颌面部转移瘤早期诊断对治疗和患者预后的影响--一项回顾性研究。

Q2 Dentistry
Annals of Maxillofacial Surgery Pub Date : 2024-01-01 Epub Date: 2024-07-19 DOI:10.4103/ams.ams_183_23
Shahar Turgeman, Ilit Turgeman, Omri Emodi, Amir Wolff, Adi Rachmiel
{"title":"颌面部转移瘤早期诊断对治疗和患者预后的影响--一项回顾性研究。","authors":"Shahar Turgeman, Ilit Turgeman, Omri Emodi, Amir Wolff, Adi Rachmiel","doi":"10.4103/ams.ams_183_23","DOIUrl":null,"url":null,"abstract":"<p><strong>Introduction: </strong>Maxillofacial metastases from distant primary sites account for less than 1% of cancer in the head-and-neck region and are often misdiagnosed as benign or inflammatory conditions. The purpose of this study was to describe the clinical characteristics of patients with maxillofacial metastases, treatment and outcomes.</p><p><strong>Materials and methods: </strong>Subjects with head-and-neck cancer were identified from the institutional database. Descriptive statistics were employed.</p><p><strong>Results: </strong>Of 532 patients with head-and-neck cancer between 2008 and 2020, 15 (2.8%) had histologically verified metastatic lesions, of which 53.33% males with a mean age of 69 years. The median time from symptom onset to diagnosis was 17 days (range: 7-60). The mandible was the most common location (40%), followed by the parotid gland (33.33%) and maxilla (13.33%). Adenocarcinoma was the most frequent histology (60%), and half of the patients had extraoral manifestations. Tumour origin was gastrointestinal, lung (33.33% each), prostate (20%) and breast (13.3%). No predilection for tumour type or histology and location were seen. Radiographic features were non-specific, with computed tomography (CT) demonstrating periosteal reaction, bone expansion and lytic lesions and high variability in Positron Emission Tomography (PET) standardised uptake value (minimum: 2.0, maximum: 10.93 and mean: 4.14). Diagnosis led to altered treatment in 60%, more in extraoral than intraoral manifestations (71% vs. 37.5%); 40% received radiotherapy, 20% systemic treatment and none underwent surgery. Over half of the patients passed away within 6 months, median survival was 5 months, shorter in patients with intraoral than extraoral disease (3 vs. 13.2 months, <i>P</i> < 0.05).</p><p><strong>Discussion: </strong>Maxillofacial metastases have elusive manifestations and often warrant specific treatment. Prospective data should evaluate associations between timely diagnosis and symptomatic improvement and survival.</p>","PeriodicalId":7972,"journal":{"name":"Annals of Maxillofacial Surgery","volume":"14 1","pages":"66-70"},"PeriodicalIF":0.0000,"publicationDate":"2024-01-01","publicationTypes":"Journal Article","fieldsOfStudy":null,"isOpenAccess":false,"openAccessPdf":"https://www.ncbi.nlm.nih.gov/pmc/articles/PMC11340852/pdf/","citationCount":"0","resultStr":"{\"title\":\"Impact of Early Diagnosis of Maxillofacial Metastases on Treatment and Patient Outcomes - A Retrospective Study.\",\"authors\":\"Shahar Turgeman, Ilit Turgeman, Omri Emodi, Amir Wolff, Adi Rachmiel\",\"doi\":\"10.4103/ams.ams_183_23\",\"DOIUrl\":null,\"url\":null,\"abstract\":\"<p><strong>Introduction: </strong>Maxillofacial metastases from distant primary sites account for less than 1% of cancer in the head-and-neck region and are often misdiagnosed as benign or inflammatory conditions. The purpose of this study was to describe the clinical characteristics of patients with maxillofacial metastases, treatment and outcomes.</p><p><strong>Materials and methods: </strong>Subjects with head-and-neck cancer were identified from the institutional database. Descriptive statistics were employed.</p><p><strong>Results: </strong>Of 532 patients with head-and-neck cancer between 2008 and 2020, 15 (2.8%) had histologically verified metastatic lesions, of which 53.33% males with a mean age of 69 years. The median time from symptom onset to diagnosis was 17 days (range: 7-60). The mandible was the most common location (40%), followed by the parotid gland (33.33%) and maxilla (13.33%). Adenocarcinoma was the most frequent histology (60%), and half of the patients had extraoral manifestations. Tumour origin was gastrointestinal, lung (33.33% each), prostate (20%) and breast (13.3%). No predilection for tumour type or histology and location were seen. Radiographic features were non-specific, with computed tomography (CT) demonstrating periosteal reaction, bone expansion and lytic lesions and high variability in Positron Emission Tomography (PET) standardised uptake value (minimum: 2.0, maximum: 10.93 and mean: 4.14). Diagnosis led to altered treatment in 60%, more in extraoral than intraoral manifestations (71% vs. 37.5%); 40% received radiotherapy, 20% systemic treatment and none underwent surgery. Over half of the patients passed away within 6 months, median survival was 5 months, shorter in patients with intraoral than extraoral disease (3 vs. 13.2 months, <i>P</i> < 0.05).</p><p><strong>Discussion: </strong>Maxillofacial metastases have elusive manifestations and often warrant specific treatment. Prospective data should evaluate associations between timely diagnosis and symptomatic improvement and survival.</p>\",\"PeriodicalId\":7972,\"journal\":{\"name\":\"Annals of Maxillofacial Surgery\",\"volume\":\"14 1\",\"pages\":\"66-70\"},\"PeriodicalIF\":0.0000,\"publicationDate\":\"2024-01-01\",\"publicationTypes\":\"Journal Article\",\"fieldsOfStudy\":null,\"isOpenAccess\":false,\"openAccessPdf\":\"https://www.ncbi.nlm.nih.gov/pmc/articles/PMC11340852/pdf/\",\"citationCount\":\"0\",\"resultStr\":null,\"platform\":\"Semanticscholar\",\"paperid\":null,\"PeriodicalName\":\"Annals of Maxillofacial Surgery\",\"FirstCategoryId\":\"1085\",\"ListUrlMain\":\"https://doi.org/10.4103/ams.ams_183_23\",\"RegionNum\":0,\"RegionCategory\":null,\"ArticlePicture\":[],\"TitleCN\":null,\"AbstractTextCN\":null,\"PMCID\":null,\"EPubDate\":\"2024/7/19 0:00:00\",\"PubModel\":\"Epub\",\"JCR\":\"Q2\",\"JCRName\":\"Dentistry\",\"Score\":null,\"Total\":0}","platform":"Semanticscholar","paperid":null,"PeriodicalName":"Annals of Maxillofacial Surgery","FirstCategoryId":"1085","ListUrlMain":"https://doi.org/10.4103/ams.ams_183_23","RegionNum":0,"RegionCategory":null,"ArticlePicture":[],"TitleCN":null,"AbstractTextCN":null,"PMCID":null,"EPubDate":"2024/7/19 0:00:00","PubModel":"Epub","JCR":"Q2","JCRName":"Dentistry","Score":null,"Total":0}
引用次数: 0

