p16 的细胞质表达与乳腺癌有关:并非伪证

Q3 Medicine
Iranian Journal of Pathology Pub Date : 2024-01-01 Epub Date: 2024-02-15 DOI:10.30699/IJP.2024.2006691.3186
Sudipta Naskar, Nadeem Tanveer, Sonal Sharma, Navneet Kaur
{"title":"p16 的细胞质表达与乳腺癌有关:并非伪证","authors":"Sudipta Naskar, Nadeem Tanveer, Sonal Sharma, Navneet Kaur","doi":"10.30699/IJP.2024.2006691.3186","DOIUrl":null,"url":null,"abstract":"<p><strong>Background & objective: </strong>p16 has different roles in the nuclear and cytoplasmic locations. The nuclear localization of the p16 protein explains its role in cell cycle regulation. Cytoplasmic expression was considered an artifact in the initial years, but there is evidence to prove that cytoplasmic localization is real and that p16 has different roles in the nuclear and cytoplasmic locations. We aimed to study the immunoexpression of p16 protein in the nuclear and cytoplasmic locations of the epithelial and stromal compartments of fibroadenoma, invasive breast carcinoma, and a select number of phyllodes tumors.</p><p><strong>Methods: </strong>The study included a total of 107 patients, comprising 51 cases of invasive breast carcinoma, 51 cases of fibroadenoma, 4 cases of benign phyllodes tumors, and 1 case of lobular carcinoma in situ (LCIS). The p16 immunohistochemistry was evaluated for nuclear and cytoplasmic localization in the epithelial and stromal compartments of the tumors.</p><p><strong>Results: </strong>Of the 51 fibroadenoma cases, 23 showed strong nuclear p16 epithelial expression, but no case showed cytoplasmic expression. In 19/51 cases, stromal cells also showed strong p16 nuclear expression. Moderate stromal p16 expression was observed in 3 out of 4 cases of benign phyllodes. Out of the 51 cases of invasive carcinoma, 31 showed moderate to strong nuclear p16 immunopositivity, while 27 cases exhibited cytoplasmic p16 expression. We found a statistically significant correlation between moderate to strong nuclear p16 immunoexpression and the molecular subtype of breast carcinoma.</p><p><strong>Conclusion: </strong>The cytoplasmic localization of p16 immunohistochemistry is not seen in epithelial components of fibroadenoma, while it is seen frequently in breast carcinoma. Nuclear p16 expression has a statistically significant correlation with molecular subtypes of breast carcinoma.</p>","PeriodicalId":38900,"journal":{"name":"Iranian Journal of Pathology","volume":"19 2","pages":"160-169"},"PeriodicalIF":0.0000,"publicationDate":"2024-01-01","publicationTypes":"Journal Article","fieldsOfStudy":null,"isOpenAccess":false,"openAccessPdf":"https://www.ncbi.nlm.nih.gov/pmc/articles/PMC11304457/pdf/","citationCount":"0","resultStr":"{\"title\":\"Cytoplasmic Expression of p16 Is Associated with Carcinoma Breast: It Is Not an Artifact.\",\"authors\":\"Sudipta Naskar, Nadeem Tanveer, Sonal Sharma, Navneet Kaur\",\"doi\":\"10.30699/IJP.2024.2006691.3186\",\"DOIUrl\":null,\"url\":null,\"abstract\":\"<p><strong>Background & objective: </strong>p16 has different roles in the nuclear and cytoplasmic locations. The nuclear localization of the p16 protein explains its role in cell cycle regulation. Cytoplasmic expression was considered an artifact in the initial years, but there is evidence to prove that cytoplasmic localization is real and that p16 has different roles in the nuclear and cytoplasmic locations. We aimed to study the immunoexpression of p16 protein in the nuclear and cytoplasmic locations of the epithelial and stromal compartments of fibroadenoma, invasive breast carcinoma, and a select number of phyllodes tumors.</p><p><strong>Methods: </strong>The study included a total of 107 patients, comprising 51 cases of invasive breast carcinoma, 51 cases of fibroadenoma, 4 cases of benign phyllodes tumors, and 1 case of lobular carcinoma in situ (LCIS). The p16 immunohistochemistry was evaluated for nuclear and cytoplasmic localization in the epithelial and stromal compartments of the tumors.</p><p><strong>Results: </strong>Of the 51 fibroadenoma cases, 23 showed strong nuclear p16 epithelial expression, but no case showed cytoplasmic expression. In 19/51 cases, stromal cells also showed strong p16 nuclear expression. Moderate stromal p16 expression was observed in 3 out of 4 cases of benign phyllodes. Out of the 51 cases of invasive carcinoma, 31 showed moderate to strong nuclear p16 immunopositivity, while 27 cases exhibited cytoplasmic p16 expression. We found a statistically significant correlation between moderate to strong nuclear p16 immunoexpression and the molecular subtype of breast carcinoma.</p><p><strong>Conclusion: </strong>The cytoplasmic localization of p16 immunohistochemistry is not seen in epithelial components of fibroadenoma, while it is seen frequently in breast carcinoma. Nuclear p16 expression has a statistically significant correlation with molecular subtypes of breast carcinoma.</p>\",\"PeriodicalId\":38900,\"journal\":{\"name\":\"Iranian Journal of Pathology\",\"volume\":\"19 2\",\"pages\":\"160-169\"},\"PeriodicalIF\":0.0000,\"publicationDate\":\"2024-01-01\",\"publicationTypes\":\"Journal Article\",\"fieldsOfStudy\":null,\"isOpenAccess\":false,\"openAccessPdf\":\"https://www.ncbi.nlm.nih.gov/pmc/articles/PMC11304457/pdf/\",\"citationCount\":\"0\",\"resultStr\":null,\"platform\":\"Semanticscholar\",\"paperid\":null,\"PeriodicalName\":\"Iranian Journal of Pathology\",\"FirstCategoryId\":\"1085\",\"ListUrlMain\":\"https://doi.org/10.30699/IJP.2024.2006691.3186\",\"RegionNum\":0,\"RegionCategory\":null,\"ArticlePicture\":[],\"TitleCN\":null,\"AbstractTextCN\":null,\"PMCID\":null,\"EPubDate\":\"2024/2/15 0:00:00\",\"PubModel\":\"Epub\",\"JCR\":\"Q3\",\"JCRName\":\"Medicine\",\"Score\":null,\"Total\":0}","platform":"Semanticscholar","paperid":null,"PeriodicalName":"Iranian Journal of Pathology","FirstCategoryId":"1085","ListUrlMain":"https://doi.org/10.30699/IJP.2024.2006691.3186","RegionNum":0,"RegionCategory":null,"ArticlePicture":[],"TitleCN":null,"AbstractTextCN":null,"PMCID":null,"EPubDate":"2024/2/15 0:00:00","PubModel":"Epub","JCR":"Q3","JCRName":"Medicine","Score":null,"Total":0}
引用次数: 0

