一名冯-希佩尔-林道氏病患者的临床 T1a 肾细胞癌伴有孤立的膈肌转移。

IF 1.9 Q3 ONCOLOGY
Journal of Kidney Cancer and VHL Pub Date : 2024-08-02 eCollection Date: 2024-01-01 DOI:10.15586/jkcvhl.v11i3.342
Tadataka Hirai, Mayu Uka, Toshihiro Iguchi, Kazuya Yasui, Takahiro Kawabata, Noriyuki Umakoshi, Koji Tomita, Yusuke Matsui, Yasuyuki Kobayashi, Motoo Araki, Takao Hiraki
{"title":"一名冯-希佩尔-林道氏病患者的临床 T1a 肾细胞癌伴有孤立的膈肌转移。","authors":"Tadataka Hirai, Mayu Uka, Toshihiro Iguchi, Kazuya Yasui, Takahiro Kawabata, Noriyuki Umakoshi, Koji Tomita, Yusuke Matsui, Yasuyuki Kobayashi, Motoo Araki, Takao Hiraki","doi":"10.15586/jkcvhl.v11i3.342","DOIUrl":null,"url":null,"abstract":"<p><p>We report the case of a 38-year-old man with two von Hippel-Lindau disease-associated T1a renal cell carcinomas (RCCs) (<2 cm in diameter) which developed into a 2.5-cm solitary diaphragmatic metastatic tumor. After diagnosis using percutaneous biopsy, the diaphragmatic metastasis and two RCCs were treated by laparoscopic resection and percutaneous cryoablation, respectively. One year after treatment, the patient survived without local recurrence or distant metastasis. This report describes a rare case of RCC metastasis in VHL disease and its treatment.</p>","PeriodicalId":44291,"journal":{"name":"Journal of Kidney Cancer and VHL","volume":"11 3","pages":"23-26"},"PeriodicalIF":1.9000,"publicationDate":"2024-08-02","publicationTypes":"Journal Article","fieldsOfStudy":null,"isOpenAccess":false,"openAccessPdf":"https://www.ncbi.nlm.nih.gov/pmc/articles/PMC11299040/pdf/","citationCount":"0","resultStr":"{\"title\":\"Clinical T1a Renal Cell Carcinoma with Solitary Diaphragmatic Metastasis in a Patient with von Hippel-Lindau Disease.\",\"authors\":\"Tadataka Hirai, Mayu Uka, Toshihiro Iguchi, Kazuya Yasui, Takahiro Kawabata, Noriyuki Umakoshi, Koji Tomita, Yusuke Matsui, Yasuyuki Kobayashi, Motoo Araki, Takao Hiraki\",\"doi\":\"10.15586/jkcvhl.v11i3.342\",\"DOIUrl\":null,\"url\":null,\"abstract\":\"<p><p>We report the case of a 38-year-old man with two von Hippel-Lindau disease-associated T1a renal cell carcinomas (RCCs) (<2 cm in diameter) which developed into a 2.5-cm solitary diaphragmatic metastatic tumor. After diagnosis using percutaneous biopsy, the diaphragmatic metastasis and two RCCs were treated by laparoscopic resection and percutaneous cryoablation, respectively. One year after treatment, the patient survived without local recurrence or distant metastasis. This report describes a rare case of RCC metastasis in VHL disease and its treatment.</p>\",\"PeriodicalId\":44291,\"journal\":{\"name\":\"Journal of Kidney Cancer and VHL\",\"volume\":\"11 3\",\"pages\":\"23-26\"},\"PeriodicalIF\":1.9000,\"publicationDate\":\"2024-08-02\",\"publicationTypes\":\"Journal Article\",\"fieldsOfStudy\":null,\"isOpenAccess\":false,\"openAccessPdf\":\"https://www.ncbi.nlm.nih.gov/pmc/articles/PMC11299040/pdf/\",\"citationCount\":\"0\",\"resultStr\":null,\"platform\":\"Semanticscholar\",\"paperid\":null,\"PeriodicalName\":\"Journal of Kidney Cancer and VHL\",\"FirstCategoryId\":\"1085\",\"ListUrlMain\":\"https://doi.org/10.15586/jkcvhl.v11i3.342\",\"RegionNum\":0,\"RegionCategory\":null,\"ArticlePicture\":[],\"TitleCN\":null,\"AbstractTextCN\":null,\"PMCID\":null,\"EPubDate\":\"2024/1/1 0:00:00\",\"PubModel\":\"eCollection\",\"JCR\":\"Q3\",\"JCRName\":\"ONCOLOGY\",\"Score\":null,\"Total\":0}","platform":"Semanticscholar","paperid":null,"PeriodicalName":"Journal of Kidney Cancer and VHL","FirstCategoryId":"1085","ListUrlMain":"https://doi.org/10.15586/jkcvhl.v11i3.342","RegionNum":0,"RegionCategory":null,"ArticlePicture":[],"TitleCN":null,"AbstractTextCN":null,"PMCID":null,"EPubDate":"2024/1/1 0:00:00","PubModel":"eCollection","JCR":"Q3","JCRName":"ONCOLOGY","Score":null,"Total":0}
引用次数: 0

摘要

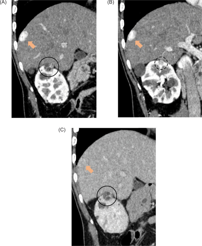
我们报告了一名 38 岁男性的病例,他患有两个与冯-希佩尔-林道病相关的 T1a 肾细胞癌(RCC)(见图 1)。
本文章由计算机程序翻译,如有差异,请以英文原文为准。

Clinical T1a Renal Cell Carcinoma with Solitary Diaphragmatic Metastasis in a Patient with von Hippel-Lindau Disease.

Clinical T1a Renal Cell Carcinoma with Solitary Diaphragmatic Metastasis in a Patient with von Hippel-Lindau Disease.

Clinical T1a Renal Cell Carcinoma with Solitary Diaphragmatic Metastasis in a Patient with von Hippel-Lindau Disease.

Clinical T1a Renal Cell Carcinoma with Solitary Diaphragmatic Metastasis in a Patient with von Hippel-Lindau Disease.

We report the case of a 38-year-old man with two von Hippel-Lindau disease-associated T1a renal cell carcinomas (RCCs) (<2 cm in diameter) which developed into a 2.5-cm solitary diaphragmatic metastatic tumor. After diagnosis using percutaneous biopsy, the diaphragmatic metastasis and two RCCs were treated by laparoscopic resection and percutaneous cryoablation, respectively. One year after treatment, the patient survived without local recurrence or distant metastasis. This report describes a rare case of RCC metastasis in VHL disease and its treatment.

求助全文
通过发布文献求助,成功后即可免费获取论文全文。 去求助
来源期刊
自引率
6.20%
发文量
22
审稿时长
4 weeks
×
引用
GB/T 7714-2015
复制
MLA
复制
APA
复制
导出至
BibTeX EndNote RefMan NoteFirst NoteExpress
×
提示
您的信息不完整,为了账户安全,请先补充。
现在去补充
×
提示
您因"违规操作"
具体请查看互助需知
我知道了
×
提示
确定
请完成安全验证×
copy
已复制链接
快去分享给好友吧!
我知道了
右上角分享
点击右上角分享
0
联系我们:info@booksci.cn Book学术提供免费学术资源搜索服务,方便国内外学者检索中英文文献。致力于提供最便捷和优质的服务体验。 Copyright © 2023 布克学术 All rights reserved.
京ICP备2023020795号-1
ghs 京公网安备 11010802042870号
Book学术文献互助
Book学术文献互助群
群 号:604180095
Book学术官方微信