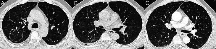
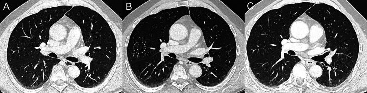
接受舍帕替尼治疗的RET突变型甲状腺髓样癌患者出现波动性闭塞性支气管炎。

IF 4.3 2区 医学 Q2 ENDOCRINOLOGY & METABOLISM
European Thyroid Journal Pub Date : 2024-09-19 Print Date: 2024-10-01 DOI:10.1530/ETJ-24-0189
Carla Gambale, Alessandro Prete, Chiara Romei, Alessandro Celi, Rossella Elisei, Antonio Matrone
{"title":"接受舍帕替尼治疗的RET突变型甲状腺髓样癌患者出现波动性闭塞性支气管炎。","authors":"Carla Gambale, Alessandro Prete, Chiara Romei, Alessandro Celi, Rossella Elisei, Antonio Matrone","doi":"10.1530/ETJ-24-0189","DOIUrl":null,"url":null,"abstract":"<p><p>Highly selective RET inhibitor selpercatinib has demonstrated notable efficacy in advanced/progressive RET-mutant medullary thyroid cancer (MTC) patients. However, despite a more tolerable toxicity profile than multikinase inhibitors, peculiar adverse events (AEs) have been described. Obliterative bronchiolitis (OB) is a respiratory disease characterized by inflammation and fibrosis in small conducting airways. We evaluated a 70-year-old man with advanced RET-mutant MTC who developed OB during treatment with selpercatinib. Radiological features of OB occurred early and persisted during selpercatinib treatment, with a waxing and waning pattern. Notably, a partial response of MTC was achieved during the treatment, and selpercatinib was never reduced or interrupted. The almost complete absence of symptoms and the fluctuating trend, without specific treatment for OB, suggested that it is necessary to carefully evaluate the risks mediated by this AE with the risks of modifying or discontinuing the anti-cancer therapy.</p>","PeriodicalId":12159,"journal":{"name":"European Thyroid Journal","volume":" ","pages":""},"PeriodicalIF":4.3000,"publicationDate":"2024-09-19","publicationTypes":"Journal Article","fieldsOfStudy":null,"isOpenAccess":false,"openAccessPdf":"https://www.ncbi.nlm.nih.gov/pmc/articles/PMC11466268/pdf/","citationCount":"0","resultStr":"{\"title\":\"Fluctuating obliterative bronchiolitis in RET-mutant medullary thyroid cancer patient treated with selpercatinib.\",\"authors\":\"Carla Gambale, Alessandro Prete, Chiara Romei, Alessandro Celi, Rossella Elisei, Antonio Matrone\",\"doi\":\"10.1530/ETJ-24-0189\",\"DOIUrl\":null,\"url\":null,\"abstract\":\"<p><p>Highly selective RET inhibitor selpercatinib has demonstrated notable efficacy in advanced/progressive RET-mutant medullary thyroid cancer (MTC) patients. However, despite a more tolerable toxicity profile than multikinase inhibitors, peculiar adverse events (AEs) have been described. Obliterative bronchiolitis (OB) is a respiratory disease characterized by inflammation and fibrosis in small conducting airways. We evaluated a 70-year-old man with advanced RET-mutant MTC who developed OB during treatment with selpercatinib. Radiological features of OB occurred early and persisted during selpercatinib treatment, with a waxing and waning pattern. Notably, a partial response of MTC was achieved during the treatment, and selpercatinib was never reduced or interrupted. The almost complete absence of symptoms and the fluctuating trend, without specific treatment for OB, suggested that it is necessary to carefully evaluate the risks mediated by this AE with the risks of modifying or discontinuing the anti-cancer therapy.</p>\",\"PeriodicalId\":12159,\"journal\":{\"name\":\"European Thyroid Journal\",\"volume\":\" \",\"pages\":\"\"},\"PeriodicalIF\":4.3000,\"publicationDate\":\"2024-09-19\",\"publicationTypes\":\"Journal Article\",\"fieldsOfStudy\":null,\"isOpenAccess\":false,\"openAccessPdf\":\"https://www.ncbi.nlm.nih.gov/pmc/articles/PMC11466268/pdf/\",\"citationCount\":\"0\",\"resultStr\":null,\"platform\":\"Semanticscholar\",\"paperid\":null,\"PeriodicalName\":\"European Thyroid Journal\",\"FirstCategoryId\":\"3\",\"ListUrlMain\":\"https://doi.org/10.1530/ETJ-24-0189\",\"RegionNum\":2,\"RegionCategory\":\"医学\",\"ArticlePicture\":[],\"TitleCN\":null,\"AbstractTextCN\":null,\"PMCID\":null,\"EPubDate\":\"2024/10/1 0:00:00\",\"PubModel\":\"Print\",\"JCR\":\"Q2\",\"JCRName\":\"ENDOCRINOLOGY & METABOLISM\",\"Score\":null,\"Total\":0}","platform":"Semanticscholar","paperid":null,"PeriodicalName":"European Thyroid Journal","FirstCategoryId":"3","ListUrlMain":"https://doi.org/10.1530/ETJ-24-0189","RegionNum":2,"RegionCategory":"医学","ArticlePicture":[],"TitleCN":null,"AbstractTextCN":null,"PMCID":null,"EPubDate":"2024/10/1 0:00:00","PubModel":"Print","JCR":"Q2","JCRName":"ENDOCRINOLOGY & METABOLISM","Score":null,"Total":0}
引用次数: 0

