实验性感染 SARS-CoV-2 的金色叙利亚仓鼠(Mesocricetus auratus)的肝脏内皮细胞炎。

IF 1.7 4区 医学 Q4 INFECTIOUS DISEASES
Alex Junior Souza de Souza, Antônio Francisco de Souza Filho, Cristina Kraemer Zimpel, Marina Caçador Ayupe, Marcelo Valdemir de Araújo, Rafael Rahal Guaragna Machado, Erika Salles, Caio Loureiro Salgado, Mariana Silva Tavares, Taiana Tainá Silva-Pereira, Paula Carolina de Souza, Edison Luiz Durigon, Marcos Bryan Heinemann, Paulo Eduardo Brandão, Denise Morais da Fonseca, Ana Marcia de Sá Guimarães, Lilian Rose Marques de Sá
{"title":"实验性感染 SARS-CoV-2 的金色叙利亚仓鼠(Mesocricetus auratus)的肝脏内皮细胞炎。","authors":"Alex Junior Souza de Souza, Antônio Francisco de Souza Filho, Cristina Kraemer Zimpel, Marina Caçador Ayupe, Marcelo Valdemir de Araújo, Rafael Rahal Guaragna Machado, Erika Salles, Caio Loureiro Salgado, Mariana Silva Tavares, Taiana Tainá Silva-Pereira, Paula Carolina de Souza, Edison Luiz Durigon, Marcos Bryan Heinemann, Paulo Eduardo Brandão, Denise Morais da Fonseca, Ana Marcia de Sá Guimarães, Lilian Rose Marques de Sá","doi":"10.1590/S1678-9946202466044","DOIUrl":null,"url":null,"abstract":"<p><p>Hepatic injuries in COVID-19 are not yet fully understood and indirect pathways (without viral replication in the liver) have been associated with the activation of vascular mechanisms of liver injury in humans infected with SARS-CoV-2. Golden Syrian hamsters are an effective model for experimental reproduction of moderate and self-limiting lung disease during SARS-CoV-2 infection. As observed in humans, this experimental model reproduces lesions of bronchointerstitial pneumonia and pulmonary vascular lesions, including endotheliitis (attachment of lymphoid cells to the luminal surface of endothelium). Extrapulmonary vascular lesions are well documented in COVID-19, but such extrapulmonary vascular lesions have not yet been described in the Golden Syrian hamster model of SARS-CoV-2 infection. The study aimed to evaluate microscopic liver lesions in Golden Syrian hamsters experimentally infected with SARS-CoV-2. In total, 38 conventional Golden Syrian hamsters, divided into infected group (n=24) and mock-infected group (n=14), were euthanized at 2-, 3-, 4-, 5-, 7-, 14-, and 15-days post infection with SARS-CoV-2. Liver fragments were evaluated by histopathology and immunohistochemical detection of SARS-CoV-2 Spike S2 antigens. The frequencies of portal vein endotheliitis, lobular activity, hepatocellular degeneration, and lobular vascular changes were higher among SARS-CoV-2-infected animals. Spike S2 antigen was not detected in liver. The main results indicate that SARS-CoV-2 infection exacerbated vascular and inflammatory lesions in the liver of hamsters with pre-existing hepatitis of unknown origin. A potential application of this animal model in studies of the pathogenesis and evolution of liver lesions associated with SARS-CoV-2 infection still needs further evaluation.</p>","PeriodicalId":54466,"journal":{"name":"Revista Do Instituto De Medicina Tropical De Sao Paulo","volume":"66 ","pages":"e44"},"PeriodicalIF":1.7000,"publicationDate":"2024-07-29","publicationTypes":"Journal Article","fieldsOfStudy":null,"isOpenAccess":false,"openAccessPdf":"https://www.ncbi.nlm.nih.gov/pmc/articles/PMC11295288/pdf/","citationCount":"0","resultStr":"{\"title\":\"Hepatic endotheliitis in Golden Syrian hamsters (Mesocricetus auratus) experimentally infected with SARS-CoV-2.