恶性犬乳腺肿瘤中的 TGFβ:与血管生成、免疫标记物和预后作用的关系。

IF 5.2 2区 农林科学 Q1 VETERINARY SCIENCES
Veterinary Quarterly Pub Date : 2024-12-01 Epub Date: 2024-08-20 DOI:10.1080/01652176.2024.2390941
Maria Isabel Carvalho, Ricardo Silva-Carvalho, Justina Prada, Carla Pinto, Hugo Gregório, Luis Lobo, Isabel Pires, Felisbina L Queiroga
{"title":"恶性犬乳腺肿瘤中的 TGFβ:与血管生成、免疫标记物和预后作用的关系。","authors":"Maria Isabel Carvalho, Ricardo Silva-Carvalho, Justina Prada, Carla Pinto, Hugo Gregório, Luis Lobo, Isabel Pires, Felisbina L Queiroga","doi":"10.1080/01652176.2024.2390941","DOIUrl":null,"url":null,"abstract":"<p><p>Transforming growth factor-β (TGFβ) and FoxP3 regulatory T cells (Treg) are involved in human breast carcinogenesis. This topic is not well documented in canine mammary tumors (CMT). In this work, the tumoral TGFβ expression was assessed by immunohistochemistry in 67 malignant CMT and its correlation to previously determined FoxP3, VEGF, and CD31 markers and other clinicopathologic parameters was evaluated. The high levels of TGFβ were statistically significantly associated with skin ulceration, tumor necrosis, high histological grade of malignancy (HGM), presence of neoplastic intravascular emboli and presence of lymph node metastases. The observed levels of TGFβ were positively correlated with intratumoral FoxP3 (strong correlation), VEGF (weak correlation) and CD31 (moderate correlation). Tumors that presented a concurrent high expression of TGFβ/FoxP3, TGFβ/VEGF, and TGFβ/CD31 markers were statistically significantly associated with parameters of tumor malignancy (high HGM, presence of vascular emboli and nodal metastasis). Additionally, shorter overall survival (OS) time was statistically significantly associated with tumors with an abundant TGFβ expression and with concurrent high expression of TGFβ/FoxP3, TGFβ/VEGF, and TGFβ/CD31. The presence of lymph node metastasis increased 11 times the risk of disease-related death, arising as an independent predictor of poor prognosis in the multivariable analysis. In conclusion, TGFβ and Treg cells seem involved in tumor progression emerging as potential therapeutic targets for future immunotherapy studies.</p>","PeriodicalId":51207,"journal":{"name":"Veterinary Quarterly","volume":"44 1","pages":"1-12"},"PeriodicalIF":5.2000,"publicationDate":"2024-12-01","publicationTypes":"Journal Article","fieldsOfStudy":null,"isOpenAccess":false,"openAccessPdf":"https://www.ncbi.nlm.nih.gov/pmc/articles/PMC11340227/pdf/","citationCount":"0","resultStr":"{\"title\":\"TGFβ in malignant canine mammary tumors: relation with angiogenesis, immunologic markers and prognostic role.\",\"authors\":\"Maria Isabel Carvalho, Ricardo Silva-Carvalho, Justina Prada, Carla Pinto, Hugo Gregório, Luis Lobo, Isabel Pires, Felisbina L Queiroga\",\"doi\":\"10.1080/01652176.2024.2390941\",\"DOIUrl\":null,\"url\":null,\"abstract\":\"<p><p>Transforming growth factor-β (TGFβ) and FoxP3 regulatory T cells (Treg) are involved in human breast carcinogenesis. This topic is not well documented in canine mammary tumors (CMT). In this work, the tumoral TGFβ expression was assessed by immunohistochemistry in 67 malignant CMT and its correlation to previously determined FoxP3, VEGF, and CD31 markers and other clinicopathologic parameters was evaluated. The high levels of TGFβ were statistically significantly associated with skin ulceration, tumor necrosis, high histological grade of malignancy (HGM), presence of neoplastic intravascular emboli and presence of lymph node metastases. The observed levels of TGFβ were positively correlated with intratumoral FoxP3 (strong correlation), VEGF (weak correlation) and CD31 (moderate correlation). Tumors that presented a concurrent high expression of TGFβ/FoxP3, TGFβ/VEGF, and TGFβ/CD31 markers were statistically significantly associated with parameters of tumor malignancy (high HGM, presence of vascular emboli and nodal metastasis). Additionally, shorter overall survival (OS) time was statistically significantly associated with tumors with an abundant TGFβ expression and with concurrent high expression of TGFβ/FoxP3, TGFβ/VEGF, and TGFβ/CD31. The presence of lymph node metastasis increased 11 times the risk of disease-related death, arising as an independent predictor of poor prognosis in the multivariable analysis. In conclusion, TGFβ and Treg cells seem involved in tumor progression emerging as potential therapeutic targets for future immunotherapy studies.</p>\",\"PeriodicalId\":51207,\"journal\":{\"name\":\"Veterinary Quarterly\",\"volume\":\"44 1\",\"pages\":\"1-12\"},\"PeriodicalIF\":5.2000,\"publicationDate\":\"2024-12-01\",\"publicationTypes\":\"Journal Article\",\"fieldsOfStudy\":null,\"isOpenAccess\":false,\"openAccessPdf\":\"https://www.ncbi.nlm.nih.gov/pmc/articles/PMC11340227/pdf/\",\"citationCount\":\"0\",\"resultStr\":null,\"platform\":\"Semanticscholar\",\"paperid\":null,\"PeriodicalName\":\"Veterinary Quarterly\",\"FirstCategoryId\":\"97\",\"ListUrlMain\":\"https://doi.org/10.1080/01652176.2024.2390941\",\"RegionNum\":2,\"RegionCategory\":\"农林科学\",\"ArticlePicture\":[],\"TitleCN\":null,\"AbstractTextCN\":null,\"PMCID\":null,\"EPubDate\":\"2024/8/20 0:00:00\",\"PubModel\":\"Epub\",\"JCR\":\"Q1\",\"JCRName\":\"VETERINARY SCIENCES\",\"Score\":null,\"Total\":0}","platform":"Semanticscholar","paperid":null,"PeriodicalName":"Veterinary Quarterly","FirstCategoryId":"97","ListUrlMain":"https://doi.org/10.1080/01652176.2024.2390941","RegionNum":2,"RegionCategory":"农林科学","ArticlePicture":[],"TitleCN":null,"AbstractTextCN":null,"PMCID":null,"EPubDate":"2024/8/20 0:00:00","PubModel":"Epub","JCR":"Q1","JCRName":"VETERINARY SCIENCES","Score":null,"Total":0}
引用次数: 0

