孤立性肺动脉瓣心内膜炎:罕见的临床病例

IF 0.6 Q3 MEDICINE, GENERAL & INTERNAL
Clinical Medicine Insights. Case Reports Pub Date : 2024-08-26 eCollection Date: 2024-01-01 DOI:10.1177/11795476241277329
Abera Wondie Gizaw, Abilo Tadesse, Hailemaryam Alemu, Abebe Worku, Samuel Dereje Chanie, Getasew Muluken
{"title":"孤立性肺动脉瓣心内膜炎:罕见的临床病例","authors":"Abera Wondie Gizaw, Abilo Tadesse, Hailemaryam Alemu, Abebe Worku, Samuel Dereje Chanie, Getasew Muluken","doi":"10.1177/11795476241277329","DOIUrl":null,"url":null,"abstract":"<p><strong>Background: </strong>Isolated pulmonic valve endocarditis is a rare heart valve infection, and constitutes about 1% to 2% of all infective endocarditis cases. Modified Duke's criteria were used to diagnose culture negative pulmonic valve endocarditis.</p><p><strong>Case presentation: </strong>A 52-year-old male patient presented with generalized body swelling of 1 month duration associated with prolonged fever, malaise, fatigue, and lassitude. He had productive cough, dyspnea on mild exertion, and reddish discoloration of urine. Upon physical examination, blood pressure (BP) = 140/90 mmHg, pulse rate (PR) = 104 beats per minute, respiratory rate (RR) = 26 breaths per minute, temperature (T<sup>0</sup>) = 38.3°C, and Sp0<sub>2</sub> = 90% at ambient air. He had signs of bilateral pleural effusion. Cardiovascular examination revealed tachycardia, raised jugular venous pressure, murmurs of pulmonic regurgitation, and tricuspid regurgitation. There was grade 2 ascites and bilateral leg edema. On laboratory investigation, there were normochromic, normocytic anemia; raised ESR; positive Rheumatoid factor, elevated serum creatinine; and active urinary sediments on urinalysis. Two sets of blood culture were negative on days 1, 5, and 7. Chest-X-ray showed cardiomegaly with bilateral pleural effusion. ECG revealed sinus tachycardia with regular P-waves and QRS complexes. 2D Transthoracic echo showed vegetation on pulmonic valves, pulmonary valve lesions, dilated right atrium and right ventricle, and elevated right ventricular systolic pressure. Abdominal ultrasound revealed enlarged and echogenic kidneys, and ascites. Definitive diagnosis of PVE was made using modified Duke's criteria which was evidenced by 1 major (echo-proven vegetation on pulmonic valve), and 3 minors (suspected congenital pulmonic stenosis, fever, and immunologic phenomena [acute glomerulonephritis, positive rheumatoid factor]). The patient's clinical condition markedly improved after 2 weeks of intravenous antibiotics and loop diuretics, and discharged home after completing 6 weeks of parenteral antibiotics.</p><p><strong>Conclusion: </strong>Modified Duke's criteria could play a major role in the management decision about diagnosis and empiric treatment of infective endocarditis in the absence of positive bacterial cultures.</p>","PeriodicalId":10357,"journal":{"name":"Clinical Medicine Insights. Case Reports","volume":"17 ","pages":"11795476241277329"},"PeriodicalIF":0.6000,"publicationDate":"2024-08-26","publicationTypes":"Journal Article","fieldsOfStudy":null,"isOpenAccess":false,"openAccessPdf":"https://www.ncbi.nlm.nih.gov/pmc/articles/PMC11348358/pdf/","citationCount":"0","resultStr":"{\"title\":\"Isolated Pulmonic Valve Endocarditis: A Rare Clinical Entity.\",\"authors\":\"Abera Wondie Gizaw, Abilo Tadesse, Hailemaryam Alemu, Abebe Worku, Samuel Dereje Chanie, Getasew Muluken\",\"doi\":\"10.1177/11795476241277329\",\"DOIUrl\":null,\"url\":null,\"abstract\":\"<p><strong>Background: </strong>Isolated pulmonic valve endocarditis is a rare heart valve infection, and constitutes about 1% to 2% of all infective endocarditis cases. Modified Duke's criteria were used to diagnose culture negative pulmonic valve endocarditis.</p><p><strong>Case presentation: </strong>A 52-year-old male patient presented with generalized body swelling of 1 month duration associated with prolonged fever, malaise, fatigue, and lassitude. He had productive cough, dyspnea on mild exertion, and reddish discoloration of urine. Upon physical examination, blood pressure (BP) = 140/90 mmHg, pulse rate (PR) = 104 beats per minute, respiratory rate (RR) = 26 breaths per minute, temperature (T<sup>0</sup>) = 38.3°C, and Sp0<sub>2</sub> = 90% at ambient air. He had signs of bilateral pleural effusion. Cardiovascular examination revealed tachycardia, raised jugular venous pressure, murmurs of pulmonic regurgitation, and tricuspid regurgitation. There was grade 2 ascites and bilateral leg edema. On laboratory investigation, there were normochromic, normocytic anemia; raised ESR; positive Rheumatoid factor, elevated serum creatinine; and active urinary sediments on urinalysis. Two sets of blood culture were negative on days 1, 5, and 7. Chest-X-ray showed cardiomegaly with bilateral pleural effusion. ECG revealed sinus tachycardia with regular P-waves and QRS complexes. 2D Transthoracic echo showed vegetation on pulmonic valves, pulmonary valve lesions, dilated right atrium and right ventricle, and elevated right ventricular systolic pressure. Abdominal ultrasound revealed enlarged and echogenic kidneys, and ascites. Definitive diagnosis of PVE was made using modified Duke's criteria which was evidenced by 1 major (echo-proven vegetation on pulmonic valve), and 3 minors (suspected congenital pulmonic stenosis, fever, and immunologic phenomena [acute glomerulonephritis, positive rheumatoid factor]). The patient's clinical condition markedly improved after 2 weeks of intravenous antibiotics and loop diuretics, and discharged home after completing 6 weeks of parenteral antibiotics.</p><p><strong>Conclusion: </strong>Modified Duke's criteria could play a major role in the management decision about diagnosis and empiric treatment of infective endocarditis in the absence of positive bacterial cultures.</p>\",\"PeriodicalId\":10357,\"journal\":{\"name\":\"Clinical Medicine Insights. Case Reports\",\"volume\":\"17 \",\"pages\":\"11795476241277329\"},\"PeriodicalIF\":0.6000,\"publicationDate\":\"2024-08-26\",\"publicationTypes\":\"Journal Article\",\"fieldsOfStudy\":null,\"isOpenAccess\":false,\"openAccessPdf\":\"https://www.ncbi.nlm.nih.gov/pmc/articles/PMC11348358/pdf/\",\"citationCount\":\"0\",\"resultStr\":null,\"platform\":\"Semanticscholar\",\"paperid\":null,\"PeriodicalName\":\"Clinical Medicine Insights. Case Reports\",\"FirstCategoryId\":\"1085\",\"ListUrlMain\":\"https://doi.org/10.1177/11795476241277329\",\"RegionNum\":0,\"RegionCategory\":null,\"ArticlePicture\":[],\"TitleCN\":null,\"AbstractTextCN\":null,\"PMCID\":null,\"EPubDate\":\"2024/1/1 0:00:00\",\"PubModel\":\"eCollection\",\"JCR\":\"Q3\",\"JCRName\":\"MEDICINE, GENERAL & INTERNAL\",\"Score\":null,\"Total\":0}","platform":"Semanticscholar","paperid":null,"PeriodicalName":"Clinical Medicine Insights. Case Reports","FirstCategoryId":"1085","ListUrlMain":"https://doi.org/10.1177/11795476241277329","RegionNum":0,"RegionCategory":null,"ArticlePicture":[],"TitleCN":null,"AbstractTextCN":null,"PMCID":null,"EPubDate":"2024/1/1 0:00:00","PubModel":"eCollection","JCR":"Q3","JCRName":"MEDICINE, GENERAL & INTERNAL","Score":null,"Total":0}
引用次数: 0

