药物洗脱珠经动脉化疗栓塞治疗肝细胞癌患者血管湖现象的潜在预测因素--肿瘤直径和增强囊以及先前的介入治疗。

IF 1.3 Q3 RADIOLOGY, NUCLEAR MEDICINE & MEDICAL IMAGING
Journal of Clinical Imaging Science Pub Date : 2024-08-10 eCollection Date: 2024-01-01 DOI:10.25259/JCIS_66_2024
Kento Hatakeyama, Tomoki Tozawa, Yuki Wada, Motoko Konno, Masazumi Matsuda, Takahiro Otani, Shinichiro Minami, Wataru Sato, Kyoko Nomura, Katsunori Iijima, Naoko Mori
{"title":"药物洗脱珠经动脉化疗栓塞治疗肝细胞癌患者血管湖现象的潜在预测因素--肿瘤直径和增强囊以及先前的介入治疗。","authors":"Kento Hatakeyama, Tomoki Tozawa, Yuki Wada, Motoko Konno, Masazumi Matsuda, Takahiro Otani, Shinichiro Minami, Wataru Sato, Kyoko Nomura, Katsunori Iijima, Naoko Mori","doi":"10.25259/JCIS_66_2024","DOIUrl":null,"url":null,"abstract":"<p><strong>Objectives: </strong>The initial drug-eluting bead (DEB)-transarterial chemoembolization (TACE) are often performed after multiple sessions of transarterial infusion chemotherapy (TAI) or conventional TACE. The purpose of our study was to evaluate the factors associated with the occurrence of vascular lake phenomenon (VLP) during DEB-TACE, considering the previous interventional treatments.</p><p><strong>Material and methods: </strong>Forty-nine initial DEB-TACE procedures in 49 patients between November 2010 and April 2024 were included in this retrospective study. VLP was defined as a localized pooling of contrast agents within the tumor in the venous phase of digital subtraction angiography. The laboratory data, pre-treatment imaging findings such as the maximum tumor diameter (≥3 cm or <3 cm) and the presence of enhancing capsule obtained from computed tomography or magnetic resonance imaging, size of DEBs, and loading drugs, the total number of previous interventional treatments were recorded and compared between VLP occurrence and VLP non-occurrence groups. The multivariate logistic regression analysis was performed to explore the association of factors in predicting VLP occurrence.</p><p><strong>Results: </strong>VLP was observed in 16 patients (32.65%) out of 49 patients. The maximum tumor diameter (≥3 cm) and the presence of the enhancing capsule were significantly higher, and the total number of previous interventional treatments was significantly smaller in the VLP occurrence group than in the VLP non-occurrence group (<i>P</i> = 0.0006, 0.0007, and 0.0003). In multivariate analysis, the maximum tumor diameter, the presence of the enhancing capsule, and the total number of previous interventional treatments were significantly associated with the occurrence of VLP (<i>P</i> = 0.0048, 0.0093, and 0.047).</p><p><strong>Conclusion: </strong>Our study confirmed that the reported risk factor, the maximum tumor diameter, and the enhancing capsule were significantly related to the occurrence of VLP in DEB-TACE. Further, the occurrence of VLP might be carefully considered when the number of previous interventional treatments is small.</p>","PeriodicalId":15512,"journal":{"name":"Journal of Clinical Imaging Science","volume":"14 ","pages":"29"},"PeriodicalIF":1.3000,"publicationDate":"2024-08-10","publicationTypes":"Journal Article","fieldsOfStudy":null,"isOpenAccess":false,"openAccessPdf":"https://www.ncbi.nlm.nih.gov/pmc/articles/PMC11301804/pdf/","citationCount":"0","resultStr":"{\"title\":\"Tumor diameter and enhancing capsule, as well as previous interventional treatments, as potential predictors of vascular lake phenomenon in hepatocellular carcinoma patients treated with drug-eluting beads transarterial chemoembolization.\",\"authors\":\"Kento Hatakeyama, Tomoki Tozawa, Yuki Wada, Motoko Konno, Masazumi Matsuda, Takahiro Otani, Shinichiro Minami, Wataru Sato, Kyoko Nomura, Katsunori Iijima, Naoko Mori\",\"doi\":\"10.25259/JCIS_66_2024\",\"DOIUrl\":null,\"url\":null,\"abstract\":\"<p><strong>Objectives: </strong>The initial drug-eluting bead (DEB)-transarterial chemoembolization (TACE) are often performed after multiple sessions of transarterial infusion chemotherapy (TAI) or conventional TACE. The purpose of our study was to evaluate the factors associated with the occurrence of vascular lake phenomenon (VLP) during DEB-TACE, considering the previous interventional treatments.</p><p><strong>Material and methods: </strong>Forty-nine initial DEB-TACE procedures in 49 patients between November 2010 and April 2024 were included in this retrospective study. VLP was defined as a localized pooling of contrast agents within the tumor in the venous phase of digital subtraction angiography. The laboratory data, pre-treatment imaging findings such as the maximum tumor diameter (≥3 cm or <3 cm) and the presence of enhancing capsule obtained from computed tomography or magnetic resonance imaging, size of DEBs, and loading drugs, the total number of previous interventional treatments were recorded and compared between VLP occurrence and VLP non-occurrence groups. The multivariate logistic regression analysis was performed to explore the association of factors in predicting VLP occurrence.</p><p><strong>Results: </strong>VLP was observed in 16 patients (32.65%) out of 49 patients. The maximum tumor diameter (≥3 cm) and the presence of the enhancing capsule were significantly higher, and the total number of previous interventional treatments was significantly smaller in the VLP occurrence group than in the VLP non-occurrence group (<i>P</i> = 0.0006, 0.0007, and 0.0003). In multivariate analysis, the maximum tumor diameter, the presence of the enhancing capsule, and the total number of previous interventional treatments were significantly associated with the occurrence of VLP (<i>P</i> = 0.0048, 0.0093, and 0.047).</p><p><strong>Conclusion: </strong>Our study confirmed that the reported risk factor, the maximum tumor diameter, and the enhancing capsule were significantly related to the occurrence of VLP in DEB-TACE. Further, the occurrence of VLP might be carefully considered when the number of previous interventional treatments is small.</p>\",\"PeriodicalId\":15512,\"journal\":{\"name\":\"Journal of Clinical Imaging Science\",\"volume\":\"14 \",\"pages\":\"29\"},\"PeriodicalIF\":1.3000,\"publicationDate\":\"2024-08-10\",\"publicationTypes\":\"Journal Article\",\"fieldsOfStudy\":null,\"isOpenAccess\":false,\"openAccessPdf\":\"https://www.ncbi.nlm.nih.gov/pmc/articles/PMC11301804/pdf/\",\"citationCount\":\"0\",\"resultStr\":null,\"platform\":\"Semanticscholar\",\"paperid\":null,\"PeriodicalName\":\"Journal of Clinical Imaging Science\",\"FirstCategoryId\":\"1085\",\"ListUrlMain\":\"https://doi.org/10.25259/JCIS_66_2024\",\"RegionNum\":0,\"RegionCategory\":null,\"ArticlePicture\":[],\"TitleCN\":null,\"AbstractTextCN\":null,\"PMCID\":null,\"EPubDate\":\"2024/1/1 0:00:00\",\"PubModel\":\"eCollection\",\"JCR\":\"Q3\",\"JCRName\":\"RADIOLOGY, NUCLEAR MEDICINE & MEDICAL IMAGING\",\"Score\":null,\"Total\":0}","platform":"Semanticscholar","paperid":null,"PeriodicalName":"Journal of Clinical Imaging Science","FirstCategoryId":"1085","ListUrlMain":"https://doi.org/10.25259/JCIS_66_2024","RegionNum":0,"RegionCategory":null,"ArticlePicture":[],"TitleCN":null,"AbstractTextCN":null,"PMCID":null,"EPubDate":"2024/1/1 0:00:00","PubModel":"eCollection","JCR":"Q3","JCRName":"RADIOLOGY, NUCLEAR MEDICINE & MEDICAL IMAGING","Score":null,"Total":0}
引用次数: 0

