用皮下输尿管旁路术治疗猫肾移植后继发于腹膜后纤维化的近端输尿管梗阻。

IF 0.7 Q3 VETERINARY SCIENCES
Journal of Feline Medicine and Surgery Open Reports Pub Date : 2024-08-22 eCollection Date: 2024-07-01 DOI:10.1177/20551169241265244
Peter J Laminette, Robert J Hardie
{"title":"用皮下输尿管旁路术治疗猫肾移植后继发于腹膜后纤维化的近端输尿管梗阻。","authors":"Peter J Laminette, Robert J Hardie","doi":"10.1177/20551169241265244","DOIUrl":null,"url":null,"abstract":"<p><strong>Case summary: </strong>A 5.5-year-old male neutered domestic shorthair cat was presented with a 2-year history of progressive chronic kidney disease. Abdominal ultrasonography revealed bilateral chronic renal degeneration, nephrolithiasis, cortical hyperechogenicity and infarction. Left orthotopic renal transplantation was performed using the Synovis vascular coupling system for end-to-end anastomosis of the renal arteries and veins. Two months after transplantation, renal values were elevated, and abdominal ultrasonography revealed hydronephrosis and hydroureter of the transplanted kidney. Fluoroscopic antegrade pyelography identified a proximal ureteral stricture. Proximal neoureterocystostomy was performed and renal values normalized postoperatively. The cat was re-evaluated for acute stranguria and severe azotemia 12 months later. Contrast-enhanced CT revealed severe hydronephrosis of the transplanted kidney, obstruction of the proximal ureter and adhesions to the urinary bladder. Upon exploration, retroperitoneal fibrosis was found covering the transplanted kidney. Given the clinical situation, a subcutaneous ureteral bypass device (SUB) was placed. Clinicopathologic analyses, trough cyclosporine levels, aerobic urine cultures and ultrasonographic evaluations of the transplanted kidney were monitored every 1-3 months. Patency of the SUB was reassessed every 3-6 months. At 15 months after placement, the SUB occluded due to kinking of the cystostomy catheter and was replaced. At 28 months after SUB placement, renal function and clinical status deteriorated, and the cat was euthanized.</p><p><strong>Relevance and novel information: </strong>To the authors' knowledge, this is the first report of a SUB device being used for management of ureteral obstruction in a transplanted kidney in a cat.</p>","PeriodicalId":36588,"journal":{"name":"Journal of Feline Medicine and Surgery Open Reports","volume":"10 2","pages":"20551169241265244"},"PeriodicalIF":0.7000,"publicationDate":"2024-08-22","publicationTypes":"Journal Article","fieldsOfStudy":null,"isOpenAccess":false,"openAccessPdf":"https://www.ncbi.nlm.nih.gov/pmc/articles/PMC11342331/pdf/","citationCount":"0","resultStr":"{\"title\":\"Subcutaneous ureteral bypass for treatment of proximal ureteral obstruction secondary to retroperitoneal fibrosis after renal transplantation in a cat.\",\"authors\":\"Peter J Laminette, Robert J Hardie\",\"doi\":\"10.1177/20551169241265244\",\"DOIUrl\":null,\"url\":null,\"abstract\":\"<p><strong>Case summary: </strong>A 5.5-year-old male neutered domestic shorthair cat was presented with a 2-year history of progressive chronic kidney disease. Abdominal ultrasonography revealed bilateral chronic renal degeneration, nephrolithiasis, cortical hyperechogenicity and infarction. Left orthotopic renal transplantation was performed using the Synovis vascular coupling system for end-to-end anastomosis of the renal arteries and veins. Two months after transplantation, renal values were elevated, and abdominal ultrasonography revealed hydronephrosis and hydroureter of the transplanted kidney. Fluoroscopic antegrade pyelography identified a proximal ureteral stricture. Proximal neoureterocystostomy was performed and renal values normalized postoperatively. The cat was re-evaluated for acute stranguria and severe azotemia 12 months later. Contrast-enhanced CT revealed severe hydronephrosis of the transplanted kidney, obstruction of the proximal ureter and adhesions to the urinary bladder. Upon exploration, retroperitoneal fibrosis was found covering the transplanted kidney. Given the clinical situation, a subcutaneous ureteral bypass device (SUB) was placed. Clinicopathologic analyses, trough cyclosporine levels, aerobic urine cultures and ultrasonographic evaluations of the transplanted kidney were monitored every 1-3 months. Patency of the SUB was reassessed every 3-6 months. At 15 months after placement, the SUB occluded due to kinking of the cystostomy catheter and was replaced. At 28 months after SUB placement, renal function and clinical status deteriorated, and the cat was euthanized.</p><p><strong>Relevance and novel information: </strong>To the authors' knowledge, this is the first report of a SUB device being used for management of ureteral obstruction in a transplanted kidney in a cat.</p>\",\"PeriodicalId\":36588,\"journal\":{\"name\":\"Journal of Feline Medicine and Surgery Open Reports\",\"volume\":\"10 2\",\"pages\":\"20551169241265244\"},\"PeriodicalIF\":0.7000,\"publicationDate\":\"2024-08-22\",\"publicationTypes\":\"Journal Article\",\"fieldsOfStudy\":null,\"isOpenAccess\":false,\"openAccessPdf\":\"https://www.ncbi.nlm.nih.gov/pmc/articles/PMC11342331/pdf/\",\"citationCount\":\"0\",\"resultStr\":null,\"platform\":\"Semanticscholar\",\"paperid\":null,\"PeriodicalName\":\"Journal of Feline Medicine and Surgery Open Reports\",\"FirstCategoryId\":\"1085\",\"ListUrlMain\":\"https://doi.org/10.1177/20551169241265244\",\"RegionNum\":0,\"RegionCategory\":null,\"ArticlePicture\":[],\"TitleCN\":null,\"AbstractTextCN\":null,\"PMCID\":null,\"EPubDate\":\"2024/7/1 0:00:00\",\"PubModel\":\"eCollection\",\"JCR\":\"Q3\",\"JCRName\":\"VETERINARY SCIENCES\",\"Score\":null,\"Total\":0}","platform":"Semanticscholar","paperid":null,"PeriodicalName":"Journal of Feline Medicine and Surgery Open Reports","FirstCategoryId":"1085","ListUrlMain":"https://doi.org/10.1177/20551169241265244","RegionNum":0,"RegionCategory":null,"ArticlePicture":[],"TitleCN":null,"AbstractTextCN":null,"PMCID":null,"EPubDate":"2024/7/1 0:00:00","PubModel":"eCollection","JCR":"Q3","JCRName":"VETERINARY SCIENCES","Score":null,"Total":0}
引用次数: 0

