pJoseph2:质粒系列,可作为细菌蛋白质表达、转染和 Western 印迹的阳性对照。

IF 2.5 4区 工程技术 Q3 BIOCHEMICAL RESEARCH METHODS
BioTechniques Pub Date : 2024-01-01 Epub Date: 2024-05-12 DOI:10.1080/07366205.2024.2343609
Ebru Robinson, Elizabeth Barajas Alonso, Jennifer A Waters, Cayleen Bileckyj, Carrie D House, Christopher A Johnston, Richard M Cripps
{"title":"pJoseph2:质粒系列,可作为细菌蛋白质表达、转染和 Western 印迹的阳性对照。","authors":"Ebru Robinson, Elizabeth Barajas Alonso, Jennifer A Waters, Cayleen Bileckyj, Carrie D House, Christopher A Johnston, Richard M Cripps","doi":"10.1080/07366205.2024.2343609","DOIUrl":null,"url":null,"abstract":"<p><p>Epitope tagging represents a powerful strategy for expedited identification, isolation, and characterization of proteins in molecular biological studies, including protein-protein interactions. We aimed to improve the reproducibility of epitope-tagged protein expression and detection by developing a range of plasmids as positive controls. The pJoseph2 family of expression plasmids functions in diverse cellular environments and cell types to enable the evaluation of transfection efficiency and antibody staining for epitope detection. The expressed green fluorescent proteins harbor five unique epitope tags, and their efficient expression in <i>Escherichia coli</i>, <i>Drosophila</i> Schneider's line 2 cells, and human SKOV3 and HEK293T cells was demonstrated by fluorescence microscopy and western blotting. The pJoseph2 plasmids provide versatile and valuable positive controls for numerous experimental applications.</p>","PeriodicalId":8945,"journal":{"name":"BioTechniques","volume":"76 7","pages":"299-309"},"PeriodicalIF":2.5000,"publicationDate":"2024-01-01","publicationTypes":"Journal Article","fieldsOfStudy":null,"isOpenAccess":false,"openAccessPdf":"https://www.ncbi.nlm.nih.gov/pmc/articles/PMC11796145/pdf/","citationCount":"0","resultStr":"{\"title\":\"pJoseph2: a family of plasmids as positive controls for bacterial protein expression, transfections, and western blots.\",\"authors\":\"Ebru Robinson, Elizabeth Barajas Alonso, Jennifer A Waters, Cayleen Bileckyj, Carrie D House, Christopher A Johnston, Richard M Cripps\",\"doi\":\"10.1080/07366205.2024.2343609\",\"DOIUrl\":null,\"url\":null,\"abstract\":\"<p><p>Epitope tagging represents a powerful strategy for expedited identification, isolation, and characterization of proteins in molecular biological studies, including protein-protein interactions. We aimed to improve the reproducibility of epitope-tagged protein expression and detection by developing a range of plasmids as positive controls. The pJoseph2 family of expression plasmids functions in diverse cellular environments and cell types to enable the evaluation of transfection efficiency and antibody staining for epitope detection. The expressed green fluorescent proteins harbor five unique epitope tags, and their efficient expression in <i>Escherichia coli</i>, <i>Drosophila</i> Schneider's line 2 cells, and human SKOV3 and HEK293T cells was demonstrated by fluorescence microscopy and western blotting. The pJoseph2 plasmids provide versatile and valuable positive controls for numerous experimental applications.</p>\",\"PeriodicalId\":8945,\"journal\":{\"name\":\"BioTechniques\",\"volume\":\"76 7\",\"pages\":\"299-309\"},\"PeriodicalIF\":2.5000,\"publicationDate\":\"2024-01-01\",\"publicationTypes\":\"Journal Article\",\"fieldsOfStudy\":null,\"isOpenAccess\":false,\"openAccessPdf\":\"https://www.ncbi.nlm.nih.gov/pmc/articles/PMC11796145/pdf/\",\"citationCount\":\"0\",\"resultStr\":null,\"platform\":\"Semanticscholar\",\"paperid\":null,\"PeriodicalName\":\"BioTechniques\",\"FirstCategoryId\":\"5\",\"ListUrlMain\":\"https://doi.org/10.1080/07366205.2024.2343609\",\"RegionNum\":4,\"RegionCategory\":\"工程技术\",\"ArticlePicture\":[],\"TitleCN\":null,\"AbstractTextCN\":null,\"PMCID\":null,\"EPubDate\":\"2024/5/12 0:00:00\",\"PubModel\":\"Epub\",\"JCR\":\"Q3\",\"JCRName\":\"BIOCHEMICAL RESEARCH METHODS\",\"Score\":null,\"Total\":0}","platform":"Semanticscholar","paperid":null,"PeriodicalName":"BioTechniques","FirstCategoryId":"5","ListUrlMain":"https://doi.org/10.1080/07366205.2024.2343609","RegionNum":4,"RegionCategory":"工程技术","ArticlePicture":[],"TitleCN":null,"AbstractTextCN":null,"PMCID":null,"EPubDate":"2024/5/12 0:00:00","PubModel":"Epub","JCR":"Q3","JCRName":"BIOCHEMICAL RESEARCH METHODS","Score":null,"Total":0}
引用次数: 0