摘要

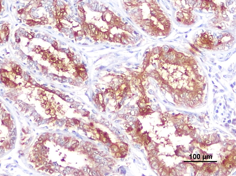
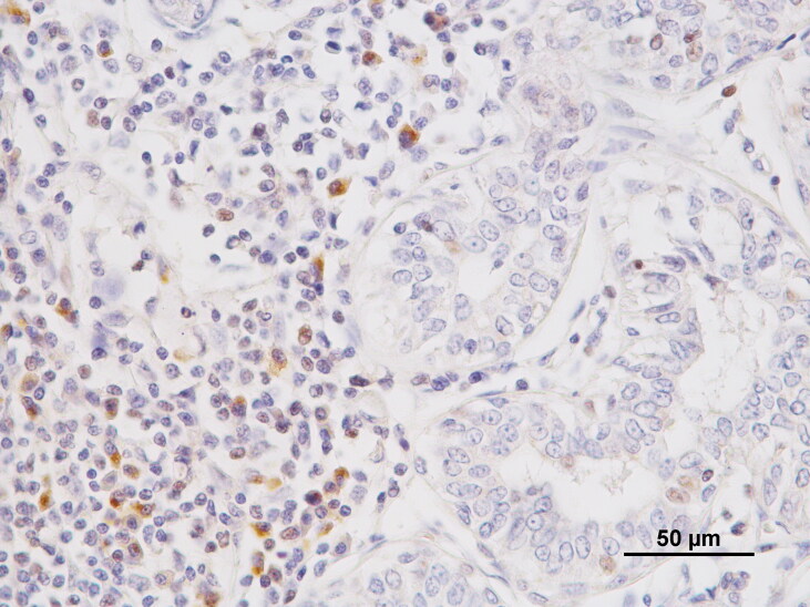
转化生长因子-β(TGFβ)和 FoxP3 调节性 T 细胞(Treg)参与了人类乳腺癌的发生。犬乳腺肿瘤(CMT)中的这一主题还没有很好的记录。在这项研究中,通过免疫组织化学方法评估了 67 例恶性 CMT 中肿瘤 TGFβ 的表达,并评估了其与之前确定的 FoxP3、VEGF 和 CD31 标记及其他临床病理参数的相关性。据统计,高水平的 TGFβ 与皮肤溃疡、肿瘤坏死、恶性肿瘤组织学分级高(HGM)、出现肿瘤性血管内栓子和淋巴结转移有明显相关性。观察到的 TGFβ 水平与瘤内 FoxP3(强相关)、VEGF(弱相关)和 CD31(中等相关)呈正相关。同时高表达 TGFβ/FoxP3、TGFβ/VEGF 和 TGFβ/CD31 标记的肿瘤与肿瘤恶性程度参数(高 HGM、存在血管栓塞和结节转移)有显著统计学相关性。此外,据统计,TGFβ大量表达的肿瘤以及同时高表达TGFβ/FoxP3、TGFβ/VEGF和TGFβ/CD31的肿瘤的总生存(OS)时间更短。淋巴结转移使疾病相关死亡风险增加了11倍,在多变量分析中成为不良预后的独立预测因素。总之,TGFβ和Treg细胞似乎参与了肿瘤的进展,成为未来免疫疗法研究的潜在治疗靶点。
本文章由计算机程序翻译,如有差异,请以英文原文为准。