摘要

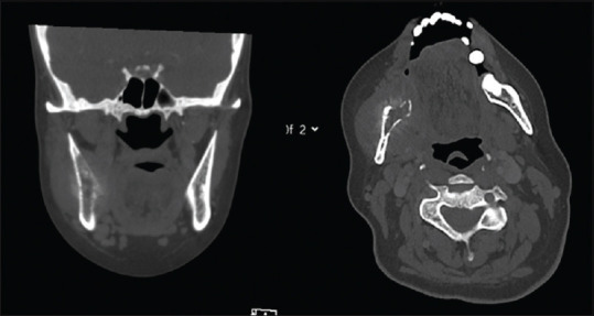
导言:来自远处原发部位的颌面部转移瘤占头颈部癌症的比例不到1%,而且经常被误诊为良性或炎症性疾病。本研究旨在描述颌面部转移瘤患者的临床特征、治疗方法和结果:材料和方法:从机构数据库中找出头颈部癌症患者。采用描述性统计方法:在2008年至2020年期间的532名头颈癌患者中,15人(2.8%)有组织学证实的转移病灶,其中男性占53.33%,平均年龄69岁。从症状出现到确诊的中位时间为17天(范围:7-60天)。最常见的病变部位是下颌骨(40%),其次是腮腺(33.33%)和上颌骨(13.33%)。腺癌是最常见的组织学类型(60%),半数患者有口外表现。肿瘤起源于胃肠道、肺(各占 33.33%)、前列腺(20%)和乳腺(13.3%)。肿瘤类型、组织学和位置均无偏好。放射学特征无特异性,计算机断层扫描(CT)显示骨膜反应、骨膨胀和溶解性病变,正电子发射断层扫描(PET)标准化摄取值差异较大(最小值:2.0,最大值:10.93,平均值:4.14)。60%的患者在确诊后改变了治疗方法,口外表现的患者多于口内表现的患者(71%对37.5%);40%的患者接受了放射治疗,20%的患者接受了全身治疗,没有患者接受手术治疗。半数以上患者在6个月内去世,中位生存期为5个月,口腔内患者的生存期短于口腔外患者(3个月对13.2个月,P<0.05):讨论:颌面部转移瘤的表现难以捉摸,通常需要特殊治疗。前瞻性数据应评估及时诊断与症状改善和存活率之间的关系。
本文章由计算机程序翻译,如有差异,请以英文原文为准。

