分析犬脾血管肉瘤中 VEGFR-2 和 PDGFR-β 的表达以确定候选药物的重新定位。

Brazilian journal of veterinary medicine Pub Date : 2024-08-06 eCollection Date: 2024-01-01 DOI:10.29374/2527-2179.bjvm001524
Igor Simões Tiagua Vicente, Fernanda Barthelson Carvalho de Moura, Juliana Moreira Rozolen, Denner Santos Dos Anjos, Renata Afonso Sobral, Carlos Eduardo Fonseca Alves
{"title":"分析犬脾血管肉瘤中 VEGFR-2 和 PDGFR-β 的表达以确定候选药物的重新定位。","authors":"Igor Simões Tiagua Vicente, Fernanda Barthelson Carvalho de Moura, Juliana Moreira Rozolen, Denner Santos Dos Anjos, Renata Afonso Sobral, Carlos Eduardo Fonseca Alves","doi":"10.29374/2527-2179.bjvm001524","DOIUrl":null,"url":null,"abstract":"<p><p>Splenic tumors are very common in dogs, and canine hemangiosarcoma (HSA) is one of the most important malignant splenic tumors. Surgery followed by chemotherapy (anthracycline-based protocols) is recommended for treating canine HSA; however, patients still do not achieve long-term survival. Therefore, this research aimed to assess vascular endothelial growth factor receptor-2 (<i>VEGFR-2</i>) and platelet-derived growth factor receptor-β (<i>PDGFR-β</i>) gene expression in formalin-fixed tissues, evaluate the quality of mRNA for quantitative polymerase chain reaction (qPCR) analysis and identify drug repositioning candidates based on VEGFR-2 and PDGFR-β. qPCR analysis identified the relative expression of heterogeneous VEGFR-2 and PDGFR-β, with samples showing no transcripts or very low expression and those with higher relative quantification for both genes. We then used immunohistochemistry to correlate the relative quantification of VEGFR-2 and PDGFR-β transcripts with respective higher protein expression to validate our results. In the next step, we evaluated drug repositioning candidates and identified small molecule inhibitors (i.e. sorafenib) and natural compounds (curcumin and resveratrol) with the ability to block VEGFR-2 and PDGFR-β genes. Overall, our results indicated that VEGFR-2 and PDGFR-β expression is highly variable among canine HSA samples and different drugs can block the expression of both genes. Therefore, a personalized approach could be useful for selecting anti-VEGFR-2 and PDGFR-β therapies and both genes are potential candidates for future oncological panels.</p>","PeriodicalId":72458,"journal":{"name":"Brazilian journal of veterinary medicine","volume":"46 ","pages":"e001524"},"PeriodicalIF":0.0000,"publicationDate":"2024-08-06","publicationTypes":"Journal Article","fieldsOfStudy":null,"isOpenAccess":false,"openAccessPdf":"https://www.ncbi.nlm.nih.gov/pmc/articles/PMC11315467/pdf/","citationCount":"0","resultStr":"{\"title\":\"Analysis of VEGFR-2 and PDGFR-β expression in canine splenic hemangiosarcoma to identify drug repositioning candidates.\",\"authors\":\"Igor Simões Tiagua Vicente, Fernanda Barthelson Carvalho de Moura, Juliana Moreira Rozolen, Denner Santos Dos Anjos, Renata Afonso Sobral, Carlos Eduardo Fonseca Alves\",\"doi\":\"10.29374/2527-2179.bjvm001524\",\"DOIUrl\":null,\"url\":null,\"abstract\":\"<p><p>Splenic tumors are very common in dogs, and canine hemangiosarcoma (HSA) is one of the most important malignant splenic tumors. Surgery followed by chemotherapy (anthracycline-based protocols) is recommended for treating canine HSA; however, patients still do not achieve long-term survival. Therefore, this research aimed to assess vascular endothelial growth factor receptor-2 (<i>VEGFR-2</i>) and platelet-derived growth factor receptor-β (<i>PDGFR-β</i>) gene expression in formalin-fixed tissues, evaluate the quality of mRNA for quantitative polymerase chain reaction (qPCR) analysis and identify drug repositioning candidates based on VEGFR-2 and PDGFR-β. qPCR analysis identified the relative expression of heterogeneous VEGFR-2 and PDGFR-β, with samples showing no transcripts or very low expression and those with higher relative quantification for both genes. We then used immunohistochemistry to correlate the relative quantification of VEGFR-2 and PDGFR-β transcripts with respective higher protein expression to validate our results. In the next step, we evaluated drug repositioning candidates and identified small molecule inhibitors (i.e. sorafenib) and natural compounds (curcumin and resveratrol) with the ability to block VEGFR-2 and PDGFR-β genes. Overall, our results indicated that VEGFR-2 and PDGFR-β expression is highly variable among canine HSA samples and different drugs can block the expression of both genes. Therefore, a personalized approach could be useful for selecting anti-VEGFR-2 and PDGFR-β therapies and both genes are potential candidates for future oncological panels.</p>\",\"PeriodicalId\":72458,\"journal\":{\"name\":\"Brazilian journal of veterinary medicine\",\"volume\":\"46 \",\"pages\":\"e001524\"},\"PeriodicalIF\":0.0000,\"publicationDate\":\"2024-08-06\",\"publicationTypes\":\"Journal Article\",\"fieldsOfStudy\":null,\"isOpenAccess\":false,\"openAccessPdf\":\"https://www.ncbi.nlm.nih.gov/pmc/articles/PMC11315467/pdf/\",\"citationCount\":\"0\",\"resultStr\":null,\"platform\":\"Semanticscholar\",\"paperid\":null,\"PeriodicalName\":\"Brazilian journal of veterinary medicine\",\"FirstCategoryId\":\"1085\",\"ListUrlMain\":\"https://doi.org/10.29374/2527-2179.bjvm001524\",\"RegionNum\":0,\"RegionCategory\":null,\"ArticlePicture\":[],\"TitleCN\":null,\"AbstractTextCN\":null,\"PMCID\":null,\"EPubDate\":\"2024/1/1 0:00:00\",\"PubModel\":\"eCollection\",\"JCR\":\"\",\"JCRName\":\"\",\"Score\":null,\"Total\":0}","platform":"Semanticscholar","paperid":null,"PeriodicalName":"Brazilian journal of veterinary medicine","FirstCategoryId":"1085","ListUrlMain":"https://doi.org/10.29374/2527-2179.bjvm001524","RegionNum":0,"RegionCategory":null,"ArticlePicture":[],"TitleCN":null,"AbstractTextCN":null,"PMCID":null,"EPubDate":"2024/1/1 0:00:00","PubModel":"eCollection","JCR":"","JCRName":"","Score":null,"Total":0}
引用次数: 0

