模仿脂肪肉瘤的胰腺脂肪瘤性假肥大:病例报告。

IF 1 Q4 RADIOLOGY, NUCLEAR MEDICINE & MEDICAL IMAGING
Tomomi Kamimura, Takashi Katsube, Takeshi Nishi, Yasunari Kawabata, Yoshitsugu Tajima, Asuka Araki, Yasushi Kaji
{"title":"模仿脂肪肉瘤的胰腺脂肪瘤性假肥大:病例报告。","authors":"Tomomi Kamimura, Takashi Katsube, Takeshi Nishi, Yasunari Kawabata, Yoshitsugu Tajima, Asuka Araki, Yasushi Kaji","doi":"10.1177/20584601241259847","DOIUrl":null,"url":null,"abstract":"<p><p>Lipomatous pseudohypertrophy of the pancreas (LPH) is a rare disease in which the pancreatic parenchyma is replaced with mature adipose tissue. It is an idiopathic condition whose diagnosis is made based on histopathological analyses. Herein, we report the case of a 50-year-old male patient with a lipomatous mass in the head of the pancreas on computed tomography for close examination of a renal tumor. We suspected liposarcoma, and laparotomy was performed. However, histological analyses revealed LPH. Several imaging findings of LPH can enable a noninvasive diagnosis and help its clinical approach.</p>","PeriodicalId":72063,"journal":{"name":"Acta radiologica open","volume":"13 8","pages":"20584601241259847"},"PeriodicalIF":1.0000,"publicationDate":"2024-08-01","publicationTypes":"Journal Article","fieldsOfStudy":null,"isOpenAccess":false,"openAccessPdf":"https://www.ncbi.nlm.nih.gov/pmc/articles/PMC11292700/pdf/","citationCount":"0","resultStr":"{\"title\":\"Lipomatous pseudohypertrophy of the pancreas mimicking liposarcoma: A case report.\",\"authors\":\"Tomomi Kamimura, Takashi Katsube, Takeshi Nishi, Yasunari Kawabata, Yoshitsugu Tajima, Asuka Araki, Yasushi Kaji\",\"doi\":\"10.1177/20584601241259847\",\"DOIUrl\":null,\"url\":null,\"abstract\":\"<p><p>Lipomatous pseudohypertrophy of the pancreas (LPH) is a rare disease in which the pancreatic parenchyma is replaced with mature adipose tissue. It is an idiopathic condition whose diagnosis is made based on histopathological analyses. Herein, we report the case of a 50-year-old male patient with a lipomatous mass in the head of the pancreas on computed tomography for close examination of a renal tumor. We suspected liposarcoma, and laparotomy was performed. However, histological analyses revealed LPH. Several imaging findings of LPH can enable a noninvasive diagnosis and help its clinical approach.</p>\",\"PeriodicalId\":72063,\"journal\":{\"name\":\"Acta radiologica open\",\"volume\":\"13 8\",\"pages\":\"20584601241259847\"},\"PeriodicalIF\":1.0000,\"publicationDate\":\"2024-08-01\",\"publicationTypes\":\"Journal Article\",\"fieldsOfStudy\":null,\"isOpenAccess\":false,\"openAccessPdf\":\"https://www.ncbi.nlm.nih.gov/pmc/articles/PMC11292700/pdf/\",\"citationCount\":\"0\",\"resultStr\":null,\"platform\":\"Semanticscholar\",\"paperid\":null,\"PeriodicalName\":\"Acta radiologica open\",\"FirstCategoryId\":\"1085\",\"ListUrlMain\":\"https://doi.org/10.1177/20584601241259847\",\"RegionNum\":0,\"RegionCategory\":null,\"ArticlePicture\":[],\"TitleCN\":null,\"AbstractTextCN\":null,\"PMCID\":null,\"EPubDate\":\"\",\"PubModel\":\"\",\"JCR\":\"Q4\",\"JCRName\":\"RADIOLOGY, NUCLEAR MEDICINE & MEDICAL IMAGING\",\"Score\":null,\"Total\":0}","platform":"Semanticscholar","paperid":null,"PeriodicalName":"Acta radiologica open","FirstCategoryId":"1085","ListUrlMain":"https://doi.org/10.1177/20584601241259847","RegionNum":0,"RegionCategory":null,"ArticlePicture":[],"TitleCN":null,"AbstractTextCN":null,"PMCID":null,"EPubDate":"","PubModel":"","JCR":"Q4","JCRName":"RADIOLOGY, NUCLEAR MEDICINE & MEDICAL IMAGING","Score":null,"Total":0}
引用次数: 0