摘要

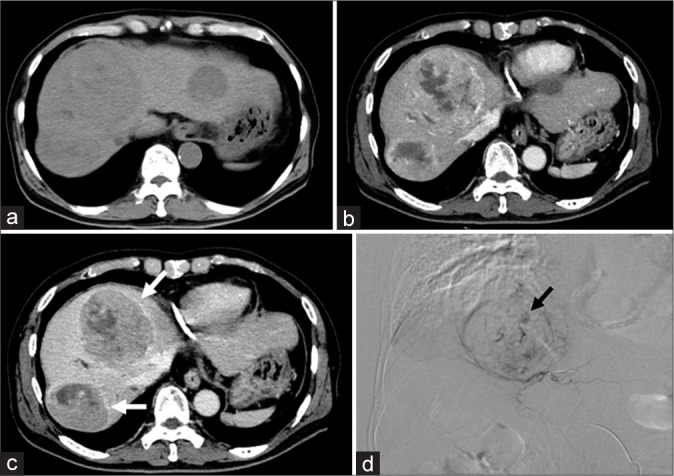
目的:最初的药物洗脱珠(DEB)-经动脉化疗栓塞(TACE)通常是在多次经动脉灌注化疗(TAI)或传统TACE之后进行的。我们的研究旨在评估在DEB-TACE期间发生血管湖现象(VLP)的相关因素,同时考虑之前的介入治疗:这项回顾性研究纳入了 2010 年 11 月至 2024 年 4 月期间 49 名患者的 49 例初次 DEB-TACE 手术。VLP被定义为数字减影血管造影静脉期造影剂在肿瘤内的局部聚集。实验室数据、治疗前的影像学检查结果,如肿瘤最大直径(≥3 厘米)或结果:49名患者中有16名(32.65%)观察到VLP。发生 VLP 组的肿瘤最大直径(≥3 厘米)和增强囊的存在明显高于未发生 VLP 组(P = 0.0006、0.0007 和 0.0003),既往介入治疗的总次数也明显少于未发生 VLP 组(P = 0.0006、0.0007 和 0.0003)。在多变量分析中,肿瘤最大直径、增强囊的存在以及既往介入治疗的总次数与VLP的发生明显相关(P = 0.0048、0.0093和0.047):我们的研究证实,报告的危险因素、肿瘤最大直径和增强囊与 DEB-TACE VLP 的发生显著相关。此外,当既往介入治疗次数较少时,应慎重考虑 VLP 的发生。
本文章由计算机程序翻译,如有差异,请以英文原文为准。