摘要

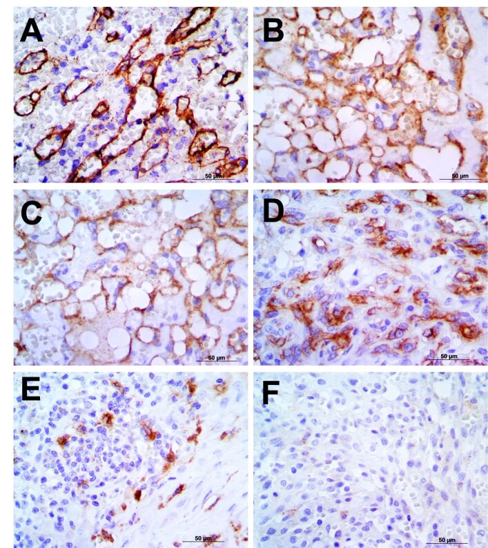
脾脏肿瘤在犬中非常常见,犬血管肉瘤(HSA)是最重要的恶性脾脏肿瘤之一。手术和化疗(以蒽环类药物为基础的方案)是治疗犬 HSA 的推荐方法,但患者仍无法获得长期生存。因此,本研究旨在评估福尔马林固定组织中血管内皮生长因子受体-2(VEGFR-2)和血小板衍生生长因子受体-β(PDGFR-β)的基因表达,评估用于定量聚合酶链反应(qPCR)分析的 mRNA 的质量,并根据 VEGFR-2 和 PDGFR-β确定候选药物的重新定位。qPCR 分析确定了异质性 VEGFR-2 和 PDGFR-β 的相对表达,样本中没有转录本或表达量很低,而这两个基因的相对定量较高。然后,我们使用免疫组化方法将 VEGFR-2 和 PDGFR-β 转录本的相对定量与各自较高的蛋白表达量联系起来,以验证我们的结果。下一步,我们评估了候选药物的重新定位,并确定了具有阻断 VEGFR-2 和 PDGFR-β 基因能力的小分子抑制剂(如索拉非尼)和天然化合物(姜黄素和白藜芦醇)。总之,我们的研究结果表明,犬 HSA 样本中 VEGFR-2 和 PDGFR-β 的表达差异很大,不同的药物可以阻断这两种基因的表达。因此,个性化方法有助于选择抗 VEGFR-2 和 PDGFR-β 疗法,而且这两个基因也是未来肿瘤组的潜在候选基因。
本文章由计算机程序翻译,如有差异,请以英文原文为准。

