活牙和非活牙的根尖牙周炎:临床和放射学特征。

Q3 Dentistry
Saeed Asgary, Anita Aminoshariae, Paul R Wesselink
{"title":"活牙和非活牙的根尖牙周炎:临床和放射学特征。","authors":"Saeed Asgary, Anita Aminoshariae, Paul R Wesselink","doi":"10.22037/iej.v19i3.45605","DOIUrl":null,"url":null,"abstract":"<p><p>Apical periodontitis (AP) is a common inflammatory condition predominantly caused by the response of the immune system to microbial invasion within the root canal system. Contrary to conventional perception, AP may occur in vital teeth with inflamed pulp; adding complexity to diagnosis and treatment. AP, due to its frequent lack of symptoms and reliance on radiographic evaluation for detection, often presents diagnostic challenges. In addition, AP pathogenesis involves complex interactions between microbial virulence and host immune response at the cellular and molecular levels. Comprehensive diagnostic procedures, including patient history, clinical examination, and radiographic evaluation, are essential for early detection and necessary intervention, with the recognition of clinical signs and symptoms underscoring the importance of regular dental evaluations. The current review primarily discusses the radiographic and clinical features of AP in vital and non-vital teeth; introducing a new taxonomic classification to improve diagnostic precision and treatment outcomes. Moreover, it proposes different treatment categories/options for the management of AP, based on pulp status as well as clinical and radiographic findings; emphasizing vital pulp therapy and root canal treatment for vital and non-vital teeth with AP, respectively. Furthermore, the global and regional epidemiology of AP is presented, along with its association with systemic health conditions; <i>e.g</i>., cardiovascular diseases, diabetes mellitus, and adverse pregnancy outcomes. Moreover, future research directions are advocated to improve the efficacy and predictability of diagnosis and treatments; paving the path for clinicians in early detection, accurate diagnosis, and effective management of AP to enhance oral health outcomes.</p>","PeriodicalId":14534,"journal":{"name":"Iranian Endodontic Journal","volume":"19 3","pages":"148-157"},"PeriodicalIF":0.0000,"publicationDate":"2024-01-01","publicationTypes":"Journal Article","fieldsOfStudy":null,"isOpenAccess":false,"openAccessPdf":"https://www.ncbi.nlm.nih.gov/pmc/articles/PMC11287039/pdf/","citationCount":"0","resultStr":"{\"title\":\"Apical Periodontitis in Vital and Nonvital Teeth: Clinical and Radiographic Features.\",\"authors\":\"Saeed Asgary, Anita Aminoshariae, Paul R Wesselink\",\"doi\":\"10.22037/iej.v19i3.45605\",\"DOIUrl\":null,\"url\":null,\"abstract\":\"<p><p>Apical periodontitis (AP) is a common inflammatory condition predominantly caused by the response of the immune system to microbial invasion within the root canal system. Contrary to conventional perception, AP may occur in vital teeth with inflamed pulp; adding complexity to diagnosis and treatment. AP, due to its frequent lack of symptoms and reliance on radiographic evaluation for detection, often presents diagnostic challenges. In addition, AP pathogenesis involves complex interactions between microbial virulence and host immune response at the cellular and molecular levels. Comprehensive diagnostic procedures, including patient history, clinical examination, and radiographic evaluation, are essential for early detection and necessary intervention, with the recognition of clinical signs and symptoms underscoring the importance of regular dental evaluations. The current review primarily discusses the radiographic and clinical features of AP in vital and non-vital teeth; introducing a new taxonomic classification to improve diagnostic precision and treatment outcomes. Moreover, it proposes different treatment categories/options for the management of AP, based on pulp status as well as clinical and radiographic findings; emphasizing vital pulp therapy and root canal treatment for vital and non-vital teeth with AP, respectively. Furthermore, the global and regional epidemiology of AP is presented, along with its association with systemic health conditions; <i>e.g</i>., cardiovascular diseases, diabetes mellitus, and adverse pregnancy outcomes. Moreover, future research directions are advocated to improve the efficacy and predictability of diagnosis and treatments; paving the path for clinicians in early detection, accurate diagnosis, and effective management of AP to enhance oral health outcomes.</p>\",\"PeriodicalId\":14534,\"journal\":{\"name\":\"Iranian Endodontic Journal\",\"volume\":\"19 3\",\"pages\":\"148-157\"},\"PeriodicalIF\":0.0000,\"publicationDate\":\"2024-01-01\",\"publicationTypes\":\"Journal Article\",\"fieldsOfStudy\":null,\"isOpenAccess\":false,\"openAccessPdf\":\"https://www.ncbi.nlm.nih.gov/pmc/articles/PMC11287039/pdf/\",\"citationCount\":\"0\",\"resultStr\":null,\"platform\":\"Semanticscholar\",\"paperid\":null,\"PeriodicalName\":\"Iranian Endodontic Journal\",\"FirstCategoryId\":\"1085\",\"ListUrlMain\":\"https://doi.org/10.22037/iej.v19i3.45605\",\"RegionNum\":0,\"RegionCategory\":null,\"ArticlePicture\":[],\"TitleCN\":null,\"AbstractTextCN\":null,\"PMCID\":null,\"EPubDate\":\"\",\"PubModel\":\"\",\"JCR\":\"Q3\",\"JCRName\":\"Dentistry\",\"Score\":null,\"Total\":0}","platform":"Semanticscholar","paperid":null,"PeriodicalName":"Iranian Endodontic Journal","FirstCategoryId":"1085","ListUrlMain":"https://doi.org/10.22037/iej.v19i3.45605","RegionNum":0,"RegionCategory":null,"ArticlePicture":[],"TitleCN":null,"AbstractTextCN":null,"PMCID":null,"EPubDate":"","PubModel":"","JCR":"Q3","JCRName":"Dentistry","Score":null,"Total":0}
引用次数: 0

