上气道尺寸与颅面形态:使用锥形束计算机断层扫描进行相关性研究。

IF 2.3 3区 医学 Q1 DENTISTRY, ORAL SURGERY & MEDICINE
Korean Journal of Orthodontics Pub Date : 2024-09-25 Epub Date: 2024-08-12 DOI:10.4041/kjod23.206
Ana Rita da Rocha Martins de Carvalho, Maria Cristina Figueiredo Pollmann, Eugénio Joaquim Pereira Martins
{"title":"上气道尺寸与颅面形态:使用锥形束计算机断层扫描进行相关性研究。","authors":"Ana Rita da Rocha Martins de Carvalho, Maria Cristina Figueiredo Pollmann, Eugénio Joaquim Pereira Martins","doi":"10.4041/kjod23.206","DOIUrl":null,"url":null,"abstract":"<p><strong>Objective: </strong>To determine the correlation between dentoskeletal parameters related to craniofacial morphology and the upper airway (UA) volume.</p><p><strong>Methods: </strong>Cone-beam computed tomography images of 106 randomly selected orthodontic patients were analyzed using NemoFab Ortho software. The dentoskeletal variables assessed were anterior facial height (AFH), posterior facial height (PFH), PFH/AFH ratio, hyoid position, maxillary width (MW), and palatal depth. The UA volume (evaluation in anatomical regions and as a whole) was also assessed using the same software. We also evaluated potential differences in UA variables between age and sex groups. The correlation between the dentoskeletal parameters and UA volume was calculated using the Pearson correlation coefficient (R). Analysis of variance and Student's t test were performed to assess differences between age and sex for UA variables. Statistical analyses were performed using SPSS software (version 26 for Windows).</p><p><strong>Results: </strong>This study found that PFH, AFH, and MW were the dentoskeletal parameters most strongly correlated with UA volume. However, the ANB angle did not show any significant correlation with UA volume. Additionally, differences in UA volumes were observed between age groups. Sex differences were found in both the \"8-12\" and \"≥ 16\" age groups for oropharyngeal and pharyngeal volumes.</p><p><strong>Conclusions: </strong>In conclusion, our findings indicate a significant correlation between UA volume and dentoskeletal parameters, particularly those related to facial height and MW.</p>","PeriodicalId":51260,"journal":{"name":"Korean Journal of Orthodontics","volume":" ","pages":"274-283"},"PeriodicalIF":2.3000,"publicationDate":"2024-09-25","publicationTypes":"Journal Article","fieldsOfStudy":null,"isOpenAccess":false,"openAccessPdf":"https://www.ncbi.nlm.nih.gov/pmc/articles/PMC11422678/pdf/","citationCount":"0","resultStr":"{\"title\":\"Upper airway dimensions and craniofacial morphology: A correlation study using cone beam computed tomography.\",\"authors\":\"Ana Rita da Rocha Martins de Carvalho, Maria Cristina Figueiredo Pollmann, Eugénio Joaquim Pereira Martins\",\"doi\":\"10.4041/kjod23.206\",\"DOIUrl\":null,\"url\":null,\"abstract\":\"<p><strong>Objective: </strong>To determine the correlation between dentoskeletal parameters related to craniofacial morphology and the upper airway (UA) volume.</p><p><strong>Methods: </strong>Cone-beam computed tomography images of 106 randomly selected orthodontic patients were analyzed using NemoFab Ortho software. The dentoskeletal variables assessed were anterior facial height (AFH), posterior facial height (PFH), PFH/AFH ratio, hyoid position, maxillary width (MW), and palatal depth. The UA volume (evaluation in anatomical regions and as a whole) was also assessed using the same software. We also evaluated potential differences in UA variables between age and sex groups. The correlation between the dentoskeletal parameters and UA volume was calculated using the Pearson correlation coefficient (R). Analysis of variance and Student's t test were performed to assess differences between age and sex for UA variables. Statistical analyses were performed using SPSS software (version 26 for Windows).</p><p><strong>Results: </strong>This study found that PFH, AFH, and MW were the dentoskeletal parameters most strongly correlated with UA volume. However, the ANB angle did not show any significant correlation with UA volume. Additionally, differences in UA volumes were observed between age groups. Sex differences were found in both the \\\"8-12\\\" and \\\"≥ 16\\\" age groups for oropharyngeal and pharyngeal volumes.</p><p><strong>Conclusions: </strong>In conclusion, our findings indicate a significant correlation between UA volume and dentoskeletal parameters, particularly those related to facial height and MW.</p>\",\"PeriodicalId\":51260,\"journal\":{\"name\":\"Korean Journal of Orthodontics\",\"volume\":\" \",\"pages\":\"274-283\"},\"PeriodicalIF\":2.3000,\"publicationDate\":\"2024-09-25\",\"publicationTypes\":\"Journal Article\",\"fieldsOfStudy\":null,\"isOpenAccess\":false,\"openAccessPdf\":\"https://www.ncbi.nlm.nih.gov/pmc/articles/PMC11422678/pdf/\",\"citationCount\":\"0\",\"resultStr\":null,\"platform\":\"Semanticscholar\",\"paperid\":null,\"PeriodicalName\":\"Korean Journal of Orthodontics\",\"FirstCategoryId\":\"3\",\"ListUrlMain\":\"https://doi.org/10.4041/kjod23.206\",\"RegionNum\":3,\"RegionCategory\":\"医学\",\"ArticlePicture\":[],\"TitleCN\":null,\"AbstractTextCN\":null,\"PMCID\":null,\"EPubDate\":\"2024/8/12 0:00:00\",\"PubModel\":\"Epub\",\"JCR\":\"Q1\",\"JCRName\":\"DENTISTRY, ORAL SURGERY & MEDICINE\",\"Score\":null,\"Total\":0}","platform":"Semanticscholar","paperid":null,"PeriodicalName":"Korean Journal of Orthodontics","FirstCategoryId":"3","ListUrlMain":"https://doi.org/10.4041/kjod23.206","RegionNum":3,"RegionCategory":"医学","ArticlePicture":[],"TitleCN":null,"AbstractTextCN":null,"PMCID":null,"EPubDate":"2024/8/12 0:00:00","PubModel":"Epub","JCR":"Q1","JCRName":"DENTISTRY, ORAL SURGERY & MEDICINE","Score":null,"Total":0}
引用次数: 0

