特纳综合征非肝硬化门脉高压症:病例报告。

IF 0.6 Q4 GASTROENTEROLOGY & HEPATOLOGY
Case Reports in Gastroenterology Pub Date : 2024-07-22 eCollection Date: 2024-01-01 DOI:10.1159/000539500
Arsia Jamali, Adewale Ajumobi
{"title":"特纳综合征非肝硬化门脉高压症:病例报告。","authors":"Arsia Jamali, Adewale Ajumobi","doi":"10.1159/000539500","DOIUrl":null,"url":null,"abstract":"<p><strong>Introduction: </strong>Involvement of the gastrointestinal system is less common in Turner's syndrome. Hepatic derangements have been reported in individuals with Turner's syndrome due to nonalcoholic steatosis, steatohepatitis, and less commonly due to viral hepatitis and alcoholic hepatitis. Portal hypertension is typically associated with cirrhosis; however, in a minor fraction of individuals, it occurs in the absence of cirrhosis. Portal hypertension is rare in Turner's syndrome and is even more rarely observed in the absence of cirrhosis in individuals with Turner's syndrome.</p><p><strong>Case presentation: </strong>Herein, we report a case of liver biopsy-proven non-cirrhotic portal hypertension due to portosinusoidal vascular disease.</p><p><strong>Conclusion: </strong>High index of clinical suspicion can lead to early diagnosis and treatment of portal hypertension in individuals with Turner's syndrome, reducing the burden of complications of portal hypertension.</p>","PeriodicalId":9614,"journal":{"name":"Case Reports in Gastroenterology","volume":"18 1","pages":"352-360"},"PeriodicalIF":0.6000,"publicationDate":"2024-07-22","publicationTypes":"Journal Article","fieldsOfStudy":null,"isOpenAccess":false,"openAccessPdf":"https://www.ncbi.nlm.nih.gov/pmc/articles/PMC11324222/pdf/","citationCount":"0","resultStr":"{\"title\":\"Non-Cirrhotic Portal Hypertension in Turner's Syndrome: A Case Report.\",\"authors\":\"Arsia Jamali, Adewale Ajumobi\",\"doi\":\"10.1159/000539500\",\"DOIUrl\":null,\"url\":null,\"abstract\":\"<p><strong>Introduction: </strong>Involvement of the gastrointestinal system is less common in Turner's syndrome. Hepatic derangements have been reported in individuals with Turner's syndrome due to nonalcoholic steatosis, steatohepatitis, and less commonly due to viral hepatitis and alcoholic hepatitis. Portal hypertension is typically associated with cirrhosis; however, in a minor fraction of individuals, it occurs in the absence of cirrhosis. Portal hypertension is rare in Turner's syndrome and is even more rarely observed in the absence of cirrhosis in individuals with Turner's syndrome.</p><p><strong>Case presentation: </strong>Herein, we report a case of liver biopsy-proven non-cirrhotic portal hypertension due to portosinusoidal vascular disease.</p><p><strong>Conclusion: </strong>High index of clinical suspicion can lead to early diagnosis and treatment of portal hypertension in individuals with Turner's syndrome, reducing the burden of complications of portal hypertension.</p>\",\"PeriodicalId\":9614,\"journal\":{\"name\":\"Case Reports in Gastroenterology\",\"volume\":\"18 1\",\"pages\":\"352-360\"},\"PeriodicalIF\":0.6000,\"publicationDate\":\"2024-07-22\",\"publicationTypes\":\"Journal Article\",\"fieldsOfStudy\":null,\"isOpenAccess\":false,\"openAccessPdf\":\"https://www.ncbi.nlm.nih.gov/pmc/articles/PMC11324222/pdf/\",\"citationCount\":\"0\",\"resultStr\":null,\"platform\":\"Semanticscholar\",\"paperid\":null,\"PeriodicalName\":\"Case Reports in Gastroenterology\",\"FirstCategoryId\":\"1085\",\"ListUrlMain\":\"https://doi.org/10.1159/000539500\",\"RegionNum\":0,\"RegionCategory\":null,\"ArticlePicture\":[],\"TitleCN\":null,\"AbstractTextCN\":null,\"PMCID\":null,\"EPubDate\":\"2024/1/1 0:00:00\",\"PubModel\":\"eCollection\",\"JCR\":\"Q4\",\"JCRName\":\"GASTROENTEROLOGY & HEPATOLOGY\",\"Score\":null,\"Total\":0}","platform":"Semanticscholar","paperid":null,"PeriodicalName":"Case Reports in Gastroenterology","FirstCategoryId":"1085","ListUrlMain":"https://doi.org/10.1159/000539500","RegionNum":0,"RegionCategory":null,"ArticlePicture":[],"TitleCN":null,"AbstractTextCN":null,"PMCID":null,"EPubDate":"2024/1/1 0:00:00","PubModel":"eCollection","JCR":"Q4","JCRName":"GASTROENTEROLOGY & HEPATOLOGY","Score":null,"Total":0}
引用次数: 0