摘要

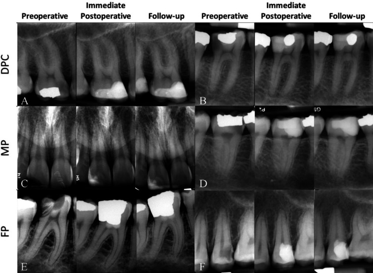
根尖牙周炎(AP)是一种常见的炎症,主要由免疫系统对根管系统内微生物入侵的反应引起。与传统观念相反,根尖周炎可能发生在牙髓发炎的活牙上,从而增加了诊断和治疗的复杂性。由于 AP 常常没有症状,而且需要依靠放射学评估才能发现,因此常常给诊断带来挑战。此外,AP 的发病机制涉及微生物毒力与宿主免疫反应在细胞和分子水平上的复杂相互作用。全面的诊断程序,包括患者病史、临床检查和放射学评估,对于早期发现和必要的干预至关重要,而临床症状和体征的识别则强调了定期牙科评估的重要性。本综述主要讨论了重要牙齿和非重要牙齿 AP 的影像学和临床特征;引入了一种新的分类方法,以提高诊断精度和治疗效果。此外,它还根据牙髓状态以及临床和放射学检查结果,提出了治疗 AP 的不同治疗类别/选择;强调对患有 AP 的重要牙齿和非重要牙齿分别进行重要牙髓治疗和根管治疗。此外,还介绍了 AP 的全球和地区流行病学及其与全身健康状况的关联,如心血管疾病、糖尿病和不良妊娠结局。此外,还提出了未来的研究方向,以提高诊断和治疗的有效性和可预测性,为临床医生早期发现、准确诊断和有效管理 AP 以改善口腔健康状况铺平道路。
本文章由计算机程序翻译,如有差异,请以英文原文为准。

Apical Periodontitis in Vital and Nonvital Teeth: Clinical and Radiographic Features.

Apical Periodontitis in Vital and Nonvital Teeth: Clinical and Radiographic Features.

Apical Periodontitis in Vital and Nonvital Teeth: Clinical and Radiographic Features.

Apical Periodontitis in Vital and Nonvital Teeth: Clinical and Radiographic Features.

Apical periodontitis (AP) is a common inflammatory condition predominantly caused by the response of the immune system to microbial invasion within the root canal system. Contrary to conventional perception, AP may occur in vital teeth with inflamed pulp; adding complexity to diagnosis and treatment. AP, due to its frequent lack of symptoms and reliance on radiographic evaluation for detection, often presents diagnostic challenges. In addition, AP pathogenesis involves complex interactions between microbial virulence and host immune response at the cellular and molecular levels. Comprehensive diagnostic procedures, including patient history, clinical examination, and radiographic evaluation, are essential for early detection and necessary intervention, with the recognition of clinical signs and symptoms underscoring the importance of regular dental evaluations. The current review primarily discusses the radiographic and clinical features of AP in vital and non-vital teeth; introducing a new taxonomic classification to improve diagnostic precision and treatment outcomes. Moreover, it proposes different treatment categories/options for the management of AP, based on pulp status as well as clinical and radiographic findings; emphasizing vital pulp therapy and root canal treatment for vital and non-vital teeth with AP, respectively. Furthermore, the global and regional epidemiology of AP is presented, along with its association with systemic health conditions; e.g., cardiovascular diseases, diabetes mellitus, and adverse pregnancy outcomes. Moreover, future research directions are advocated to improve the efficacy and predictability of diagnosis and treatments; paving the path for clinicians in early detection, accurate diagnosis, and effective management of AP to enhance oral health outcomes.

求助全文
通过发布文献求助,成功后即可免费获取论文全文。 去求助
来源期刊
Iranian Endodontic Journal
Iranian Endodontic Journal Dentistry-Dentistry (all)
CiteScore
1.30
自引率
0.00%
发文量
0
审稿时长
12 weeks
期刊介绍: The Iranian Endodontic Journal (IEJ) is an international peer-reviewed biomedical publication, the aim of which is to provide a scientific medium of communication for researchers throughout the globe. IEJ aims to publish the highest quality articles, both clinical and scientific, on all aspects of Endodontics. The journal is an official Journal of the Iranian Center for Endodontic Research (ICER) and the Iranian Association of Endodontists (IAE). The Journal welcomes articles related to the scientific or applied aspects of endodontics e.g. original researches, systematic reviews, meta-analyses, review articles, clinical trials, case series/reports, hypotheses, letters to the editor, etc. From the beginning (i.e. since 2006), the IEJ was the first open access endodontic journal in the world, which gave readers free and instant access to published articles and enabling them faster discovery of the latest endodontic research.
×
引用
GB/T 7714-2015
复制
MLA
复制
APA
复制
导出至
BibTeX EndNote RefMan NoteFirst NoteExpress
×
提示
您的信息不完整,为了账户安全,请先补充。
现在去补充
×
提示
您因"违规操作"
具体请查看互助需知
我知道了
×
提示
确定
请完成安全验证×
copy
已复制链接
快去分享给好友吧!
我知道了
右上角分享
点击右上角分享
0
联系我们:info@booksci.cn Book学术提供免费学术资源搜索服务,方便国内外学者检索中英文文献。致力于提供最便捷和优质的服务体验。 Copyright © 2023 布克学术 All rights reserved.
京ICP备2023020795号-1
ghs 京公网安备 11010802042870号
Book学术文献互助
Book学术文献互助群
群 号:604180095
Book学术官方微信