口腔白斑病和口腔鳞状细胞癌患者的传统脱落细胞学和离心液基细胞学比较研究。

Q2 Dentistry
Dental Research Journal Pub Date : 2024-07-04 eCollection Date: 2024-01-01
R Jayabalan, Ambika Murugesan, Sekar Balakrishnan, Maya Ramesh
{"title":"口腔白斑病和口腔鳞状细胞癌患者的传统脱落细胞学和离心液基细胞学比较研究。","authors":"R Jayabalan, Ambika Murugesan, Sekar Balakrishnan, Maya Ramesh","doi":"","DOIUrl":null,"url":null,"abstract":"<p><strong>Background: </strong>This study aims to compare the efficacy between conventional exfoliative cytology (EC) and centrifuged liquid-based cytology (CLBC) in control, leukoplakia, and oral squamous cell carcinoma (OSCC) patients. Oral leukoplakia and oral cancer require an early definitive diagnosis for better prognostic outcome. Oral EC, a minimally invasive technique that involves the examination of desquamated cells from the tissue surfaces used as a method of early diagnosis. CLBC is a modified technique that is used to achieve improved quality of the cytology findings.</p><p><strong>Materials and methods: </strong>A comparative study was done in 30 subjects, of which, 10 cases from control group, 10 oral leukoplakia, and 10 OSCC cases. These subjects were selected according to the appropriate inclusion and exclusion criteria. The cases in each group underwent conventional as well as CLBC. The comparison was carried out between these groups with respect to the cellular and background stromal factors. Appropriate qualitative evaluation of the samples was collected and statistical analysis was done using the Chi-squared test. The significance level of value was <i>P</i> < 0.05.</p><p><strong>Results: </strong>Significant results were obtained for certain parameters such as cellular overlap clear background, uniform distribution in control, leukoplakia, and OSCC with a <i>P</i> = 0.004**, <i>P</i> = 0.001**, <i>P</i> = 0.006** using CLBC.</p><p><strong>Conclusion: </strong>CLBC is better and give clearer vision as compared to conventional cytology and can be used in the early diagnosis.</p>","PeriodicalId":11016,"journal":{"name":"Dental Research Journal","volume":"21 ","pages":"28"},"PeriodicalIF":0.0000,"publicationDate":"2024-07-04","publicationTypes":"Journal Article","fieldsOfStudy":null,"isOpenAccess":false,"openAccessPdf":"https://www.ncbi.nlm.nih.gov/pmc/articles/PMC11346596/pdf/","citationCount":"0","resultStr":"{\"title\":\"Comparative study of conventional exfoliative cytology and centrifuged liquid-based cytology in oral leukoplakia and oral squamous cell carcinoma patients.\",\"authors\":\"R Jayabalan, Ambika Murugesan, Sekar Balakrishnan, Maya Ramesh\",\"doi\":\"\",\"DOIUrl\":null,\"url\":null,\"abstract\":\"<p><strong>Background: </strong>This study aims to compare the efficacy between conventional exfoliative cytology (EC) and centrifuged liquid-based cytology (CLBC) in control, leukoplakia, and oral squamous cell carcinoma (OSCC) patients. Oral leukoplakia and oral cancer require an early definitive diagnosis for better prognostic outcome. Oral EC, a minimally invasive technique that involves the examination of desquamated cells from the tissue surfaces used as a method of early diagnosis. CLBC is a modified technique that is used to achieve improved quality of the cytology findings.</p><p><strong>Materials and methods: </strong>A comparative study was done in 30 subjects, of which, 10 cases from control group, 10 oral leukoplakia, and 10 OSCC cases. These subjects were selected according to the appropriate inclusion and exclusion criteria. The cases in each group underwent conventional as well as CLBC. The comparison was carried out between these groups with respect to the cellular and background stromal factors. Appropriate qualitative evaluation of the samples was collected and statistical analysis was done using the Chi-squared test. The significance level of value was <i>P</i> < 0.05.</p><p><strong>Results: </strong>Significant results were obtained for certain parameters such as cellular overlap clear background, uniform distribution in control, leukoplakia, and OSCC with a <i>P</i> = 0.004**, <i>P</i> = 0.001**, <i>P</i> = 0.006** using CLBC.</p><p><strong>Conclusion: </strong>CLBC is better and give clearer vision as compared to conventional cytology and can be used in the early diagnosis.</p>\",\"PeriodicalId\":11016,\"journal\":{\"name\":\"Dental Research Journal\",\"volume\":\"21 \",\"pages\":\"28\"},\"PeriodicalIF\":0.0000,\"publicationDate\":\"2024-07-04\",\"publicationTypes\":\"Journal Article\",\"fieldsOfStudy\":null,\"isOpenAccess\":false,\"openAccessPdf\":\"https://www.ncbi.nlm.nih.gov/pmc/articles/PMC11346596/pdf/\",\"citationCount\":\"0\",\"resultStr\":null,\"platform\":\"Semanticscholar\",\"paperid\":null,\"PeriodicalName\":\"Dental Research Journal\",\"FirstCategoryId\":\"1085\",\"ListUrlMain\":\"\",\"RegionNum\":0,\"RegionCategory\":null,\"ArticlePicture\":[],\"TitleCN\":null,\"AbstractTextCN\":null,\"PMCID\":null,\"EPubDate\":\"2024/1/1 0:00:00\",\"PubModel\":\"eCollection\",\"JCR\":\"Q2\",\"JCRName\":\"Dentistry\",\"Score\":null,\"Total\":0}","platform":"Semanticscholar","paperid":null,"PeriodicalName":"Dental Research Journal","FirstCategoryId":"1085","ListUrlMain":"","RegionNum":0,"RegionCategory":null,"ArticlePicture":[],"TitleCN":null,"AbstractTextCN":null,"PMCID":null,"EPubDate":"2024/1/1 0:00:00","PubModel":"eCollection","JCR":"Q2","JCRName":"Dentistry","Score":null,"Total":0}
引用次数: 0

