一个罕见的乳头肌心内脂肪瘤病例

Q2 Medicine
Methodist DeBakey cardiovascular journal Pub Date : 2024-08-20 eCollection Date: 2024-01-01 DOI:10.14797/mdcvj.1423
Mansi Verma, Sushma Makhaik, Alisha Rana, Anupam Jhobta, Priyanka Thakur
{"title":"一个罕见的乳头肌心内脂肪瘤病例","authors":"Mansi Verma, Sushma Makhaik, Alisha Rana, Anupam Jhobta, Priyanka Thakur","doi":"10.14797/mdcvj.1423","DOIUrl":null,"url":null,"abstract":"<p><p>Transthoracic echocardiography and cardiac magnetic resonance imaging revealed a well-defined globular mass attached to the anterolateral papillary muscle. The mass was hyperintense on T1 and T2 weighted images with suppression of signal on fat saturated and short tau inversion recovery (STIR) images. This imaging established the diagnosis of cardiac lipoma attached to the anterolateral papillary muscle, Papillary muscle is a very rare location of lipoma, which is rarely reported in the literature.</p>","PeriodicalId":39207,"journal":{"name":"Methodist DeBakey cardiovascular journal","volume":"20 4","pages":"113-115"},"PeriodicalIF":0.0000,"publicationDate":"2024-08-20","publicationTypes":"Journal Article","fieldsOfStudy":null,"isOpenAccess":false,"openAccessPdf":"https://www.ncbi.nlm.nih.gov/pmc/articles/PMC11342840/pdf/","citationCount":"0","resultStr":"{\"title\":\"A Rare Case of Intracardiac Lipoma Arising from the Papillary Muscle.\",\"authors\":\"Mansi Verma, Sushma Makhaik, Alisha Rana, Anupam Jhobta, Priyanka Thakur\",\"doi\":\"10.14797/mdcvj.1423\",\"DOIUrl\":null,\"url\":null,\"abstract\":\"<p><p>Transthoracic echocardiography and cardiac magnetic resonance imaging revealed a well-defined globular mass attached to the anterolateral papillary muscle. The mass was hyperintense on T1 and T2 weighted images with suppression of signal on fat saturated and short tau inversion recovery (STIR) images. This imaging established the diagnosis of cardiac lipoma attached to the anterolateral papillary muscle, Papillary muscle is a very rare location of lipoma, which is rarely reported in the literature.</p>\",\"PeriodicalId\":39207,\"journal\":{\"name\":\"Methodist DeBakey cardiovascular journal\",\"volume\":\"20 4\",\"pages\":\"113-115\"},\"PeriodicalIF\":0.0000,\"publicationDate\":\"2024-08-20\",\"publicationTypes\":\"Journal Article\",\"fieldsOfStudy\":null,\"isOpenAccess\":false,\"openAccessPdf\":\"https://www.ncbi.nlm.nih.gov/pmc/articles/PMC11342840/pdf/\",\"citationCount\":\"0\",\"resultStr\":null,\"platform\":\"Semanticscholar\",\"paperid\":null,\"PeriodicalName\":\"Methodist DeBakey cardiovascular journal\",\"FirstCategoryId\":\"1085\",\"ListUrlMain\":\"https://doi.org/10.14797/mdcvj.1423\",\"RegionNum\":0,\"RegionCategory\":null,\"ArticlePicture\":[],\"TitleCN\":null,\"AbstractTextCN\":null,\"PMCID\":null,\"EPubDate\":\"2024/1/1 0:00:00\",\"PubModel\":\"eCollection\",\"JCR\":\"Q2\",\"JCRName\":\"Medicine\",\"Score\":null,\"Total\":0}","platform":"Semanticscholar","paperid":null,"PeriodicalName":"Methodist DeBakey cardiovascular journal","FirstCategoryId":"1085","ListUrlMain":"https://doi.org/10.14797/mdcvj.1423","RegionNum":0,"RegionCategory":null,"ArticlePicture":[],"TitleCN":null,"AbstractTextCN":null,"PMCID":null,"EPubDate":"2024/1/1 0:00:00","PubModel":"eCollection","JCR":"Q2","JCRName":"Medicine","Score":null,"Total":0}
引用次数: 0

摘要

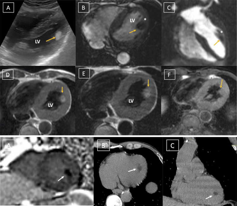
经胸超声心动图和心脏磁共振成像显示,一个轮廓清晰的球状肿块附着在前外侧乳头肌上。该肿块在 T1 和 T2 加权图像上呈高密度,在脂肪饱和和短头反转恢复(STIR)图像上信号抑制。乳头肌是脂肪瘤的一个非常罕见的部位,文献中鲜有报道。
本文章由计算机程序翻译,如有差异,请以英文原文为准。

A Rare Case of Intracardiac Lipoma Arising from the Papillary Muscle.

A Rare Case of Intracardiac Lipoma Arising from the Papillary Muscle.

Transthoracic echocardiography and cardiac magnetic resonance imaging revealed a well-defined globular mass attached to the anterolateral papillary muscle. The mass was hyperintense on T1 and T2 weighted images with suppression of signal on fat saturated and short tau inversion recovery (STIR) images. This imaging established the diagnosis of cardiac lipoma attached to the anterolateral papillary muscle, Papillary muscle is a very rare location of lipoma, which is rarely reported in the literature.

求助全文
通过发布文献求助,成功后即可免费获取论文全文。 去求助
来源期刊
CiteScore
2.30
自引率
0.00%
发文量
65
×
引用
GB/T 7714-2015
复制
MLA
复制
APA
复制
导出至
BibTeX EndNote RefMan NoteFirst NoteExpress
×
提示
您的信息不完整,为了账户安全,请先补充。
现在去补充
×
提示
您因"违规操作"
具体请查看互助需知
我知道了
×
提示
确定
请完成安全验证×
copy
已复制链接
快去分享给好友吧!
我知道了
右上角分享
点击右上角分享
0
联系我们:info@booksci.cn Book学术提供免费学术资源搜索服务,方便国内外学者检索中英文文献。致力于提供最便捷和优质的服务体验。 Copyright © 2023 布克学术 All rights reserved.
京ICP备2023020795号-1
ghs 京公网安备 11010802042870号
Book学术文献互助
Book学术文献互助群
群 号:604180095
Book学术官方微信