摘要

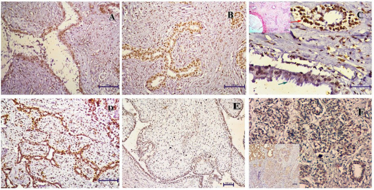
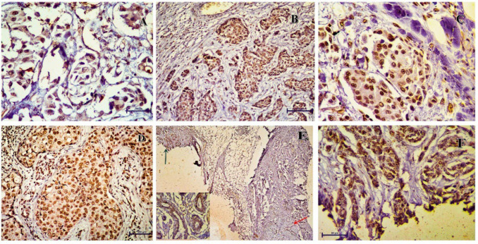
背景与目的:p16 在细胞核和细胞质中具有不同的作用。p16 蛋白的核定位解释了它在细胞周期调控中的作用。细胞质表达在最初几年被认为是一种假象,但有证据证明细胞质定位是真实的,而且 p16 在细胞核和细胞质中具有不同的作用。我们的目的是研究 p16 蛋白在纤维腺瘤、浸润性乳腺癌和部分植物瘤的上皮细胞和基质细胞的核和胞浆位置的免疫表达:研究共纳入 107 例患者,包括 51 例浸润性乳腺癌、51 例纤维腺瘤、4 例良性梭形细胞瘤和 1 例小叶原位癌(LCIS)。对肿瘤上皮和基质中的 p16 免疫组化进行了细胞核和细胞质定位评估:结果:在51个纤维腺瘤病例中,23个病例显示出p16上皮细胞强烈的核表达,但没有一个病例显示出细胞质表达。在 19/51 个病例中,基质细胞也显示出较强的 p16 核表达。在 4 例良性鳞状细胞瘤中,有 3 例观察到基质 p16 中度表达。在 51 例浸润性癌中,31 例显示中度到高度的 p16 核免疫阳性,27 例显示细胞质 p16 表达。我们发现,中度至高度的核 p16 免疫阳性与乳腺癌的分子亚型之间存在统计学意义上的显著相关性:结论:p16 免疫组化的胞浆定位在纤维腺瘤的上皮成分中并不常见,而在乳腺癌中却经常出现。核 p16 表达与乳腺癌的分子亚型有显著的统计学相关性。
本文章由计算机程序翻译,如有差异,请以英文原文为准。