摘要

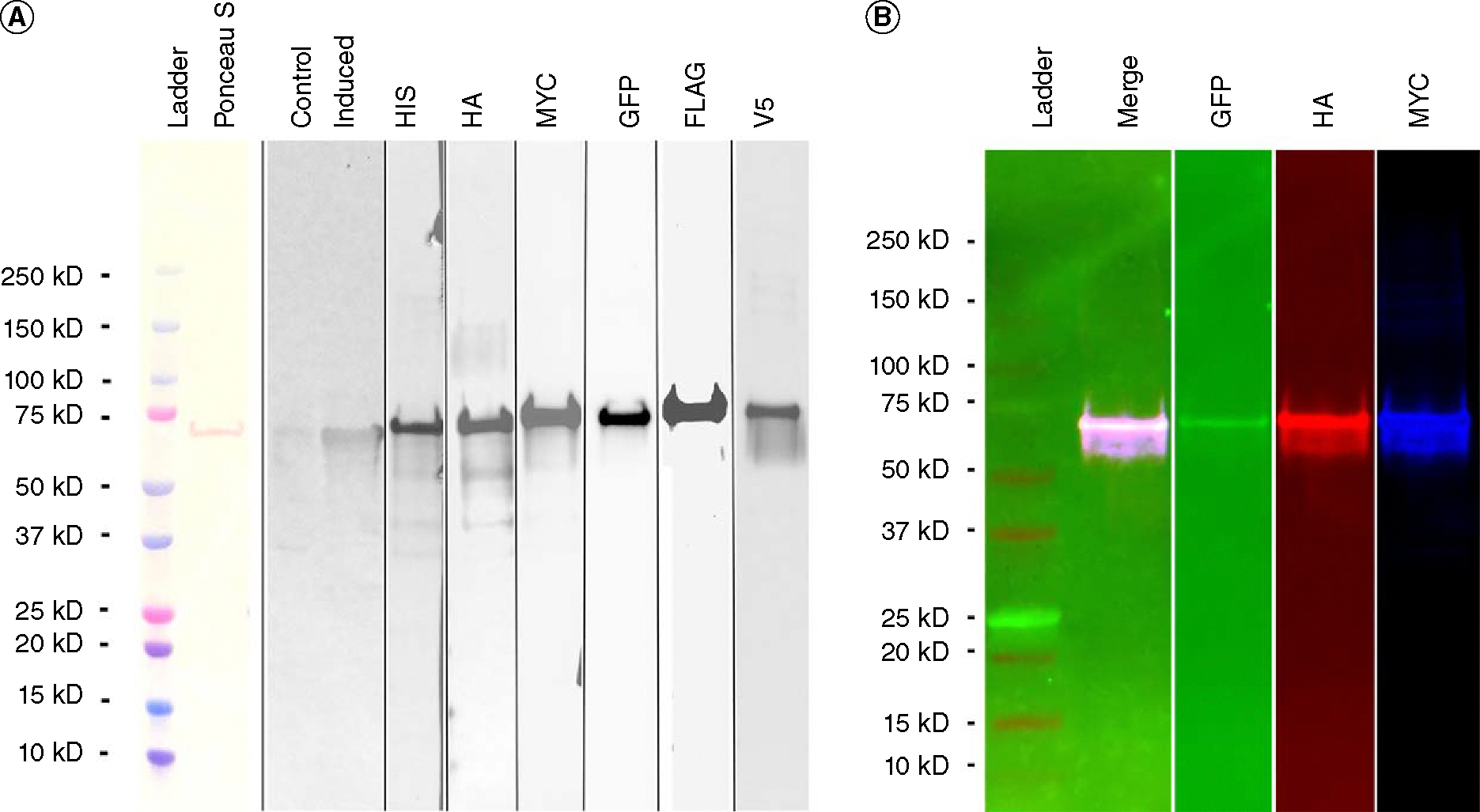
在分子生物学研究(包括蛋白质-蛋白质相互作用)中,表位标记是加快蛋白质鉴定、分离和表征的有力策略。我们的目标是通过开发一系列质粒作为阳性对照,提高表位标记蛋白质表达和检测的可重复性。pJoseph2 系列表达质粒可在不同的细胞环境和细胞类型中发挥作用,以评估转染效率和表位检测的抗体染色。表达的绿色荧光蛋白带有五个独特的表位标签,荧光显微镜和 Western 印迹技术证明了它们在大肠杆菌、果蝇 Schneider's line 2 细胞、人类 SKOV3 和 HEK293T 细胞中的高效表达。pJoseph2 质粒为许多实验应用提供了多功能和有价值的阳性对照。
本文章由计算机程序翻译,如有差异,请以英文原文为准。