Tumor diameter and enhancing capsule, as well as previous interventional treatments, as potential predictors of vascular lake phenomenon in hepatocellular carcinoma patients treated with drug-eluting beads transarterial chemoembolization.

Tumor diameter and enhancing capsule, as well as previous interventional treatments, as potential predictors of vascular lake phenomenon in hepatocellular carcinoma patients treated with drug-eluting beads transarterial chemoembolization.

Tumor diameter and enhancing capsule, as well as previous interventional treatments, as potential predictors of vascular lake phenomenon in hepatocellular carcinoma patients treated with drug-eluting beads transarterial chemoembolization.

Objectives: The initial drug-eluting bead (DEB)-transarterial chemoembolization (TACE) are often performed after multiple sessions of transarterial infusion chemotherapy (TAI) or conventional TACE. The purpose of our study was to evaluate the factors associated with the occurrence of vascular lake phenomenon (VLP) during DEB-TACE, considering the previous interventional treatments.

Material and methods: Forty-nine initial DEB-TACE procedures in 49 patients between November 2010 and April 2024 were included in this retrospective study. VLP was defined as a localized pooling of contrast agents within the tumor in the venous phase of digital subtraction angiography. The laboratory data, pre-treatment imaging findings such as the maximum tumor diameter (≥3 cm or <3 cm) and the presence of enhancing capsule obtained from computed tomography or magnetic resonance imaging, size of DEBs, and loading drugs, the total number of previous interventional treatments were recorded and compared between VLP occurrence and VLP non-occurrence groups. The multivariate logistic regression analysis was performed to explore the association of factors in predicting VLP occurrence.

Results: VLP was observed in 16 patients (32.65%) out of 49 patients. The maximum tumor diameter (≥3 cm) and the presence of the enhancing capsule were significantly higher, and the total number of previous interventional treatments was significantly smaller in the VLP occurrence group than in the VLP non-occurrence group (P = 0.0006, 0.0007, and 0.0003). In multivariate analysis, the maximum tumor diameter, the presence of the enhancing capsule, and the total number of previous interventional treatments were significantly associated with the occurrence of VLP (P = 0.0048, 0.0093, and 0.047).

Conclusion: Our study confirmed that the reported risk factor, the maximum tumor diameter, and the enhancing capsule were significantly related to the occurrence of VLP in DEB-TACE. Further, the occurrence of VLP might be carefully considered when the number of previous interventional treatments is small.

求助全文
通过发布文献求助,成功后即可免费获取论文全文。 去求助
来源期刊
Journal of Clinical Imaging Science
Journal of Clinical Imaging Science RADIOLOGY, NUCLEAR MEDICINE & MEDICAL IMAGING-
CiteScore
2.00
自引率
0.00%
发文量
65
期刊介绍: The Journal of Clinical Imaging Science (JCIS) is an open access peer-reviewed journal committed to publishing high-quality articles in the field of Imaging Science. The journal aims to present Imaging Science and relevant clinical information in an understandable and useful format. The journal is owned and published by the Scientific Scholar. Audience Our audience includes Radiologists, Researchers, Clinicians, medical professionals and students. Review process JCIS has a highly rigorous peer-review process that makes sure that manuscripts are scientifically accurate, relevant, novel and important. Authors disclose all conflicts, affiliations and financial associations such that the published content is not biased.
×
引用
GB/T 7714-2015
复制
MLA
复制
APA
复制
导出至
BibTeX EndNote RefMan NoteFirst NoteExpress
×
提示
您的信息不完整,为了账户安全,请先补充。
现在去补充
×
提示
您因"违规操作"
具体请查看互助需知
我知道了
×
提示
确定
请完成安全验证×
copy
已复制链接
快去分享给好友吧!
我知道了
右上角分享
点击右上角分享
0
联系我们:info@booksci.cn Book学术提供免费学术资源搜索服务,方便国内外学者检索中英文文献。致力于提供最便捷和优质的服务体验。 Copyright © 2023 布克学术 All rights reserved.
京ICP备2023020795号-1
ghs 京公网安备 11010802042870号
Book学术文献互助
Book学术文献互助群
群 号:604180095
Book学术官方微信