摘要

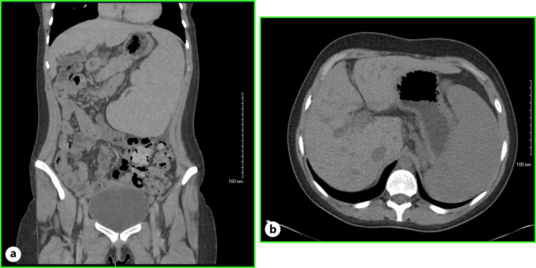
简介特纳综合征较少累及胃肠道系统。据报道,特纳综合征患者的肝脏病变是由非酒精性脂肪变性和脂肪性肝炎引起的,病毒性肝炎和酒精性肝炎则较为少见。门静脉高压通常与肝硬化有关,但也有一小部分患者在没有肝硬化的情况下也会出现门静脉高压。门静脉高压症在特纳综合征患者中非常罕见,在特纳综合征患者无肝硬化的情况下更少见:在此,我们报告了一例经肝活检证实的非肝硬化性门静脉高压症,其病因是门静脉血管病变:结论:临床高度怀疑可导致特纳综合征患者门静脉高压症的早期诊断和治疗,从而减轻门静脉高压症并发症的负担。
本文章由计算机程序翻译,如有差异,请以英文原文为准。

Non-Cirrhotic Portal Hypertension in Turner's Syndrome: A Case Report.

Non-Cirrhotic Portal Hypertension in Turner's Syndrome: A Case Report.

Non-Cirrhotic Portal Hypertension in Turner's Syndrome: A Case Report.

Introduction: Involvement of the gastrointestinal system is less common in Turner's syndrome. Hepatic derangements have been reported in individuals with Turner's syndrome due to nonalcoholic steatosis, steatohepatitis, and less commonly due to viral hepatitis and alcoholic hepatitis. Portal hypertension is typically associated with cirrhosis; however, in a minor fraction of individuals, it occurs in the absence of cirrhosis. Portal hypertension is rare in Turner's syndrome and is even more rarely observed in the absence of cirrhosis in individuals with Turner's syndrome.

Case presentation: Herein, we report a case of liver biopsy-proven non-cirrhotic portal hypertension due to portosinusoidal vascular disease.

Conclusion: High index of clinical suspicion can lead to early diagnosis and treatment of portal hypertension in individuals with Turner's syndrome, reducing the burden of complications of portal hypertension.

求助全文
通过发布文献求助,成功后即可免费获取论文全文。 去求助
来源期刊
Case Reports in Gastroenterology
Case Reports in Gastroenterology Medicine-Gastroenterology
CiteScore
1.10
自引率
0.00%
发文量
99
审稿时长
7 weeks
期刊介绍:
×
引用
GB/T 7714-2015
复制
MLA
复制
APA
复制
导出至
BibTeX EndNote RefMan NoteFirst NoteExpress
×
提示
您的信息不完整,为了账户安全,请先补充。
现在去补充
×
提示
您因"违规操作"
具体请查看互助需知
我知道了
×
提示
确定
请完成安全验证×
copy
已复制链接
快去分享给好友吧!
我知道了
右上角分享
点击右上角分享
0
联系我们:info@booksci.cn Book学术提供免费学术资源搜索服务,方便国内外学者检索中英文文献。致力于提供最便捷和优质的服务体验。 Copyright © 2023 布克学术 All rights reserved.
京ICP备2023020795号-1
ghs 京公网安备 11010802042870号
Book学术文献互助
Book学术文献互助群
群 号:604180095
Book学术官方微信