驾驭 "死亡三角":严重多重创伤管理中的多学科方法。

IF 0.6 Q3 MEDICINE, GENERAL & INTERNAL
Clinical Medicine Insights. Case Reports Pub Date : 2024-08-13 eCollection Date: 2024-01-01 DOI:10.1177/11795476241271544
Yushan Zhang, Fuxia Jian, Liang Wang, Hao Chen, Zhengbin Wu, Shili Zhong
{"title":"驾驭 \"死亡三角\":严重多重创伤管理中的多学科方法。","authors":"Yushan Zhang, Fuxia Jian, Liang Wang, Hao Chen, Zhengbin Wu, Shili Zhong","doi":"10.1177/11795476241271544","DOIUrl":null,"url":null,"abstract":"<p><p>This case report details the challenging management of a 45-year-old male construction worker who suffered severe multiple injuries after a fall and subsequent collision with cement mixers. The patient presented with extensive injuries, including amputation, fractures and internal bleeding, leading to a state known as the 'triangle of death'. Despite the initial grim prognosis, evidenced by an ISS score of 28 and a mortality risk coefficient of 89.56%, the patient was successfully resuscitated and managed through a multidisciplinary approach. This included damage control resuscitation, emergency vascular interventions and targeted temperature management for brain protection. The patient's recovery highlights the effectiveness of comprehensive trauma management and the critical role of coordinated care in severe multi-trauma cases.</p>","PeriodicalId":10357,"journal":{"name":"Clinical Medicine Insights. Case Reports","volume":"17 ","pages":"11795476241271544"},"PeriodicalIF":0.6000,"publicationDate":"2024-08-13","publicationTypes":"Journal Article","fieldsOfStudy":null,"isOpenAccess":false,"openAccessPdf":"https://www.ncbi.nlm.nih.gov/pmc/articles/PMC11325324/pdf/","citationCount":"0","resultStr":"{\"title\":\"Navigating the 'Triangle of Death': A Multidisciplinary Approach in Severe Multi-Trauma Management.\",\"authors\":\"Yushan Zhang, Fuxia Jian, Liang Wang, Hao Chen, Zhengbin Wu, Shili Zhong\",\"doi\":\"10.1177/11795476241271544\",\"DOIUrl\":null,\"url\":null,\"abstract\":\"<p><p>This case report details the challenging management of a 45-year-old male construction worker who suffered severe multiple injuries after a fall and subsequent collision with cement mixers. The patient presented with extensive injuries, including amputation, fractures and internal bleeding, leading to a state known as the 'triangle of death'. Despite the initial grim prognosis, evidenced by an ISS score of 28 and a mortality risk coefficient of 89.56%, the patient was successfully resuscitated and managed through a multidisciplinary approach. This included damage control resuscitation, emergency vascular interventions and targeted temperature management for brain protection. The patient's recovery highlights the effectiveness of comprehensive trauma management and the critical role of coordinated care in severe multi-trauma cases.</p>\",\"PeriodicalId\":10357,\"journal\":{\"name\":\"Clinical Medicine Insights. Case Reports\",\"volume\":\"17 \",\"pages\":\"11795476241271544\"},\"PeriodicalIF\":0.6000,\"publicationDate\":\"2024-08-13\",\"publicationTypes\":\"Journal Article\",\"fieldsOfStudy\":null,\"isOpenAccess\":false,\"openAccessPdf\":\"https://www.ncbi.nlm.nih.gov/pmc/articles/PMC11325324/pdf/\",\"citationCount\":\"0\",\"resultStr\":null,\"platform\":\"Semanticscholar\",\"paperid\":null,\"PeriodicalName\":\"Clinical Medicine Insights. Case Reports\",\"FirstCategoryId\":\"1085\",\"ListUrlMain\":\"https://doi.org/10.1177/11795476241271544\",\"RegionNum\":0,\"RegionCategory\":null,\"ArticlePicture\":[],\"TitleCN\":null,\"AbstractTextCN\":null,\"PMCID\":null,\"EPubDate\":\"2024/1/1 0:00:00\",\"PubModel\":\"eCollection\",\"JCR\":\"Q3\",\"JCRName\":\"MEDICINE, GENERAL & INTERNAL\",\"Score\":null,\"Total\":0}","platform":"Semanticscholar","paperid":null,"PeriodicalName":"Clinical Medicine Insights. Case Reports","FirstCategoryId":"1085","ListUrlMain":"https://doi.org/10.1177/11795476241271544","RegionNum":0,"RegionCategory":null,"ArticlePicture":[],"TitleCN":null,"AbstractTextCN":null,"PMCID":null,"EPubDate":"2024/1/1 0:00:00","PubModel":"eCollection","JCR":"Q3","JCRName":"MEDICINE, GENERAL & INTERNAL","Score":null,"Total":0}
引用次数: 0

