尿道结石是女性急性尿潴留诊断和处理的一个不常见原因:病例报告。

IF 0.6 Q3 MEDICINE, GENERAL & INTERNAL
Clinical Medicine Insights. Case Reports Pub Date : 2024-08-20 eCollection Date: 2024-01-01 DOI:10.1177/11795476241274690
Ghassane El Omri, Anas Taghouan, Hamza Rais, Houry Younes, Moussaab Rachid, Abdeljalil Heddat
{"title":"尿道结石是女性急性尿潴留诊断和处理的一个不常见原因:病例报告。","authors":"Ghassane El Omri, Anas Taghouan, Hamza Rais, Houry Younes, Moussaab Rachid, Abdeljalil Heddat","doi":"10.1177/11795476241274690","DOIUrl":null,"url":null,"abstract":"<p><strong>Background: </strong>Urethral calculi causing acute urinary retention is a highly uncommon condition in women, which poses distinctive difficulties in diagnosis and treatment. This report presents the case of a 52-year-old woman who experienced acute urinary retention caused by a urethral stone. It emphasizes the effective use of minimally invasive methods and underscores the importance of comprehensive multidisciplinary treatment.</p><p><strong>Case presentation: </strong>A 52-year-old woman patient arrived with acute urinary retention symptoms that lasted 6 hours. She complained of pain in the perineal and periurethral regions. She struggled with poorly managed type 2 diabetes, metabolic syndrome, and frequent cystitis. The examination showed the presence of a 2-cm stone in the urethra. The treatment utilised retrograde propulsion and laser fragmentation. Postoperative magnetic resonance imaging results were normal, and follow-up care involved managing diabetes and adopting lifestyle changes to prevent the recurrence of cystitis and stones for 6 months.</p><p><strong>Conclusion: </strong>Urethral calculi exceptionally cause acute urinary retention in women. To achieve successful outcomes and prevent recurrence, it is crucial to prioritize prompt, minimally invasive treatment, and comprehensive management.</p>","PeriodicalId":10357,"journal":{"name":"Clinical Medicine Insights. Case Reports","volume":"17 ","pages":"11795476241274690"},"PeriodicalIF":0.6000,"publicationDate":"2024-08-20","publicationTypes":"Journal Article","fieldsOfStudy":null,"isOpenAccess":false,"openAccessPdf":"https://www.ncbi.nlm.nih.gov/pmc/articles/PMC11337178/pdf/","citationCount":"0","resultStr":"{\"title\":\"Urethral Calculus as an Uncommon Cause of Acute Urinary Retention in Women Diagnosis and Management: A Case Report.\",\"authors\":\"Ghassane El Omri, Anas Taghouan, Hamza Rais, Houry Younes, Moussaab Rachid, Abdeljalil Heddat\",\"doi\":\"10.1177/11795476241274690\",\"DOIUrl\":null,\"url\":null,\"abstract\":\"<p><strong>Background: </strong>Urethral calculi causing acute urinary retention is a highly uncommon condition in women, which poses distinctive difficulties in diagnosis and treatment. This report presents the case of a 52-year-old woman who experienced acute urinary retention caused by a urethral stone. It emphasizes the effective use of minimally invasive methods and underscores the importance of comprehensive multidisciplinary treatment.</p><p><strong>Case presentation: </strong>A 52-year-old woman patient arrived with acute urinary retention symptoms that lasted 6 hours. She complained of pain in the perineal and periurethral regions. She struggled with poorly managed type 2 diabetes, metabolic syndrome, and frequent cystitis. The examination showed the presence of a 2-cm stone in the urethra. The treatment utilised retrograde propulsion and laser fragmentation. Postoperative magnetic resonance imaging results were normal, and follow-up care involved managing diabetes and adopting lifestyle changes to prevent the recurrence of cystitis and stones for 6 months.</p><p><strong>Conclusion: </strong>Urethral calculi exceptionally cause acute urinary retention in women. To achieve successful outcomes and prevent recurrence, it is crucial to prioritize prompt, minimally invasive treatment, and comprehensive management.</p>\",\"PeriodicalId\":10357,\"journal\":{\"name\":\"Clinical Medicine Insights. Case Reports\",\"volume\":\"17 \",\"pages\":\"11795476241274690\"},\"PeriodicalIF\":0.6000,\"publicationDate\":\"2024-08-20\",\"publicationTypes\":\"Journal Article\",\"fieldsOfStudy\":null,\"isOpenAccess\":false,\"openAccessPdf\":\"https://www.ncbi.nlm.nih.gov/pmc/articles/PMC11337178/pdf/\",\"citationCount\":\"0\",\"resultStr\":null,\"platform\":\"Semanticscholar\",\"paperid\":null,\"PeriodicalName\":\"Clinical Medicine Insights. Case Reports\",\"FirstCategoryId\":\"1085\",\"ListUrlMain\":\"https://doi.org/10.1177/11795476241274690\",\"RegionNum\":0,\"RegionCategory\":null,\"ArticlePicture\":[],\"TitleCN\":null,\"AbstractTextCN\":null,\"PMCID\":null,\"EPubDate\":\"2024/1/1 0:00:00\",\"PubModel\":\"eCollection\",\"JCR\":\"Q3\",\"JCRName\":\"MEDICINE, GENERAL & INTERNAL\",\"Score\":null,\"Total\":0}","platform":"Semanticscholar","paperid":null,"PeriodicalName":"Clinical Medicine Insights. Case Reports","FirstCategoryId":"1085","ListUrlMain":"https://doi.org/10.1177/11795476241274690","RegionNum":0,"RegionCategory":null,"ArticlePicture":[],"TitleCN":null,"AbstractTextCN":null,"PMCID":null,"EPubDate":"2024/1/1 0:00:00","PubModel":"eCollection","JCR":"Q3","JCRName":"MEDICINE, GENERAL & INTERNAL","Score":null,"Total":0}
引用次数: 0

