转移性胃癌患者的副肿瘤综合征--微血管病性溶血性贫血

IF 0.6 Q3 MEDICINE, GENERAL & INTERNAL
Clinical Medicine Insights. Case Reports Pub Date : 2024-08-14 eCollection Date: 2024-01-01 DOI:10.1177/11795476241271534
Shahd T Natsheh, Tuqa Abu Ihlayel, Rawda Qasrawi, Qusai A Alsalah, Ahmad G Hammouri, Amer Zughayyer, Hasan Arafat
{"title":"转移性胃癌患者的副肿瘤综合征--微血管病性溶血性贫血","authors":"Shahd T Natsheh, Tuqa Abu Ihlayel, Rawda Qasrawi, Qusai A Alsalah, Ahmad G Hammouri, Amer Zughayyer, Hasan Arafat","doi":"10.1177/11795476241271534","DOIUrl":null,"url":null,"abstract":"<p><p>Cancer-associated microangiopathic hemolytic anemia (CA-MAHA) is a rare paraneoplastic syndrome. The most effective approach to treating CA-MAHA is to address the underlying malignancy. Documented cases of CA-MAHA are limited to fewer than 50 patients in the literature. Herein, we present a 51-year-old female patient who developed CA-MAHA as a complication of gastric adenocarcinoma. Despite receiving neoadjuvant and adjuvant chemotherapy for gastric cancer, the patient experienced disease progression with metastatic lesions in the liver, pancreas, and other sites. This report highlights the challenges in diagnosing and distinguishing CA-MAHA from other similar conditions such as disseminated intravascular coagulation (DIC), hemolytic uremic syndrome (HUS), thrombotic thrombocytopenic purpura (TTP), and rheumatological paraneoplastic syndromes. Additionally, it concludes that CA-MAHA is associated with a poor prognosis and limited clinical benefit from treatment, emphasizing the need for early diagnosis and effective management strategies.</p>","PeriodicalId":10357,"journal":{"name":"Clinical Medicine Insights. Case Reports","volume":"17 ","pages":"11795476241271534"},"PeriodicalIF":0.6000,"publicationDate":"2024-08-14","publicationTypes":"Journal Article","fieldsOfStudy":null,"isOpenAccess":false,"openAccessPdf":"https://www.ncbi.nlm.nih.gov/pmc/articles/PMC11325322/pdf/","citationCount":"0","resultStr":"{\"title\":\"Microangiopathic Hemolytic Anemia as a Paraneoplastic Syndrome in a Patient with Metastatic Gastric Cancer.\",\"authors\":\"Shahd T Natsheh, Tuqa Abu Ihlayel, Rawda Qasrawi, Qusai A Alsalah, Ahmad G Hammouri, Amer Zughayyer, Hasan Arafat\",\"doi\":\"10.1177/11795476241271534\",\"DOIUrl\":null,\"url\":null,\"abstract\":\"<p><p>Cancer-associated microangiopathic hemolytic anemia (CA-MAHA) is a rare paraneoplastic syndrome. The most effective approach to treating CA-MAHA is to address the underlying malignancy. Documented cases of CA-MAHA are limited to fewer than 50 patients in the literature. Herein, we present a 51-year-old female patient who developed CA-MAHA as a complication of gastric adenocarcinoma. Despite receiving neoadjuvant and adjuvant chemotherapy for gastric cancer, the patient experienced disease progression with metastatic lesions in the liver, pancreas, and other sites. This report highlights the challenges in diagnosing and distinguishing CA-MAHA from other similar conditions such as disseminated intravascular coagulation (DIC), hemolytic uremic syndrome (HUS), thrombotic thrombocytopenic purpura (TTP), and rheumatological paraneoplastic syndromes. Additionally, it concludes that CA-MAHA is associated with a poor prognosis and limited clinical benefit from treatment, emphasizing the need for early diagnosis and effective management strategies.</p>\",\"PeriodicalId\":10357,\"journal\":{\"name\":\"Clinical Medicine Insights. Case Reports\",\"volume\":\"17 \",\"pages\":\"11795476241271534\"},\"PeriodicalIF\":0.6000,\"publicationDate\":\"2024-08-14\",\"publicationTypes\":\"Journal Article\",\"fieldsOfStudy\":null,\"isOpenAccess\":false,\"openAccessPdf\":\"https://www.ncbi.nlm.nih.gov/pmc/articles/PMC11325322/pdf/\",\"citationCount\":\"0\",\"resultStr\":null,\"platform\":\"Semanticscholar\",\"paperid\":null,\"PeriodicalName\":\"Clinical Medicine Insights. Case Reports\",\"FirstCategoryId\":\"1085\",\"ListUrlMain\":\"https://doi.org/10.1177/11795476241271534\",\"RegionNum\":0,\"RegionCategory\":null,\"ArticlePicture\":[],\"TitleCN\":null,\"AbstractTextCN\":null,\"PMCID\":null,\"EPubDate\":\"2024/1/1 0:00:00\",\"PubModel\":\"eCollection\",\"JCR\":\"Q3\",\"JCRName\":\"MEDICINE, GENERAL & INTERNAL\",\"Score\":null,\"Total\":0}","platform":"Semanticscholar","paperid":null,"PeriodicalName":"Clinical Medicine Insights. Case Reports","FirstCategoryId":"1085","ListUrlMain":"https://doi.org/10.1177/11795476241271534","RegionNum":0,"RegionCategory":null,"ArticlePicture":[],"TitleCN":null,"AbstractTextCN":null,"PMCID":null,"EPubDate":"2024/1/1 0:00:00","PubModel":"eCollection","JCR":"Q3","JCRName":"MEDICINE, GENERAL & INTERNAL","Score":null,"Total":0}
引用次数: 0

