一名年轻产后妇女继发于肝包虫囊肿破裂的腹膜炎:罕见病例报告

IF 0.6 Q3 MEDICINE, GENERAL & INTERNAL
Clinical Medicine Insights. Case Reports Pub Date : 2024-08-14 eCollection Date: 2024-01-01 DOI:10.1177/11795476241271561
Messaoud Ola, Horache Kenza, Jidal Manal, Cherraqi Amine, El Aoufir Omar, Laamrani Fatima Zahra, Jroundi Laila
{"title":"一名年轻产后妇女继发于肝包虫囊肿破裂的腹膜炎:罕见病例报告","authors":"Messaoud Ola, Horache Kenza, Jidal Manal, Cherraqi Amine, El Aoufir Omar, Laamrani Fatima Zahra, Jroundi Laila","doi":"10.1177/11795476241271561","DOIUrl":null,"url":null,"abstract":"<p><p>Hydatid disease, caused primarily by Echinococcus granulosus, is prevalent in regions where livestock farming is common. Although typically considered benign, ruptured hydatid cysts into the abdominal cavity present a rare but severe complication requiring urgent surgical intervention. We hydatid liver cyst, emphasizing the unprecedented nature of this occurrence, as it has never been reported in the literature before. The case underscores the role of computed tomography (CT) imaging in diagnosis and multidisciplinary management involving emergency physicians, radiologists, anesthetists, and surgeons. Key points highlighted include the rarity of postpartum hydatid cyst rupture, the diagnostic utility of CT scans, and the necessity of immediate surgical intervention. Surgical strategies include conservative techniques and intraoperative lavage with hypertonic saline solution to prevent recurrence. Postoperative albendazole therapy and regular follow-up aid in preventing recurrence and early detection of complications. This case underscores the importance of suspecting ruptured hydatid cysts in postpartum women with underlying hepatic hydatid cyst and features of peritonitis, necessitating prompt recognition and management of complications in hydatid disease.</p>","PeriodicalId":10357,"journal":{"name":"Clinical Medicine Insights. Case Reports","volume":"17 ","pages":"11795476241271561"},"PeriodicalIF":0.6000,"publicationDate":"2024-08-14","publicationTypes":"Journal Article","fieldsOfStudy":null,"isOpenAccess":false,"openAccessPdf":"https://www.ncbi.nlm.nih.gov/pmc/articles/PMC11325300/pdf/","citationCount":"0","resultStr":"{\"title\":\"Peritonitis Secondary to Ruptured Hydatid Liver Cyst in a Young Postpartum Woman: A Rare Case Report.\",\"authors\":\"Messaoud Ola, Horache Kenza, Jidal Manal, Cherraqi Amine, El Aoufir Omar, Laamrani Fatima Zahra, Jroundi Laila\",\"doi\":\"10.1177/11795476241271561\",\"DOIUrl\":null,\"url\":null,\"abstract\":\"<p><p>Hydatid disease, caused primarily by Echinococcus granulosus, is prevalent in regions where livestock farming is common. Although typically considered benign, ruptured hydatid cysts into the abdominal cavity present a rare but severe complication requiring urgent surgical intervention. We hydatid liver cyst, emphasizing the unprecedented nature of this occurrence, as it has never been reported in the literature before. The case underscores the role of computed tomography (CT) imaging in diagnosis and multidisciplinary management involving emergency physicians, radiologists, anesthetists, and surgeons. Key points highlighted include the rarity of postpartum hydatid cyst rupture, the diagnostic utility of CT scans, and the necessity of immediate surgical intervention. Surgical strategies include conservative techniques and intraoperative lavage with hypertonic saline solution to prevent recurrence. Postoperative albendazole therapy and regular follow-up aid in preventing recurrence and early detection of complications. This case underscores the importance of suspecting ruptured hydatid cysts in postpartum women with underlying hepatic hydatid cyst and features of peritonitis, necessitating prompt recognition and management of complications in hydatid disease.</p>\",\"PeriodicalId\":10357,\"journal\":{\"name\":\"Clinical Medicine Insights. Case Reports\",\"volume\":\"17 \",\"pages\":\"11795476241271561\"},\"PeriodicalIF\":0.6000,\"publicationDate\":\"2024-08-14\",\"publicationTypes\":\"Journal Article\",\"fieldsOfStudy\":null,\"isOpenAccess\":false,\"openAccessPdf\":\"https://www.ncbi.nlm.nih.gov/pmc/articles/PMC11325300/pdf/\",\"citationCount\":\"0\",\"resultStr\":null,\"platform\":\"Semanticscholar\",\"paperid\":null,\"PeriodicalName\":\"Clinical Medicine Insights. Case Reports\",\"FirstCategoryId\":\"1085\",\"ListUrlMain\":\"https://doi.org/10.1177/11795476241271561\",\"RegionNum\":0,\"RegionCategory\":null,\"ArticlePicture\":[],\"TitleCN\":null,\"AbstractTextCN\":null,\"PMCID\":null,\"EPubDate\":\"2024/1/1 0:00:00\",\"PubModel\":\"eCollection\",\"JCR\":\"Q3\",\"JCRName\":\"MEDICINE, GENERAL & INTERNAL\",\"Score\":null,\"Total\":0}","platform":"Semanticscholar","paperid":null,"PeriodicalName":"Clinical Medicine Insights. Case Reports","FirstCategoryId":"1085","ListUrlMain":"https://doi.org/10.1177/11795476241271561","RegionNum":0,"RegionCategory":null,"ArticlePicture":[],"TitleCN":null,"AbstractTextCN":null,"PMCID":null,"EPubDate":"2024/1/1 0:00:00","PubModel":"eCollection","JCR":"Q3","JCRName":"MEDICINE, GENERAL & INTERNAL","Score":null,"Total":0}
引用次数: 0

