研究唾液基质金属蛋白酶-2和基质金属蛋白酶-9在固定正畸引起的牙龈增生中的活性。

Q2 Dentistry
Dental Research Journal Pub Date : 2024-07-12 eCollection Date: 2024-01-01
Narges Ziaei, Amir Kiani, Ehsan Mohammadi-Noori, Shahram Arishi, Shima Golmohammadi
{"title":"研究唾液基质金属蛋白酶-2和基质金属蛋白酶-9在固定正畸引起的牙龈增生中的活性。","authors":"Narges Ziaei, Amir Kiani, Ehsan Mohammadi-Noori, Shahram Arishi, Shima Golmohammadi","doi":"","DOIUrl":null,"url":null,"abstract":"<p><strong>Background: </strong>Gingival enlargement (GE) is a common clinical observation among orthodontic patients, yet its underlying causes remain unclear. This study aims to investigate the potential involvement of salivary matrix metalloproteinase (MMP)-2 and MMP-9 activity in orthodontic-induced GE.</p><p><strong>Materials and methods: </strong>In this case-control study, we enrolled 50 subjects, including 25 individuals with GE and 25 without. The participants, aged 10-35 years, were in the 4<sup>th</sup> or 5<sup>th</sup> month of their orthodontic treatment. Comprehensive clinical assessments, encompassing plaque index, gingival index, and GE score were performed, and saliva samples were subjected to gelatin zymography to assess enzyme activity. Statistical analysis, including the Chi-square test for age distribution, independent samples <i>t</i>-test for age comparison between study groups, Mann-Whitney <i>U</i> test for MMP activity comparison, and Wilcoxon signed-rank test for comparison of data from the 4<sup>th</sup> to 5<sup>th</sup> months of treatment, was performed using SPSS version 23.0, with a significance level set at 0.05.</p><p><strong>Results: </strong>MMP-2 activity was undetectable in the zymograms. In the 4<sup>th</sup> month of treatment, MMP-9 activity was more prominent in the case group, though this disparity did not reach statistical significance in the 5<sup>th</sup> month. Furthermore, MMP-9 activity did not exhibit a correlation with the GE score.</p><p><strong>Conclusion: </strong>The activity of MMP-9 in the saliva of orthodontic patients with GE increases during the 4<sup>th</sup> month of treatment, but no correlation exists with the degree of GE.</p>","PeriodicalId":11016,"journal":{"name":"Dental Research Journal","volume":"21 ","pages":"40"},"PeriodicalIF":0.0000,"publicationDate":"2024-07-12","publicationTypes":"Journal Article","fieldsOfStudy":null,"isOpenAccess":false,"openAccessPdf":"https://www.ncbi.nlm.nih.gov/pmc/articles/PMC11346616/pdf/","citationCount":"0","resultStr":"{\"title\":\"Investigating salivary matrix metalloproteinase-2 and matrix metalloproteinase-9 activity in fixed orthodontic-induced gingival enlargement.\",\"authors\":\"Narges Ziaei, Amir Kiani, Ehsan Mohammadi-Noori, Shahram Arishi, Shima Golmohammadi\",\"doi\":\"\",\"DOIUrl\":null,\"url\":null,\"abstract\":\"<p><strong>Background: </strong>Gingival enlargement (GE) is a common clinical observation among orthodontic patients, yet its underlying causes remain unclear. This study aims to investigate the potential involvement of salivary matrix metalloproteinase (MMP)-2 and MMP-9 activity in orthodontic-induced GE.</p><p><strong>Materials and methods: </strong>In this case-control study, we enrolled 50 subjects, including 25 individuals with GE and 25 without. The participants, aged 10-35 years, were in the 4<sup>th</sup> or 5<sup>th</sup> month of their orthodontic treatment. Comprehensive clinical assessments, encompassing plaque index, gingival index, and GE score were performed, and saliva samples were subjected to gelatin zymography to assess enzyme activity. Statistical analysis, including the Chi-square test for age distribution, independent samples <i>t</i>-test for age comparison between study groups, Mann-Whitney <i>U</i> test for MMP activity comparison, and Wilcoxon signed-rank test for comparison of data from the 4<sup>th</sup> to 5<sup>th</sup> months of treatment, was performed using SPSS version 23.0, with a significance level set at 0.05.</p><p><strong>Results: </strong>MMP-2 activity was undetectable in the zymograms. In the 4<sup>th</sup> month of treatment, MMP-9 activity was more prominent in the case group, though this disparity did not reach statistical significance in the 5<sup>th</sup> month. Furthermore, MMP-9 activity did not exhibit a correlation with the GE score.</p><p><strong>Conclusion: </strong>The activity of MMP-9 in the saliva of orthodontic patients with GE increases during the 4<sup>th</sup> month of treatment, but no correlation exists with the degree of GE.</p>\",\"PeriodicalId\":11016,\"journal\":{\"name\":\"Dental Research Journal\",\"volume\":\"21 \",\"pages\":\"40\"},\"PeriodicalIF\":0.0000,\"publicationDate\":\"2024-07-12\",\"publicationTypes\":\"Journal Article\",\"fieldsOfStudy\":null,\"isOpenAccess\":false,\"openAccessPdf\":\"https://www.ncbi.nlm.nih.gov/pmc/articles/PMC11346616/pdf/\",\"citationCount\":\"0\",\"resultStr\":null,\"platform\":\"Semanticscholar\",\"paperid\":null,\"PeriodicalName\":\"Dental Research Journal\",\"FirstCategoryId\":\"1085\",\"ListUrlMain\":\"\",\"RegionNum\":0,\"RegionCategory\":null,\"ArticlePicture\":[],\"TitleCN\":null,\"AbstractTextCN\":null,\"PMCID\":null,\"EPubDate\":\"2024/1/1 0:00:00\",\"PubModel\":\"eCollection\",\"JCR\":\"Q2\",\"JCRName\":\"Dentistry\",\"Score\":null,\"Total\":0}","platform":"Semanticscholar","paperid":null,"PeriodicalName":"Dental Research Journal","FirstCategoryId":"1085","ListUrlMain":"","RegionNum":0,"RegionCategory":null,"ArticlePicture":[],"TitleCN":null,"AbstractTextCN":null,"PMCID":null,"EPubDate":"2024/1/1 0:00:00","PubModel":"eCollection","JCR":"Q2","JCRName":"Dentistry","Score":null,"Total":0}
引用次数: 0