\",\"authors\":\"Alex Junior Souza de Souza, Antônio Francisco de Souza Filho, Cristina Kraemer Zimpel, Marina Caçador Ayupe, Marcelo Valdemir de Araújo, Rafael Rahal Guaragna Machado, Erika Salles, Caio Loureiro Salgado, Mariana Silva Tavares, Taiana Tainá Silva-Pereira, Paula Carolina de Souza, Edison Luiz Durigon, Marcos Bryan Heinemann, Paulo Eduardo Brandão, Denise Morais da Fonseca, Ana Marcia de Sá Guimarães, Lilian Rose Marques de Sá\",\"doi\":\"10.1590/S1678-9946202466044\",\"DOIUrl\":null,\"url\":null,\"abstract\":\"<p><p>Hepatic injuries in COVID-19 are not yet fully understood and indirect pathways (without viral replication in the liver) have been associated with the activation of vascular mechanisms of liver injury in humans infected with SARS-CoV-2. Golden Syrian hamsters are an effective model for experimental reproduction of moderate and self-limiting lung disease during SARS-CoV-2 infection. As observed in humans, this experimental model reproduces lesions of bronchointerstitial pneumonia and pulmonary vascular lesions, including endotheliitis (attachment of lymphoid cells to the luminal surface of endothelium). Extrapulmonary vascular lesions are well documented in COVID-19, but such extrapulmonary vascular lesions have not yet been described in the Golden Syrian hamster model of SARS-CoV-2 infection. The study aimed to evaluate microscopic liver lesions in Golden Syrian hamsters experimentally infected with SARS-CoV-2. In total, 38 conventional Golden Syrian hamsters, divided into infected group (n=24) and mock-infected group (n=14), were euthanized at 2-, 3-, 4-, 5-, 7-, 14-, and 15-days post infection with SARS-CoV-2. Liver fragments were evaluated by histopathology and immunohistochemical detection of SARS-CoV-2 Spike S2 antigens. The frequencies of portal vein endotheliitis, lobular activity, hepatocellular degeneration, and lobular vascular changes were higher among SARS-CoV-2-infected animals. Spike S2 antigen was not detected in liver. The main results indicate that SARS-CoV-2 infection exacerbated vascular and inflammatory lesions in the liver of hamsters with pre-existing hepatitis of unknown origin. A potential application of this animal model in studies of the pathogenesis and evolution of liver lesions associated with SARS-CoV-2 infection still needs further evaluation.</p>\",\"PeriodicalId\":54466,\"journal\":{\"name\":\"Revista Do Instituto De Medicina Tropical De Sao Paulo\",\"volume\":\"66 \",\"pages\":\"e44\"},\"PeriodicalIF\":1.7000,\"publicationDate\":\"2024-07-29\",\"publicationTypes\":\"Journal Article\",\"fieldsOfStudy\":null,\"isOpenAccess\":false,\"openAccessPdf\":\"https://www.ncbi.nlm.nih.gov/pmc/articles/PMC11295288/pdf/\",\"citationCount\":\"0\",\"resultStr\":null,\"platform\":\"Semanticscholar\",\"paperid\":null,\"PeriodicalName\":\"Revista Do Instituto De Medicina Tropical De Sao Paulo\",\"FirstCategoryId\":\"3\",\"ListUrlMain\":\"https://doi.org/10.1590/S1678-9946202466044\",\"RegionNum\":4,\"RegionCategory\":\"医学\",\"ArticlePicture\":[],\"TitleCN\":null,\"AbstractTextCN\":null,\"PMCID\":null,\"EPubDate\":\"2024/1/1 0:00:00\",\"PubModel\":\"eCollection\",\"JCR\":\"Q4\",\"JCRName\":\"INFECTIOUS DISEASES\",\"Score\":null,\"Total\":0}","platform":"Semanticscholar","paperid":null,"PeriodicalName":"Revista Do Instituto De Medicina Tropical De Sao Paulo","FirstCategoryId":"3","ListUrlMain":"https://doi.org/10.1590/S1678-9946202466044","RegionNum":4,"RegionCategory":"医学","ArticlePicture":[],"TitleCN":null,"AbstractTextCN":null,"PMCID":null,"EPubDate":"2024/1/1 0:00:00","PubModel":"eCollection","JCR":"Q4","JCRName":"INFECTIOUS DISEASES","Score":null,"Total":0}
引用次数: 0