摘要

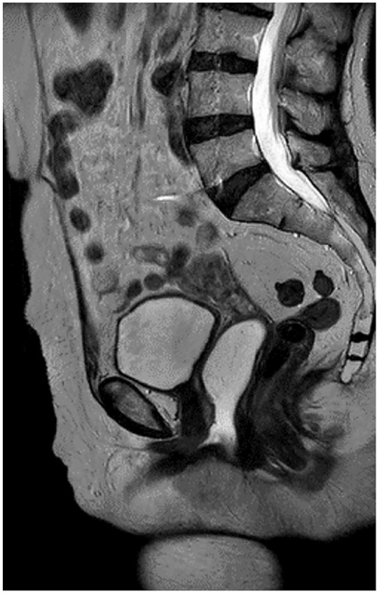
背景:尿道结石导致急性尿潴留在女性中非常罕见,给诊断和治疗带来了独特的困难。本报告介绍了一名 52 岁女性因尿道结石导致急性尿潴留的病例。它强调了微创方法的有效使用,并强调了多学科综合治疗的重要性:一名 52 岁的女性患者因急性尿潴留症状就诊,症状持续了 6 个小时。她诉说会阴部和尿道周围疼痛。她患有管理不善的 2 型糖尿病、代谢综合征和频繁的膀胱炎。检查显示,她的尿道内有一块 2 厘米长的结石。治疗采用了逆行推进和激光碎石。术后磁共振成像结果正常,后续护理包括控制糖尿病和改变生活方式,以防止膀胱炎和结石复发,为期6个月:结论:尿道结石可导致女性急性尿潴留。结论:尿道结石是女性急性尿潴留的常见病因,要取得成功的治疗效果并防止复发,必须优先考虑及时、微创治疗和综合管理。
本文章由计算机程序翻译,如有差异,请以英文原文为准。

Urethral Calculus as an Uncommon Cause of Acute Urinary Retention in Women Diagnosis and Management: A Case Report.

Urethral Calculus as an Uncommon Cause of Acute Urinary Retention in Women Diagnosis and Management: A Case Report.

Urethral Calculus as an Uncommon Cause of Acute Urinary Retention in Women Diagnosis and Management: A Case Report.

Urethral Calculus as an Uncommon Cause of Acute Urinary Retention in Women Diagnosis and Management: A Case Report.

Background: Urethral calculi causing acute urinary retention is a highly uncommon condition in women, which poses distinctive difficulties in diagnosis and treatment. This report presents the case of a 52-year-old woman who experienced acute urinary retention caused by a urethral stone. It emphasizes the effective use of minimally invasive methods and underscores the importance of comprehensive multidisciplinary treatment.

Case presentation: A 52-year-old woman patient arrived with acute urinary retention symptoms that lasted 6 hours. She complained of pain in the perineal and periurethral regions. She struggled with poorly managed type 2 diabetes, metabolic syndrome, and frequent cystitis. The examination showed the presence of a 2-cm stone in the urethra. The treatment utilised retrograde propulsion and laser fragmentation. Postoperative magnetic resonance imaging results were normal, and follow-up care involved managing diabetes and adopting lifestyle changes to prevent the recurrence of cystitis and stones for 6 months.

Conclusion: Urethral calculi exceptionally cause acute urinary retention in women. To achieve successful outcomes and prevent recurrence, it is crucial to prioritize prompt, minimally invasive treatment, and comprehensive management.

求助全文
通过发布文献求助,成功后即可免费获取论文全文。 去求助
来源期刊
Clinical Medicine Insights. Case Reports
Clinical Medicine Insights. Case Reports MEDICINE, GENERAL & INTERNAL-
CiteScore
1.10
自引率
0.00%
发文量
57
审稿时长
8 weeks
×
引用
GB/T 7714-2015
复制
MLA
复制
APA
复制
导出至
BibTeX EndNote RefMan NoteFirst NoteExpress
×
提示
您的信息不完整,为了账户安全,请先补充。
现在去补充
×
提示
您因"违规操作"
具体请查看互助需知
我知道了
×
提示
确定
请完成安全验证×
copy
已复制链接
快去分享给好友吧!
我知道了
右上角分享
点击右上角分享
0
联系我们:info@booksci.cn Book学术提供免费学术资源搜索服务,方便国内外学者检索中英文文献。致力于提供最便捷和优质的服务体验。 Copyright © 2023 布克学术 All rights reserved.
京ICP备2023020795号-1
ghs 京公网安备 11010802042870号
Book学术文献互助
Book学术文献互助群
群 号:604180095
Book学术官方微信