pJoseph2: a family of plasmids as positive controls for bacterial protein expression, transfections, and western blots.

pJoseph2: a family of plasmids as positive controls for bacterial protein expression, transfections, and western blots.

pJoseph2: a family of plasmids as positive controls for bacterial protein expression, transfections, and western blots.

pJoseph2: a family of plasmids as positive controls for bacterial protein expression, transfections, and western blots.

Epitope tagging represents a powerful strategy for expedited identification, isolation, and characterization of proteins in molecular biological studies, including protein-protein interactions. We aimed to improve the reproducibility of epitope-tagged protein expression and detection by developing a range of plasmids as positive controls. The pJoseph2 family of expression plasmids functions in diverse cellular environments and cell types to enable the evaluation of transfection efficiency and antibody staining for epitope detection. The expressed green fluorescent proteins harbor five unique epitope tags, and their efficient expression in Escherichia coli, Drosophila Schneider's line 2 cells, and human SKOV3 and HEK293T cells was demonstrated by fluorescence microscopy and western blotting. The pJoseph2 plasmids provide versatile and valuable positive controls for numerous experimental applications.

求助全文
通过发布文献求助,成功后即可免费获取论文全文。 去求助
来源期刊
BioTechniques
BioTechniques 工程技术-生化研究方法
CiteScore
4.40
自引率
0.00%
发文量
68
审稿时长
3.3 months
期刊介绍: BioTechniques is a peer-reviewed, open-access journal dedicated to publishing original laboratory methods, related technical and software tools, and methods-oriented review articles that are of broad interest to professional life scientists, as well as to scientists from other disciplines (e.g., chemistry, physics, computer science, plant and agricultural science and climate science) interested in life science applications for their technologies. Since 1983, BioTechniques has been a leading peer-reviewed journal for methods-related research. The journal considers: Reports describing innovative new methods, platforms and software, substantive modifications to existing methods, or innovative applications of existing methods, techniques & tools to new models or scientific questions Descriptions of technical tools that facilitate the design or performance of experiments or data analysis, such as software and simple laboratory devices Surveys of technical approaches related to broad fields of research Reviews discussing advancements in techniques and methods related to broad fields of research Letters to the Editor and Expert Opinions highlighting interesting observations or cautionary tales concerning experimental design, methodology or analysis.
×
引用
GB/T 7714-2015
复制
MLA
复制
APA
复制
导出至
BibTeX EndNote RefMan NoteFirst NoteExpress
×
提示
您的信息不完整,为了账户安全,请先补充。
现在去补充
×
提示
您因"违规操作"
具体请查看互助需知
我知道了
×
提示
确定
请完成安全验证×
copy
已复制链接
快去分享给好友吧!
我知道了
右上角分享
点击右上角分享
0
联系我们:info@booksci.cn Book学术提供免费学术资源搜索服务,方便国内外学者检索中英文文献。致力于提供最便捷和优质的服务体验。 Copyright © 2023 布克学术 All rights reserved.
京ICP备2023020795号-1
ghs 京公网安备 11010802042870号
Book学术文献互助
Book学术文献互助群
群 号:604180095
Book学术官方微信