摘要

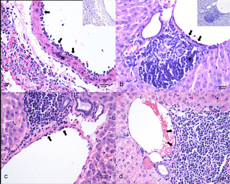
COVID-19 对肝脏的损伤尚未完全明了,在感染 SARS-CoV-2 的人类中,间接途径(肝脏中没有病毒复制)与激活肝脏损伤的血管机制有关。金色叙利亚仓鼠是实验再现 SARS-CoV-2 感染期间中度和自限性肺部疾病的有效模型。与在人类身上观察到的一样,这种实验模型可再现支气管间质性肺炎病变和肺血管病变,包括内皮细胞炎(淋巴细胞附着在内皮细胞的管腔表面)。在 COVID-19 中,肺外血管病变已被充分记录,但在 SARS-CoV-2 感染的金色叙利亚仓鼠模型中,这种肺外血管病变尚未被描述。本研究旨在评估实验性感染 SARS-CoV-2 的金色叙利亚仓鼠肝脏的显微病变。总共有 38 只常规金色叙利亚仓鼠,分为感染组(n=24)和模拟感染组(n=14),分别在感染 SARS-CoV-2 后 2、3、4、5、7、14 和 15 天安乐死。通过组织病理学和 SARS-CoV-2 Spike S2 抗原的免疫组化检测对肝脏碎片进行评估。在感染了SARS-CoV-2的动物中,门静脉内皮炎、肝小叶活动、肝细胞变性和肝小叶血管变化的频率较高。肝脏中未检测到 Spike S2 抗原。主要结果表明,SARS-CoV-2 感染加剧了原有不明原因肝炎仓鼠肝脏的血管和炎症病变。这种动物模型在研究与 SARS-CoV-2 感染相关的肝脏病变的发病机制和演变过程中的潜在应用仍需进一步评估。
本文章由计算机程序翻译,如有差异,请以英文原文为准。

Hepatic endotheliitis in Golden Syrian hamsters (Mesocricetus auratus) experimentally infected with SARS-CoV-2.

Hepatic endotheliitis in Golden Syrian hamsters (Mesocricetus auratus) experimentally infected with SARS-CoV-2.

Hepatic injuries in COVID-19 are not yet fully understood and indirect pathways (without viral replication in the liver) have been associated with the activation of vascular mechanisms of liver injury in humans infected with SARS-CoV-2. Golden Syrian hamsters are an effective model for experimental reproduction of moderate and self-limiting lung disease during SARS-CoV-2 infection. As observed in humans, this experimental model reproduces lesions of bronchointerstitial pneumonia and pulmonary vascular lesions, including endotheliitis (attachment of lymphoid cells to the luminal surface of endothelium). Extrapulmonary vascular lesions are well documented in COVID-19, but such extrapulmonary vascular lesions have not yet been described in the Golden Syrian hamster model of SARS-CoV-2 infection. The study aimed to evaluate microscopic liver lesions in Golden Syrian hamsters experimentally infected with SARS-CoV-2. In total, 38 conventional Golden Syrian hamsters, divided into infected group (n=24) and mock-infected group (n=14), were euthanized at 2-, 3-, 4-, 5-, 7-, 14-, and 15-days post infection with SARS-CoV-2. Liver fragments were evaluated by histopathology and immunohistochemical detection of SARS-CoV-2 Spike S2 antigens. The frequencies of portal vein endotheliitis, lobular activity, hepatocellular degeneration, and lobular vascular changes were higher among SARS-CoV-2-infected animals. Spike S2 antigen was not detected in liver. The main results indicate that SARS-CoV-2 infection exacerbated vascular and inflammatory lesions in the liver of hamsters with pre-existing hepatitis of unknown origin. A potential application of this animal model in studies of the pathogenesis and evolution of liver lesions associated with SARS-CoV-2 infection still needs further evaluation.

求助全文
通过发布文献求助,成功后即可免费获取论文全文。 去求助
来源期刊
CiteScore
3.60
自引率
5.30%
发文量
100
审稿时长
6-12 weeks
期刊介绍: The Revista do Instituto de Medicina Tropical de São Paulo (Journal of the São Paulo Institute of Tropical Medicine) is a journal devoted to research on different aspects of tropical infectious diseases. The journal welcomes original work on all infectious diseases, provided that data and results are directly linked to human health. The journal publishes, besides original articles, review articles, case reports, brief communications, and letters to the editor. The journal publishes manuscripts only in English. From 2016 on, the Revista do Instituto de Medicina Tropical de São Paulo (Journal of the São Paulo Institute of Tropical Medicine) is published online only, maintaining the free access. For more information visit: - http://www.scielo.br/rimtsp - http://www.imt.usp.br/revista-imt/
×
引用
GB/T 7714-2015
复制
MLA
复制
APA
复制
导出至
BibTeX EndNote RefMan NoteFirst NoteExpress
×
提示
您的信息不完整,为了账户安全,请先补充。
现在去补充
×
提示
您因"违规操作"
具体请查看互助需知
我知道了
×
提示
确定
请完成安全验证×
copy
已复制链接
快去分享给好友吧!
我知道了
右上角分享
点击右上角分享
0
联系我们:info@booksci.cn Book学术提供免费学术资源搜索服务,方便国内外学者检索中英文文献。致力于提供最便捷和优质的服务体验。 Copyright © 2023 布克学术 All rights reserved.
京ICP备2023020795号-1
ghs 京公网安备 11010802042870号
Book学术文献互助
Book学术文献互助群
群 号:604180095
Book学术官方微信