摘要

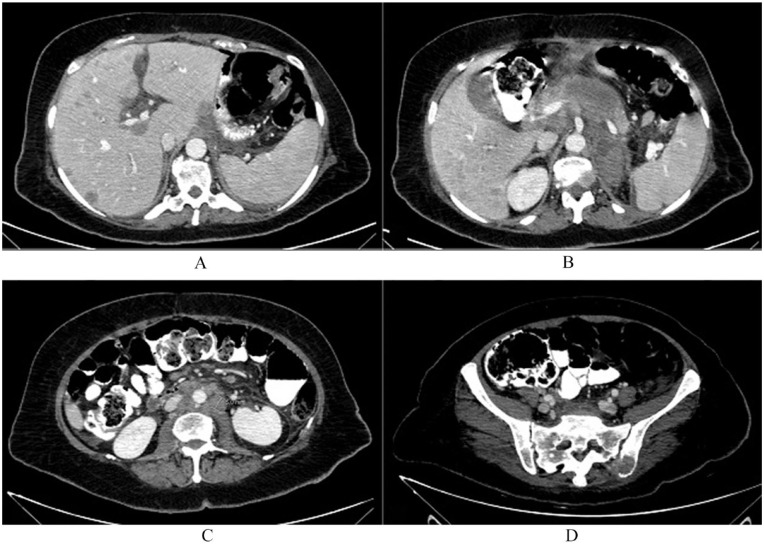
癌症相关性微血管病性溶血性贫血(CA-MAHA)是一种罕见的副肿瘤综合征。治疗 CA-MAHA 最有效的方法是解决潜在的恶性肿瘤问题。文献记载的 CA-MAHA 病例不足 50 例。在本文中,我们介绍了一名 51 岁的女性患者,她因胃腺癌并发 CA-MAHA 症状。尽管患者接受了胃癌新辅助化疗和辅助化疗,但病情仍出现进展,并在肝脏、胰腺和其他部位出现转移病灶。本报告强调了诊断 CA-MAHA 并将其与其他类似疾病(如弥散性血管内凝血(DIC)、溶血性尿毒症(HUS)、血栓性血小板减少性紫癜(TTP)和风湿性副肿瘤综合征)相鉴别所面临的挑战。此外,该研究还得出结论,CA-MAHA 预后不良,临床治疗效果有限,因此强调需要早期诊断和有效的管理策略。
本文章由计算机程序翻译,如有差异,请以英文原文为准。

Microangiopathic Hemolytic Anemia as a Paraneoplastic Syndrome in a Patient with Metastatic Gastric Cancer.

Microangiopathic Hemolytic Anemia as a Paraneoplastic Syndrome in a Patient with Metastatic Gastric Cancer.

Microangiopathic Hemolytic Anemia as a Paraneoplastic Syndrome in a Patient with Metastatic Gastric Cancer.

Microangiopathic Hemolytic Anemia as a Paraneoplastic Syndrome in a Patient with Metastatic Gastric Cancer.

Cancer-associated microangiopathic hemolytic anemia (CA-MAHA) is a rare paraneoplastic syndrome. The most effective approach to treating CA-MAHA is to address the underlying malignancy. Documented cases of CA-MAHA are limited to fewer than 50 patients in the literature. Herein, we present a 51-year-old female patient who developed CA-MAHA as a complication of gastric adenocarcinoma. Despite receiving neoadjuvant and adjuvant chemotherapy for gastric cancer, the patient experienced disease progression with metastatic lesions in the liver, pancreas, and other sites. This report highlights the challenges in diagnosing and distinguishing CA-MAHA from other similar conditions such as disseminated intravascular coagulation (DIC), hemolytic uremic syndrome (HUS), thrombotic thrombocytopenic purpura (TTP), and rheumatological paraneoplastic syndromes. Additionally, it concludes that CA-MAHA is associated with a poor prognosis and limited clinical benefit from treatment, emphasizing the need for early diagnosis and effective management strategies.

求助全文
通过发布文献求助,成功后即可免费获取论文全文。 去求助
来源期刊
Clinical Medicine Insights. Case Reports
Clinical Medicine Insights. Case Reports MEDICINE, GENERAL & INTERNAL-
CiteScore
1.10
自引率
0.00%
发文量
57
审稿时长
8 weeks
×
引用
GB/T 7714-2015
复制
MLA
复制
APA
复制
导出至
BibTeX EndNote RefMan NoteFirst NoteExpress
×
提示
您的信息不完整,为了账户安全,请先补充。
现在去补充
×
提示
您因"违规操作"
具体请查看互助需知
我知道了
×
提示
确定
请完成安全验证×
copy
已复制链接
快去分享给好友吧!
我知道了
右上角分享
点击右上角分享
0
联系我们:info@booksci.cn Book学术提供免费学术资源搜索服务,方便国内外学者检索中英文文献。致力于提供最便捷和优质的服务体验。 Copyright © 2023 布克学术 All rights reserved.
京ICP备2023020795号-1
ghs 京公网安备 11010802042870号
Book学术文献互助
Book学术文献互助群
群 号:604180095
Book学术官方微信