摘要

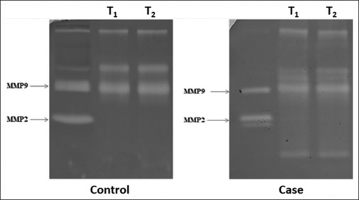
背景:牙龈增生(GE)是正畸患者中常见的临床表现,但其根本原因仍不清楚。本研究旨在探讨唾液基质金属蛋白酶(MMP)-2 和 MMP-9 活性可能参与正畸诱发的牙龈增生:在这项病例对照研究中,我们招募了 50 名受试者,包括 25 名 GE 患者和 25 名非 GE 患者。参与者年龄在 10-35 岁之间,正处于牙齿矫正治疗的第 4 或第 5 个月。研究人员进行了全面的临床评估,包括牙菌斑指数、牙龈指数和 GE 评分,并对唾液样本进行了明胶酶谱分析,以评估酶的活性。使用 SPSS 23.0 版进行了统计分析,包括年龄分布的卡方检验、研究组间年龄比较的独立样本 t 检验、MMP 活性比较的 Mann-Whitney U 检验以及治疗第 4 个月至第 5 个月数据比较的 Wilcoxon 符号秩检验,显著性水平设为 0.05:在酶图中检测不到 MMP-2 活性。在治疗的第 4 个月,病例组的 MMP-9 活性更为突出,但这一差异在第 5 个月没有达到统计学意义。此外,MMP-9 的活性与 GE 评分没有相关性:结论:有GE的正畸患者唾液中MMP-9的活性在治疗的第4个月有所增加,但与GE的程度没有相关性。
本文章由计算机程序翻译,如有差异,请以英文原文为准。

Investigating salivary matrix metalloproteinase-2 and matrix metalloproteinase-9 activity in fixed orthodontic-induced gingival enlargement.

Investigating salivary matrix metalloproteinase-2 and matrix metalloproteinase-9 activity in fixed orthodontic-induced gingival enlargement.

Investigating salivary matrix metalloproteinase-2 and matrix metalloproteinase-9 activity in fixed orthodontic-induced gingival enlargement.

Background: Gingival enlargement (GE) is a common clinical observation among orthodontic patients, yet its underlying causes remain unclear. This study aims to investigate the potential involvement of salivary matrix metalloproteinase (MMP)-2 and MMP-9 activity in orthodontic-induced GE.

Materials and methods: In this case-control study, we enrolled 50 subjects, including 25 individuals with GE and 25 without. The participants, aged 10-35 years, were in the 4th or 5th month of their orthodontic treatment. Comprehensive clinical assessments, encompassing plaque index, gingival index, and GE score were performed, and saliva samples were subjected to gelatin zymography to assess enzyme activity. Statistical analysis, including the Chi-square test for age distribution, independent samples t-test for age comparison between study groups, Mann-Whitney U test for MMP activity comparison, and Wilcoxon signed-rank test for comparison of data from the 4th to 5th months of treatment, was performed using SPSS version 23.0, with a significance level set at 0.05.

Results: MMP-2 activity was undetectable in the zymograms. In the 4th month of treatment, MMP-9 activity was more prominent in the case group, though this disparity did not reach statistical significance in the 5th month. Furthermore, MMP-9 activity did not exhibit a correlation with the GE score.

Conclusion: The activity of MMP-9 in the saliva of orthodontic patients with GE increases during the 4th month of treatment, but no correlation exists with the degree of GE.

求助全文
通过发布文献求助,成功后即可免费获取论文全文。 去求助
来源期刊
Dental Research Journal
Dental Research Journal Dentistry-Dentistry (all)
CiteScore
1.70
自引率
0.00%
发文量
70
审稿时长
52 weeks
期刊介绍: Dental Research Journal, a publication of Isfahan University of Medical Sciences, is a peer-reviewed online journal with Bimonthly print on demand compilation of issues published. The journal’s full text is available online at http://www.drjjournal.net. The journal allows free access (Open Access) to its contents and permits authors to self-archive final accepted version of the articles on any OAI-compliant institutional / subject-based repository. The journal will cover technical and clinical studies related to health, ethical and social issues in field of Dentistry. Articles with clinical interest and implications will be given preference.
×
引用
GB/T 7714-2015
复制
MLA
复制
APA
复制
导出至
BibTeX EndNote RefMan NoteFirst NoteExpress
×
提示
您的信息不完整,为了账户安全,请先补充。
现在去补充
×
提示
您因"违规操作"
具体请查看互助需知
我知道了
×
提示
确定
请完成安全验证×
copy
已复制链接
快去分享给好友吧!
我知道了
右上角分享
点击右上角分享
0
联系我们:info@booksci.cn Book学术提供免费学术资源搜索服务,方便国内外学者检索中英文文献。致力于提供最便捷和优质的服务体验。 Copyright © 2023 布克学术 All rights reserved.
京ICP备2023020795号-1
ghs 京公网安备 11010802042870号
Book学术文献互助
Book学术文献互助群
群 号:604180095
Book学术官方微信