摘要

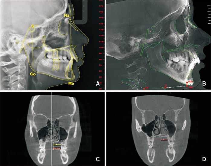
目的方法:使用 NemoFab Ortho 软件分析随机选取的 106 名正畸患者的锥形束计算机断层扫描图像:方法:使用 NemoFab Ortho 软件分析了随机抽取的 106 名正畸患者的锥形束计算机断层扫描图像。评估的牙齿骨骼变量包括面部前高(AFH)、面部后高(PFH)、PFH/AFH 比值、舌骨位置、上颌宽度(MW)和腭深。我们还使用相同的软件评估了 UA 体积(按解剖区域和整体进行评估)。我们还评估了不同年龄组和性别组之间 UA 变量的潜在差异。我们使用皮尔逊相关系数(R)计算了牙骨质参数和 UA 体积之间的相关性。方差分析和学生 t 检验用于评估不同年龄和性别间 UA 变量的差异。统计分析使用 SPSS 软件(Windows 版本 26)进行:该研究发现,PFH、AFH 和 MW 是与 UA 体积最密切相关的牙骨质参数。然而,ANB 角与 UA 体积没有明显的相关性。此外,不同年龄组的 UA 体积也存在差异。在 "8-12 "和"≥16 "年龄组中,口咽和咽部体积均存在性别差异:总之,我们的研究结果表明,UA体积与牙齿骨骼参数之间存在显著相关性,尤其是与面部高度和MW相关的参数。
本文章由计算机程序翻译,如有差异,请以英文原文为准。

Upper airway dimensions and craniofacial morphology: A correlation study using cone beam computed tomography.

