day of 100% oxygen treatment at 2 absolute atmospheres for 5 days. The results indicate that hyperbaric oxygen therapy significantly enhances vascularization at the interface between the shoulder cuff and tendon-bone, promotes collagen fiber regeneration in the tendon, improves the tensile strength of the tendon-bone complex, and does not have a significant effect on biomechanical stability. This suggests that hyperbaric oxygen therapy has a significant positive impact on the histological and biomechanical healing of shoulder cuff tears in rabbits, expediting the healing process of the tendon-bone interface.</p>\",\"PeriodicalId\":18559,\"journal\":{\"name\":\"Medical Gas Research\",\"volume\":\" \",\"pages\":\"164-170\"},\"PeriodicalIF\":2.9000,\"publicationDate\":\"2025-03-01\",\"publicationTypes\":\"Journal Article\",\"fieldsOfStudy\":null,\"isOpenAccess\":false,\"openAccessPdf\":\"https://www.ncbi.nlm.nih.gov/pmc/articles/PMC11515062/pdf/\",\"citationCount\":\"0\",\"resultStr\":null,\"platform\":\"Semanticscholar\",\"paperid\":null,\"PeriodicalName\":\"Medical Gas Research\",\"FirstCategoryId\":\"1085\",\"ListUrlMain\":\"https://doi.org/10.4103/mgr.MEDGASRES-D-24-00034\",\"RegionNum\":0,\"RegionCategory\":null,\"ArticlePicture\":[],\"TitleCN\":null,\"AbstractTextCN\":null,\"PMCID\":null,\"EPubDate\":\"2024/8/31 0:00:00\",\"PubModel\":\"Epub\",\"JCR\":\"Q2\",\"JCRName\":\"MEDICINE, RESEARCH & EXPERIMENTAL\",\"Score\":null,\"Total\":0}","platform":"Semanticscholar","paperid":null,"PeriodicalName":"Medical Gas Research","FirstCategoryId":"1085","ListUrlMain":"https://doi.org/10.4103/mgr.MEDGASRES-D-24-00034","RegionNum":0,"RegionCategory":null,"ArticlePicture":[],"TitleCN":null,"AbstractTextCN":null,"PMCID":null,"EPubDate":"2024/8/31 0:00:00","PubModel":"Epub","JCR":"Q2","JCRName":"MEDICINE, RESEARCH & EXPERIMENTAL","Score":null,"Total":0}
引用次数: 0

摘要

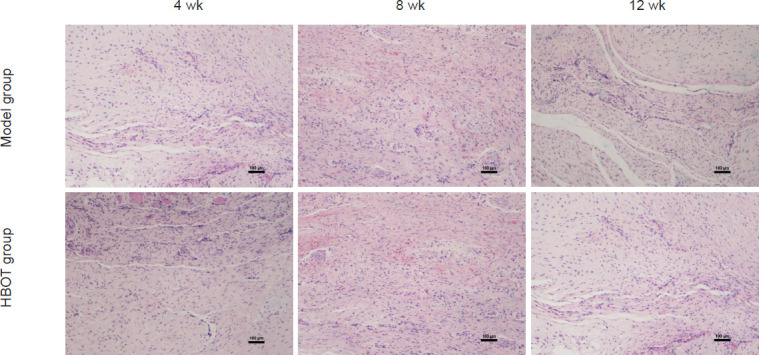
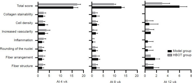
由于肩袖承受着高强度的压力,因此很容易出现创伤和撕裂。肩袖肌肉的主要关键功能是有效促进肩部运动,并将肱骨头稳固地保持在关节腔的精确中心,以防止在外展过程中发生上移。肩袖损伤通常涉及肌肉-肌腱-骨骼界面,但现有的修复技术并不总能保证完全和安全愈合,从而导致再次撕裂。高压氧疗法作为一种辅助治疗手段,可显著促进肌肉-肌腱-骨骼的愈合过程。为了探索高压氧疗法对专门为肩袖撕裂设计的兔子模型中骨-肌腱界面愈合过程的影响,我们在新西兰白兔身上进行了一项实验,对左肩冈上肌腱进行全厚撕裂,然后每天在 2 个绝对大气压下进行 2 小时的 100% 氧气治疗,持续 5 天。结果表明,高压氧疗法能显著增强肩袖与肌腱骨界面的血管生成,促进肌腱中胶原纤维的再生,提高肌腱骨复合体的抗拉强度,但对生物力学稳定性没有明显影响。这表明高压氧疗法对兔子肩袖撕裂的组织学和生物力学愈合有显著的积极影响,能加快肌腱-骨骼界面的愈合过程。
本文章由计算机程序翻译,如有差异,请以英文原文为准。

Hyperbaric oxygen treatment promotes tendon-bone interface healing in a rabbit model of rotator cuff tears.

