下颌第二前磨牙三根根管和牙髓病的牙髓治疗:病例报告。

Q3 Dentistry
Melika Mohammadi, Mina Zarei
{"title":"下颌第二前磨牙三根根管和牙髓病的牙髓治疗:病例报告。","authors":"Melika Mohammadi, Mina Zarei","doi":"10.22037/iej.v19i3.45174","DOIUrl":null,"url":null,"abstract":"<p><p>A complete understanding of canal morphology is essential to achieve successful endodontic treatment. Although mandibular second premolars are reported to have usually only one root canal at the apex, in this case we reported a mandibular second premolar with three root canals and taurodont morphology. A patient was referred to the endodontic department at Mashhad Faculty of Dentistry with a chief complaint of pain in her mandibular right second premolar tooth. The diagnosis of pulpal necrosis and chronic apical periodontitis was established. The initial radiograph showed a taurodont premolar with two roots. However, with cone-beam computed tomography assistance, three root canals were confirmed. The root canal treatment process was successfully managed with a dental operating microscope. Using cone-beam computed tomography and a dental operating microscope greatly facilitated the determination of tooth morphology and successful following nonsurgical endodontic treatment.</p>","PeriodicalId":14534,"journal":{"name":"Iranian Endodontic Journal","volume":"19 3","pages":"228-231"},"PeriodicalIF":0.0000,"publicationDate":"2024-01-01","publicationTypes":"Journal Article","fieldsOfStudy":null,"isOpenAccess":false,"openAccessPdf":"https://www.ncbi.nlm.nih.gov/pmc/articles/PMC11287040/pdf/","citationCount":"0","resultStr":"{\"title\":\"Endodontic Management of a Mandibular Second Premolar with Three Root Canals and Taurodontism: A Case Report.\",\"authors\":\"Melika Mohammadi, Mina Zarei\",\"doi\":\"10.22037/iej.v19i3.45174\",\"DOIUrl\":null,\"url\":null,\"abstract\":\"<p><p>A complete understanding of canal morphology is essential to achieve successful endodontic treatment. Although mandibular second premolars are reported to have usually only one root canal at the apex, in this case we reported a mandibular second premolar with three root canals and taurodont morphology. A patient was referred to the endodontic department at Mashhad Faculty of Dentistry with a chief complaint of pain in her mandibular right second premolar tooth. The diagnosis of pulpal necrosis and chronic apical periodontitis was established. The initial radiograph showed a taurodont premolar with two roots. However, with cone-beam computed tomography assistance, three root canals were confirmed. The root canal treatment process was successfully managed with a dental operating microscope. Using cone-beam computed tomography and a dental operating microscope greatly facilitated the determination of tooth morphology and successful following nonsurgical endodontic treatment.</p>\",\"PeriodicalId\":14534,\"journal\":{\"name\":\"Iranian Endodontic Journal\",\"volume\":\"19 3\",\"pages\":\"228-231\"},\"PeriodicalIF\":0.0000,\"publicationDate\":\"2024-01-01\",\"publicationTypes\":\"Journal Article\",\"fieldsOfStudy\":null,\"isOpenAccess\":false,\"openAccessPdf\":\"https://www.ncbi.nlm.nih.gov/pmc/articles/PMC11287040/pdf/\",\"citationCount\":\"0\",\"resultStr\":null,\"platform\":\"Semanticscholar\",\"paperid\":null,\"PeriodicalName\":\"Iranian Endodontic Journal\",\"FirstCategoryId\":\"1085\",\"ListUrlMain\":\"https://doi.org/10.22037/iej.v19i3.45174\",\"RegionNum\":0,\"RegionCategory\":null,\"ArticlePicture\":[],\"TitleCN\":null,\"AbstractTextCN\":null,\"PMCID\":null,\"EPubDate\":\"\",\"PubModel\":\"\",\"JCR\":\"Q3\",\"JCRName\":\"Dentistry\",\"Score\":null,\"Total\":0}","platform":"Semanticscholar","paperid":null,"PeriodicalName":"Iranian Endodontic Journal","FirstCategoryId":"1085","ListUrlMain":"https://doi.org/10.22037/iej.v19i3.45174","RegionNum":0,"RegionCategory":null,"ArticlePicture":[],"TitleCN":null,"AbstractTextCN":null,"PMCID":null,"EPubDate":"","PubModel":"","JCR":"Q3","JCRName":"Dentistry","Score":null,"Total":0}
引用次数: 0