摘要

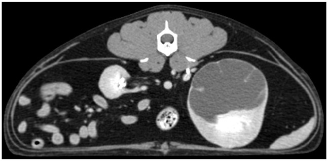
病例摘要:患者是一只 5.5 岁的雄性阉割短毛猫,两年前开始出现进行性慢性肾病。腹部超声波检查发现双侧慢性肾脏变性、肾结石、皮质高回声和梗死。使用 Synovis 血管耦合系统对肾动脉和静脉进行端对端吻合,进行了左侧正位肾移植。移植两个月后,肾脏数值升高,腹部超声波检查发现移植肾肾积水和肾积脓。透视前行肾盂造影发现近端输尿管狭窄。对其进行了近端新输尿管囊肿切除术,术后肾脏数值恢复正常。12 个月后,该猫因急性绞窄尿和严重氮质血症接受了重新评估。对比增强 CT 显示移植肾出现严重肾积水,近端输尿管阻塞,膀胱粘连。经探查发现,腹膜后纤维化覆盖了移植肾。考虑到临床情况,患者被放置了皮下输尿管旁路装置(SUB)。每隔 1-3 个月对临床病理分析、环孢素谷值、需氧尿培养和移植肾的超声波评估进行一次监测。每 3-6 个月重新评估一次 SUB 的通畅性。放置 SUB 15 个月后,由于膀胱造口导管扭结,SUB 出现闭塞,因此进行了更换。放置 SUB 后 28 个月,该猫的肾功能和临床状况恶化,最终安乐死:据作者所知,这是首次报道使用 SUB 装置治疗猫移植肾的输尿管梗阻。
本文章由计算机程序翻译,如有差异,请以英文原文为准。