摘要

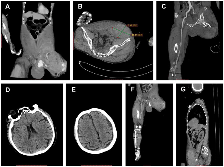
本病例报告详细描述了一名 45 岁男性建筑工人在高处坠落并随后与水泥搅拌机相撞后多处严重受伤的棘手治疗过程。患者出现大面积损伤,包括截肢、骨折和内出血,导致了被称为 "死亡三角 "的状态。尽管最初的预后很糟,ISS评分为28分,死亡风险系数高达89.56%,但通过多学科方法,病人还是被成功地抢救了过来。这包括损害控制复苏、紧急血管干预和有针对性的体温管理以保护大脑。病人的康复突显了综合创伤管理的有效性,以及协调护理在严重多发创伤病例中的关键作用。
本文章由计算机程序翻译,如有差异,请以英文原文为准。

Navigating the 'Triangle of Death': A Multidisciplinary Approach in Severe Multi-Trauma Management.

Navigating the 'Triangle of Death': A Multidisciplinary Approach in Severe Multi-Trauma Management.

Navigating the 'Triangle of Death': A Multidisciplinary Approach in Severe Multi-Trauma Management.

Navigating the 'Triangle of Death': A Multidisciplinary Approach in Severe Multi-Trauma Management.

This case report details the challenging management of a 45-year-old male construction worker who suffered severe multiple injuries after a fall and subsequent collision with cement mixers. The patient presented with extensive injuries, including amputation, fractures and internal bleeding, leading to a state known as the 'triangle of death'. Despite the initial grim prognosis, evidenced by an ISS score of 28 and a mortality risk coefficient of 89.56%, the patient was successfully resuscitated and managed through a multidisciplinary approach. This included damage control resuscitation, emergency vascular interventions and targeted temperature management for brain protection. The patient's recovery highlights the effectiveness of comprehensive trauma management and the critical role of coordinated care in severe multi-trauma cases.

求助全文
通过发布文献求助,成功后即可免费获取论文全文。 去求助
来源期刊
Clinical Medicine Insights. Case Reports
Clinical Medicine Insights. Case Reports MEDICINE, GENERAL & INTERNAL-
CiteScore
1.10
自引率
0.00%
发文量
57
审稿时长
8 weeks
×
引用
GB/T 7714-2015
复制
MLA
复制
APA
复制
导出至
BibTeX EndNote RefMan NoteFirst NoteExpress
×
提示
您的信息不完整,为了账户安全,请先补充。
现在去补充
×
提示
您因"违规操作"
具体请查看互助需知
我知道了
×
提示
确定
请完成安全验证×
copy
已复制链接
快去分享给好友吧!
我知道了
右上角分享
点击右上角分享
0
联系我们:info@booksci.cn Book学术提供免费学术资源搜索服务,方便国内外学者检索中英文文献。致力于提供最便捷和优质的服务体验。 Copyright © 2023 布克学术 All rights reserved.
京ICP备2023020795号-1
ghs 京公网安备 11010802042870号
Book学术文献互助
Book学术文献互助群
群 号:604180095
Book学术官方微信