Upper airway dimensions and craniofacial morphology: A correlation study using cone beam computed tomography.

Upper airway dimensions and craniofacial morphology: A correlation study using cone beam computed tomography.

Upper airway dimensions and craniofacial morphology: A correlation study using cone beam computed tomography.

Objective: To determine the correlation between dentoskeletal parameters related to craniofacial morphology and the upper airway (UA) volume.

Methods: Cone-beam computed tomography images of 106 randomly selected orthodontic patients were analyzed using NemoFab Ortho software. The dentoskeletal variables assessed were anterior facial height (AFH), posterior facial height (PFH), PFH/AFH ratio, hyoid position, maxillary width (MW), and palatal depth. The UA volume (evaluation in anatomical regions and as a whole) was also assessed using the same software. We also evaluated potential differences in UA variables between age and sex groups. The correlation between the dentoskeletal parameters and UA volume was calculated using the Pearson correlation coefficient (R). Analysis of variance and Student's t test were performed to assess differences between age and sex for UA variables. Statistical analyses were performed using SPSS software (version 26 for Windows).

Results: This study found that PFH, AFH, and MW were the dentoskeletal parameters most strongly correlated with UA volume. However, the ANB angle did not show any significant correlation with UA volume. Additionally, differences in UA volumes were observed between age groups. Sex differences were found in both the "8-12" and "≥ 16" age groups for oropharyngeal and pharyngeal volumes.

Conclusions: In conclusion, our findings indicate a significant correlation between UA volume and dentoskeletal parameters, particularly those related to facial height and MW.

求助全文
通过发布文献求助,成功后即可免费获取论文全文。 去求助
来源期刊
Korean Journal of Orthodontics
Korean Journal of Orthodontics DENTISTRY, ORAL SURGERY & MEDICINE-
CiteScore
3.50
自引率
10.50%
发文量
48
审稿时长
>12 weeks
期刊介绍: The Korean Journal of Orthodontics (KJO) is an international, open access, peer reviewed journal published in January, March, May, July, September, and November each year. It was first launched in 1970 and, as the official scientific publication of Korean Association of Orthodontists, KJO aims to publish high quality clinical and scientific original research papers in all areas related to orthodontics and dentofacial orthopedics. Specifically, its interest focuses on evidence-based investigations of contemporary diagnostic procedures and treatment techniques, expanding to significant clinical reports of diverse treatment approaches. The scope of KJO covers all areas of orthodontics and dentofacial orthopedics including successful diagnostic procedures and treatment planning, growth and development of the face and its clinical implications, appliance designs, biomechanics, TMJ disorders and adult treatment. Specifically, its latest interest focuses on skeletal anchorage devices, orthodontic appliance and biomaterials, 3 dimensional imaging techniques utilized for dentofacial diagnosis and treatment planning, and orthognathic surgery to correct skeletal disharmony in association of orthodontic treatment.
×
引用
GB/T 7714-2015
复制
MLA
复制
APA
复制
导出至
BibTeX EndNote RefMan NoteFirst NoteExpress
×
提示
您的信息不完整,为了账户安全,请先补充。
现在去补充
×
提示
您因"违规操作"
具体请查看互助需知
我知道了
×
提示
确定
请完成安全验证×
copy
已复制链接
快去分享给好友吧!
我知道了
右上角分享
点击右上角分享
0
联系我们:info@booksci.cn Book学术提供免费学术资源搜索服务,方便国内外学者检索中英文文献。致力于提供最便捷和优质的服务体验。 Copyright © 2023 布克学术 All rights reserved.
京ICP备2023020795号-1
ghs 京公网安备 11010802042870号
Book学术文献互助
Book学术文献互助群
群 号:604180095
Book学术官方微信