摘要

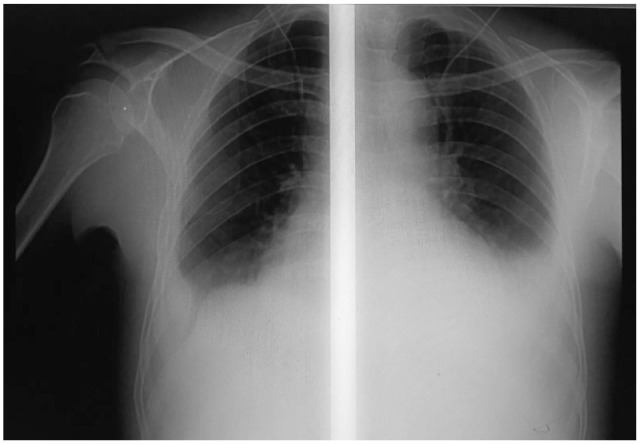
背景:孤立性肺动脉瓣心内膜炎是一种罕见的心脏瓣膜感染,约占所有感染性心内膜炎病例的1%至2%。病例介绍:一名 52 岁的男性患者出现全身肿胀,伴有恶心、呕吐等症状:一名 52 岁的男性患者因全身浮肿就诊,病程 1 个月,伴有长期发热、乏力、疲倦和倦怠。他咳嗽有痰,轻微用力时呼吸困难,尿液呈淡红色。经体格检查,血压(BP)= 140/90 mmHg,脉搏(PR)= 104 次/分钟,呼吸频率(RR)= 26 次/分钟,体温(T0)= 38.3°C,环境空气中的 Sp02 = 90%。他有双侧胸腔积液的迹象。心血管检查显示心动过速、颈静脉压升高、肺动脉反流杂音和三尖瓣反流。腹水为二级,双腿水肿。在实验室检查中,患者出现正常色素、正常红细胞贫血;血沉升高;类风湿因子阳性;血清肌酐升高;尿检有活动性尿沉渣。第 1、5 和 7 天的两组血培养结果均为阴性。胸部X光片显示心脏肿大,双侧胸腔积液。心电图显示窦性心动过速,有规则的P波和QRS波群。二维经胸回声显示肺动脉瓣上有植被,肺动脉瓣病变,右心房和右心室扩张,右心室收缩压升高。腹部超声显示肾脏增大、回声增强、腹水。根据修改后的杜克标准,PVE 的确诊有 1 个主要证据(回声证实肺动脉瓣上有植被)和 3 个次要证据(疑似先天性肺动脉狭窄、发热和免疫现象 [急性肾小球肾炎、类风湿因子阳性])。在静脉注射抗生素和襻利尿剂 2 周后,患者的临床状况明显好转,并在完成 6 周的肠外抗生素治疗后出院回家:结论:修改后的杜克标准可在细菌培养未呈阳性的感染性心内膜炎诊断和经验性治疗的管理决策中发挥重要作用。
本文章由计算机程序翻译,如有差异,请以英文原文为准。