Impact of Early Diagnosis of Maxillofacial Metastases on Treatment and Patient Outcomes - A Retrospective Study.

Impact of Early Diagnosis of Maxillofacial Metastases on Treatment and Patient Outcomes - A Retrospective Study.

Impact of Early Diagnosis of Maxillofacial Metastases on Treatment and Patient Outcomes - A Retrospective Study.

Impact of Early Diagnosis of Maxillofacial Metastases on Treatment and Patient Outcomes - A Retrospective Study.

Introduction: Maxillofacial metastases from distant primary sites account for less than 1% of cancer in the head-and-neck region and are often misdiagnosed as benign or inflammatory conditions. The purpose of this study was to describe the clinical characteristics of patients with maxillofacial metastases, treatment and outcomes.

Materials and methods: Subjects with head-and-neck cancer were identified from the institutional database. Descriptive statistics were employed.

Results: Of 532 patients with head-and-neck cancer between 2008 and 2020, 15 (2.8%) had histologically verified metastatic lesions, of which 53.33% males with a mean age of 69 years. The median time from symptom onset to diagnosis was 17 days (range: 7-60). The mandible was the most common location (40%), followed by the parotid gland (33.33%) and maxilla (13.33%). Adenocarcinoma was the most frequent histology (60%), and half of the patients had extraoral manifestations. Tumour origin was gastrointestinal, lung (33.33% each), prostate (20%) and breast (13.3%). No predilection for tumour type or histology and location were seen. Radiographic features were non-specific, with computed tomography (CT) demonstrating periosteal reaction, bone expansion and lytic lesions and high variability in Positron Emission Tomography (PET) standardised uptake value (minimum: 2.0, maximum: 10.93 and mean: 4.14). Diagnosis led to altered treatment in 60%, more in extraoral than intraoral manifestations (71% vs. 37.5%); 40% received radiotherapy, 20% systemic treatment and none underwent surgery. Over half of the patients passed away within 6 months, median survival was 5 months, shorter in patients with intraoral than extraoral disease (3 vs. 13.2 months, P < 0.05).

Discussion: Maxillofacial metastases have elusive manifestations and often warrant specific treatment. Prospective data should evaluate associations between timely diagnosis and symptomatic improvement and survival.

求助全文
通过发布文献求助,成功后即可免费获取论文全文。 去求助
来源期刊
CiteScore
1.20
自引率
0.00%
发文量
26
×
引用
GB/T 7714-2015
复制
MLA
复制
APA
复制
导出至
BibTeX EndNote RefMan NoteFirst NoteExpress
×
提示
您的信息不完整,为了账户安全,请先补充。
现在去补充
×
提示
您因"违规操作"
具体请查看互助需知
我知道了
×
提示
确定
请完成安全验证×
copy
已复制链接
快去分享给好友吧!
我知道了
右上角分享
点击右上角分享
0
联系我们:info@booksci.cn Book学术提供免费学术资源搜索服务,方便国内外学者检索中英文文献。致力于提供最便捷和优质的服务体验。 Copyright © 2023 布克学术 All rights reserved.
京ICP备2023020795号-1
ghs 京公网安备 11010802042870号
Book学术文献互助
Book学术文献互助群
群 号:604180095
Book学术官方微信