交联透明质酸浸润治疗脚后跟外翻术后短期和中期疗效良好:病例报告。

IF 1.9 Q2 ORTHOPEDICS
Annabel Capell Morera, Elena De Planell-Mas, Laura Pérez Palma, Maria Cristina Manzanares Céspedes
{"title":"交联透明质酸浸润治疗脚后跟外翻术后短期和中期疗效良好:病例报告。","authors":"Annabel Capell Morera, Elena De Planell-Mas, Laura Pérez Palma, Maria Cristina Manzanares Céspedes","doi":"10.1177/11795441241270120","DOIUrl":null,"url":null,"abstract":"<p><p>We report a first case of hallux rigidus successfully treated in an elderly patient by intra-articular infiltration of cross-linked hyaluronic acid (HA) 21 mg/mL with mannitol (Desirial Plus) and review the previous literature on the different compositions of HA infiltrative treatment applied to hallux rigidus. A 77-year-old female patient with moderate unilateral pain of 6 months of evolution and stiffness of the movement of the first metatarsophalangeal joint of the left foot, corresponding to grade 2 of the classification proposed by Coughlin and Shurnas. The objective of the study was to perform a pilot test to (a) evaluate the correct technique of intra-articular infiltration as well as (b) the use of a commercial cross-linked HA 21 mg/mL with mannitol, to a voluntary patient diagnosed with hallux rigidus. A single cross-linked HA infiltration is applied to the first metatarsophalangeal joint with an administered amount of 1 mL. The loaded dorsiflexion, the unloaded dorsiflexion, and the unloaded plantarflexion angles of the first metatarsophalangeal joint improved from 15°, 20°, and 10°, respectively, before injection to 45°, 52°, and 22°, respectively, at 14 days after injection. Moreover, these improvements maintained until the final follow-up (400 days). The intensity of pain, according to the visual analog scale, improved from 7 of 10 before the injection, passing through 4 of 10 at 14 days after the injection, to 1 of 10 at 60 days after the injection. Cross-linked HA 21 mg/mL with mannitol improves symptomatology, joint mobility of the first metatarsophalangeal joint, and quality of life in the patient with stiff hallux submitted to the pilot test. These effects have been maintained for more than 14 months.</p>","PeriodicalId":10443,"journal":{"name":"Clinical Medicine Insights. Arthritis and Musculoskeletal Disorders","volume":"17 ","pages":"11795441241270120"},"PeriodicalIF":1.9000,"publicationDate":"2024-08-14","publicationTypes":"Journal Article","fieldsOfStudy":null,"isOpenAccess":false,"openAccessPdf":"https://www.ncbi.nlm.nih.gov/pmc/articles/PMC11325319/pdf/","citationCount":"0","resultStr":"{\"title\":\"Good Short- and Mid-term Outcome After Cross-Linked Hyaluronic Acid Infiltration for Hallux Rigidus: A Case Report.\",\"authors\":\"Annabel Capell Morera, Elena De Planell-Mas, Laura Pérez Palma, Maria Cristina Manzanares Céspedes\",\"doi\":\"10.1177/11795441241270120\",\"DOIUrl\":null,\"url\":null,\"abstract\":\"<p><p>We report a first case of hallux rigidus successfully treated in an elderly patient by intra-articular infiltration of cross-linked hyaluronic acid (HA) 21 mg/mL with mannitol (Desirial Plus) and review the previous literature on the different compositions of HA infiltrative treatment applied to hallux rigidus. A 77-year-old female patient with moderate unilateral pain of 6 months of evolution and stiffness of the movement of the first metatarsophalangeal joint of the left foot, corresponding to grade 2 of the classification proposed by Coughlin and Shurnas. The objective of the study was to perform a pilot test to (a) evaluate the correct technique of intra-articular infiltration as well as (b) the use of a commercial cross-linked HA 21 mg/mL with mannitol, to a voluntary patient diagnosed with hallux rigidus. A single cross-linked HA infiltration is applied to the first metatarsophalangeal joint with an administered amount of 1 mL. The loaded dorsiflexion, the unloaded dorsiflexion, and the unloaded plantarflexion angles of the first metatarsophalangeal joint improved from 15°, 20°, and 10°, respectively, before injection to 45°, 52°, and 22°, respectively, at 14 days after injection. Moreover, these improvements maintained until the final follow-up (400 days). The intensity of pain, according to the visual analog scale, improved from 7 of 10 before the injection, passing through 4 of 10 at 14 days after the injection, to 1 of 10 at 60 days after the injection. Cross-linked HA 21 mg/mL with mannitol improves symptomatology, joint mobility of the first metatarsophalangeal joint, and quality of life in the patient with stiff hallux submitted to the pilot test. These effects have been maintained for more than 14 months.</p>\",\"PeriodicalId\":10443,\"journal\":{\"name\":\"Clinical Medicine Insights. Arthritis and Musculoskeletal Disorders\",\"volume\":\"17 \",\"pages\":\"11795441241270120\"},\"PeriodicalIF\":1.9000,\"publicationDate\":\"2024-08-14\",\"publicationTypes\":\"Journal Article\",\"fieldsOfStudy\":null,\"isOpenAccess\":false,\"openAccessPdf\":\"https://www.ncbi.nlm.nih.gov/pmc/articles/PMC11325319/pdf/\",\"citationCount\":\"0\",\"resultStr\":null,\"platform\":\"Semanticscholar\",\"paperid\":null,\"PeriodicalName\":\"Clinical Medicine Insights. Arthritis and Musculoskeletal Disorders\",\"FirstCategoryId\":\"1085\",\"ListUrlMain\":\"https://doi.org/10.1177/11795441241270120\",\"RegionNum\":0,\"RegionCategory\":null,\"ArticlePicture\":[],\"TitleCN\":null,\"AbstractTextCN\":null,\"PMCID\":null,\"EPubDate\":\"2024/1/1 0:00:00\",\"PubModel\":\"eCollection\",\"JCR\":\"Q2\",\"JCRName\":\"ORTHOPEDICS\",\"Score\":null,\"Total\":0}","platform":"Semanticscholar","paperid":null,"PeriodicalName":"Clinical Medicine Insights. Arthritis and Musculoskeletal Disorders","FirstCategoryId":"1085","ListUrlMain":"https://doi.org/10.1177/11795441241270120","RegionNum":0,"RegionCategory":null,"ArticlePicture":[],"TitleCN":null,"AbstractTextCN":null,"PMCID":null,"EPubDate":"2024/1/1 0:00:00","PubModel":"eCollection","JCR":"Q2","JCRName":"ORTHOPEDICS","Score":null,"Total":0}
引用次数: 0

