模仿胃粘膜下肿瘤的胃结核:通过内窥镜超声诊断。

IF 0.6 Q4 GASTROENTEROLOGY & HEPATOLOGY
Case Reports in Gastroenterology Pub Date : 2024-07-30 eCollection Date: 2024-01-01 DOI:10.1159/000540293
Hasan Maulahela, Nagita Gianty Annisa, Ari Fahrial Syam, Marini Stephanie, Yayi Dwina Billianti
{"title":"模仿胃粘膜下肿瘤的胃结核:通过内窥镜超声诊断。","authors":"Hasan Maulahela, Nagita Gianty Annisa, Ari Fahrial Syam, Marini Stephanie, Yayi Dwina Billianti","doi":"10.1159/000540293","DOIUrl":null,"url":null,"abstract":"<p><strong>Introduction: </strong>Gastrointestinal tuberculosis (TB), specifically gastric TB, is a rare form of extrapulmonary TB. Diagnosis proves challenging with nonspecific signs and symptoms. In this case report, a 22-year-old male came in with complaints of recurrent hematemesis and melena.</p><p><strong>Case presentation: </strong>We found a submucosal mass with ulceration in the stomach cardia on esophagoduodenoscopy (EGD). The endoscopic ultrasound (EUS) finding was a hypoechoic submucosal lesion with a clear margin; specimens were taken using fine needle aspiration (FNA) for further histopathological examination. The result indicated granuloma of <i>Mycobacterium Tuberculosis</i> in pathology, suggesting that the diagnosis was gastric TB. The patient was then treated with antitubercular therapy regimen for 9 months. The previously documented mass in the stomach cardia was no longer visible on the follow-up endoscopy examination, and the patient was considered cured.</p><p><strong>Conclusion: </strong>This case shows that gastric tuberculosis should be considered in patients with gastrointestinal symptoms, especially those living in TB endemic regions. Endoscopic examinations, such as EGD and EUS, may aid in the diagnosis of gastric tuberculosis.</p>","PeriodicalId":9614,"journal":{"name":"Case Reports in Gastroenterology","volume":"18 1","pages":"379-385"},"PeriodicalIF":0.6000,"publicationDate":"2024-07-30","publicationTypes":"Journal Article","fieldsOfStudy":null,"isOpenAccess":false,"openAccessPdf":"https://www.ncbi.nlm.nih.gov/pmc/articles/PMC11324280/pdf/","citationCount":"0","resultStr":"{\"title\":\"Tuberculosis of the Stomach Mimicking Gastric Submucosal Tumor: Diagnosis by Endoscopic Ultrasound.\",\"authors\":\"Hasan Maulahela, Nagita Gianty Annisa, Ari Fahrial Syam, Marini Stephanie, Yayi Dwina Billianti\",\"doi\":\"10.1159/000540293\",\"DOIUrl\":null,\"url\":null,\"abstract\":\"<p><strong>Introduction: </strong>Gastrointestinal tuberculosis (TB), specifically gastric TB, is a rare form of extrapulmonary TB. Diagnosis proves challenging with nonspecific signs and symptoms. In this case report, a 22-year-old male came in with complaints of recurrent hematemesis and melena.</p><p><strong>Case presentation: </strong>We found a submucosal mass with ulceration in the stomach cardia on esophagoduodenoscopy (EGD). The endoscopic ultrasound (EUS) finding was a hypoechoic submucosal lesion with a clear margin; specimens were taken using fine needle aspiration (FNA) for further histopathological examination. The result indicated granuloma of <i>Mycobacterium Tuberculosis</i> in pathology, suggesting that the diagnosis was gastric TB. The patient was then treated with antitubercular therapy regimen for 9 months. The previously documented mass in the stomach cardia was no longer visible on the follow-up endoscopy examination, and the patient was considered cured.</p><p><strong>Conclusion: </strong>This case shows that gastric tuberculosis should be considered in patients with gastrointestinal symptoms, especially those living in TB endemic regions. Endoscopic examinations, such as EGD and EUS, may aid in the diagnosis of gastric tuberculosis.</p>\",\"PeriodicalId\":9614,\"journal\":{\"name\":\"Case Reports in Gastroenterology\",\"volume\":\"18 1\",\"pages\":\"379-385\"},\"PeriodicalIF\":0.6000,\"publicationDate\":\"2024-07-30\",\"publicationTypes\":\"Journal Article\",\"fieldsOfStudy\":null,\"isOpenAccess\":false,\"openAccessPdf\":\"https://www.ncbi.nlm.nih.gov/pmc/articles/PMC11324280/pdf/\",\"citationCount\":\"0\",\"resultStr\":null,\"platform\":\"Semanticscholar\",\"paperid\":null,\"PeriodicalName\":\"Case Reports in Gastroenterology\",\"FirstCategoryId\":\"1085\",\"ListUrlMain\":\"https://doi.org/10.1159/000540293\",\"RegionNum\":0,\"RegionCategory\":null,\"ArticlePicture\":[],\"TitleCN\":null,\"AbstractTextCN\":null,\"PMCID\":null,\"EPubDate\":\"2024/1/1 0:00:00\",\"PubModel\":\"eCollection\",\"JCR\":\"Q4\",\"JCRName\":\"GASTROENTEROLOGY & HEPATOLOGY\",\"Score\":null,\"Total\":0}","platform":"Semanticscholar","paperid":null,"PeriodicalName":"Case Reports in Gastroenterology","FirstCategoryId":"1085","ListUrlMain":"https://doi.org/10.1159/000540293","RegionNum":0,"RegionCategory":null,"ArticlePicture":[],"TitleCN":null,"AbstractTextCN":null,"PMCID":null,"EPubDate":"2024/1/1 0:00:00","PubModel":"eCollection","JCR":"Q4","JCRName":"GASTROENTEROLOGY & HEPATOLOGY","Score":null,"Total":0}
引用次数: 0