Hyperbaric oxygen treatment promotes tendon-bone interface healing in a rabbit model of rotator cuff tears.

Hyperbaric oxygen treatment promotes tendon-bone interface healing in a rabbit model of rotator cuff tears.

Hyperbaric oxygen treatment promotes tendon-bone interface healing in a rabbit model of rotator cuff tears.

Due to the high-intensity pressure that the shoulder cuff endures, it is prone to traumas and tears. The main critical function of the shoulder cuff muscles is to effectively facilitate shoulder movement and securely maintain the humeral head in the precise center of the joint cavity to prevent superior migration during abduction processes. Shoulder cuff injuries typically involve the muscle-tendon-bone interface, but existing repair techniques do not always guarantee complete and secure healing, leading to retears. Hyperbaric oxygen therapy, as an auxiliary treatment, can significantly promote the muscle-tendon-bone healing process. To explore the impact of hyperbaric oxygen therapy on the bone-tendon interface healing process in a rabbit model specifically designed for shoulder cuff tears, an experiment was conducted on New Zealand white rabbits by performing a full-thickness tear of the supraspinatus tendon in the left shoulder, followed by 2 hours per day of 100% oxygen treatment at 2 absolute atmospheres for 5 days. The results indicate that hyperbaric oxygen therapy significantly enhances vascularization at the interface between the shoulder cuff and tendon-bone, promotes collagen fiber regeneration in the tendon, improves the tensile strength of the tendon-bone complex, and does not have a significant effect on biomechanical stability. This suggests that hyperbaric oxygen therapy has a significant positive impact on the histological and biomechanical healing of shoulder cuff tears in rabbits, expediting the healing process of the tendon-bone interface.

求助全文
通过发布文献求助,成功后即可免费获取论文全文。 去求助
来源期刊
Medical Gas Research
Medical Gas Research MEDICINE, RESEARCH & EXPERIMENTAL-
CiteScore
5.10
自引率
13.80%
发文量
35
期刊介绍: Medical Gas Research is an open access journal which publishes basic, translational, and clinical research focusing on the neurobiology as well as multidisciplinary aspects of medical gas research and their applications to related disorders. The journal covers all areas of medical gas research, but also has several special sections. Authors can submit directly to these sections, whose peer-review process is overseen by our distinguished Section Editors: Inert gases - Edited by Xuejun Sun and Mark Coburn, Gasotransmitters - Edited by Atsunori Nakao and John Calvert, Oxygen and diving medicine - Edited by Daniel Rossignol and Ke Jian Liu, Anesthetic gases - Edited by Richard Applegate and Zhongcong Xie, Medical gas in other fields of biology - Edited by John Zhang. Medical gas is a large family including oxygen, hydrogen, carbon monoxide, carbon dioxide, nitrogen, xenon, hydrogen sulfide, nitrous oxide, carbon disulfide, argon, helium and other noble gases. These medical gases are used in multiple fields of clinical practice and basic science research including anesthesiology, hyperbaric oxygen medicine, diving medicine, internal medicine, emergency medicine, surgery, and many basic sciences disciplines such as physiology, pharmacology, biochemistry, microbiology and neurosciences. Due to the unique nature of medical gas practice, Medical Gas Research will serve as an information platform for educational and technological advances in the field of medical gas.
×
引用
GB/T 7714-2015
复制
MLA
复制
APA
复制
导出至
BibTeX EndNote RefMan NoteFirst NoteExpress
×
提示
您的信息不完整,为了账户安全,请先补充。
现在去补充
×
提示
您因"违规操作"
具体请查看互助需知
我知道了
×
提示
确定
请完成安全验证×
copy
已复制链接
快去分享给好友吧!
我知道了
右上角分享
点击右上角分享
0
联系我们:info@booksci.cn Book学术提供免费学术资源搜索服务,方便国内外学者检索中英文文献。致力于提供最便捷和优质的服务体验。 Copyright © 2023 布克学术 All rights reserved.
京ICP备2023020795号-1
ghs 京公网安备 11010802042870号
Book学术文献互助
Book学术文献互助群
群 号:604180095
Book学术官方微信