摘要

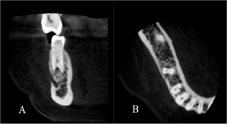
全面了解根管形态是成功进行牙髓治疗的关键。尽管有报道称下颌第二前磨牙的根尖通常只有一个根管,但在本病例中,我们却发现一颗下颌第二前磨牙有三个根管,而且形态呈陶土状。一名患者被转诊至马什哈德牙科学院牙髓科,主诉是下颌右侧第二前磨牙疼痛。牙髓坏死和慢性根尖牙周炎的诊断已经确定。最初的 X 光片显示她的前臼齿有两个牙根。然而,在锥形束计算机断层扫描的辅助下,确诊有三个根管。使用牙科手术显微镜成功地完成了根管治疗过程。使用锥形束计算机断层扫描和牙科手术显微镜极大地促进了牙齿形态的确定,并成功地进行了非手术根管治疗。
本文章由计算机程序翻译,如有差异,请以英文原文为准。

Endodontic Management of a Mandibular Second Premolar with Three Root Canals and Taurodontism: A Case Report.

Endodontic Management of a Mandibular Second Premolar with Three Root Canals and Taurodontism: A Case Report.

Endodontic Management of a Mandibular Second Premolar with Three Root Canals and Taurodontism: A Case Report.

Endodontic Management of a Mandibular Second Premolar with Three Root Canals and Taurodontism: A Case Report.

A complete understanding of canal morphology is essential to achieve successful endodontic treatment. Although mandibular second premolars are reported to have usually only one root canal at the apex, in this case we reported a mandibular second premolar with three root canals and taurodont morphology. A patient was referred to the endodontic department at Mashhad Faculty of Dentistry with a chief complaint of pain in her mandibular right second premolar tooth. The diagnosis of pulpal necrosis and chronic apical periodontitis was established. The initial radiograph showed a taurodont premolar with two roots. However, with cone-beam computed tomography assistance, three root canals were confirmed. The root canal treatment process was successfully managed with a dental operating microscope. Using cone-beam computed tomography and a dental operating microscope greatly facilitated the determination of tooth morphology and successful following nonsurgical endodontic treatment.

求助全文
通过发布文献求助,成功后即可免费获取论文全文。 去求助
来源期刊
Iranian Endodontic Journal
Iranian Endodontic Journal Dentistry-Dentistry (all)
CiteScore
1.30
自引率
0.00%
发文量
0
审稿时长
12 weeks
期刊介绍: The Iranian Endodontic Journal (IEJ) is an international peer-reviewed biomedical publication, the aim of which is to provide a scientific medium of communication for researchers throughout the globe. IEJ aims to publish the highest quality articles, both clinical and scientific, on all aspects of Endodontics. The journal is an official Journal of the Iranian Center for Endodontic Research (ICER) and the Iranian Association of Endodontists (IAE). The Journal welcomes articles related to the scientific or applied aspects of endodontics e.g. original researches, systematic reviews, meta-analyses, review articles, clinical trials, case series/reports, hypotheses, letters to the editor, etc. From the beginning (i.e. since 2006), the IEJ was the first open access endodontic journal in the world, which gave readers free and instant access to published articles and enabling them faster discovery of the latest endodontic research.
×
引用
GB/T 7714-2015
复制
MLA
复制
APA
复制
导出至
BibTeX EndNote RefMan NoteFirst NoteExpress
×
提示
您的信息不完整,为了账户安全,请先补充。
现在去补充
×
提示
您因"违规操作"
具体请查看互助需知
我知道了
×
提示
确定
请完成安全验证×
copy
已复制链接
快去分享给好友吧!
我知道了
右上角分享
点击右上角分享
0
联系我们:info@booksci.cn Book学术提供免费学术资源搜索服务,方便国内外学者检索中英文文献。致力于提供最便捷和优质的服务体验。 Copyright © 2023 布克学术 All rights reserved.
京ICP备2023020795号-1
ghs 京公网安备 11010802042870号
Book学术文献互助
Book学术文献互助群
群 号:604180095
Book学术官方微信