摘要

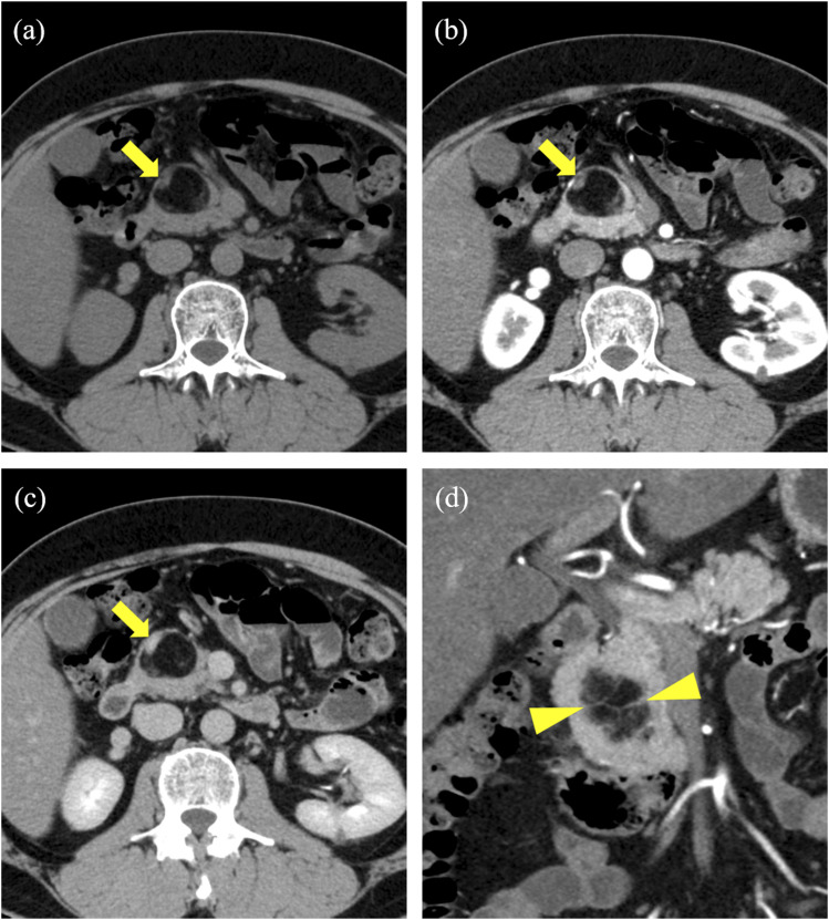
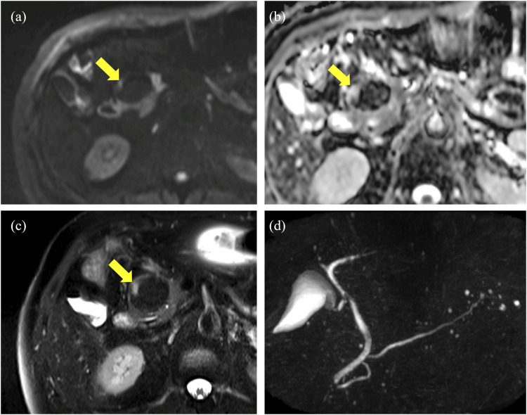
胰腺脂肪瘤性假性肥厚(LPH)是一种罕见疾病,在这种疾病中,胰腺实质被成熟的脂肪组织取代。这是一种特发性疾病,其诊断依据是组织病理学分析。在此,我们报告了一例 50 岁男性患者的病例,他在计算机断层扫描中发现胰腺头部有脂肪瘤肿块,仔细检查后发现是肾肿瘤。我们怀疑是脂肪肉瘤,于是进行了开腹手术。然而,组织学分析却显示为 LPH。LPH的几种成像结果可以实现无创诊断,并有助于临床治疗。
本文章由计算机程序翻译,如有差异,请以英文原文为准。

Lipomatous pseudohypertrophy of the pancreas mimicking liposarcoma: A case report.

Lipomatous pseudohypertrophy of the pancreas mimicking liposarcoma: A case report.

Lipomatous pseudohypertrophy of the pancreas mimicking liposarcoma: A case report.

Lipomatous pseudohypertrophy of the pancreas mimicking liposarcoma: A case report.

Lipomatous pseudohypertrophy of the pancreas (LPH) is a rare disease in which the pancreatic parenchyma is replaced with mature adipose tissue. It is an idiopathic condition whose diagnosis is made based on histopathological analyses. Herein, we report the case of a 50-year-old male patient with a lipomatous mass in the head of the pancreas on computed tomography for close examination of a renal tumor. We suspected liposarcoma, and laparotomy was performed. However, histological analyses revealed LPH. Several imaging findings of LPH can enable a noninvasive diagnosis and help its clinical approach.

求助全文
通过发布文献求助,成功后即可免费获取论文全文。 去求助
来源期刊
自引率
0.00%
发文量
0
审稿时长
12 weeks
×
引用
GB/T 7714-2015
复制
MLA
复制
APA
复制
导出至
BibTeX EndNote RefMan NoteFirst NoteExpress
×
提示
您的信息不完整,为了账户安全,请先补充。
现在去补充
×
提示
您因"违规操作"
具体请查看互助需知
我知道了
×
提示
确定
请完成安全验证×
copy
已复制链接
快去分享给好友吧!
我知道了
右上角分享
点击右上角分享
0
联系我们:info@booksci.cn Book学术提供免费学术资源搜索服务,方便国内外学者检索中英文文献。致力于提供最便捷和优质的服务体验。 Copyright © 2023 布克学术 All rights reserved.
京ICP备2023020795号-1
ghs 京公网安备 11010802042870号
Book学术文献互助
Book学术文献互助群
群 号:604180095
Book学术官方微信