摘要

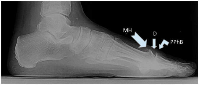
我们报告了第一例通过交联透明质酸(HA)21 毫克/毫升与甘露醇(Desirial Plus)的关节内浸润成功治疗一名老年硬下疳患者的病例,并回顾了以往应用于硬下疳HA浸润治疗的不同成分的文献。一名 77 岁的女性患者,左足第一跖趾关节中度单侧疼痛,已持续 6 个月,活动僵硬,属于 Coughlin 和 Shurnas 提出的分类中的 2 级。该研究的目的是进行一项试点测试,以(a)评估关节内浸润的正确技术,以及(b)对一名被诊断为拇指外翻僵直症的自愿患者使用含甘露醇的 21 毫克/毫升商业交联 HA。对第一跖趾关节进行单次交联医管局浸润,用量为 1 毫升。第一跖趾关节的负重背屈角、非负重背屈角和非负重跖屈角分别从注射前的15°、20°和10°改善到注射后14天的45°、52°和22°。此外,这些改善一直持续到最后的随访(400 天)。根据视觉模拟量表,疼痛强度从注射前的 10 分中的 7 分,到注射后 14 天的 10 分中的 4 分,再到注射后 60 天的 10 分中的 1 分,均有所改善。含有甘露醇的 21 毫克/毫升交联 HA 可改善接受试点测试的僵硬拇指患者的症状、第一跖趾关节的关节活动度和生活质量。这些效果已维持了 14 个多月。
本文章由计算机程序翻译,如有差异,请以英文原文为准。

Good Short- and Mid-term Outcome After Cross-Linked Hyaluronic Acid Infiltration for Hallux Rigidus: A Case Report.

Good Short- and Mid-term Outcome After Cross-Linked Hyaluronic Acid Infiltration for Hallux Rigidus: A Case Report.

Good Short- and Mid-term Outcome After Cross-Linked Hyaluronic Acid Infiltration for Hallux Rigidus: A Case Report.

Good Short- and Mid-term Outcome After Cross-Linked Hyaluronic Acid Infiltration for Hallux Rigidus: A Case Report.

We report a first case of hallux rigidus successfully treated in an elderly patient by intra-articular infiltration of cross-linked hyaluronic acid (HA) 21 mg/mL with mannitol (Desirial Plus) and review the previous literature on the different compositions of HA infiltrative treatment applied to hallux rigidus. A 77-year-old female patient with moderate unilateral pain of 6 months of evolution and stiffness of the movement of the first metatarsophalangeal joint of the left foot, corresponding to grade 2 of the classification proposed by Coughlin and Shurnas. The objective of the study was to perform a pilot test to (a) evaluate the correct technique of intra-articular infiltration as well as (b) the use of a commercial cross-linked HA 21 mg/mL with mannitol, to a voluntary patient diagnosed with hallux rigidus. A single cross-linked HA infiltration is applied to the first metatarsophalangeal joint with an administered amount of 1 mL. The loaded dorsiflexion, the unloaded dorsiflexion, and the unloaded plantarflexion angles of the first metatarsophalangeal joint improved from 15°, 20°, and 10°, respectively, before injection to 45°, 52°, and 22°, respectively, at 14 days after injection. Moreover, these improvements maintained until the final follow-up (400 days). The intensity of pain, according to the visual analog scale, improved from 7 of 10 before the injection, passing through 4 of 10 at 14 days after the injection, to 1 of 10 at 60 days after the injection. Cross-linked HA 21 mg/mL with mannitol improves symptomatology, joint mobility of the first metatarsophalangeal joint, and quality of life in the patient with stiff hallux submitted to the pilot test. These effects have been maintained for more than 14 months.

求助全文
通过发布文献求助,成功后即可免费获取论文全文。 去求助
来源期刊
CiteScore
4.40
自引率
0.00%
发文量
14
审稿时长
8 weeks
×
引用
GB/T 7714-2015
复制
MLA
复制
APA
复制
导出至
BibTeX EndNote RefMan NoteFirst NoteExpress
×
提示
您的信息不完整,为了账户安全,请先补充。
现在去补充
×
提示
您因"违规操作"
具体请查看互助需知
我知道了
×
提示
确定
请完成安全验证×
copy
已复制链接
快去分享给好友吧!
我知道了
右上角分享
点击右上角分享
0
联系我们:info@booksci.cn Book学术提供免费学术资源搜索服务,方便国内外学者检索中英文文献。致力于提供最便捷和优质的服务体验。 Copyright © 2023 布克学术 All rights reserved.
京ICP备2023020795号-1
ghs 京公网安备 11010802042870号
Book学术文献互助
Book学术文献互助群
群 号:604180095
Book学术官方微信