由口腔-面部-数字综合征基因 OFD1 功能缺失变异引起的两例小儿原发性睫状肌运动障碍。

Case Reports in Genetics Pub Date : 2024-08-09 eCollection Date: 2024-01-01 DOI:10.1155/2024/1595717
Yifei Xu, Yuki Tsurinaga, Tsubasa Matsumoto, Ryuji Muta, Taichi Yano, Hiroshi Sakaida, Sawako Masuda, Koki Ueda, Guofei Feng, Shimpei Gotoh, Satoru Ogawa, Makoto Ikejiri, Kaname Nakatani, Mizuho Nagao, Masaki Tanabe, Kazuhiko Takeuchi
{"title":"由口腔-面部-数字综合征基因 OFD1 功能缺失变异引起的两例小儿原发性睫状肌运动障碍。","authors":"Yifei Xu, Yuki Tsurinaga, Tsubasa Matsumoto, Ryuji Muta, Taichi Yano, Hiroshi Sakaida, Sawako Masuda, Koki Ueda, Guofei Feng, Shimpei Gotoh, Satoru Ogawa, Makoto Ikejiri, Kaname Nakatani, Mizuho Nagao, Masaki Tanabe, Kazuhiko Takeuchi","doi":"10.1155/2024/1595717","DOIUrl":null,"url":null,"abstract":"<p><p>Primary ciliary dyskinesia (PCD) is a hereditary disease caused by genes related to motile cilia. We report two male pediatric cases of PCD caused by hemizygous pathogenic variants in the OFD1 centriole and centriolar satellite protein (<i>OFD1</i>) gene. The variants were NM_003611.3: c.[2789_2793delTAAAA] (p.[Ile930LysfsTer8]) in Case 1 and c.[2632_2635delGAAG] (p.[Glu878LysfsTer9]) in Case 2. Both cases had characteristic recurrent respiratory infections. Neither case had symptoms of oral-facial-digital syndrome type I. We identified a variant (c.2632_2635delGAAG) that has not been previously reported in any case of <i>OFD1</i>-PCD.</p>","PeriodicalId":30325,"journal":{"name":"Case Reports in Genetics","volume":"2024 ","pages":"1595717"},"PeriodicalIF":0.0000,"publicationDate":"2024-08-09","publicationTypes":"Journal Article","fieldsOfStudy":null,"isOpenAccess":false,"openAccessPdf":"https://www.ncbi.nlm.nih.gov/pmc/articles/PMC11329306/pdf/","citationCount":"0","resultStr":"{\"title\":\"Two Pediatric Cases of Primary Ciliary Dyskinesia Caused by Loss-of-Function Variants in Oral-Facial-Digital Syndrome Gene, <i>OFD1</i>.\",\"authors\":\"Yifei Xu, Yuki Tsurinaga, Tsubasa Matsumoto, Ryuji Muta, Taichi Yano, Hiroshi Sakaida, Sawako Masuda, Koki Ueda, Guofei Feng, Shimpei Gotoh, Satoru Ogawa, Makoto Ikejiri, Kaname Nakatani, Mizuho Nagao, Masaki Tanabe, Kazuhiko Takeuchi\",\"doi\":\"10.1155/2024/1595717\",\"DOIUrl\":null,\"url\":null,\"abstract\":\"<p><p>Primary ciliary dyskinesia (PCD) is a hereditary disease caused by genes related to motile cilia. We report two male pediatric cases of PCD caused by hemizygous pathogenic variants in the OFD1 centriole and centriolar satellite protein (<i>OFD1</i>) gene. The variants were NM_003611.3: c.[2789_2793delTAAAA] (p.[Ile930LysfsTer8]) in Case 1 and c.[2632_2635delGAAG] (p.[Glu878LysfsTer9]) in Case 2. Both cases had characteristic recurrent respiratory infections. Neither case had symptoms of oral-facial-digital syndrome type I. We identified a variant (c.2632_2635delGAAG) that has not been previously reported in any case of <i>OFD1</i>-PCD.</p>\",\"PeriodicalId\":30325,\"journal\":{\"name\":\"Case Reports in Genetics\",\"volume\":\"2024 \",\"pages\":\"1595717\"},\"PeriodicalIF\":0.0000,\"publicationDate\":\"2024-08-09\",\"publicationTypes\":\"Journal Article\",\"fieldsOfStudy\":null,\"isOpenAccess\":false,\"openAccessPdf\":\"https://www.ncbi.nlm.nih.gov/pmc/articles/PMC11329306/pdf/\",\"citationCount\":\"0\",\"resultStr\":null,\"platform\":\"Semanticscholar\",\"paperid\":null,\"PeriodicalName\":\"Case Reports in Genetics\",\"FirstCategoryId\":\"1085\",\"ListUrlMain\":\"https://doi.org/10.1155/2024/1595717\",\"RegionNum\":0,\"RegionCategory\":null,\"ArticlePicture\":[],\"TitleCN\":null,\"AbstractTextCN\":null,\"PMCID\":null,\"EPubDate\":\"2024/1/1 0:00:00\",\"PubModel\":\"eCollection\",\"JCR\":\"\",\"JCRName\":\"\",\"Score\":null,\"Total\":0}","platform":"Semanticscholar","paperid":null,"PeriodicalName":"Case Reports in Genetics","FirstCategoryId":"1085","ListUrlMain":"https://doi.org/10.1155/2024/1595717","RegionNum":0,"RegionCategory":null,"ArticlePicture":[],"TitleCN":null,"AbstractTextCN":null,"PMCID":null,"EPubDate":"2024/1/1 0:00:00","PubModel":"eCollection","JCR":"","JCRName":"","Score":null,"Total":0}
引用次数: 0