Isolated Pulmonic Valve Endocarditis: A Rare Clinical Entity.

Isolated Pulmonic Valve Endocarditis: A Rare Clinical Entity.

Isolated Pulmonic Valve Endocarditis: A Rare Clinical Entity.

Isolated Pulmonic Valve Endocarditis: A Rare Clinical Entity.

Background: Isolated pulmonic valve endocarditis is a rare heart valve infection, and constitutes about 1% to 2% of all infective endocarditis cases. Modified Duke's criteria were used to diagnose culture negative pulmonic valve endocarditis.

Case presentation: A 52-year-old male patient presented with generalized body swelling of 1 month duration associated with prolonged fever, malaise, fatigue, and lassitude. He had productive cough, dyspnea on mild exertion, and reddish discoloration of urine. Upon physical examination, blood pressure (BP) = 140/90 mmHg, pulse rate (PR) = 104 beats per minute, respiratory rate (RR) = 26 breaths per minute, temperature (T0) = 38.3°C, and Sp02 = 90% at ambient air. He had signs of bilateral pleural effusion. Cardiovascular examination revealed tachycardia, raised jugular venous pressure, murmurs of pulmonic regurgitation, and tricuspid regurgitation. There was grade 2 ascites and bilateral leg edema. On laboratory investigation, there were normochromic, normocytic anemia; raised ESR; positive Rheumatoid factor, elevated serum creatinine; and active urinary sediments on urinalysis. Two sets of blood culture were negative on days 1, 5, and 7. Chest-X-ray showed cardiomegaly with bilateral pleural effusion. ECG revealed sinus tachycardia with regular P-waves and QRS complexes. 2D Transthoracic echo showed vegetation on pulmonic valves, pulmonary valve lesions, dilated right atrium and right ventricle, and elevated right ventricular systolic pressure. Abdominal ultrasound revealed enlarged and echogenic kidneys, and ascites. Definitive diagnosis of PVE was made using modified Duke's criteria which was evidenced by 1 major (echo-proven vegetation on pulmonic valve), and 3 minors (suspected congenital pulmonic stenosis, fever, and immunologic phenomena [acute glomerulonephritis, positive rheumatoid factor]). The patient's clinical condition markedly improved after 2 weeks of intravenous antibiotics and loop diuretics, and discharged home after completing 6 weeks of parenteral antibiotics.

Conclusion: Modified Duke's criteria could play a major role in the management decision about diagnosis and empiric treatment of infective endocarditis in the absence of positive bacterial cultures.

求助全文
通过发布文献求助,成功后即可免费获取论文全文。 去求助
来源期刊
Clinical Medicine Insights. Case Reports
Clinical Medicine Insights. Case Reports MEDICINE, GENERAL & INTERNAL-
CiteScore
1.10
自引率
0.00%
发文量
57
审稿时长
8 weeks
×
引用
GB/T 7714-2015
复制
MLA
复制
APA
复制
导出至
BibTeX EndNote RefMan NoteFirst NoteExpress
×
提示
您的信息不完整,为了账户安全,请先补充。
现在去补充
×
提示
您因"违规操作"
具体请查看互助需知
我知道了
×
提示
确定
请完成安全验证×
copy
已复制链接
快去分享给好友吧!
我知道了
右上角分享
点击右上角分享
0
联系我们:info@booksci.cn Book学术提供免费学术资源搜索服务,方便国内外学者检索中英文文献。致力于提供最便捷和优质的服务体验。 Copyright © 2023 布克学术 All rights reserved.
京ICP备2023020795号-1
ghs 京公网安备 11010802042870号
Book学术文献互助
Book学术文献互助群
群 号:604180095
Book学术官方微信