摘要

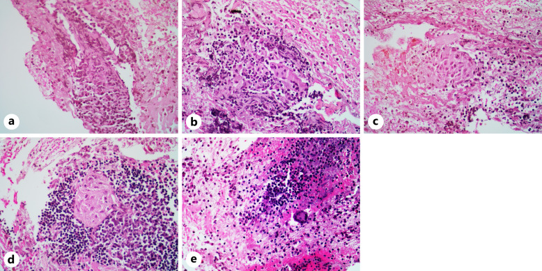
简介胃肠道结核(TB),特别是胃结核,是一种罕见的肺外结核。由于症状和体征不具特异性,诊断极具挑战性。在本病例报告中,一名 22 岁的男性因反复吐血和便血前来就诊:我们在食管十二指肠镜检查(EGD)中发现胃贲门处有一个粘膜下肿块,并伴有溃疡。内镜超声(EUS)检查发现黏膜下病变呈低回声,边缘清晰;我们用细针穿刺(FNA)取标本进行进一步组织病理学检查。病理结果显示为结核分枝杆菌肉芽肿,提示诊断为胃结核。随后,患者接受了为期 9 个月的抗结核治疗。在随访的内镜检查中,之前记录的胃贲门肿块已不复存在,患者被视为治愈:本病例表明,有胃肠道症状的患者,尤其是生活在结核病流行地区的患者,应考虑胃结核。内镜检查,如胃肠道造影(EGD)和胃超声波检查(EUS),可能有助于胃结核的诊断。
本文章由计算机程序翻译,如有差异,请以英文原文为准。

Tuberculosis of the Stomach Mimicking Gastric Submucosal Tumor: Diagnosis by Endoscopic Ultrasound.

Tuberculosis of the Stomach Mimicking Gastric Submucosal Tumor: Diagnosis by Endoscopic Ultrasound.

Tuberculosis of the Stomach Mimicking Gastric Submucosal Tumor: Diagnosis by Endoscopic Ultrasound.

Tuberculosis of the Stomach Mimicking Gastric Submucosal Tumor: Diagnosis by Endoscopic Ultrasound.

Introduction: Gastrointestinal tuberculosis (TB), specifically gastric TB, is a rare form of extrapulmonary TB. Diagnosis proves challenging with nonspecific signs and symptoms. In this case report, a 22-year-old male came in with complaints of recurrent hematemesis and melena.

Case presentation: We found a submucosal mass with ulceration in the stomach cardia on esophagoduodenoscopy (EGD). The endoscopic ultrasound (EUS) finding was a hypoechoic submucosal lesion with a clear margin; specimens were taken using fine needle aspiration (FNA) for further histopathological examination. The result indicated granuloma of Mycobacterium Tuberculosis in pathology, suggesting that the diagnosis was gastric TB. The patient was then treated with antitubercular therapy regimen for 9 months. The previously documented mass in the stomach cardia was no longer visible on the follow-up endoscopy examination, and the patient was considered cured.

Conclusion: This case shows that gastric tuberculosis should be considered in patients with gastrointestinal symptoms, especially those living in TB endemic regions. Endoscopic examinations, such as EGD and EUS, may aid in the diagnosis of gastric tuberculosis.

求助全文
通过发布文献求助,成功后即可免费获取论文全文。 去求助
来源期刊
Case Reports in Gastroenterology
Case Reports in Gastroenterology Medicine-Gastroenterology
CiteScore
1.10
自引率
0.00%
发文量
99
审稿时长
7 weeks
期刊介绍:
×
引用
GB/T 7714-2015
复制
MLA
复制
APA
复制
导出至
BibTeX EndNote RefMan NoteFirst NoteExpress
×
提示
您的信息不完整,为了账户安全,请先补充。
现在去补充
×
提示
您因"违规操作"
具体请查看互助需知
我知道了
×
提示
确定
请完成安全验证×
copy
已复制链接
快去分享给好友吧!
我知道了
右上角分享
点击右上角分享
0
联系我们:info@booksci.cn Book学术提供免费学术资源搜索服务,方便国内外学者检索中英文文献。致力于提供最便捷和优质的服务体验。 Copyright © 2023 布克学术 All rights reserved.
京ICP备2023020795号-1
ghs 京公网安备 11010802042870号
Book学术文献互助
Book学术文献互助群
群 号:604180095
Book学术官方微信