摘要

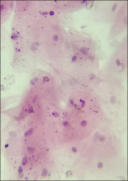
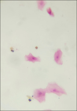
研究背景本研究旨在比较传统脱落细胞学(EC)和离心液基细胞学(CLBC)对对照组、白斑病和口腔鳞状细胞癌(OSCC)患者的疗效。口腔白斑病和口腔癌需要早期明确诊断,以获得更好的预后效果。口腔EC是一种微创技术,包括检查组织表面的脱屑细胞,可作为早期诊断的一种方法。CLBC是一种改良技术,用于提高细胞学检查结果的质量:对 30 名受试者进行了比较研究,其中对照组 10 例,口腔白斑病 10 例,OSCC 10 例。这些受试者是根据适当的纳入和排除标准挑选出来的。每组病例均接受了常规和 CLBC 检查。在细胞和背景基质因素方面对这些组别进行了比较。对样本进行适当的定性评估,并使用卡方检验进行统计分析。显著性水平为 P <0.05:结果:使用 CLBC 时,某些参数,如细胞重叠、背景清晰、对照组、白斑病和 OSCC 的均匀分布等,均有显著结果,P = 0.004**、P = 0.001**、P = 0.006**:结论:与传统细胞学相比,CLBC 效果更好,视野更清晰,可用于早期诊断。
本文章由计算机程序翻译,如有差异,请以英文原文为准。

Comparative study of conventional exfoliative cytology and centrifuged liquid-based cytology in oral leukoplakia and oral squamous cell carcinoma patients.

Comparative study of conventional exfoliative cytology and centrifuged liquid-based cytology in oral leukoplakia and oral squamous cell carcinoma patients.

Comparative study of conventional exfoliative cytology and centrifuged liquid-based cytology in oral leukoplakia and oral squamous cell carcinoma patients.

Background: This study aims to compare the efficacy between conventional exfoliative cytology (EC) and centrifuged liquid-based cytology (CLBC) in control, leukoplakia, and oral squamous cell carcinoma (OSCC) patients. Oral leukoplakia and oral cancer require an early definitive diagnosis for better prognostic outcome. Oral EC, a minimally invasive technique that involves the examination of desquamated cells from the tissue surfaces used as a method of early diagnosis. CLBC is a modified technique that is used to achieve improved quality of the cytology findings.

Materials and methods: A comparative study was done in 30 subjects, of which, 10 cases from control group, 10 oral leukoplakia, and 10 OSCC cases. These subjects were selected according to the appropriate inclusion and exclusion criteria. The cases in each group underwent conventional as well as CLBC. The comparison was carried out between these groups with respect to the cellular and background stromal factors. Appropriate qualitative evaluation of the samples was collected and statistical analysis was done using the Chi-squared test. The significance level of value was P < 0.05.

Results: Significant results were obtained for certain parameters such as cellular overlap clear background, uniform distribution in control, leukoplakia, and OSCC with a P = 0.004**, P = 0.001**, P = 0.006** using CLBC.

Conclusion: CLBC is better and give clearer vision as compared to conventional cytology and can be used in the early diagnosis.

求助全文
通过发布文献求助,成功后即可免费获取论文全文。 去求助
来源期刊
Dental Research Journal
Dental Research Journal Dentistry-Dentistry (all)
CiteScore
1.70
自引率
0.00%
发文量
70
审稿时长
52 weeks
期刊介绍: Dental Research Journal, a publication of Isfahan University of Medical Sciences, is a peer-reviewed online journal with Bimonthly print on demand compilation of issues published. The journal’s full text is available online at http://www.drjjournal.net. The journal allows free access (Open Access) to its contents and permits authors to self-archive final accepted version of the articles on any OAI-compliant institutional / subject-based repository. The journal will cover technical and clinical studies related to health, ethical and social issues in field of Dentistry. Articles with clinical interest and implications will be given preference.
×
引用
GB/T 7714-2015
复制
MLA
复制
APA
复制
导出至
BibTeX EndNote RefMan NoteFirst NoteExpress
×
提示
您的信息不完整,为了账户安全,请先补充。
现在去补充
×
提示
您因"违规操作"
具体请查看互助需知
我知道了
×
提示
确定
请完成安全验证×
copy
已复制链接
快去分享给好友吧!
我知道了
右上角分享
点击右上角分享
0
联系我们:info@booksci.cn Book学术提供免费学术资源搜索服务,方便国内外学者检索中英文文献。致力于提供最便捷和优质的服务体验。 Copyright © 2023 布克学术 All rights reserved.
京ICP备2023020795号-1
ghs 京公网安备 11010802042870号
Book学术文献互助
Book学术文献互助群
群 号:604180095
Book学术官方微信