对称性特发性微囊性面部糜烂或 SIMPLE--描述了一种在无额部纤维性脱发的情况下发生面部绒毛性扁平苔癣的新实体。

Q2 Medicine
International Journal of Trichology Pub Date : 2023-09-01 Epub Date: 2024-07-11 DOI:10.4103/ijt.ijt_107_22
Vishal Madan
{"title":"对称性特发性微囊性面部糜烂或 SIMPLE--描述了一种在无额部纤维性脱发的情况下发生面部绒毛性扁平苔癣的新实体。","authors":"Vishal Madan","doi":"10.4103/ijt.ijt_107_22","DOIUrl":null,"url":null,"abstract":"<p><p>Patients with frontal fibrosing alopecia (FFA) can present with facial micropapules which histologically represent vellus hair lichen planopilaris (LPP). Noninflammatory vellus hair LPP in the absence of FFA is rarely reported. The report describes noninflammatory vellus hair LPP presenting as symmetrical facial micropapules in the absence of clinical signs of FFA.</p>","PeriodicalId":14417,"journal":{"name":"International Journal of Trichology","volume":"15 5","pages":"208-212"},"PeriodicalIF":0.0000,"publicationDate":"2023-09-01","publicationTypes":"Journal Article","fieldsOfStudy":null,"isOpenAccess":false,"openAccessPdf":"https://www.ncbi.nlm.nih.gov/pmc/articles/PMC11335046/pdf/","citationCount":"0","resultStr":"{\"title\":\"Symmetric Idiopathic MicroPapular Facial Eruption or SIMPLE - Description of a New Entity Featuring Facial Vellus Hair Lichen Planopilaris in the Absence of Frontal Fibrosing Alopecia.\",\"authors\":\"Vishal Madan\",\"doi\":\"10.4103/ijt.ijt_107_22\",\"DOIUrl\":null,\"url\":null,\"abstract\":\"<p><p>Patients with frontal fibrosing alopecia (FFA) can present with facial micropapules which histologically represent vellus hair lichen planopilaris (LPP). Noninflammatory vellus hair LPP in the absence of FFA is rarely reported. The report describes noninflammatory vellus hair LPP presenting as symmetrical facial micropapules in the absence of clinical signs of FFA.</p>\",\"PeriodicalId\":14417,\"journal\":{\"name\":\"International Journal of Trichology\",\"volume\":\"15 5\",\"pages\":\"208-212\"},\"PeriodicalIF\":0.0000,\"publicationDate\":\"2023-09-01\",\"publicationTypes\":\"Journal Article\",\"fieldsOfStudy\":null,\"isOpenAccess\":false,\"openAccessPdf\":\"https://www.ncbi.nlm.nih.gov/pmc/articles/PMC11335046/pdf/\",\"citationCount\":\"0\",\"resultStr\":null,\"platform\":\"Semanticscholar\",\"paperid\":null,\"PeriodicalName\":\"International Journal of Trichology\",\"FirstCategoryId\":\"1085\",\"ListUrlMain\":\"https://doi.org/10.4103/ijt.ijt_107_22\",\"RegionNum\":0,\"RegionCategory\":null,\"ArticlePicture\":[],\"TitleCN\":null,\"AbstractTextCN\":null,\"PMCID\":null,\"EPubDate\":\"2024/7/11 0:00:00\",\"PubModel\":\"Epub\",\"JCR\":\"Q2\",\"JCRName\":\"Medicine\",\"Score\":null,\"Total\":0}","platform":"Semanticscholar","paperid":null,"PeriodicalName":"International Journal of Trichology","FirstCategoryId":"1085","ListUrlMain":"https://doi.org/10.4103/ijt.ijt_107_22","RegionNum":0,"RegionCategory":null,"ArticlePicture":[],"TitleCN":null,"AbstractTextCN":null,"PMCID":null,"EPubDate":"2024/7/11 0:00:00","PubModel":"Epub","JCR":"Q2","JCRName":"Medicine","Score":null,"Total":0}
引用次数: 0

摘要

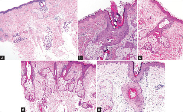
额部纤维性脱发(FFA)患者会出现面部小丘疹,组织学上表现为绒毛状毛发扁平苔藓(LPP)。没有 FFA 的非炎症性绒毛状扁平苔藓很少见报道。本报告描述的非炎症性绒毛状扁平苔藓表现为对称性面部小丘疹,但没有 FFA 的临床表现。
本文章由计算机程序翻译,如有差异,请以英文原文为准。

Symmetric Idiopathic MicroPapular Facial Eruption or SIMPLE - Description of a New Entity Featuring Facial Vellus Hair Lichen Planopilaris in the Absence of Frontal Fibrosing Alopecia.

Symmetric Idiopathic MicroPapular Facial Eruption or SIMPLE - Description of a New Entity Featuring Facial Vellus Hair Lichen Planopilaris in the Absence of Frontal Fibrosing Alopecia.

Symmetric Idiopathic MicroPapular Facial Eruption or SIMPLE - Description of a New Entity Featuring Facial Vellus Hair Lichen Planopilaris in the Absence of Frontal Fibrosing Alopecia.

Patients with frontal fibrosing alopecia (FFA) can present with facial micropapules which histologically represent vellus hair lichen planopilaris (LPP). Noninflammatory vellus hair LPP in the absence of FFA is rarely reported. The report describes noninflammatory vellus hair LPP presenting as symmetrical facial micropapules in the absence of clinical signs of FFA.

求助全文
通过发布文献求助,成功后即可免费获取论文全文。 去求助
来源期刊
CiteScore
1.50
自引率
0.00%
发文量
38
×
引用
GB/T 7714-2015
复制
MLA
复制
APA
复制
导出至
BibTeX EndNote RefMan NoteFirst NoteExpress
×
提示
您的信息不完整,为了账户安全,请先补充。
现在去补充
×
提示
您因"违规操作"
具体请查看互助需知
我知道了
×
提示
确定
请完成安全验证×
copy
已复制链接
快去分享给好友吧!
我知道了
右上角分享
点击右上角分享
0
联系我们:info@booksci.cn Book学术提供免费学术资源搜索服务,方便国内外学者检索中英文文献。致力于提供最便捷和优质的服务体验。 Copyright © 2023 布克学术 All rights reserved.
京ICP备2023020795号-1
ghs 京公网安备 11010802042870号
Book学术文献互助
Book学术文献互助群
群 号:604180095
Book学术官方微信