Cytoplasmic Expression of p16 Is Associated with Carcinoma Breast: It Is Not an Artifact.

Cytoplasmic Expression of p16 Is Associated with Carcinoma Breast: It Is Not an Artifact.

Cytoplasmic Expression of p16 Is Associated with Carcinoma Breast: It Is Not an Artifact.

Background & objective: p16 has different roles in the nuclear and cytoplasmic locations. The nuclear localization of the p16 protein explains its role in cell cycle regulation. Cytoplasmic expression was considered an artifact in the initial years, but there is evidence to prove that cytoplasmic localization is real and that p16 has different roles in the nuclear and cytoplasmic locations. We aimed to study the immunoexpression of p16 protein in the nuclear and cytoplasmic locations of the epithelial and stromal compartments of fibroadenoma, invasive breast carcinoma, and a select number of phyllodes tumors.

Methods: The study included a total of 107 patients, comprising 51 cases of invasive breast carcinoma, 51 cases of fibroadenoma, 4 cases of benign phyllodes tumors, and 1 case of lobular carcinoma in situ (LCIS). The p16 immunohistochemistry was evaluated for nuclear and cytoplasmic localization in the epithelial and stromal compartments of the tumors.

Results: Of the 51 fibroadenoma cases, 23 showed strong nuclear p16 epithelial expression, but no case showed cytoplasmic expression. In 19/51 cases, stromal cells also showed strong p16 nuclear expression. Moderate stromal p16 expression was observed in 3 out of 4 cases of benign phyllodes. Out of the 51 cases of invasive carcinoma, 31 showed moderate to strong nuclear p16 immunopositivity, while 27 cases exhibited cytoplasmic p16 expression. We found a statistically significant correlation between moderate to strong nuclear p16 immunoexpression and the molecular subtype of breast carcinoma.

Conclusion: The cytoplasmic localization of p16 immunohistochemistry is not seen in epithelial components of fibroadenoma, while it is seen frequently in breast carcinoma. Nuclear p16 expression has a statistically significant correlation with molecular subtypes of breast carcinoma.

求助全文
通过发布文献求助,成功后即可免费获取论文全文。 去求助
来源期刊
Iranian Journal of Pathology
Iranian Journal of Pathology Medicine-Pathology and Forensic Medicine
CiteScore
2.00
自引率
0.00%
发文量
99
审稿时长
20 weeks
×
引用
GB/T 7714-2015
复制
MLA
复制
APA
复制
导出至
BibTeX EndNote RefMan NoteFirst NoteExpress
×
提示
您的信息不完整,为了账户安全,请先补充。
现在去补充
×
提示
您因"违规操作"
具体请查看互助需知
我知道了
×
提示
确定
请完成安全验证×
copy
已复制链接
快去分享给好友吧!
我知道了
右上角分享
点击右上角分享
0
联系我们:info@booksci.cn Book学术提供免费学术资源搜索服务,方便国内外学者检索中英文文献。致力于提供最便捷和优质的服务体验。 Copyright © 2023 布克学术 All rights reserved.
京ICP备2023020795号-1
ghs 京公网安备 11010802042870号
Book学术文献互助
Book学术文献互助群
群 号:604180095
Book学术官方微信