TGFβ in malignant canine mammary tumors: relation with angiogenesis, immunologic markers and prognostic role.

TGFβ in malignant canine mammary tumors: relation with angiogenesis, immunologic markers and prognostic role.

TGFβ in malignant canine mammary tumors: relation with angiogenesis, immunologic markers and prognostic role.

TGFβ in malignant canine mammary tumors: relation with angiogenesis, immunologic markers and prognostic role.

Transforming growth factor-β (TGFβ) and FoxP3 regulatory T cells (Treg) are involved in human breast carcinogenesis. This topic is not well documented in canine mammary tumors (CMT). In this work, the tumoral TGFβ expression was assessed by immunohistochemistry in 67 malignant CMT and its correlation to previously determined FoxP3, VEGF, and CD31 markers and other clinicopathologic parameters was evaluated. The high levels of TGFβ were statistically significantly associated with skin ulceration, tumor necrosis, high histological grade of malignancy (HGM), presence of neoplastic intravascular emboli and presence of lymph node metastases. The observed levels of TGFβ were positively correlated with intratumoral FoxP3 (strong correlation), VEGF (weak correlation) and CD31 (moderate correlation). Tumors that presented a concurrent high expression of TGFβ/FoxP3, TGFβ/VEGF, and TGFβ/CD31 markers were statistically significantly associated with parameters of tumor malignancy (high HGM, presence of vascular emboli and nodal metastasis). Additionally, shorter overall survival (OS) time was statistically significantly associated with tumors with an abundant TGFβ expression and with concurrent high expression of TGFβ/FoxP3, TGFβ/VEGF, and TGFβ/CD31. The presence of lymph node metastasis increased 11 times the risk of disease-related death, arising as an independent predictor of poor prognosis in the multivariable analysis. In conclusion, TGFβ and Treg cells seem involved in tumor progression emerging as potential therapeutic targets for future immunotherapy studies.

求助全文
通过发布文献求助,成功后即可免费获取论文全文。 去求助
来源期刊
Veterinary Quarterly
Veterinary Quarterly VETERINARY SCIENCES-
CiteScore
13.10
自引率
1.60%
发文量
18
审稿时长
>24 weeks
期刊介绍: Veterinary Quarterly is an international open access journal which publishes high quality review articles and original research in the field of veterinary science and animal diseases. The journal publishes research on a range of different animal species and topics including: - Economically important species such as domesticated and non-domesticated farm animals, including avian and poultry diseases; - Companion animals (dogs, cats, horses, pocket pets and exotics); - Wildlife species; - Infectious diseases; - Diagnosis; - Treatment including pharmacology and vaccination
×
引用
GB/T 7714-2015
复制
MLA
复制
APA
复制
导出至
BibTeX EndNote RefMan NoteFirst NoteExpress
×
提示
您的信息不完整,为了账户安全,请先补充。
现在去补充
×
提示
您因"违规操作"
具体请查看互助需知
我知道了
×
提示
确定
请完成安全验证×
copy
已复制链接
快去分享给好友吧!
我知道了
右上角分享
点击右上角分享
0
联系我们:info@booksci.cn Book学术提供免费学术资源搜索服务,方便国内外学者检索中英文文献。致力于提供最便捷和优质的服务体验。 Copyright © 2023 布克学术 All rights reserved.
京ICP备2023020795号-1
ghs 京公网安备 11010802042870号
Book学术文献互助
Book学术文献互助群
群 号:604180095
Book学术官方微信