Subcutaneous ureteral bypass for treatment of proximal ureteral obstruction secondary to retroperitoneal fibrosis after renal transplantation in a cat.

Subcutaneous ureteral bypass for treatment of proximal ureteral obstruction secondary to retroperitoneal fibrosis after renal transplantation in a cat.

Subcutaneous ureteral bypass for treatment of proximal ureteral obstruction secondary to retroperitoneal fibrosis after renal transplantation in a cat.

Subcutaneous ureteral bypass for treatment of proximal ureteral obstruction secondary to retroperitoneal fibrosis after renal transplantation in a cat.

Case summary: A 5.5-year-old male neutered domestic shorthair cat was presented with a 2-year history of progressive chronic kidney disease. Abdominal ultrasonography revealed bilateral chronic renal degeneration, nephrolithiasis, cortical hyperechogenicity and infarction. Left orthotopic renal transplantation was performed using the Synovis vascular coupling system for end-to-end anastomosis of the renal arteries and veins. Two months after transplantation, renal values were elevated, and abdominal ultrasonography revealed hydronephrosis and hydroureter of the transplanted kidney. Fluoroscopic antegrade pyelography identified a proximal ureteral stricture. Proximal neoureterocystostomy was performed and renal values normalized postoperatively. The cat was re-evaluated for acute stranguria and severe azotemia 12 months later. Contrast-enhanced CT revealed severe hydronephrosis of the transplanted kidney, obstruction of the proximal ureter and adhesions to the urinary bladder. Upon exploration, retroperitoneal fibrosis was found covering the transplanted kidney. Given the clinical situation, a subcutaneous ureteral bypass device (SUB) was placed. Clinicopathologic analyses, trough cyclosporine levels, aerobic urine cultures and ultrasonographic evaluations of the transplanted kidney were monitored every 1-3 months. Patency of the SUB was reassessed every 3-6 months. At 15 months after placement, the SUB occluded due to kinking of the cystostomy catheter and was replaced. At 28 months after SUB placement, renal function and clinical status deteriorated, and the cat was euthanized.

Relevance and novel information: To the authors' knowledge, this is the first report of a SUB device being used for management of ureteral obstruction in a transplanted kidney in a cat.

求助全文
通过发布文献求助,成功后即可免费获取论文全文。 去求助
来源期刊
CiteScore
1.30
自引率
14.30%
发文量
57
审稿时长
15 weeks
×
引用
GB/T 7714-2015
复制
MLA
复制
APA
复制
导出至
BibTeX EndNote RefMan NoteFirst NoteExpress
×
提示
您的信息不完整,为了账户安全,请先补充。
现在去补充
×
提示
您因"违规操作"
具体请查看互助需知
我知道了
×
提示
确定
请完成安全验证×
copy
已复制链接
快去分享给好友吧!
我知道了
右上角分享
点击右上角分享
0
联系我们:info@booksci.cn Book学术提供免费学术资源搜索服务,方便国内外学者检索中英文文献。致力于提供最便捷和优质的服务体验。 Copyright © 2023 布克学术 All rights reserved.
京ICP备2023020795号-1
ghs 京公网安备 11010802042870号
Book学术文献互助
Book学术文献互助群
群 号:604180095
Book学术官方微信