摘要

高选择性RET抑制剂赛帕替尼对晚期/进展期RET突变甲状腺髓样癌(MTC)患者有显著疗效。然而,尽管该药的毒性比多激酶抑制剂更易耐受,但也出现了一些特殊的不良事件(AEs)。闭塞性细支气管炎(OB)是一种以小传导气道炎症和纤维化为特征的呼吸系统疾病。我们对一名70岁的晚期RET突变MTC患者进行了评估,该患者在接受赛帕替尼治疗期间出现了阻塞性支气管炎。OB的放射学特征出现较早,并在赛乐替尼治疗期间持续存在,呈消长模式。值得注意的是,在治疗期间,MTC 获得了部分应答,而舍培卡替尼从未减量或中断。OB几乎完全没有症状,而且呈波动趋势,没有针对OB的特殊治疗,这表明有必要仔细评估这种AE介导的风险以及修改或中断抗癌疗法的风险。
本文章由计算机程序翻译,如有差异,请以英文原文为准。

Fluctuating obliterative bronchiolitis in RET-mutant medullary thyroid cancer patient treated with selpercatinib.

Fluctuating obliterative bronchiolitis in RET-mutant medullary thyroid cancer patient treated with selpercatinib.

Fluctuating obliterative bronchiolitis in RET-mutant medullary thyroid cancer patient treated with selpercatinib.

Fluctuating obliterative bronchiolitis in RET-mutant medullary thyroid cancer patient treated with selpercatinib.

Highly selective RET inhibitor selpercatinib has demonstrated notable efficacy in advanced/progressive RET-mutant medullary thyroid cancer (MTC) patients. However, despite a more tolerable toxicity profile than multikinase inhibitors, peculiar adverse events (AEs) have been described. Obliterative bronchiolitis (OB) is a respiratory disease characterized by inflammation and fibrosis in small conducting airways. We evaluated a 70-year-old man with advanced RET-mutant MTC who developed OB during treatment with selpercatinib. Radiological features of OB occurred early and persisted during selpercatinib treatment, with a waxing and waning pattern. Notably, a partial response of MTC was achieved during the treatment, and selpercatinib was never reduced or interrupted. The almost complete absence of symptoms and the fluctuating trend, without specific treatment for OB, suggested that it is necessary to carefully evaluate the risks mediated by this AE with the risks of modifying or discontinuing the anti-cancer therapy.

求助全文
通过发布文献求助,成功后即可免费获取论文全文。 去求助
来源期刊
European Thyroid Journal
European Thyroid Journal Medicine-Endocrinology, Diabetes and Metabolism
CiteScore
6.70
自引率
2.10%
发文量
156
期刊介绍: The ''European Thyroid Journal'' publishes papers reporting original research in basic, translational and clinical thyroidology. Original contributions cover all aspects of the field, from molecular and cellular biology to immunology and biochemistry, from physiology to pathology, and from pediatric to adult thyroid diseases with a special focus on thyroid cancer. Readers also benefit from reviews by noted experts, which highlight especially active areas of current research. The journal will further publish formal guidelines in the field, produced and endorsed by the European Thyroid Association.
×
引用
GB/T 7714-2015
复制
MLA
复制
APA
复制
导出至
BibTeX EndNote RefMan NoteFirst NoteExpress
×
提示
您的信息不完整,为了账户安全,请先补充。
现在去补充
×
提示
您因"违规操作"
具体请查看互助需知
我知道了
×
提示
确定
请完成安全验证×
copy
已复制链接
快去分享给好友吧!
我知道了
右上角分享
点击右上角分享
0
联系我们:info@booksci.cn Book学术提供免费学术资源搜索服务,方便国内外学者检索中英文文献。致力于提供最便捷和优质的服务体验。 Copyright © 2023 布克学术 All rights reserved.
京ICP备2023020795号-1
ghs 京公网安备 11010802042870号
Book学术文献互助
Book学术文献互助群
群 号:604180095
Book学术官方微信