Analysis of VEGFR-2 and PDGFR-β expression in canine splenic hemangiosarcoma to identify drug repositioning candidates.

Analysis of VEGFR-2 and PDGFR-β expression in canine splenic hemangiosarcoma to identify drug repositioning candidates.

Analysis of VEGFR-2 and PDGFR-β expression in canine splenic hemangiosarcoma to identify drug repositioning candidates.

Analysis of VEGFR-2 and PDGFR-β expression in canine splenic hemangiosarcoma to identify drug repositioning candidates.

Splenic tumors are very common in dogs, and canine hemangiosarcoma (HSA) is one of the most important malignant splenic tumors. Surgery followed by chemotherapy (anthracycline-based protocols) is recommended for treating canine HSA; however, patients still do not achieve long-term survival. Therefore, this research aimed to assess vascular endothelial growth factor receptor-2 (VEGFR-2) and platelet-derived growth factor receptor-β (PDGFR-β) gene expression in formalin-fixed tissues, evaluate the quality of mRNA for quantitative polymerase chain reaction (qPCR) analysis and identify drug repositioning candidates based on VEGFR-2 and PDGFR-β. qPCR analysis identified the relative expression of heterogeneous VEGFR-2 and PDGFR-β, with samples showing no transcripts or very low expression and those with higher relative quantification for both genes. We then used immunohistochemistry to correlate the relative quantification of VEGFR-2 and PDGFR-β transcripts with respective higher protein expression to validate our results. In the next step, we evaluated drug repositioning candidates and identified small molecule inhibitors (i.e. sorafenib) and natural compounds (curcumin and resveratrol) with the ability to block VEGFR-2 and PDGFR-β genes. Overall, our results indicated that VEGFR-2 and PDGFR-β expression is highly variable among canine HSA samples and different drugs can block the expression of both genes. Therefore, a personalized approach could be useful for selecting anti-VEGFR-2 and PDGFR-β therapies and both genes are potential candidates for future oncological panels.

求助全文
通过发布文献求助,成功后即可免费获取论文全文。 去求助
来源期刊
自引率
0.00%
发文量
0
×
引用
GB/T 7714-2015
复制
MLA
复制
APA
复制
导出至
BibTeX EndNote RefMan NoteFirst NoteExpress
×
提示
您的信息不完整,为了账户安全,请先补充。
现在去补充
×
提示
您因"违规操作"
具体请查看互助需知
我知道了
×
提示
确定
请完成安全验证×
copy
已复制链接
快去分享给好友吧!
我知道了
右上角分享
点击右上角分享
0
联系我们:info@booksci.cn Book学术提供免费学术资源搜索服务,方便国内外学者检索中英文文献。致力于提供最便捷和优质的服务体验。 Copyright © 2023 布克学术 All rights reserved.
京ICP备2023020795号-1
ghs 京公网安备 11010802042870号
Book学术文献互助
Book学术文献互助群
群 号:604180095
Book学术官方微信