摘要

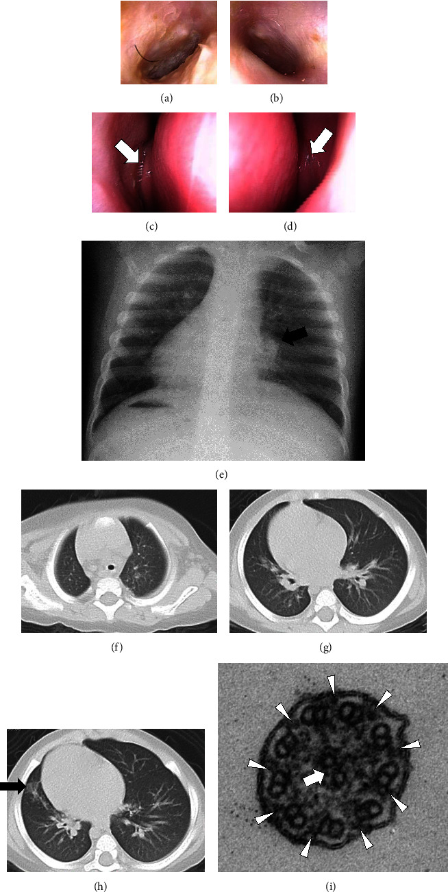
原发性纤毛运动障碍(PCD)是一种由纤毛运动相关基因引起的遗传性疾病。我们报告了两例由 OFD1 中心粒和中心极卫星蛋白(OFD1)基因半杂合子致病变体引起的 PCD 男性儿科病例。变异基因为 NM_003611.3:病例 1 中的 c.[2789_2793delTAAAA] (p.[Ile930LysfsTer8]) 和病例 2 中的 c.[2632_2635delGAAG] (p.[Glu878LysfsTer9]) 。两个病例都有反复呼吸道感染的特征。我们发现了一个变异体(c.2632_2635delGAAG),以前从未在任何 OFD1-PCD 病例中报道过。
本文章由计算机程序翻译,如有差异,请以英文原文为准。

Two Pediatric Cases of Primary Ciliary Dyskinesia Caused by Loss-of-Function Variants in Oral-Facial-Digital Syndrome Gene, <i>OFD1</i>.

Two Pediatric Cases of Primary Ciliary Dyskinesia Caused by Loss-of-Function Variants in Oral-Facial-Digital Syndrome Gene, <i>OFD1</i>.

Two Pediatric Cases of Primary Ciliary Dyskinesia Caused by Loss-of-Function Variants in Oral-Facial-Digital Syndrome Gene, <i>OFD1</i>.

Two Pediatric Cases of Primary Ciliary Dyskinesia Caused by Loss-of-Function Variants in Oral-Facial-Digital Syndrome Gene, OFD1.

Primary ciliary dyskinesia (PCD) is a hereditary disease caused by genes related to motile cilia. We report two male pediatric cases of PCD caused by hemizygous pathogenic variants in the OFD1 centriole and centriolar satellite protein (OFD1) gene. The variants were NM_003611.3: c.[2789_2793delTAAAA] (p.[Ile930LysfsTer8]) in Case 1 and c.[2632_2635delGAAG] (p.[Glu878LysfsTer9]) in Case 2. Both cases had characteristic recurrent respiratory infections. Neither case had symptoms of oral-facial-digital syndrome type I. We identified a variant (c.2632_2635delGAAG) that has not been previously reported in any case of OFD1-PCD.

求助全文
通过发布文献求助,成功后即可免费获取论文全文。 去求助
来源期刊
自引率
0.00%
发文量
21
×
引用
GB/T 7714-2015
复制
MLA
复制
APA
复制
导出至
BibTeX EndNote RefMan NoteFirst NoteExpress
×
提示
您的信息不完整,为了账户安全,请先补充。
现在去补充
×
提示
您因"违规操作"
具体请查看互助需知
我知道了
×
提示
确定
请完成安全验证×
copy
已复制链接
快去分享给好友吧!
我知道了
右上角分享
点击右上角分享
0
联系我们:info@booksci.cn Book学术提供免费学术资源搜索服务,方便国内外学者检索中英文文献。致力于提供最便捷和优质的服务体验。 Copyright © 2023 布克学术 All rights reserved.
京ICP备2023020795号-1
ghs 京公网安备 11010802042870号
Book学术文献互助
Book学术文献互助群
群 号:604180095
Book学术官方微信