摘要

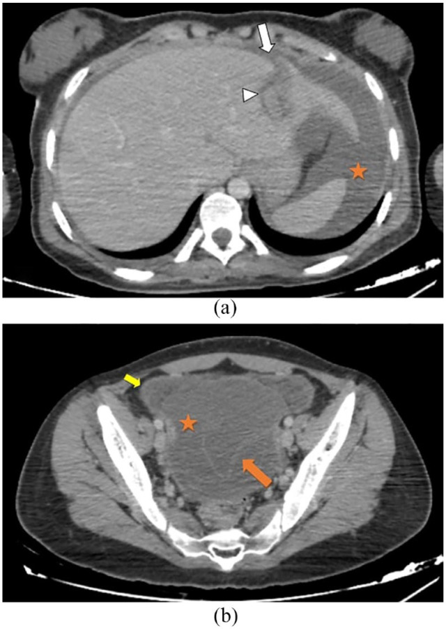
包虫病主要由棘球蚴引起,在畜牧业发达的地区很普遍。虽然水包虫囊肿通常被认为是良性的,但破裂后进入腹腔的水包虫囊肿是一种罕见但严重的并发症,需要紧急手术干预。我们的肝包虫囊肿病例强调了这种情况的前所未有性,因为文献中从未报道过。该病例强调了计算机断层扫描(CT)成像在诊断和多学科管理中的作用,包括急诊科医生、放射科医生、麻醉师和外科医生。重点包括产后包虫囊肿破裂的罕见性、CT 扫描的诊断作用以及立即手术干预的必要性。手术策略包括保守技术和术中用高渗盐水灌洗以防止复发。术后阿苯达唑治疗和定期随访有助于预防复发和及早发现并发症。本病例强调了在产后妇女中怀疑有肝包虫囊肿和腹膜炎特征的包虫囊肿破裂的重要性,需要及时识别和处理包虫病并发症。
本文章由计算机程序翻译,如有差异,请以英文原文为准。

Peritonitis Secondary to Ruptured Hydatid Liver Cyst in a Young Postpartum Woman: A Rare Case Report.

Peritonitis Secondary to Ruptured Hydatid Liver Cyst in a Young Postpartum Woman: A Rare Case Report.

Peritonitis Secondary to Ruptured Hydatid Liver Cyst in a Young Postpartum Woman: A Rare Case Report.

Peritonitis Secondary to Ruptured Hydatid Liver Cyst in a Young Postpartum Woman: A Rare Case Report.

Hydatid disease, caused primarily by Echinococcus granulosus, is prevalent in regions where livestock farming is common. Although typically considered benign, ruptured hydatid cysts into the abdominal cavity present a rare but severe complication requiring urgent surgical intervention. We hydatid liver cyst, emphasizing the unprecedented nature of this occurrence, as it has never been reported in the literature before. The case underscores the role of computed tomography (CT) imaging in diagnosis and multidisciplinary management involving emergency physicians, radiologists, anesthetists, and surgeons. Key points highlighted include the rarity of postpartum hydatid cyst rupture, the diagnostic utility of CT scans, and the necessity of immediate surgical intervention. Surgical strategies include conservative techniques and intraoperative lavage with hypertonic saline solution to prevent recurrence. Postoperative albendazole therapy and regular follow-up aid in preventing recurrence and early detection of complications. This case underscores the importance of suspecting ruptured hydatid cysts in postpartum women with underlying hepatic hydatid cyst and features of peritonitis, necessitating prompt recognition and management of complications in hydatid disease.

求助全文
通过发布文献求助,成功后即可免费获取论文全文。 去求助
来源期刊
Clinical Medicine Insights. Case Reports
Clinical Medicine Insights. Case Reports MEDICINE, GENERAL & INTERNAL-
CiteScore
1.10
自引率
0.00%
发文量
57
审稿时长
8 weeks
×
引用
GB/T 7714-2015
复制
MLA
复制
APA
复制
导出至
BibTeX EndNote RefMan NoteFirst NoteExpress
×
提示
您的信息不完整,为了账户安全,请先补充。
现在去补充
×
提示
您因"违规操作"
具体请查看互助需知
我知道了
×
提示
确定
请完成安全验证×
copy
已复制链接
快去分享给好友吧!
我知道了
右上角分享
点击右上角分享
0
联系我们:info@booksci.cn Book学术提供免费学术资源搜索服务,方便国内外学者检索中英文文献。致力于提供最便捷和优质的服务体验。 Copyright © 2023 布克学术 All rights reserved.
京ICP备2023020795号-1
ghs 京公网安备 11010802042870号
Book学术文献互助
Book学术文献互助群
群 号:604180095
Book学术官方微信